中文English
ISSN 1001-5256 (Print)
ISSN 2097-3497 (Online)
CN 22-1108/R

留言板

尊敬的读者、作者、审稿人, 关于本刊的投稿、审稿、编辑和出版的任何问题, 您可以本页添加留言。我们将尽快给您答复。谢谢您的支持!

姓名
邮箱
手机号码
标题
留言内容
验证码
2022年 第6期
“肝硬化门静脉高压的进展与挑战”  重点号
本期执行主编:陈金军
南方医科大学南方医院

显示方式:
述评
肝硬化门静脉高压的进展及挑战:以Baveno Ⅶ共识为新起点
张晓丰, 陈金军
2022, 38(6): 1217-1219. DOI: 10.3969/j.issn.1001-5256.2022.06.001
摘要(1921) HTML (428) PDF (1911KB)(343)
摘要:
Baveno协作组发布门静脉高压的新共识(Baveno Ⅶ共识),总结了门静脉高压的诊断标准、无创筛查和诊断、包括病因治疗及非病因治疗的一级预防、包括内镜和血管介入下诊治的二级预防、肝硬化失代偿相关新观念,以及肝脏血管病等方向的主要进展和研究日程。Baveno Ⅶ共识对我国门静脉高压相关领域临床实践和研究具有重要借鉴价值。本文从临床实践角度简述我国肝硬化门静脉高压的主要进展和挑战。
专家论坛
肝硬化门静脉高压的无创筛查管理
张晓丰, 陈金军
2022, 38(6): 1220-1223. DOI: 10.3969/j.issn.1001-5256.2022.06.002
摘要(1384) HTML (500) PDF (1854KB)(205)
摘要:
门静脉高压相关并发症是进展期慢性肝病(ACLD)患者死亡的主要原因。肝静脉压力梯度为评估门静脉高压的金标准,上消化道内镜检查是筛查和评估食管胃静脉曲张及严重程度的重要手段;两者均为侵入性操作,不便于门静脉高压的筛查和监测。瞬时弹性成像、声辐射力脉冲弹性成像、剪切波弹性成像等无创方式,可用于ACLD患者门静脉高压,尤其是临床显著性门静脉高压的筛查、分层诊断和监测。
肝硬化门静脉高压的病因和非病因治疗
李悦榕, 王民, 何福亮, 赵新颜, 欧晓娟, 尤红, 贾继东, 王宇
2022, 38(6): 1224-1228. DOI: 10.3969/j.issn.1001-5256.2022.06.003
摘要(1429) HTML (440) PDF (1861KB)(266)
摘要:
高压是肝硬化的严重并发症,是门静脉阻力和门静脉血流量增加的结果。病因和非病因治疗均可在一定程度上有效降低门静脉压力,但在改善预后方面效果欠佳。以降低肝内血管阻力为靶点的新治疗药物可能有助于实现门静脉高压的逆转。本文以肝硬化门静脉高压的发生机制为基础,对目前的药物治疗从病因和非病因治疗两方面进行总结,以期为临床治疗选择提供较全面的理论和循证依据。
经颈静脉肝内门体分流术在肝硬化食管胃底静脉曲张破裂出血中的应用现状与未来展望
吕勇, 樊代明, 韩国宏
2022, 38(6): 1229-1233. DOI: 10.3969/j.issn.1001-5256.2022.06.004
摘要(1427) HTML (383) PDF (1869KB)(237)
摘要:
食管胃底静脉曲张破裂出血是肝硬化门静脉高压的致命性并发症。经颈静脉肝内门体分流术(TIPS)是治疗门静脉高压并发症的有效手段。TIPS可用于预防复发性或顽固性腹水患者的首次静脉曲张出血。对急性静脉曲张出血高危(Child-Pugh C级<14分、Child-Pugh B级>7分伴内镜下活动性出血或肝静脉压力梯>20 mmHg)的患者,应当尽早行TIPS治疗。对标准治疗失败的急性静脉曲张出血,TIPS是有效的挽救措施。此外,TIPS也是预防静脉曲张再出血的二线选择。
吡咯里西啶生物碱相关肝窦阻塞综合征的抗凝-经颈静脉肝内门体分流术阶梯治疗
张玮, 诸葛宇征
2022, 38(6): 1234-1236. DOI: 10.3969/j.issn.1001-5256.2022.06.005
摘要(1472) HTML (279) PDF (1831KB)(156)
摘要:
肝窦阻塞综合征(HSOS)是以不同程度肝损伤和门静脉高压为主要临床表现的一种血管性肝脏疾病。国内HSOS大多与摄入吡咯里西啶生物碱(PA)相关。以抗凝与经颈静脉肝内门体分流术(TIPS)为核心的升阶梯疗法是目前推荐的治疗策略。抗凝治疗首选低分子肝素皮下注射,亦可联用或序贯口服华法林强化抗凝。对于抗凝治疗无应答患者可转做TIPS。PA-HSOS患者治疗过程中可应用鼓楼严重度评分系统评估病情,以期早期识别高危危重患者,及时转换TIPS治疗,从而改善患者预后。
门静脉高压性肠病——一种不该忽视的门静脉高压并发症
李姗姗, 杨长青
2022, 38(6): 1237-1241. DOI: 10.3969/j.issn.1001-5256.2022.06.006
摘要(1785) HTML (560) PDF (2807KB)(238)
摘要:
门静脉高压性肠病虽与门静脉高压性胃病类似,但由于其内镜下表现多种多样且缺乏特异性,诊断标准并未统一,个体差异性大,患者可在相当长的时间内没有症状,临床易漏诊。根据患者病情及经治专家经验,在治疗方面主要包括对症支持治疗、药物治疗、内镜治疗以及放射性介入治疗和外科手术治疗。虽然近年来门静脉高压性肠病的内镜表现及治疗相关研究已有所报道,但临床医师对该病的诊治及预后仍缺乏应有的重视。
指南与规范
晚期胰腺癌介入治疗临床操作指南(试行)(第六版)
中国癌症研究基金会介入医学委员会, 国家放射与治疗临床医学研究中心, 国家介入医学创新联盟(筹)
2022, 38(6): 1242-1251. DOI: 10.3969/j.issn.1001-5256.2022.06.007
摘要(2214) HTML (635) PDF (2941KB)(309)
摘要:
《2022年欧洲肝病学会临床实践指南:预防和管理肝硬化患者出血和血栓形成》摘译
尹宇航, 许文涛, 何福亮, 祁兴顺
2022, 38(6): 1252-1255. DOI: 10.3969/j.issn.1001-5256.2022.06.008
摘要(1973) HTML (342) PDF (1829KB)(271)
摘要:
《2022年英国肝病学会实践指南:肝豆状核变性的评估诊断和治疗管理》摘译
方微园, 王建设
2022, 38(6): 1256-1257. DOI: 10.3969/j.issn.1001-5256.2022.06.009
摘要(1322) HTML (327) PDF (1812KB)(166)
摘要:
《Baveno Ⅶ门静脉高压共识更新:门静脉高压的个体化管理》摘译
张晓丰, 何钦俊, 王海玉, 宋健康, 张远鉴, 刘苗霞, 纪雅丽, 陈金军
2022, 38(6): 1258-1268. DOI: 10.3969/j.issn.1001-5256.2022.06.010
摘要(1645) HTML (972) PDF (1926KB)(407)
摘要:
论著_病毒性肝炎
抗病毒治疗适应证变化对提高慢性乙型肝炎治疗率的影响
王皓, 单姗, 尤红, 徐小元, 魏来, 侯金林, 庄辉, 孔媛媛, 贾继东, 中国消除乙肝临床研究平台(CR-HepB)研究组
2022, 38(6): 1269-1274. DOI: 10.3969/j.issn.1001-5256.2022.06.011
摘要(1575) HTML (350) PDF (2465KB)(204)
摘要:
  目的  探讨抗HBV治疗适应证变化对治疗率和需要治疗人群特征的影响。  方法  研究对象来自于中国消除乙肝临床研究平台(CR-HepB)数据库中未经治慢性乙型肝炎患者,收集其人口学、病毒学、血液学及血生化信息。不符合正态分布的定量资料在两组间比较采用Mann-Whitney U检验,多组间比较采用Kruskal-Wallis H检验,定性资料组间比较采用χ2检验或Fisher确切概率检验。  结果  本研究共纳入3640例未经治慢性乙型肝炎患者,64.4%为男性,68.7%年龄为30~59岁,46.8%临床分期不确定。根据2015年版、2019年版慢性乙型肝炎防治指南和2022年版专家共识,分别有625例(17.2%)、1333例(36.6%)、和2890例(79.4%)符合抗病毒治疗适应证。2022年版共识新增需治疗患者1557例,其中1424例(91.5%)符合男性ALT>30 U/L、女性ALT>19 U/L的治疗阈值。2022年版专家共识新增需治疗患者的ALT、HBV DNA水平、APRI和FIB-4评分显著低于2019年版指南新增需治疗患者(P值均<0.05)。  结论  随着慢性乙型肝炎抗病毒治疗的适应证扩展,将显著提高患者的治疗比例,有利于更多有疾病进展风险的轻症患者得到及时治疗并改善长期预后。
FCGR3A和FCGR3B基因拷贝数变异对HBV感染转归的影响
李昊天, 王同同, 李绪桐, 郜玉峰
2022, 38(6): 1275-1279. DOI: 10.3969/j.issn.1001-5256.2022.06.012
摘要(801) HTML (440) PDF (1867KB)(69)
摘要:
  目的  探讨FCGR3A和FCGR3B基因拷贝数变异与HBV感染后不同转归和疾病进展的相关性。  方法  收集2014年1月—2018年12月安徽医科大学第一附属医院和第二附属医院感染病科住院和门诊841例慢性HBV感染者和296例自限性HBV感染者外周血标本,并将慢性HBV感染者根据病情进展程度进一步分为慢性乙型肝炎(CHB)组、肝硬化(LC)组、肝细胞癌(HCC)组。采用AccuCopy技术定量分析两组患者外周血FCGR3A和FCGR3B基因拷贝数变异。计量资料两组间比较采用独立样本t检验,多组间比较采用单因素方差分析和Kruskal-Wallis H检验;计数资料组间比较采用χ2检验。同时采用χ2检验分析FCGR3基因CNV在不同组间的分布差异。应用年龄和性别校正的logistic回归模型综合分析CNV对HBV感染慢性化的影响。  结果  慢性HBV感染组与自限性HBV感染组的FCGR3A、FCGR3B拷贝数变异频率分布差异均有统计学意义(χ2值分别为11.406、19.143,P值均<0.05)。在慢性HBV感染后疾病进展方面,CHB组、LC组、HCC组间比较FCGR3A、FCGR3B基因拷贝数变异差异无统计学意义(FCGR3A:χ2=3.125,P=0.537,FCGR3B:χ2=5.274,P=0.260)。而且FCGR3A、FCGR3B基因拷贝数变异在HBeAg阳性组和阴性组之间无统计学差异(FCGR3A:χ2=1.025,P=0.599,FCGR3B:χ2=0.712,P=0.701)。FCGR3A基因和FCGR3B基因拷贝数减少或缺失是HBV感染慢性化的危险因素[FCGR3A:OR=0.621,95%CI: 0.513~0.752,P<0.001;FCGR3B:OR=0.594,95%CI: 0.491 ~0.719,P<0.001]。  结论  FCGR3A基因和FCGR3B基因拷贝数减少或缺失可能是HBV感染慢性化的遗传易感因素之一,但与疾病进展无关。
基于高通量测序分析凉血解毒方对HBV相关慢加急性肝衰竭患者肠道菌群的影响
侯艺鑫, 张群, 江宇泳, 于浩, 杨玉英, 王宪波
2022, 38(6): 1280-1287. DOI: 10.3969/j.issn.1001-5256.2022.06.013
摘要(930) HTML (294) PDF (5458KB)(53)
摘要:
  目的  观察凉血解毒方对HBV相关慢加急性肝衰竭(HBV-ACLF)患者肠道菌群的影响。  方法  选取2018年10月—2019年10月于北京地坛医院住院诊断为HBV-ACLF的患者,招募同期正常健康人群作为对照(HP组),通过高通量测序的方法筛选出HBV-ACLF患者与正常健康人群的菌群多样性和菌种的差异,从门、属水平筛选出两组的差异菌;利用体外模拟发酵实验,HBV-ACLF患者给予不同浓度(0、10%、50%、100%)凉血解毒方培养基培养24 h,从属分类水平比较分析HBV-ACLF用药组、HBV-ACLF未用药组及HP组菌群变化。正态分布的计量资料两组间比较采用t检验;非正态分布的计量资料两组间比较采用Mann-Whitney U检验。  结果  共纳入HBV-ACLF患者10例,其中HBV-ACLF用药组5例,未用药组5例;HP组15例。HBV-ACLF未用药组较HP组肠道菌群多样性及丰度下降。在门分类水平,HP组每个样本均以拟杆菌门和厚壁菌门为主;HBV-ACLF未用药组拟杆菌门明显减少,梭杆菌门、变形菌门、纤维杆菌门增多。在属分类水平上,HBV-ACLF未用药组瘤胃菌、布劳特菌属、真杆菌属较HP组明显减少,而副杆菌属、乳酸杆菌、梭杆菌、链球菌较HP组增多。体外模拟发酵实验结果显示,HBV-ACLF用药组瘤胃菌、毛螺菌属、拟杆菌、氏菌属相对丰度值较HBV-ACLF未用药组显著升高,而梭杆菌、变形菌较未用药组显著减少(P值均<0.05)。  结论  凉血解毒方能够调节肠道菌群紊乱,恢复肠道菌群多样性,增加优势菌,减少致病菌,这可能是其治疗HBV-ACLF重要的作用机制之一。
论著_脂肪性肝病
FibroScan-AST评分对具有显著活动性和纤维化的非酒精性脂肪性肝炎患者的诊断效能
赵钢德, 郭斯敏, 谢青, 桂红莲
2022, 38(6): 1288-1292. DOI: 10.3969/j.issn.1001-5256.2022.06.014
摘要(1963) HTML (843) PDF (1857KB)(168)
摘要:
  目的  验证FibroScan-AST(FAST)评分对非酒精性脂肪性肝病(NAFLD)活动性积分升高(NAS≥4)和显著纤维化(F≥2)的非酒精性脂肪性肝炎(高危NASH)患者的诊断效能,并与其他血清学模型进行比较。  方法  回顾性纳入2015年1月—2020年12月在上海交通大学医学院附属瑞金医院住院并经肝组织病理学证实为NAFLD/NASH患者84例,患者于肝活检前后1周内完成FibroScan检查(包括肝脏硬度值和受控衰减参数)和血清生化指标检测。多组间比较采用Kruskal-Wallis H秩和检验。Spearman相关系数(r)用于分析变量之间的相关性。以肝组织病理学检查结果为“金标准”,绘制受试者工作特征曲线(ROC曲线),计算曲线下面积(AUC)。根据既往研究确定的分界值,计算灵敏度、特异度、阳性预测值(PPV)和阴性预测值(NPV)和分类准确性。亚组分析时,采用不同临床指标分组进而比较各模型的评估效能,用AUC(95%CI)表示。  结果  84例患者中有高危NASH患者43例。所有患者FAST是0.54(0.04~0.93),F0~4不同肝纤维化分期的FAST依次为0.26(0.06~0.73)、0.48(0.04~0.82)、0.61(0.13~0.75)、0.64(0.09~0.93)和0.82(0.75~0.89),差异有统计学意义(H=23.360,P<0.001)。FAST与肝纤维化分期呈正相关(r=0.491,P<0.001)。NFS、FIB-4和APRI与肝纤维化分期均呈正相关(r值分别为0.230、0.346和0.281,P值均<0.05),但较FAST相关性减弱。FAST评估高危NASH的AUC为0.725(95%CI:0.617~0.834,P<0.001)。按既往研究确定的低分界值FAST≤0.35可使21例(25%)患者以71%的NPV来排除高危NASH。按高分界值FAST≥0.67可使19例(22.6%)以74%的PPV来确诊高危NASH。NFS和FIB-4诊断高危NASH的AUC分别为0.633(95%CI:0.513~0.753)和0.686(95%CI: 0.570~0.803),P值均<0.05。  结论  FAST可较准确评估那些伴或不伴代谢危险因素的NAFLD患者是否存在高危NASH,选择合适的分界值可使部分患者避免进行肝活检。
维生素D缺乏对非酒精性脂肪性肝炎患者FIB-4指数及病情严重程度的影响
周荃, 李金强, 黎晓武
2022, 38(6): 1293-1298. DOI: 10.3969/j.issn.1001-5256.2022.06.015
摘要(1188) HTML (521) PDF (2576KB)(87)
摘要:
  目的  探讨维生素D缺乏对非酒精性脂肪性肝炎(NASH)的影响。  方法  选取2020年1月—2021年10月冬春季在长沙市第一医院感染科住院治疗的NASH患者,根据血清1, 25(OH)2D3水平分为3组:A组为1, 25(OH)2D3缺乏组(<20 ng/mL),B组为1, 25(OH)2D3不足组(20~30 ng/mL),C组为1, 25(OH)2D3充足组(>30 ng/mL)。比较3组患者血清1, 25(OH)2D3、ALT、AST、TBil、TC、TG、IL-18、IL-37水平和肝脏病理分级的差异,计算FIB-4指数。计量资料多组间比较采用单因素方差分析,进一步两两比较采用LSD-t检验。计数资料组间比较采用χ2检验。相关性采用Pearson相关分析。  结果  共纳入NASH患者120例,A、B、C 3组各40例。与A组比较,B、C两组患者1, 25(OH)2D3、IL-37水平升高,而FIB-4指数和ALT、AST、TBil、TC、TG、IL-18水平降低,差异均有统计学意义(P值均<0.05)。与B组比较,C组患者1, 25(OH)2D3、IL-37水平升高,FIB-4指数和ALT、AST、TC、TG、IL-18水平降低,差异均有统计学意义(P值均<0.05)。相关性分析结果显示,1, 25(OH)2D3与ALT(r=-0.84,P<0.001)、AST(r=-0.77,P<0.001)、TBil(r=-0.32,P<0.001)、TC(r=-0.45,P<0.001)、TG(r=-0.42,P<0.001)、IL-18(r=-0.40,P<0.001)及FIB-4指数(r=-0.62,P<0.001)均呈负相关,而与IL-37(r=0.59,P<0.001)呈正相关。与A组相比,B、C组中与重度脂肪变(χ2=51.46,P<0.001)、桥接纤维化与早期肝硬化(χ2=36.59,P<0.001)、桥接坏死与大片坏死(χ2=37.28,P<0.001)比例下降。光镜示A组肝细胞广泛气球样变,大量大泡性为主的脂滴,肝板排列紊乱,淋巴细胞浸润,局灶桥接纤维化;B组多数为点灶坏死,门静脉周围纤维化,脂滴大小不等,少量中性粒细胞浸润,部分肝细胞气球样变;C组少量肝细胞气球样变,局灶窦周纤维化,少数点灶坏死,肝细胞胞质可见少量脂滴。  结论  维生素D水平越低,NASH患者肝损伤、肝纤维化程度越明显,检测维生素D有助于评估NASH患者病情进展情况。
非酒精性脂肪性肝病患者粪便短链脂肪酸含量测定的临床意义
李惠, 王学红, 马臻棋, 马文霞, 杨丽萍
2022, 38(6): 1299-1306. DOI: 10.3969/j.issn.1001-5256.2022.06.016
摘要(1671) HTML (680) PDF (2410KB)(99)
摘要:
  目的  通过分析非酒精性脂肪性肝病(NAFLD)各疾病谱患者粪便短链脂肪酸(SCFA)含量及非酒精性脂肪性肝炎(NASH)高危患者治疗前后粪便SCFA含量的差异,初步探讨SCFA肠道代谢与NAFLD各疾病谱发生发展的关系。  方法  选取2020年7月—2021年7月青海大学附属医院临床诊断为NAFLD的患者共90例,分为单纯性脂肪肝(NAFL)组(n=30)、NASH组(n=30)、非酒精性脂肪性肝纤维化组(n=30),选取同期健康体检者40例作为对照组,收集4组研究对象病例资料、粪便SCFA含量, 以及NASH高危患者10例治疗干预3个月后临床指标和粪便SCFA含量。满足正态分布的计量资料多组间比较采用方差分析,组内比较采用配对样本t检验;不满足正态分布的计量资料采用Kruskal-Wallis H检验,组内比较采用配对样本的Wilcoxon符号秩和检验,相关性分析采用Spearman相关分析,诊断性评价采用ROC曲线分析。  结果  非酒精性脂肪性肝纤维化组戊酸、己酸含量显著高于健康对照组,NAFL组戊酸、己酸含量显著低于健康对照组(P值均<0.05);非酒精性脂肪性肝纤维化组戊酸、己酸含量显著高于NAFL组(P值均<0.05);非酒精性脂肪性肝纤维化组戊酸含量显著高于NASH组(P<0.05);NASH组己酸含量显著高于NAFL组(P<0.05)。NASH组高危患者治疗后糖化血红蛋白、空腹血糖(FPG)、TG、TC、ALT、AST、GGT、总胆汁酸(TBA)、PT、尿酸(UA)、受控衰减参数(CAP)、肝脏硬度值(LSM)均明显低于治疗前(Z值分别为-2.805、-2.703、-2.193、-2.599、-2.805、-2.701、-2.803、-1.988、-2.807、-2.803、-2.803、-2.668,P值均<0.05);NASH组高危患者治疗后乙酸、丙酸含量均显著高于治疗前(Z值分别为-2.803、-2.803,P值均<0.05);异丁酸含量低于治疗前(Z=-2.803,P<0.05);戊酸诊断非酒精性脂肪性肝纤维化的AUC为0.842,最佳界值为141.42 μg/g,灵敏度86.7%,特异度70%;己酸诊断非酒精性脂肪性肝纤维化的AUC为0.819,最佳界值为6.93 μg/g,灵敏度70%,特异度85%。  结论  戊酸、己酸可能促进NAFLD疾病谱发展;乙酸、丙酸对NAFLD患者肝脏可能存在一定程度的保护作用,异丁酸可能促进NASH的发生发展;乙酸、丙酸对肝脏的保护作用可能进一步导致糖化血红蛋白、FPG、TG、TC、ALT、AST、GGT、TBA、PT、UA、CAP、LSM等指标的降低;戊酸、己酸诊断价值劣于三型前胶原肽,但优于四型胶原、透明质酸,推测以戊酸为141.42 μg/g、己酸为6.93 μg/g为临界值可作为早期筛查非酒精性脂肪性肝纤维化的辅助诊断指标。
论著_自身免疫性肝病
血清IgG4水平对IgG4相关胰-肝胆疾病与非IgG4相关胰-肝胆疾病的鉴别诊断价值
李畅, 闫雷, 王丽, 韩崇旭, 叶耘峰, 靳德甫, 姜玉章
2022, 38(6): 1307-1310. DOI: 10.3969/j.issn.1001-5256.2022.06.017
摘要(1190) HTML (259) PDF (1986KB)(75)
摘要:
  目的  探讨血清IgG4水平在鉴别诊断IgG4相关胰-肝胆疾病(IgG4-PHD)与非IgG4相关性疾病(IgG4-RD)的自身免疫性疾病中的应用价值。  方法  选择2014年8月— 2021年4月于南京医科大学附属淮安第一医院、苏北人民医院及徐州医科大学附属第一医院住院治疗的541例就诊患者和健康体检人群的临床资料,分为4组:IgG4-PHD组(n=20);非IgG4-RD自身免疫性疾病组(n=431),包括系统性红斑狼疮104例,类风湿性关节炎79例,干燥综合征174例,强直性脊柱炎16例,硬皮病11例,成人Still病4例,肌炎30例,银屑病3例,原发性硬化性胆管炎10例;胰腺肝脏胆囊恶性肿瘤组(n=40);健康对照组(n=50)。使用免疫散射比浊法测定各组样本血清IgG4水平。计量资料组间比较使用两样本Mann-Whitney U检验,计数资料组间比较采用Fisher精确检验。绘制受试者工作特征曲线(ROC曲线),确定IgG4诊断IgG4-PHD的最佳临界值。  结果  IgG4-PHD组血清IgG4水平均明显高于非IgG4-RD自身免疫性疾病各组、胰腺肝脏胆囊恶性肿瘤组和健康对照组(P值均<0.05),单独干燥综合征组血清IgG4水平显著低于健康对照组(Z=2.958,P<0.05)。分别以血清IgG4≥1.35 g/L和IgG4≥2.01 g/L作为临界值,IgG4-PHD组的阳性率明显高于非IgG4-RD自身免疫性疾病组和健康对照组,差异均具有统计学意义(P值均<0.05)。ROC曲线显示,以IgG4≥2.21 g/L作为鉴别诊断IgG4-PHD与非IgG4-RD自身免疫性疾病的临界值时,敏感度为100.00%,特异度为94.00%,AUC为0.980。  结论  非IgG4-RD自身免疫性疾病也可出现血清IgG4水平升高,而以2.21 g/L作为诊断临界值,能提升对IgG4-PHD与非IgG4-RD自身免疫性疾病的鉴别诊断效能,但仍需在临床中进一步验证。
论著_肝纤维化及肝硬化
能量代谢指标与失代偿期乙型肝炎肝硬化患者短期内自发性细菌性腹膜炎发生风险的相关性
陈秀敏, 林升龙, 王香梅, 马华晳, 张冬青, 廖资渊, 林明华, 高海兵
2022, 38(6): 1311-1316. DOI: 10.3969/j.issn.1001-5256.2022.06.018
摘要(1048) HTML (314) PDF (2128KB)(67)
摘要:
  目的  探讨失代偿期乙型肝炎肝硬化(HBV-LC)患者的间接能量代谢指标与自发性细菌性腹膜炎(SBP)发生风险的相关性。  方法  回顾性分析2017年11月—2019年11月福建医科大学孟超肝胆医院收治住院的失代偿期HBV-LC患者的临床资料,比较住院后2周内发生SBP和无SBP患者的基线临床参数和能量代谢指标的差异,采用logistic多因素回归分析患者发生SBP的相关风险因素。符合正态分布的计量资料两组间比较采用t检验;非正态分布的计量资料两组间比较采用Kruskal-Wallis H秩和检验。计数资料两组间比较采用χ2检验或Fisher精确检验。绘制受试者工作特征曲线(ROC曲线)分析新建立logistic回归模型的诊断效应,以最大Youden指数对应的点为模型的截断值,采用DeLong检验比较ROC曲线下面积(AUC)。  结果  纳入失代偿期HBV-LC患者50例,住院后2周内发生SBP患者23例(46%),无SBP患者27例(54%)。SBP患者的甘油三酯、前白蛋白以及凝血酶原活动度(PTA)均显著低于无SBP患者(P值均<0.05);而SBP患者的国际标准化比值、C反应蛋白(CRP)和终末期肝病模型评分则显著高于无SBP患者(P值均<0.05)。比较两组患者的基线能量代谢指标:SBP患者的呼吸熵(RQ)和碳水化合物氧化率(CHO)均较无SBP患者低[RQ: 0.79(0.76~0.86) vs 0.85(0.79~0.91), P=0.041; CHO: 20.50%(15.25%~41.05%) vs 41.6%(22.25%~68.05%), P=0.041]。logistic多因素回归分析提示PTA为失代偿期HBV-LC患者住院期间发生SBP的独立危险因素(比值比=0.004,P=0.008),并以PTA、CRP、RQ和CHO等变量构建回归模型,模型AUC为85.0%,当曲线的Youden指数为最大值时,模型截断值为0.60,特异度为85.19%,敏感度为73.91%,模型的区分度优于CRP(AUC=74.5%, P=0.049)和PCT(AUC=56.4%, P<0.01)。  结论  失代偿期HBV-LC患者短期内发生SBP的患者能量代谢指标RQ和CHO明显降低,结合PTA、CRP和CHO/RQ比值等指标,有助于临床医师早期判断SBP的高风险患者,并加强对高风险患者的营养支持。
论著_肝脏肿瘤
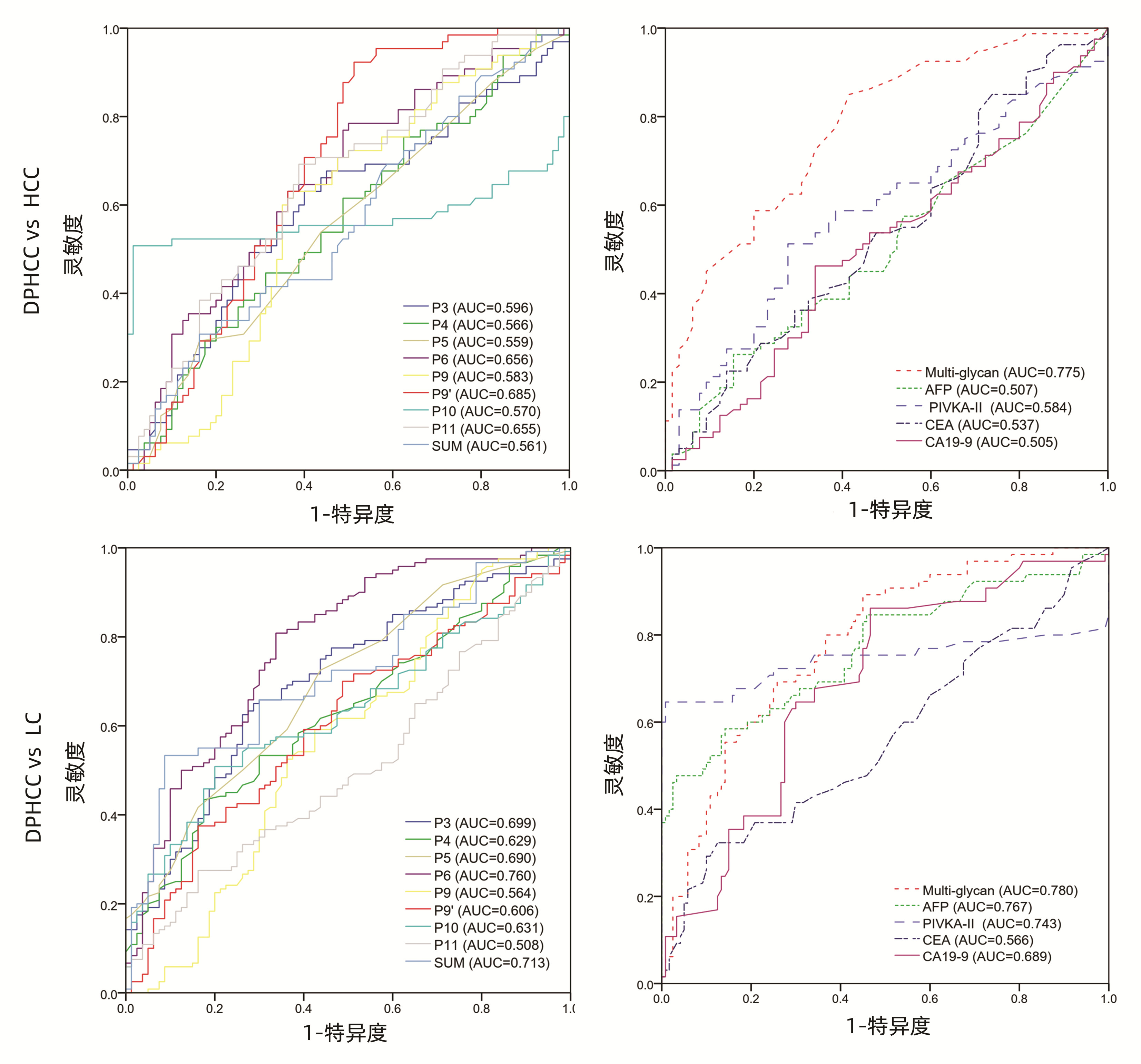
多天线N-糖链对双表型肝细胞癌的辅助诊断价值
冯惠娟, 张宇, 卓传尚, 黄晨军, 房萌, 柳丽娟
2022, 38(6): 1317-1322. DOI: 10.3969/j.issn.1001-5256.2022.06.019
摘要(1076) HTML (526) PDF (3387KB)(53)
摘要:
  目的  探讨双表型肝细胞癌(DPHCC)患者血清中多天线N-糖链(Multi-glycan)的表达及其临床意义。  方法  收集2019年6月—2020年12月福建医科大学孟超肝胆医院65例DPHCC、80例原发性肝细胞癌(HCC)及120例肝硬化(LC)血清样本,采用基于DNA测序仪的荧光毛细管电泳(DSA-FACE)技术检测三组血清中N-糖链的表达,正态分布的计量资料两组间比较采用t检验,多组间比较采用方差分析;非正态分布的计量资料两组间比较采用Mann - Whitney U检验,多组间比较采用Kruskal- Wallis H检验。计数资料组间比较采用χ2检验。采用logistic回归方法建立常见指标模型。采用受试者工作特征(ROC)曲线评价AFP、PIVKA-Ⅱ、CEA、CA19-9及Multi-glycan诊断DPHCC的效能,ROC曲线下面积(AUC)比较采用Z检验。  结果  在DPHCC组及HCC组比较中,仅Multi-glycan差异有统计学意义(P<0.001),而AFP、PIVKA-Ⅱ、CEA、CA19-9及SUM差异均无统计学意义(P值均>0.05)。DPHCC组与HCC组相比,Multi-glycan的曲线下面积(AUCMulti-glycan)为0.775,显著高于AFP(0.507)、PIVKA-Ⅱ(0.584)、CEA(0.537)、CA19-9(0.505)及SUM(0.561),Multi-glycan的灵敏度(69.23%)高于其他5项。在DPHCC组与LC组比较中,Multi-glycan、AFP、PIVKA-Ⅱ、CA19-9及SUM差异均有统计学意义(P值均<0.001)。AUCMulti-glycan(0.780)也均高于AFP(0.767)、PIVKA-Ⅱ(0.743)、CEA(0.566)、CA19-9(0.689)及SUM(0.713),Multi-glycan灵敏度(89.23%)高于其他5项。  结论  Multi-glycan可作为DPHCC的辅助诊断指标之一。
仑伐替尼治疗酪氨酸激酶抑制剂经治不可切除肝细胞癌患者的效果及安全性观察
刘晓民, 孙巍, 魏建莹, 李文东, 丁晓燕, 于明华, 陈京龙
2022, 38(6): 1323-1327. DOI: 10.3969/j.issn.1001-5256.2022.06.020
摘要(1458) HTML (455) PDF (2021KB)(67)
摘要:
  目的  探索仑伐替尼在酪氨酸激酶抑制剂(TKI)经治不可切除肝细胞癌(HCC)患者中的疗效和安全性。  方法  收集2019年1月—2020年1月就诊于首都医科大学附属北京地坛医院接受仑伐替尼治疗的76例不可切除HCC患者临床资料,根据治疗方式分为TKI初治组(n=49)和TKI经治组(n=27)。研究观察至入组后1年或调整治疗方案或肿瘤进展或死亡。比较两组无进展生存期(PFS)、客观缓解率(ORR)、疾病控制率(DCR)、不良事件发生率等。计量资料两组间比较采用t检验或Wilcoxon秩和检验。计数资料组间比较用χ2检验或Wilcoxon秩和检验。应用Kaplan-Meier法进行生存分析,组间比较采用log-rank检验。  结果  TKI初治组和TKI经治组中位PFS(115 d vs 72 d,P=0.148)、ORR(36.7% vs 18.5%,P=0.098)、DCR(65.3% vs 55.6%,P=0.402)、3级及以上不良事件发生率(24.5% vs 18.5%,P=0.550)比较,差异均无统计学意义。  结论  TKI经治不可切除HCC患者可以从仑伐替尼治疗中获益且安全性良好,与TKI初治患者相似。
降钙素基因相关肽受体成分蛋白在肝细胞癌中的表达及其与预后的关系
孙冠群, 周思蕾, 曾榃伦, 刘君宇, 梁喜俊, 程卓
2022, 38(6): 1328-1333. DOI: 10.3969/j.issn.1001-5256.2022.06.021
摘要(1573) HTML (623) PDF (3225KB)(71)
摘要:
  目的  检测降钙素基因相关肽受体成分蛋白(CRCP)在肝细胞癌及癌旁组织中的表达水平,探究其与肝细胞癌临床病理和患者预后的相关性。  方法  收集2003年6月—2009年9月在海军军医大学附属东方肝胆外科医院行手术切除治疗的79例肝细胞癌患者的肝癌组织及相应癌旁组织标本,制作组织芯片,免疫组化定量分析,提取蛋白进行Western Blot检测,比较CRCP在肝癌组织与癌旁组织中的表达差异。计数资料组间比较采用χ2检验,采用受试者工作特性曲线(ROC曲线)分析获得曲线下面积(AUC),评估拟合优度,并使用Youden指数确定最佳截断值,利用Kaplan-Meier生存分析法分析CRCP表达与肝细胞癌预后的关系,两组间比较采用log-rank检验。  结果  79例肝细胞癌患者中,男67例,女12例,年龄10~72岁;病理分级4级1例,3级61例,2级17例;20例合并门静脉癌栓;巴塞罗那分期0期5例,A期55例,B期11例,C期8例。免疫组化结果显示,75.9%的患者肝癌组织中CRCP表达水平明显低于癌旁组织。CRCP低表达肝细胞癌患者的CK19阳性、肿瘤包膜不完整、合并门静脉癌栓和肿瘤病理分级高的患者所占比例更高(χ2值分别为6.410、4.829、9.319、9.083,P值均<0.05)。与CRCP低表达组相比,CRCP高表达组患者的总体生存期更长,复发率更低(P值分别为<0.001、0.009)。另取6例患者的癌组织与癌旁组织进行Western blot检测,结果显示,4例患者肝癌组织中CRCP表达水平低于癌旁组织。  结论  肝癌组织中CRCP低表达相较于高表达患者预后更差,CRCP可能参与肝细胞癌的发生发展与转移过程,提示该分子或可作为肝细胞癌患者预后判定的生物标志物。
论著_其他肝病
255例肝穿刺证实的慢性药物性肝损伤患者预后的影响因素分析
王巧玲, 梁庆生, 黄昂, 翟兴冉, 谢欢, 孙颖, 邹正升
2022, 38(6): 1334-1340. DOI: 10.3969/j.issn.1001-5256.2022.06.022
摘要(1175) HTML (290) PDF (3674KB)(89)
摘要:
  目的  探讨成人慢性药物性肝损伤(DILI)患者预后的影响因素。  方法  选取2014年1月—2018年12月于解放军总医院第五医学中心经肝穿刺明确诊断为慢性DILI患者255例,根据2年后患者的肝功能水平分为未恢复组和恢复组。统计两组患者的年龄、性别、BMI、用药种类、DILI损伤分型、DILI损伤严重程度、合并基础疾病、实验室指标、肝组织学结果及2年预后等临床资料。正态分布的计量资料两组间比较采用t检验; 非正态分布的计量资料两组间比较采用Mann -Whitney U检验。计数资料两组间比较采用χ2检验。采用logistic单因素及多因素回归分析慢性DILI预后的独立影响因素。  结果  经过两年的随访,195例患者肝功能恢复(76.5%),60例(23.5%)未恢复。两组患者在肝损伤类型(P=0.028)、合并糖尿病(P=0.048)比例以及肝组织纤维化程度(P<0.001)的差异具有统计学意义,且未恢复组患者基线WBC、PLT、ALT、AST、GGT和总胆汁酸水平明显高于恢复组患者,ChE水平低于恢复组患者(P值均<0.05)。将基线特征纳入单因素分析logistic回归,结果显示PLT、ALT、AST、ChE、肝纤维化程度分级对预后的影响具有统计学意义(P值均<0.05)。上述变量的多因素logistic回归分析结果显示,PLT<100×109/L(OR=3.592,95%CI: 1.128~11.438,P=0.003)、ALT>2×ULN(OR=3.080,95%CI: 1.331~7.127,P=0.009)是慢性DILI预后的独立危险因素。  结论  当患者达慢性DILI诊断标准时,基线PLT<100×109/L、ALT>2×ULN作为独立危险因素,可以用于筛选出更易出现不良预后的患者。
利多卡因抑制糖尿病小鼠Kupffer细胞炎症反应及对肝脓肿形成的影响
王睿斌, 卢雨征, 朱静林, 王为, 贾光
2022, 38(6): 1341-1346. DOI: 10.3969/j.issn.1001-5256.2022.06.023
摘要(964) HTML (394) PDF (3726KB)(58)
摘要:
  目的  观察利多卡因是否能逆转糖尿病小鼠Kupffer细胞功能障碍,阐明利多卡因通过改善糖尿病小鼠Kupffer细胞吞噬功能并影响肝脓肿形成的机制。  方法  将C57BLKS/J db/db小鼠分为糖尿病对照组和糖尿病+利多卡因组,将C57BLKS/J db/m小鼠分为非糖尿病对照组和非糖尿病+利多卡因组,每组5只,均喂食肺炎克雷伯杆菌悬液。分别取Kupffer细胞体外培养,电镜观察超微结构改变,测定Kupffer细胞的炎症介质分泌水平,细胞间黏附分子1(ICAM-1)表达水平,中性粒细胞趋化功能,吞噬功能,以及肝脓肿的形成。计量资料多组间比较采用Kruskal-Wallis H秩和检验,进一步两两比较采用Mann-Whitney U检验;计数资料组间比较采用χ2检验。  结果  糖尿病小鼠Kupffer细胞中线粒体和粗面内质网的数量减少, 内质网扩张,线粒体肿胀及脂滴增多。与非糖尿病对照组比较,糖尿病对照组Kupffer细胞表达NO[(4.95±0.06) μmol/L vs (1.34±0.13)μmol/L]、IL-6[(740.04±8.58) pg/mL vs (515.77±4.62)pg/mL]、TNFα[(774.23±7.98) pg/mL vs (461.51±1.76)pg/mL]、IFNγ[(842.33±14.79) pg/mL vs (542.47±6.75)pg/mL]、ICAM-1(2.40±0.02 vs 1.33±0.01)水平明显升高(P值均<0.05),中性粒细胞趋化增强(100.80±10.18 vs 13.80±3.70,P<0.05),吞噬能力减弱(9.86±1.82 vs 60.00±3.54,P<0.05),肝脓肿形成无影响(40% vs 0,P>0.05)。与糖尿病对照组比较,糖尿病+利多卡因组Kupffer细胞表达NO[(3.35±0.28) μmol/L vs (4.95±0.06)μmol/L]、IL-6[(688.42±36.34) pg/mL vs (740.04±8.58) pg/mL]、TNFα[(631.15±4.30) pg/mL vs (774.23±7.98) pg/mL]、IFNγ[(704.56±3.64) pg/mL vs (842.33±14.79)pg/mL]、ICAM-1(1.50±0.02 vs 2.40±0.02) 水平明显降低(P值均<0.05),中性粒细胞趋化减弱(33.40±5.60 vs 100.80±10.18,P<0.05),吞噬能力增强(49.20±2.59 vs 9.86±1.82,P<0.05)、肝脓肿形成无影响(0 vs 40%,P>0.05)。  结论  利多卡因可以抑制糖尿病小鼠Kupffer细胞炎症反应并改善其吞噬功能,对Kupffer细胞起到保护作用,但对肝脓肿的形成无影响。
论著_胆道疾病
恶性胆道梗阻经皮胆道引流或支架置入术后感染的病原学特征
李思茵, 李智, 焦冰珂, 洪祈源, 姜小庆, 邹建伟, 倪才方
2022, 38(6): 1347-1350. DOI: 10.3969/j.issn.1001-5256.2022.06.024
摘要(894) HTML (319) PDF (2071KB)(64)
摘要:
  目的  探讨恶性胆道梗阻(MBO)患者经皮胆道引流或支架置入术后感染的病原学特征。  方法  收集2016年1月—2020年12月在苏州大学附属第一医院介入科接受介入治疗后存在或怀疑胆道感染、送检胆汁培养和/或无同期血培养的MBO患者的临床资料。从病原学培养的阳性率、菌群分布、血培养与胆汁培养的一致性、主要致病菌的耐药率方面进行分析。  结果  共纳入患者219例,胆汁病原学培养阳性105例(47.95%),其中革兰氏阴性菌、革兰氏阳性菌、真菌的构成比分别为64.89%、28.24%、6.87%。同期送检血培养者69例,阳性33例(47.82%)。血培养和胆汁培养同为阳性的患者25例,一致性分析结果显示,完全一致占36%(9/25),部分一致占20%(5/25),完全不一致占44%(11/25)。常见致病的革兰氏阴性菌为大肠埃希菌、肺炎克雷伯、阴沟肠杆菌,对其耐药率(<15%)较低的抗生素有头孢哌酮/舒巴坦、阿米卡星、亚胺培南。常见致病的革兰氏阳性菌为屎肠球菌、粪肠球菌,对其耐药率较低的抗生素有万古霉素、利奈唑胺、替考拉宁。  结论  MBO患者经皮胆道引流或支架置入术后感染的常见致病菌为大肠埃希菌、肺炎克雷伯、肠球菌、阴沟肠杆菌。血培养与胆汁培养的一致性较低,均应积极送检。
论著_胰腺疾病
肿块型自身免疫性胰腺炎与胰腺导管腺癌的超声及超声造影表现分析
欧阳向柳, 韩云霞, 郑立春, 赵英春, 申新宇, 张文军, 王艳滨
2022, 38(6): 1351-1355. DOI: 10.3969/j.issn.1001-5256.2022.06.025
摘要(1431) HTML (553) PDF (3738KB)(51)
摘要:
  目的  探讨超声及超声造影对肿块型自身免疫性胰腺炎(AIP)与胰腺导管腺癌(PDAC)的鉴别诊断价值。  方法  回顾性分析2015年1月—2020年12月唐山市工人医院确诊的11例肿块型AIP患者的临床资料及常规超声、超声造影资料,分析其特征性表现,并与23例PDAC患者的资料进行对比,计数资料两组间比较采用χ2检验。  结果  11例肿块型AIP超声造影的诊断准确性为63.64%,均为单发病灶,且均低回声,在边界清晰、形态规则、胰管扩张或截断、血流信号方面所占比例分别为54.55%、63.64%、18.18%、36.36%,而PDCA组分别为30.43%、34.78%、78.26%、21.74%,两组间是否伴胰管扩张或截断方面存在统计学差异(χ2=11.089,P<0.05),其余指标均无明显统计学差异(P值均>0.05)。超声造影中7例(63.64%)肿块型AIP动脉期呈高增强,4例(36.36%)呈等增强,静脉期5例(45.45%)呈高增强、6例(54.55%)呈等增强;23例PDAC中22例(95.65%)病灶在动脉期及静脉期均呈低增强,两者动、静脉期强化方式差异均有统计学意义(χ2值分别为30.345、30.084,P值均<0.05)。  结论  超声造影检查增强模式及是否伴胰管扩张或截断方面在肿块型AIP与PDCA的鉴别诊断中具有较高的价值。
加速康复外科在胰十二指肠切除术围手术期应用有效性和安全性的系统评价与Meta分析
朱琳, 杨小李, 刘莉, 胥兰婷, 冷远洪, 陈静
2022, 38(6): 1356-1363. DOI: 10.3969/j.issn.1001-5256.2022.06.026
摘要(1358) HTML (418) PDF (3967KB)(64)
摘要:
  目的  系统评价加速康复外科(ERAS)在胰十二指肠切除术(PD)围手术期应用的有效性和安全性。  方法  检索中、英文数据库中有关ERAS应用于PD的临床对照研究,检索时间限定为2000年—2021年。对文献进行筛选、质量评价和数据提取,最后采用RevMan5.3软件进行Meta分析。本研究已在PROSPERO注册,注册号为: CRD42021287931。  结果  共纳入22项临床对照研究,包含3511例患者。结果显示,在PD围手术期实施ERAS,与传统术后管理相较,可减少患者总并发症(OR=0.63,95%CI:0.48~0.83,P=0.001)、腹腔感染(OR=0.65,95%CI:0.47~0.88,P=0.005)、肺部并发症(OR=0.57,95%CI:0.42~0.78,P=0.000 5)、胰漏(OR=0.80,95%CI:0.67~0.97,P=0.02)、胃排空障碍(OR=0.58,95%CI:0.48~0.71,P<0.001)的发生率,并可有效减少术后住院时间(MD=-2.76,95%CI:-3.36~-2.16,P<0.001),差异均有统计学意义。但在病死率、切口感染、术后出血率、再次手术和再次入院等方面,两组差异均无统计学意义(P值均>0.05)。  结论  ERAS应用于PD围手术期具有较好的有效性及安全性,可显著减少患者术后并发症的发生率和术后住院时间。
病例报告
恩替卡韦相关的中毒性表皮坏死松解症1例报告并文献复习
鲁瑞, 耿晓珍, 党双锁, 王文俊
2022, 38(6): 1364-1366. DOI: 10.3969/j.issn.1001-5256.2022.06.027
摘要(1179) HTML (326) PDF (1832KB)(87)
摘要:
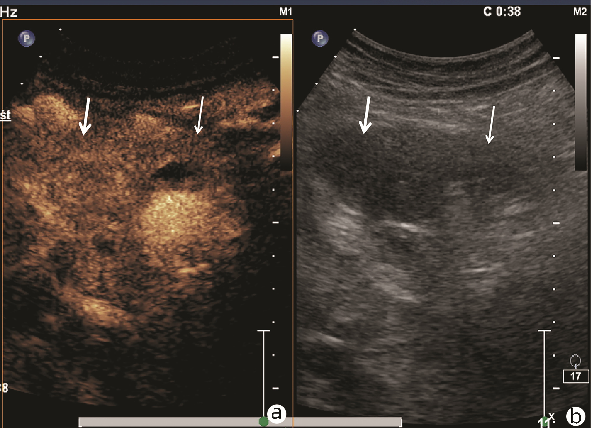
乙型肝炎肝硬化合并肝型并殖吸虫误诊为原发性肝癌1例报告
黄申锋, 林家军, 谭阳, 蔡治方
2022, 38(6): 1367-1369. DOI: 10.3969/j.issn.1001-5256.2022.06.028
摘要(987) HTML (273) PDF (2412KB)(53)
摘要:
小儿巨大肝脏局灶性结节性增生1例报告
陈诚, 王俊杰, 吴涯昆
2022, 38(6): 1370-1372. DOI: 10.3969/j.issn.1001-5256.2022.06.029
摘要(1062) HTML (390) PDF (3134KB)(67)
摘要:
肝癌肉瘤1例报告
陈良, 武金才, 陈家诚, 罗相相, 唐荣, 覃汉德, 周开伦
2022, 38(6): 1373-1374. DOI: 10.3969/j.issn.1001-5256.2022.06.030
摘要(1094) HTML (198) PDF (3285KB)(63)
摘要:
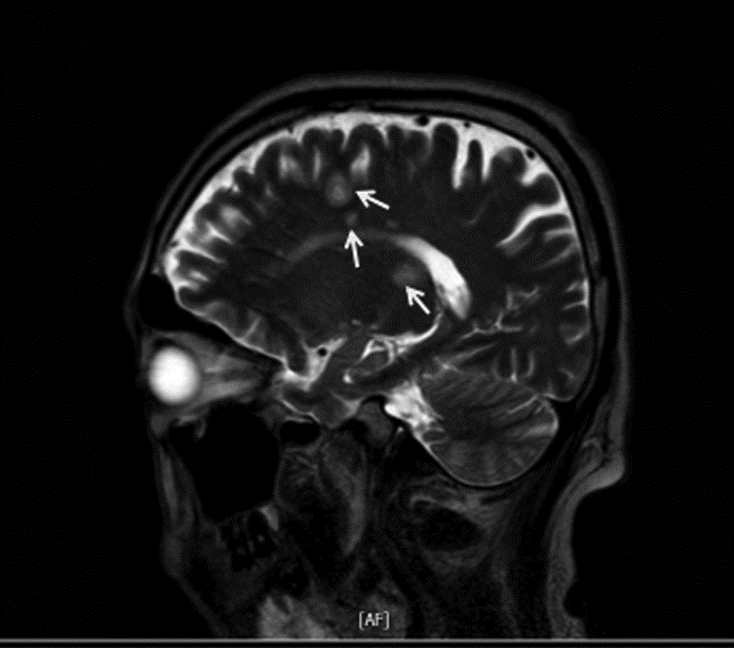
2型糖尿病合并肝脓肿继发脑脓肿1例报告
王德运, 金瑞瑞, 赵振, 李慧
2022, 38(6): 1375-1376. DOI: 10.3969/j.issn.1001-5256.2022.06.031
摘要(969) HTML (281) PDF (1890KB)(71)
摘要:
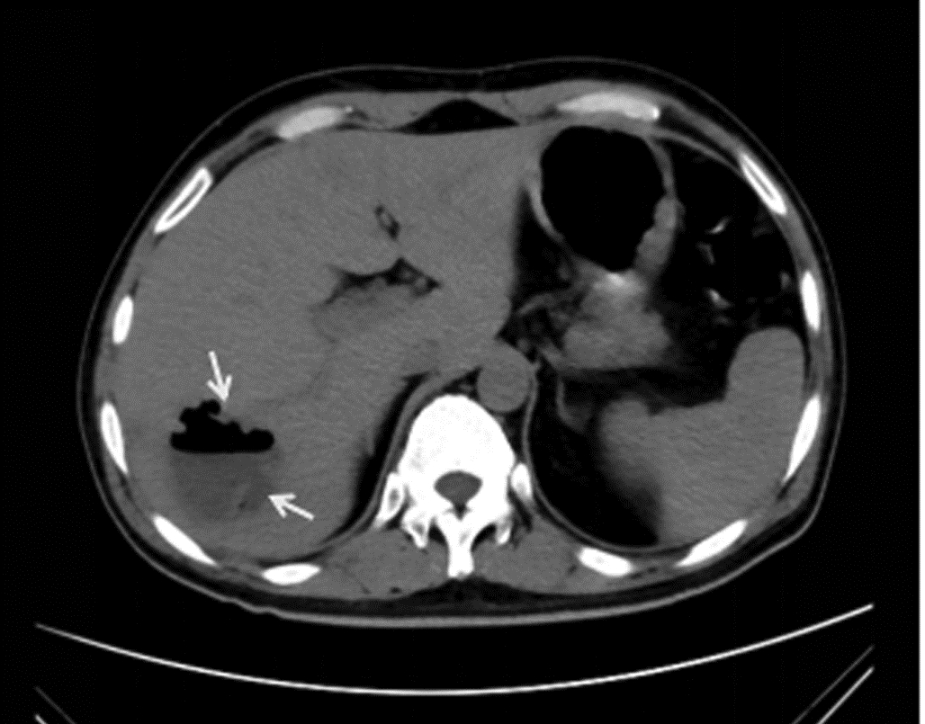
泡型肝包虫侵犯胆管及下腔静脉1例报告
刘洪恩, 张婷婷, 王志鑫, 郭新建, 王海久, 樊海宁, 任利, 侯立朝
2022, 38(6): 1377-1379. DOI: 10.3969/j.issn.1001-5256.2022.06.032
摘要(1093) HTML (253) PDF (3744KB)(66)
摘要:
伴有胸腹腔积液及肝内外胆管扩张的肝吸虫病1例报告
曾秋婷, 陈埏芳, 汤绍辉
2022, 38(6): 1380-1382. DOI: 10.3969/j.issn.1001-5256.2022.06.033
摘要(1202) HTML (554) PDF (2003KB)(73)
摘要:
综述
N6-甲基腺苷修饰在HBV感染中的作用
薛萍, 范超
2022, 38(6): 1383-1386. DOI: 10.3969/j.issn.1001-5256.2022.06.034
摘要(1140) HTML (293) PDF (2985KB)(59)
摘要:
N6-甲基腺苷(m6A)甲基化修饰现象普遍存在于人体各个组织和细胞中,是真核生物mRNA普遍的内部修饰。m6A修饰是动态可逆的,多种甲基转移酶、去甲基化酶及m6A结合蛋白参与此过程的调控。最近的研究结果表明,m6A修饰可影响病毒基因的表达,尤其在HBV感染过程中发挥着重要的作用。本文简要概括了m6A修饰的研究现状及机制,并重点关注其与HBV感染的关系。阐述了HBV转录物的m6A修饰作用,回顾了m6A参与HBV感染免疫应答的相关研究结果,归纳了HBV感染对宿主细胞m6A修饰及HBV相关肝细胞癌的影响,以期探讨其在HBV感染研究中的发展方向和潜在价值。
治疗慢性乙型肝炎新药研发的研究进展
刘义思, 陈新月
2022, 38(6): 1387-1392. DOI: 10.3969/j.issn.1001-5256.2022.06.035
摘要(2504) HTML (1422) PDF (2381KB)(243)
摘要:
当前针对慢性乙型肝炎的抗病毒治疗临床治愈率低,并且难以清除cccDNA。随着医药水平的进步,越来越多的新药正处于研发阶段。重点阐述临床试验数据较详尽代表性药物的研发情况。近些年来小干扰RNA、核心蛋白变构调节剂等新药进展较快。从临床试验结果来看,新药进入临床使用仍需一定的时间,并且多药联合方案可能会成为今后的治疗趋势。
慢性乙型肝炎信号转导及转录激活因子3、5与Treg/Th17平衡的关系
李敏玥, 杨红菊, 李静, 宋瑞, 游晶
2022, 38(6): 1393-1397. DOI: 10.3969/j.issn.1001-5256.2022.06.036
摘要(1079) HTML (267) PDF (2038KB)(52)
摘要:
慢性乙型肝炎持续感染的免疫机制与T淋巴细胞密切相关,T淋巴细胞的发育需要多种细胞因子的协调作用,而信号转导及转录激活因子家族蛋白主要参与细胞因子的信号转导,尤其是STAT5a/b和STAT3在调节性T淋巴细胞(Treg)和辅助性T淋巴细胞17(Th17)的分化、发育过程中有着重要作用。本文主要就在慢性乙型肝炎中,对信号转导及转录激活因子3、5与Treg/Th17平衡的关系进行分析,研究HBV感染的慢性化及其引起的肝脏炎症调控机制。
非酒精性脂肪性肝炎在研Ⅲ期临床试验新药研究进展
王钰, 颜学兵
2022, 38(6): 1398-1401. DOI: 10.3969/j.issn.1001-5256.2022.06.037
摘要(2062) HTML (751) PDF (1860KB)(273)
摘要:
非酒精性脂肪性肝炎(NASH)可引起肝硬化、肝癌等终末期肝病,通过治疗NASH,逆转肝脂肪变性,延缓终末期肝病的发生刻不容缓。NASH的发病机制复杂,尚无有效药物治疗,目前新药仍有巨大的市场潜力,是国内外众多制药公司竞相追逐的热点。本文主要总结了现有已进入Ⅲ期临床试验的NASH在研新药的种类、作用机制、研究现状以及未来市场前景。
法尼醇X受体激动剂在非酒精性脂肪性肝炎治疗中的应用
沈镇扬, 蔡晓波, 陆伦根
2022, 38(6): 1402-1405. DOI: 10.3969/j.issn.1001-5256.2022.06.038
摘要(1241) HTML (368) PDF (1851KB)(149)
摘要:
非酒精性脂肪性肝炎(NASH)作为患病率较高的一种肝病,严重危害人类健康。近年来,法尼醇X受体相关药物在调节胆汁酸、糖脂代谢以及抑制炎症方面发挥了重要作用。总结了不同种类的法尼醇X受体激动剂在NASH治疗中的应用,为NASH的防治提供一定的依据。
胰高血糖素样肽1系统与非酒精性脂肪性肝病防治的关系
崔泓亮, 徐立, 鲁彤
2022, 38(6): 1406-1410. DOI: 10.3969/j.issn.1001-5256.2022.06.039
摘要(1132) HTML (575) PDF (2126KB)(61)
摘要:
非酒精性脂肪性肝病(NAFLD)的发病人数众多,现已成为严重危害世界人民建康的主要慢性肝病之一。本文介绍了胰高血糖素样肽1(GLP-1)系统中与GLP-1的产生、分解和受体效应相关的主要因素,总结了GLP-1系统对NAFLD的调控机理,提出利用GLP-1系统治疗NAFLD的主要问题,为NAFLD的研究和临床治疗提供参考。
肠道菌群和色氨酸代谢在非酒精性脂肪性肝病中的作用
钟庆玲, 李良平
2022, 38(6): 1411-1415. DOI: 10.3969/j.issn.1001-5256.2022.06.040
摘要(3131) HTML (1207) PDF (2304KB)(220)
摘要:
非酒精性脂肪性肝病(NAFLD)是多系统功能紊乱累及肝脏的表现,从单纯性脂肪变性到非酒精性脂肪性肝炎、肝纤维化、肝硬化和肝细胞癌。越来越多的研究揭示肠道菌群失调及代谢产物改变在NAFLD中的重要性。而肠道菌群产生色氨酸代谢产物具有改善肠道屏障功能、调节异常的糖脂代谢、减轻胰岛素抵抗及炎症反应等作用。本文旨在综述肠道菌群、色氨酸和其代谢物以及二者间相互作用对NAFLD的影响。
抗gp210抗体在原发性胆汁性胆管炎中的产生机制与检测价值
张继红, 李素领
2022, 38(6): 1416-1419. DOI: 10.3969/j.issn.1001-5256.2022.06.041
摘要(1419) HTML (927) PDF (1852KB)(84)
摘要:
原发性胆汁性胆管炎(PBC)是自身免疫性肝病之一,多数患者早期无明显临床表现,出现症状已至中晚期,尽早明确诊断及评估预后是非常必要的。抗gp210抗体对于诊断PBC及预测疾病进展有重要价值,检测该抗体可以优化PBC评分系统。本文总结评述了抗gp210抗体在PBC中的产生机制及检测的具体价值。
基质金属蛋白酶/基质金属蛋白酶水解酶对肝纤维化的调控及相关治疗药物研究进展
黄倩, 杨燕, 曾锐, 姚孟林, 孙琴
2022, 38(6): 1420-1425. DOI: 10.3969/j.issn.1001-5256.2022.06.042
摘要(2258) HTML (525) PDF (2286KB)(193)
摘要:
肝纤维化是多种慢性肝损伤的共同后果,其主要特征是细胞外基质(ECM)产生与降解不平衡,导致间质胶原及其他基质成分积聚。而基质金属蛋白酶(MMP)及其特异性抑制剂[金属蛋白酶的组织抑制剂,基质金属蛋白酶水解酶(TIMP)]在胶原生成和溶解中起着关键作用。本文通过文献综述,整合基于MMP/TIMP的肝纤维化实验研究,并总结可能通过影响MMP/TIMP表达或活性发挥抗肝纤维化作用的组分,尝试阐明MMP/TIMP调控胶原平衡的机制,以期为抗肝纤维化药物的开发提供支持。
血小板在肝细胞癌发生发展中的作用
于潇, 武国兵, 张爱斌, 程晓龙, 刘敏, 胡泽楠, 郑亚, 王玉平, 陈兆峰
2022, 38(6): 1426-1430. DOI: 10.3969/j.issn.1001-5256.2022.06.043
摘要(1480) HTML (844) PDF (3360KB)(195)
摘要:
肝细胞癌是常见的肿瘤相关死亡原因之一。在我国,其发病率和死亡率都很高。近年研究显示,血小板与肝细胞癌的发生密切相关。本文通过文献回顾,发现血小板不仅参与止血,还作用于肝细胞和肿瘤微环境,促进新生血管的形成以及作为一种细胞介质通过免疫应答等途径参与肝细胞癌的发生发展。此外,血小板及其衍生物可作为肝细胞癌的潜在治疗靶点。因此,抗血小板治疗有望成为一种新型辅助策略应用于肝细胞癌的防治,具有重要的临床意义。
自身免疫性肝炎相关肝细胞癌的研究进展
郭文沛, 张海燕, 刘立新
2022, 38(6): 1431-1435. DOI: 10.3969/j.issn.1001-5256.2022.06.044
摘要(1284) HTML (414) PDF (1859KB)(101)
摘要:
自身免疫性肝炎(AIH)相关肝细胞癌(HCC)是指在长期AIH的基础上发生的HCC,其发病率较低(0~6%)。高龄、男性、糖尿病、酒精使用、AIH反复复发与持续ALT异常、免疫抑制治疗和治疗失败及长期肝硬化状态等可能是AIH患者发生HCC的危险因素。肝硬化是AIH发生HCC的重要阶段。AIH进展到肝硬化后,HCC发病率显著升高。目前国内外关于AIH发生HCC的机制鲜有报道,可能与肝硬化诱导下特异性分子生物学特征(染色体、端粒、基因等)的改变、细胞死亡-炎症-癌症途径及肠道微生态紊乱等有关。及时识别AIH可能发展为HCC的高危人群并加强干预、随访和监测非常重要。
线粒体功能障碍与肝细胞癌的关系
高小强, 左石, 贾晓东, 陆荫英
2022, 38(6): 1436-1439. DOI: 10.3969/j.issn.1001-5256.2022.06.045
摘要(1825) HTML (650) PDF (2104KB)(138)
摘要:
肝细胞癌(HCC)是一种发病率高、早诊率低、预后差的肿瘤,其发生与发展涉及多方面因素。线粒体是细胞的“能量工厂”,是体内活性氧自由基产生的主要部位之一,并参与调控细胞凋亡,是一种重要的细胞器。在HCC发生、发展过程中,线粒体膜、氧化呼吸链、线粒体动力学、线粒体DNA、线粒体钙稳态等均发生不同程度的变化,且这种改变会影响HCC的进展。系统阐述线粒体与HCC的关系,为HCC的诊治提供新方向。
吲哚胺2, 3-双加氧酶——多种肝病中发挥双刃剑作用的重要介质
叶森, 王宏宾, 付永
2022, 38(6): 1440-1444. DOI: 10.3969/j.issn.1001-5256.2022.06.046
摘要(1204) HTML (415) PDF (1905KB)(42)
摘要:
吲哚胺2, 3-双加氧酶(IDO)是一种重要的免疫调节酶,可降解哺乳动物必需氨基酸色氨酸水平,通过犬尿氨酸途径催化起始和限速步骤并产生多种代谢产物参与免疫应答。IDO一方面对微环境发挥免疫抑制作用,导致感染、肿瘤细胞免疫逃逸等;另一方面,对细菌、寄生虫等病原体同样发挥抑制作用,一定程度上保护机体免受病原体的侵害。因此,IDO被认为是在多种肝脏疾病发生发展中具有双刃剑作用的重要介质。本文就IDO在病毒性肝炎、肝纤维化、肝硬化、肝癌、肝棘球蚴病中的最新研究进展作一综述。
急性胆囊炎内镜及介入治疗的研究进展
刘思莹, 李鹏, 张澍田, 吕富靖
2022, 38(6): 1445-1448. DOI: 10.3969/j.issn.1001-5256.2022.06.047
摘要(1296) HTML (819) PDF (1843KB)(83)
摘要:
急性胆囊炎是一种常见的急腹症。根据严重程度不同可分为Ⅰ级(轻度)、Ⅱ级(中度)、Ⅲ级(严重)。对于病情严重且手术风险较高的患者,胆囊引流是重要的治疗手段。临床上常用的经皮经肝胆囊引流,临床成功率可达65%以上。随着内镜技术的发展,国内外一些中心开始将内镜下胆囊引流应用到急性胆囊炎的管理,本文介绍了临床上常用的胆囊引流方法,如经皮经肝穿刺胆囊引流、超声内镜引导下胆囊穿刺引流术、内镜下经乳头胆囊引流术等,并就近年来急性胆囊炎内镜及介入治疗发展现状进行综述。
国外期刊精品文章简介
Hepatology Research|预测慢性乙型肝炎患者何时停用核苷(酸)类似物及停药后乙型肝炎复发的生物标志物
蒋德科
2022, 38(6): 1228-1228. DOI: 10.3969/j.issn.1001-5256.2022.06.gwjpwzjj1
摘要(490) HTML (185) PDF (851KB)(73)
摘要:
Hepatology Communications|CRISPR介导的单碱基编辑可高效沉默HBV S基因
周豪, 牛俊奇
2022, 38(6): 1369-1369. DOI: 10.3969/j.issn.1001-5256.2022.06.gwjpwzjj2
摘要(1072) HTML (311) PDF (850KB)(45)
摘要:
Hepatology|不同表观转录状态下HBV cccDNA微染色体的稳定性差异
王洋, 陈捷亮
2022, 38(6): 1382-1382. DOI: 10.3969/j.issn.1001-5256.2022.06.gwjpwzjj3
摘要(597) HTML (200) PDF (853KB)(44)
摘要:
读者·作者·编者
卡方检验的应用条件
2022, 38(6): 1292-1292.
摘要(327) HTML (198) PDF (1311KB)(59)
摘要:
《临床肝胆病杂志》关于开放研究者与贡献者身份识别码(ORCID)的要求
2022, 38(6): 1298-1298.
摘要(396) HTML (194) PDF (852KB)(36)
摘要:
《临床肝胆病杂志》关于文章中实验动物描述的要求
2022, 38(6): 1405-1405.
摘要(305) HTML (179) PDF (845KB)(43)
摘要:
消息
《临床肝胆病杂志》关于不法人员冒用本刊名义实施邮件诈骗的严正声明
2022, 38(6): 1251-1251.
摘要(309) HTML (219) PDF (1386KB)(40)
摘要:
志谢
本期审稿专家
2022, 38(6): 1448-1448. DOI: 10.3969/j.issn.1001-5256.2022.6.zhixie1
摘要(403) HTML (191) PDF (844KB)(50)
摘要: