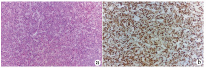
显示方式:
2021, 37(4): 780-780.
摘要:
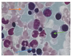
2021, 37(4): 862-862.
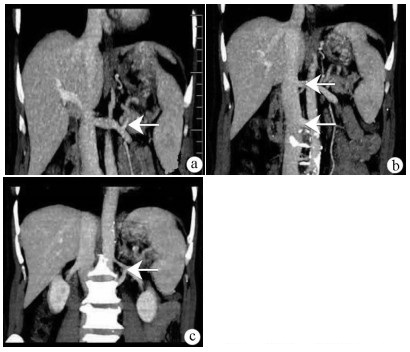
摘要:
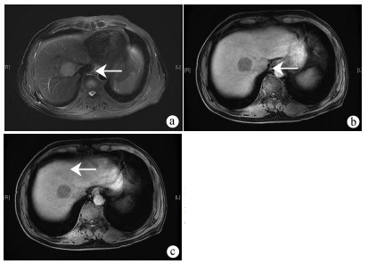
2021, 37(4): 881-881.
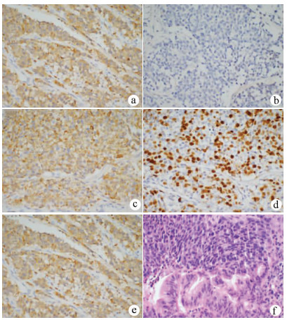
摘要:
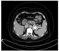
2021, 37(4): 907-907.
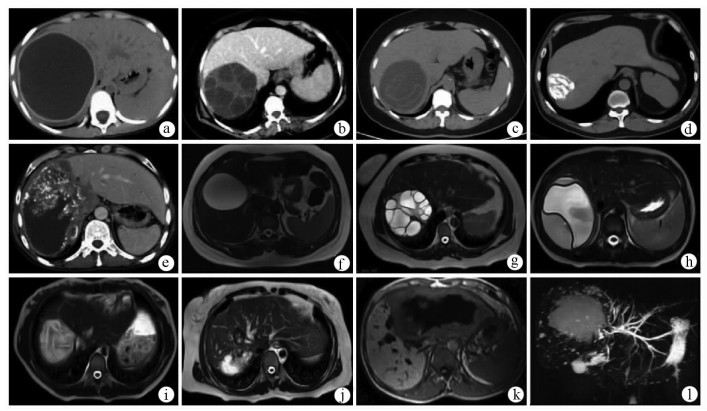
摘要:


摘要
HTML
PDF (3250KB)





