显示方式:
2021, 37(3): 521-521.
摘要:
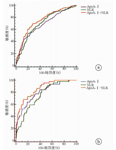
2021, 37(3): 678-678.
摘要:
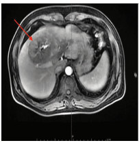
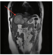
2021, 37(3): 732-732.
摘要:
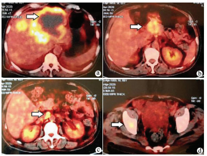
2021, 37(3): 736-736.
摘要:


摘要
HTML
PDF (1872KB)





