显示方式:
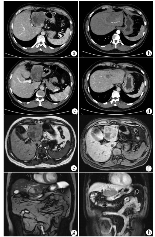
2021, 37(5): 998-998.
摘要:
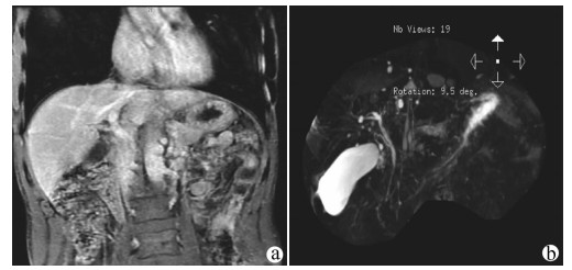
2021, 37(5): 1168-1168.
摘要:
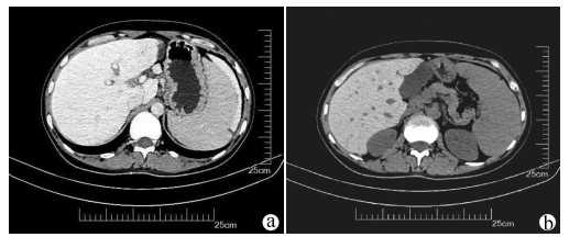
2021, 37(5): 1185-1185.
摘要:
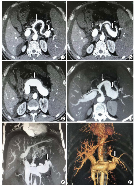
2021, 37(5): 1179-1179.
摘要:


摘要
HTML
PDF (2445KB)





