中文English
ISSN 1001-5256 (Print)
ISSN 2097-3497 (Online)
CN 22-1108/R
2023 NO.11

Theme Issue:

Progress in the accurate diagnosis and treatment of hepatitis E Executive

Executive Chief Editor: CAO Hongcui
The First Affiliated Hospital, Zhejiang University School of Medicine

Display Method:
Editorial
Hepatitis E: From behind the scenes to the front stage
Jian WU, Ze XIANG, Hongcui CAO
2023, 39(11): 2521-2523. DOI: 10.3969/j.issn.1001-5256.2023.11.001
Abstract(1077) HTML (214) PDF (532KB)(231)
Abstract:
Hepatitis E is a type of viral hepatitis caused by hepatitis E virus (HEV) infection. There are four main genotypes of HEV, namely genotypes 1‍ — ‍4. Compared with hepatitis B and hepatitis C, previous research on hepatitis E has made slow progress; however, in recent years, hepatitis E has gradually attracted more attention in China, achieving the transition from behind the scenes to the front stage. First, China has a large population base, a large number of people infected with hepatitis E, and a heavy disease burden, and thus it is necessary to attach great importance to the prevention, diagnosis, and treatment of hepatitis E. Second, the World Health Organization (WHO) has put forward the ambitious goal of eliminating viral hepatitis by 2030, and China has made remarkable achievements in the prevention and treatment of hepatitis B and hepatitis C. At present, the incidence and mortality rates of hepatitis E in China have exceeded those of hepatitis A, and the prevention and treatment of hepatitis E in China is of great significance to actively respond to the call of the WHO. Finally, Chinese researchers in the field of hepatitis E have formed Chinese Consortium for the Study of Hepatitis E, formulated related expert consensus, and established international cooperation platforms, which further promotes the research on hepatitis E in China.
Expert Forum
Advances in the prevention and treatment of the high-risk population for hepatitis E
Yueping ZHU, Chuanwu ZHU
2023, 39(11): 2524-2529. DOI: 10.3969/j.issn.1001-5256.2023.11.002
Abstract(1000) HTML (290) PDF (703KB)(139)
Abstract:
Hepatitis E virus (HEV) infection is one of the most common causes of acute viral hepatitis. Most patients with HEV infection are asymptomatic and the virus can be spontaneously eliminated. Pregnant women, the elderly, immunocompromised populations, patients with chronic liver disease, and individuals in close contact with HEV-infected animals are at a high risk for HEV infection. The recombinant hepatitis E vaccine HEV 239 is the only approved hepatitis E vaccine, with both short- and long-term protective efficacy. This vaccine has a favorable safety profile with few adverse events, and the high-risk populations should be given the priority to receive such vaccination. Immunocompromised individuals may develop chronic HEV infection. Ribavirin and interferon are currently the most commonly used antiviral drugs for the treatment of HEV infection; however, it still needs to develop safe and effective novel antiviral drugs for patients with contraindications to ribavirin or interferon or those who have no response to such therapy.
The mechanism of the severe exacerbation and chronicity of hepatitis E virus infection
Yuxin CHEN, Yijin WANG
2023, 39(11): 2530-2537. DOI: 10.3969/j.issn.1001-5256.2023.11.003
Abstract(1170) HTML (583) PDF (658KB)(182)
Abstract:
Hepatitis E virus (HEV) infection is the most common cause of acute viral hepatitis worldwide, and over the past ten years, studies have shown that HEV can not only cause acute self-limiting hepatitis, but also lead to severe and chronic infection. Pregnant women or patients with underlying liver disease may progress to liver failure after HEV infection, resulting in a relatively high mortality rate, and patients receiving solid organ transplantation may progress to chronic hepatitis after HFV infection. This article introduces the diagnosis, clinical features, transmission, prevention, and treatment of severe and chronic HEV infection, discusses the features of immune response, inflammatory response, and the virus itself during the severe exacerbation and chronicity of HEV infection, and summarizes the mechanism in promoting the progression of HEV. Nevertheless, there are still large gaps between current studies and clinical application, and there is still a lack of effective diagnosis and treatment regimens for severe and chronic HEV infection. It is necessary for clinical researchers to conduct research on the pathogenesis of hepatitis E and systematic cohort studies and improve the level of clinical nursing, thereby achieving the goal of preventing hepatitis E and improving the prognosis of patients with hepatitis E.
Research advances in the interspecies transmission of hepatitis E virus
Yunlong LI, Fen HUANG
2023, 39(11): 2538-2542. DOI: 10.3969/j.issn.1001-5256.2023.11.004
Abstract(963) HTML (326) PDF (562KB)(106)
Abstract:
Hepatitis E virus (HEV) is a pathogen for viral hepatitis and can be transmitted across species via animals. The incidence rate of hepatitis E caused by HEV infection ranks first among acute viral hepatitis worldwide, and now it has become a major public health issue that threatens human health. In recent years, more and more species have been identified as the natural hosts of HEV, and there are more routes for the interspecies transmission of HEV, which greatly inhibits the prevention and control of this virus. Therefore, this article reviews and discusses the advances in the interspecies transmission of HEV, so as to provide a reference for the prevention and control of HEV.
Guideline
Guidelines for integrated traditional Chinese and Western medicine diagnosis and treatment of liver cirrhosis
Chinese Association of Integrative Medicine, Chinese Medical Association
2023, 39(11): 2543-2549. DOI: 10.3969/j.issn.1001-5256.2023.11.005
Abstract(2259) HTML (545) PDF (789KB)(435)
Abstract:
Liver cirrhosis (LC) is the terminal pathological stage of various chronic liver diseases and is characterized by chronic inflammation, diffuse fibrosis, pseudolobular formation, and portal-systemic collateral circulation, which belongs to the category of jaundice, hypochondriac pain, and abdominal distension in traditional Chinese medicine. At present, there is still a lack of specific clinical treatment methods, and integrated traditional Chinese and Western medicine therapy can effectively delay the progression of LC. Based on the principle of evidence-based medicine and with reference to the summary of recent clinical practice and the latest guidelines and expert consensus published in China and globally, the guidelines in this article are formed by objectively evaluating the evidence of integrated traditional Chinese and Western medicine diagnosis and treatment of LC and extensively soliciting the opinions of experts in the fields of traditional Chinese medicine, clinical medicine, and clinical epidemiology, so as to provide a reference for integrated traditional Chinese and Western medicine diagnosis and treatment of LC in clinical practice.
Expert consensus on day-case laparoscopic cholecystectomy
Minimally Invasive Surgery Committee of the Chinese Research Hospital Association
2023, 39(11): 2550-2557. DOI: 10.3969/j.issn.1001-5256.2023.11.006
Abstract(2408) HTML (542) PDF (687KB)(335)
Abstract:
The concept of day-case surgery was first proposed by British surgeon Nicoll, referring to the surgery or procedure in which a patient completes admission and discharge within one day (24 h). In recent years, China has gradually implemented the day-case mode of laparoscopic cholecystectomy. Day-case laparoscopic cholecystectomy could significantly shorten hospital stay, reduce hospital infections, accelerate patient recovery, improve the efficiency of medical resource utilization, and reduce medical costs. In order to provide reference for exploring and developing standardized day-case laparoscopic cholecystectomy and promote the standardized application and promotion of day-case laparoscopic cholecystectomy, the Minimally Invasive Surgery Committee of the Chinese Research Hospital Association organized experts from surgery, anesthesia, and nursing to develop this expert consensus.
Key points of EASL Clinical Practice Guidelines on hepatitis delta virus (2023)
Huimin LIU, Wenting CHEN, Shilian LI, Hongmei GONG, Qing. MAO
2023, 39(11): 2558-2563. DOI: 10.3969/j.issn.1001-5256.2023.11.007
Abstract(1454) HTML (495) PDF (1093KB)(308)
Abstract:
Due to significant innovations in the diagnosis and treatment of hepatitis D virus (HDV), the European Society of Hepatology (EASL) published its first international clinical practice guidelines on the management of individuals with HDV infection in July 2023. The guidelines mainly focus on the six aspects of HDV screening, diagnosis, clinical features and influencing factors, patient monitoring and selection for treatment, therapeutic methods and treatment endpoints. The guidelines give recommendations by answering and elaborating on 13 questions covering these six aspects. In addition, the guidelines also provide the prospect of the future treatment of HDV. The author’s team makes an excerpt of the guidelines and systematically introduces various evaluation points in recommendations and clinical management suggestions, in order to promote the development of clinical management and decision-making for individuals with HDV infection in China.
An excerpt of AASLD practice guidance on the use of TIPS, variceal embolization, and retrograde transvenous obliteration in the management of variceal hemorrhage in 2023
Henglu BIAN, Jiasu LI, Cui LIU, Feng LIU
2023, 39(11): 2564-2568. DOI: 10.3969/j.issn.1001-5256.2023.11.008
Abstract(1114) HTML (291) PDF (501KB)(194)
Abstract:
A brief introduction of Evidence-based clinical practice guidelines for cholelithiasis 2021 by the Japanese Society of Gastroenterology
Zhenmei CHEN, Jing LIN, Jinhong CHEN
2023, 39(11): 2569-2574. DOI: 10.3969/j.issn.1001-5256.2023.11.009
Abstract(1605) HTML (410) PDF (563KB)(289)
Abstract:
The Japanese Society of Gastroenterology (JSGE) first published evidence-based clinical practice guidelines for cholelithiasis in 2010, followed by a revision in 2016. In April 2023, JSGE published the 2021 edition of evidence-based clinical practice guidelines for cholelithiasis based on the clinical issues associated with cholelithiasis in the databases such as Medline, Cochrane, and Igaku Chuo Zasshi and the latest evidence in literature published in the past five years. The revised edition reviews related clinical questions in the previous edition from the aspects of the epidemiology, pathogenesis, diagnosis, treatment, prognosis, and complications of cholelithiasis and reclassifies them into three categories, with 52 questions in total, among which there are 29 background questions dealing with basic background knowledge, 19 clinical questions, and 4 future research questions requiring further accumulation of evidence, thereby providing guidance for decision making in the clinical management of patients with cholelithiasis.
Viral Hepatitis
Trend and prediction of the disease burden of acute hepatitis B in China
Huawei QIU, Tianfu LIANG, Zhi ZHONG, Xuejiao JIA, Yang JIANG
2023, 39(11): 2575-2579. DOI: 10.3969/j.issn.1001-5256.2023.11.010
Abstract(1089) HTML (318) PDF (604KB)(140)
Abstract:
  Objective  To investigate the situation and development trend of the disease burden of acute hepatitis B in China in 1990 — 2019.  Methods  The Global Burden of Disease 2019 was used to analyze the incidence rate, mortality rate, and disability-adjusted life year (DALY) rate of acute hepatitis B in different sex and age groups and predict the trend of the incidence rate of acute hepatitis B.  Results  In 2019, the incidence rate, mortality rate, and DALY rate of acute hepatitis B in China were 1 623.71/100 000, 0.20/100 000, and 10.04/100 000 respectively, which were reduced by 42.03%, 79.38%, and 80.21%, respectively, compared with the data in 1990, and women showed lower incidence rate, mortality rate, and DALY rate of acute hepatitis B than men. In 2019, the 20~<54 years group had the highest incidence rate (2 285.85/100 000) and DALY rate (10.53/100 000), and the ≥55 years group had the highest mortality rate of 0.52/100 000. The Joinpoint regression model analysis showed that the incidence rate, mortality rate, and DALY rate of acute hepatitis B in China tended to decrease from 1990 to 2019, with an average annual percent change of -1.9%, -5.2%, and -5.5%, respectively (P<0.05). The grey prediction model GM (1,1) showed that the incidence rate of acute hepatitis B will decrease from 2020 to 2030 in China.  Conclusion  The disease burden of acute hepatitis B tended to decrease from 1990 to 2019 in China, indicating that the prevention and treatment measures for acute hepatitis B have achieved a marked effect in China; however, due to the large population base of China, active preventive measures should be further adopted to reduce the disease burden of acute hepatitis B.
Value of albumin-related ratios in predicting the risk of death in patients with hepatitis B virus-related acute-on-chronic liver failure
Yu ZENG, Hang WANG, Cunliang DENG, Yunjiang SHENG
2023, 39(11): 2580-2587. DOI: 10.3969/j.issn.1001-5256.2023.11.011
Abstract(996) HTML (269) PDF (920KB)(92)
Abstract:
  Objective  To investigate and compare the value of albumin-related ratios [total bilirubin-to-albumin ratio (TAR), creatinine-to-albumin ratio (CAR), prothrombin time-international normalized ratio-to-albumin ratio (IAR), neutrophil count-to-albumin ratio (NAR), and red blood cell distribution width-to-albumin ratio (RAR)] in predicting the short-term prognosis of patients with hepatitis B virus-related acute-on-chronic liver failure (HBV-ACLF).  Methods  A retrospective analysis was performed for 354 patients with HBV-ACLF who were admitted to Department of Infectious Diseases, The Affiliated Hospital of Southwest Medical University, from June 2017 to February 2022, and according to their prognosis at 3 months of follow-up, they were divided into survival group (n=272) and death group (n=82). Related indices were recorded for all patients, including age, sex, complications, and the results of routine blood test, liver function, and coagulation for the first time after admission, and albumin-related ratios and Model for End-Stage Liver Disease (MELD) score were calculated. The t-test was used for comparison of normally distributed continuous data between groups, and the Mann-Whitney U test was used for comparison of non-normally distribution continuous data between groups; the chi-square test was used for comparison of categorical data between groups. The Spearman correlation test was used to investigate the correlation between albumin-related ratios and MELD score. The Logistic regression analysis was used to explore the association of MELD score, TAR, CAR, IAR, NAR, and RAR with poor prognosis. The area under the ROC curve (AUC) was used to as sess the accuracy of albumin-related ratios and MELD score in predicting the short-term prognosis of HBV-ACLF patients, and the De-Long test was used for the comparison of AUC.  Results  Compared with the death group, the survival group had significantly lower MELD score (Z=-8.071, P<0.001), TAR (Z=-6.695, P<0.001), CAR (Z=-4.463, P<0.001), IAR (Z=-7.912, P<0.001), NAR (Z=-4.061, P<0.001), and RAR (Z=-4.788, P<0.001). MELD score was positively correlated with CAR (r=0.616, P<0.001), IAR (r=0.733, P<0.001), TAR (r=0.657, P<0.001), NAR (r=0.392, P<0.001), and RAR (r=0.380, P<0.001). The multivariate regression analysis of MELD score and albumin-related ratios showed that high TAR (odds ratio [OR]=1.014, 95% confidence interval [CI]: 1.008 — 1.020, P<0.001) and high IAR (OR=22.052, 95%CI: 6.937 — 70.103, P<0.001) were independent risk factors for death. The ROC curves were plotted for albumin-related ratios and MELD score to evaluate their discriminatory ability for mortality, and the results showed that MELD score, TAR, CAR, IAR, NAR, and RAR had an AUC of 0.794, 0.744, 0.663, 0.788, 0.648, and 0.674, respectively, among which MELD score had the highest sensitivity of 86.59% and CAR had the highest specificity of 77.57%. TAR combined with IAR had an AUC of 0.809, with a sensitivity of 76.8% and a specificity of 71.3%. Subgroup analysis of HBV-ACLF showed that TAR combined with IAR had the highest AUC values of 0.884 and 0.733, respectively, in patients with type A or type C HBV-ACLF.  Conclusion  TAR and IAR can be used as simple and effective prognostic tools to predict the 90-day mortality of HBV-ACLF patients.
Fatty Liver Disease
ZJU index and the risk of nonalcoholic fatty liver disease in the Uygur population in the rural area of Xinjiang Uygur Autonomous Region: A cohort study
Xiao CHENG, Jiajia WANG, Jing YANG, Rong BAI, Shijie ZHANG, Hongwei ZHANG, Xiangwei WU, Rulin MA, Xianghui ZHANG, Heng GUO, Shuxia GUO, Xinyu PENG
2023, 39(11): 2588-2595. DOI: 10.3969/j.issn.1001-5256.2023.11.012
Abstract(986) HTML (539) PDF (795KB)(71)
Abstract:
  Objective  To investigate the association between ZJU index and the onset of nonalcoholic fatty liver disease (NAFLD) in the Uygur population and the value of ZJU index in predicting the risk of NAFLD.  Methods  The Uighur community of The 51st Regiment of The Third Division of Xinjiang Kashgar Corps was selected as the investigation site, and the Uygur residents who lived in this area and had an age of >18 years were selected as subjects. Follow-up studies were conducted in 2019, 2020, and 2021, and the investigation of outcomes was completed in June to August of 2021. Finally 10 597 subjects were enrolled for analysis. The Kruskal-Wallis H test was used for comparison of continuous variables between groups, and the chi-square test was used for comparison of categorical variables between groups. The subjects were divided into Q1-Q4 groups according to the level of ZJU index. The Kaplan-Meier curve was used to predict the incidence rate of NAFLD, and the Cox regression model was used to analyze the association between ZJU index and the risk of NAFLD; the area under the ROC curve (AUC) was used to evaluate the value of ZJU index in predicting the risk of NAFLD.  Results  During the median follow-up time of 4.92 years, the incidence rate of NAFLD was 9.4% (992/10 597) among the study population. After adjustment for multiple factors, there was a significant increase in the risk of NAFLD with the increase in ZJU index, with a hazard ratio of 2.55 (95% confidence interval [CI]: 1.60‍ — ‍4.06), 7.32 (95%CI: 4.78‍ — ‍11.20), and 21.74 (95%CI: 14.32‍ — ‍33.00), respectively (all Ptrend<0.001). The ROC curve showed that ZJU index had a higher value in predicting NAFLD (AUC=0.816), and the male subgroup had a significantly higher predictive accuracy of ZJU index than the female subgroup (AUC: 0.829 vs 0.809).  Conclusion  ZJU index is a predictive factor for the onset of NAFLD in the Uygur population in rural areas of Xinjiang and has a good value in predicting the risk of NAFLD.
Autoimmune Liver Disease
Value of serum complement C3 in the diagnosis of liver fibrosis associated with primary biliary cholangitis
Hui ZHOU, Bin NIU, Yuqiang MI, Yonggang LIU, Ping LI
2023, 39(11): 2596-2606. DOI: 10.3969/j.issn.1001-5256.2023.11.013
Abstract(1018) HTML (385) PDF (1065KB)(74)
Abstract:
  Objective  To investigate the value of serum complement C3 level in determining the stage of liver fibrosis in primary biliary cholangitis (PBC).  Methods  Clinical data were collected from 108 patients with PBC who attended Tianjin Second People’s Hospital and underwent liver biopsy from January 2012 to October 2022. The degree of liver fibrosis (S0-4) was assessed according to the Scheuer scoring system, with ≥S2 defined as significant liver fibrosis, ≥S3 defined as progressive liver fibrosis, and S4 defined as liver cirrhosis. The independent samples t-test was used for comparison of normally distributed continuous data between two groups, and a one-way analysis of variance was used for comparison between multiple groups; the Mann-Whitney U test was used for comparison of non-normally distributed continuous data between two groups, and the Kruskal-Wallis H test was used for comparison between multiple groups; the chi-square test or the Fisher’s exact test was used for comparison of categorical data between groups. The area under the ROC curve (AUC) was used to evaluate the efficacy of complement C3 in the diagnosis of liver fibrosis in patients with PBC. The Spearman correlation analysis was used to investigate the correlation between complement C3 and liver fibrosis stage.  Results  Among the 108 patients with PBC, there were 87 (80.6%) female patients and 102 patients (94.4%) with positive autoantibody. As for the stage of liver fibrosis, there were 5 patients (4.6%) in S0 stage, 41 (38.0%) in S1 stage, 23 (21.3%) in S2 stage, 25 (23.1%) in S3 stage, and 14 (13.0%) in S4 stage. There was a significant difference in the level of complement C3 between the patients with different liver fibrosis stages (H=42.891, P<0.001). The level of complement C3 gradually decreased with the aggravation of liver fibrosis, with a negative correlation between them (r=-0.565, P<0.001). Liver stiffness measurement (LSM), aspartate aminotransferase/alanine aminotransferase ratio, aspartate aminotransferase-to-platelet ratio index, and fibrosis-4 were negatively correlated with complement C3, with a correlation coefficient of -0.439 (P<0.001), -0.323 (P=0.001), -0.206 (P=0.033), and -0.291 (P=0.002), respectively. The multivariate logistic regression analysis showed that complement C3 level was an independent predictive factor for significant liver fibrosis, progressive liver fibrosis, and liver cirrhosis, while LSM was an independent predictive factor for significant liver fibrosis and progressive liver fibrosis. The ROC curve analysis showed that complement C3 had an AUC of 0.731, 0.832, and 0.968, respectively, in the diagnosis of significant liver fibrosis, progressive liver fibrosis, and liver cirrhosis, with a corresponding cut-off value of 1.445, 1.235, and 1.005, respectively, and complement C3 combined with LSM had an AUC of 0.811, 0.941, and 0.976, respectively, in the diagnosis of significant liver fibrosis, progressive liver fibrosis, and liver cirrhosis. There was a significant difference in AUC between complement C3 combined with LSM and complement C3 alone in the diagnosis of significant liver fibrosis (Z=2.604, P=0.009), and there was also a significant difference in AUC between complement C3 combined with LSM and complement C3 alone in the diagnosis of progressive liver fibrosis (Z=3.033, P=0.002); there was no significant difference in AUC between complement C3 combined with LSM and complement C3 alone in the diagnosis of liver cirrhosis (Z=1.050, P=0.294), while There was a significant difference in AUC between complement C3 combined with LSM and LSM alone in the diagnosis of liver cirrhosis (Z=2.326, P=0.020).  Conclusion  Serum complement C3 level has a certain clinical value in assessing the degree of liver fibrosis in patients with PBC, and complement C3 combined with LSM can further improve the efficacy of complement C3 or LSM in the diagnosis of liver fibrosis in PBC.
Liver Neoplasm
Diagnostic efficacy of alpha-fetoprotein and alpha-fetoprotein L3% in hepatitis B virus-related early-stage hepatocellular carcinoma
Yuyan TANG, Shibin XIE, Jianyun ZHU
2023, 39(11): 2607-2613. DOI: 10.3969/j.issn.1001-5256.2023.11.014
Abstract(1645) HTML (1136) PDF (771KB)(109)
Abstract:
  Objective  To investigate the diagnostic efficacy and optimal cut-off values of alpha-fetoprotein (AFP) and alpha-fetoprotein variant L3 (AFP-L3) in hepatitis B virus (HBV)-related early-stage hepatocellular carcinoma (HCC).  Methods  A total of 1 080 patients with HBV-related HCC (HBV-HCC) who were diagnosed for the first time and not yet treated in The Third Affiliated Hospital of Sun Yat-Sen University from January 2019 to July 2022 were enrolled as HCC group in the study, among whom there were 620 patients with CNLC Ⅰ‍a-‍Ⅱ‍a HCC, and in addition, 346 patients with HBV-related chronic hepatitis B (CHB group) and 293 patients with HBV-related liver cirrhosis (LC group) were enrolled as controls. The diagnostic efficacy of AFP and AFP-L3% in screening for HBV-related early-stage HCC was analyzed, including sensitivity, specificity, and the area under the ROC curve (AUC). The Mann-Whitney U test was used for comparison of continuous data with skewed distribution between two groups; the Kruskal-Wallis H test was used for comparison between multiple groups, and the Bonferroni method was used for further comparison between two groups.  Results  The HCC group had significantly higher levels of AFP and AFP-L3% than the CHB group and the LC group (H=542.479 and 418.974, both P<0.001). In early-stage HCC, AFP and AFP-L3% had an optimal cut-off value of 8.7 ng/mL and 5%, respectively, and AFP alone had the largest AUC of 0.816, with a sensitivity of 66.9% and a specificity of 85.1%. There was no significant difference in AUC between AFP-L3%+AFP and AFP alone (Z=0.609, P=0.543), but both AFP-L3%+AFP and AFP alone had a significantly larger AUC than AFP-L3% alone (AFP vs AFP-L3%: Z=8.173, P<0.001; AFP+AFP-L3% vs AFP-L3%: Z=8.802, P<0.001).  Conclusion  AFP has a good value and is superior to AFP-L3% in the diagnosis of HBV-related early-stage HCC, and the screening cut-off value of AFP should be lowered in order to improve the detection rate of early-stage HCC.
Value of fibrosis-4 combined with prognostic nutritional index in predicting recurrence and survival time after radiofrequency ablation for early-stage hepatocellular carcinoma
Xu ZHANG, Fushuang HA, Fenghui LI, Yanying GAO, Jing LIANG
2023, 39(11): 2614-2622. DOI: 10.3969/j.issn.1001-5256.2023.11.015
Abstract(1930) HTML (463) PDF (1118KB)(83)
Abstract:
  Objective  To investigate the value of preoperative fibrosis 4 score (FIB-4) combined with prognostic nutritional index (PNI) in predicting recurrence after radiofrequency ablation (RFA) for early-stage hepatocellular carcinoma (HCC).  Methods  A retrospective analysis was performed for the clinical data of 365 patients with the initial diagnosis of early-stage HCC who underwent RFA at Tianjin Third Central Hospital from January 2013 to December 2017, and a statistical analysis was performed for recurrence and survival. The receiver operating characteristic (ROC) curve was plotted for FIB-4 and PNI with postoperative tumor recurrence as the positive event, and their optimal cut-off values were selected. FIB-4 and PNI were graded and combined as FIB-4-PNI score, based on which the patients were divided into 0-point group with 207 patients, 1-point group with 93 patients, and 2-point group with 65 patients. The chi-square test was used for comparison of categorical data between groups. The Kaplan-Meier survival analysis and the log-rank test were used to compare the recurrence-free survival (RFS) and overall survival (OS) between groups, and the Cox regression model was used to investigate the influencing factors for RFS and OS.  Results  The 1-, 3-, and 5-year RFS rates of all patients were 79.2%, 49.8%, and 34.3%, respectively, with a median RFS of 35 months, while the 1-, 3-, and 5-year OS rates of all patients were 98.9%, 86.9%, and 77.3%, respectively. There were significant differences in cumulative RFS and OS rates between the patients with different levels of FIB-4, PNI, and FIB-4-PNI (RFS rate: χ2=17.890, 29.826, and 32.397, all P<0.001; OS rate: χ2=16.896, 21.070, and 26.121, all P<0.001). The multivariate Cox regression analysis showed that history of diabetes (hazard ratio [HR]=1.418, 95% confidence interval [CI]: 1.046‍ ‍—‍ ‍1.922, P=0.024), two tumors (HR=1.516, 95%CI: 1.094‍ ‍—‍ ‍2.101, P=0.012), three tumors (HR=2.146, 95%CI: 1.278‍ ‍—‍ ‍3.604, P=0.004), FIB-4-PNI 1 point (HR=1.875, 95%CI: 1.385‍ ‍—‍ ‍2.539, P<0.001), and FIB-4-PNI 2 points (HR=2.35, 95%CI: 1.706‍ ‍—‍ ‍3.236, P<0.001) were independent risk factors for RFS, while two tumors (HR=1.732, 95%CI: 1.005‍ ‍—‍ ‍2.983, P=0.048), three tumors (HR=3.511, 95%CI: 1.658‍ ‍—‍ ‍7.433, P=0.001), FIB-4-PNI 1 point (HR=2.094, 95%CI: 1.230‍ ‍—‍ ‍3.565, P=0.006), and FIB-4-PNI 2 points (HR=3.908, 95%CI: 2.306‍ ‍—‍ ‍6.624, P<0.001) were independent risk factors for OS.  Conclusion  FIB-4-PNI score can be used as an independent predictive factor for recurrence and overall survival time after RFA for early-stage HCC, and it can be combined with tumor features to predict postoperative recurrence and survival.
Effect of lysophosphatidic acid on hepatoma cells and related mechanism
Yanying ZHAO, Zhenqi HAN, Yanping ZOU, Yunpeng LI, Tao XU, Liyan LIU, Haitao CHENG
2023, 39(11): 2623-2628. DOI: 10.3969/j.issn.1001-5256.2023.11.016
Abstract(934) HTML (873) PDF (837KB)(56)
Abstract:
  Objective  To investigate the expression of lysophosphatidic acid (LPA) in patients with liver cancer, as well as its influence on malignant biological behavior of liver cancer and related regulatory mechanism.  Methods  From January 2016 to December 2022, 26 patients with liver cancer, 28 patients with liver cirrhosis, and 28 individuals undergoing physical examination were enrolled. ELISIA was used to measure the content of LPA in plasma and peritoneal effusion of the patients with liver cancer or liver cirrhosis accompanied by peritoneal effusion, and the content of LPA was measured in plasma of the normal population at the same time, so as to clarify the difference in the expression of LPA in different populations, such as the patients with liver cancer and those with liver cirrhosis. MTT cell proliferation assay and cell migration assay were used to observe the influence of LPA and its inhibitor pertussis toxin (PTX) on the proliferation, migration, and invasion of SMMC7721 cells. In order to investigate the effect of LPA on the expression of RhoA and its upstream and downstream molecules FAK and P53 after binding to its receptor, qPCR and Western blot were used to observe the effect of LPA on the mRNA and protein expression levels of P53, FAK, and RhoA in SMMC7721 cells. A one-way analysis of variance was used for comparison of the means of continuous data between multiple groups, and the SNK-q test was used for comparison between two groups.  Results  Compared with the patients with liver cirrhosis, the patients with liver cancer had a significantly higher concentration of LPA in plasma (4.99±0.55 μmol/L vs 2.63±0.43 μmol/L, P<0.05) and peritoneal effusion (5.19±0.63 μmol/L vs 2.91±0.46 μmol/L, P<0.05), and the patients with liver cancer also had a significantly higher level of plasma LPA than the normal population (4.99±0.55 μmol/L vs 1.61±0.39 μmol/L, P<0.05). The cell proliferation assay showed that LPA significantly promoted the proliferation of SMMC7721 cells, and cell proliferation rate increased with the increase in dose and time; in particular, the middle-and high-dose groups had a significantly higher proliferation rate than the control group (P<0.05). PTX inhibited the proliferative capacity of SMMC7721 cells in a time-dependent manner, and there was a significant difference between the groups (P<0.05). The proliferation rate of the 72-hour high-dose LPA group was 3.6 times that of the control group, while the proliferation rate of the PTX group was 0.6 times that of the control group; the proliferation rate of the 72-hour high-dose LPA+PTX group was 1.2 times that of the control group. In addition, LPA increased the migration ability of hepatoma cells, while PTX inhibited their migration, in a time-dependent manner, and there was a significant difference between the groups (P<0.05). The migration rate of the 72-hour high-dose LPA group was 3.09 times that of the control group, while the migration rate of the PTX group was 0.4 times that of the control group; the migration rate of the 72-hour high-dose LPA+PTX group was 0.99 times that of the control group. qPCR and Western blot showed that there were significant reductions in the mRNA and protein expression levels of P53 in SMMC7721 cells after LPA treatment, while there were significant increases in the mRNA and protein expression levels of FAK and RhoA; there was a significant difference between the LPA group and the control group (P<0.05).  Conclusion  There is an abnormal increase in the expression of LPA in patients with liver cancer, and LPA can promote the proliferation of liver cancer cells and increase their migration ability. At the same time, LPA changes the expression levels of P53, FAK, and RhoA, which may be associated with the promotion of tumor development and progression by LPA.
Other Liver Disease
The influence of diagnostic criteria of different guidelines on short-term prognosis of artificial liver therapy for acute-on-chronic liver failure
Yuhang CHEN, Zimeng JIANG, Zhijiao ZHANG, Mengyao ZHENG, Meilian WANG, Hua HUANG, Gongfang ZHAO
2023, 39(11): 2629-2634. DOI: 10.3969/j.issn.1001-5256.2023.11.017
Abstract(854) HTML (215) PDF (656KB)(69)
Abstract:
  Objective  To investigate the influence of different diagnostic criteria on the short-term prognosis of patients with acute-on-chronic liver failure (ACLF).  Methods  A total of 115 ACLF patients who were hospitalized in Department of Gastroenterology, The Second Affiliated Hospital of Kunming Medical University, from January 2018 to January 2022 were enrolled, and all patients received internal medical treatment combined with artificial liver therapy. According to the guidelines, the patients were divided into CMA guideline group (Diagnostic and treatment guidelines for liver failure by Chinese Medical Association)(n=100), APASL guideline group (Consensus statements of Asian Pacific Association for the Study of the Liver)(n=94), and EASL guideline group (Criteria proposed by European Association for the Study of the Liver)(n=36). The above three guidelines were compared in terms of 90-day mortality rate. A one-way analysis of variance was used for comprision of continuous date between groups; the chi-square test was used for comprision of categorical date between groups. The receiver operating characteristic (ROC) curve of related variables.  Results  The 90-day mortality rate was 50.0% in the CMA guideline group, 51.1% in the APASL guideline group, and 77.8% in the EASL guideline group, and the EASL guideline group had a significantly higher 90-day mortality rate than the CMA guideline group (χ2=8.351, P=0.004) and the APASL guideline group (χ2=7.650, P=0.006). EASL guideline had a sensitivity of 22.2% and a specificity of 92.3% in predicting the risk of short-term mortality, with an area under the ROC curve was 0.576.  Conclusion  ACLF patients who meet EASL guideline tend to have a worse short-term prognosis, and this guideline may help to identify patients at a relatively high risk of short-term death.
Value of MELD 3.0, MELD, and MELD-Na scores in assessing the short-term prognosis of patients with acute-on-chronic liver failure: A comparative study
Beichen GUO, Yuhan LI, Rui CHEN, Lewei WANG, Ying LI, Fang LIU, Manman XU, Yu CHEN, Zhongping DUAN, Shaojie XIN, Tao HAN
2023, 39(11): 2635-2642. DOI: 10.3969/j.issn.1001-5256.2023.11.018
Abstract(1393) HTML (547) PDF (824KB)(117)
Abstract:
  Objective   To investigate the value of MELD 3.0, MELD, and MELD-Na scores in assessing the 90-day prognosis of patients with acute-on-chronic liver failure (ACLF) through a comparative study.   Methods   A retrospective analysis was performed for the clinical data of 605 patients with ACLF who were treated in Tianjin Third Central Hospital, The Fifth Medical Center of Chinese PLA General Hospital, and Beijing YouAn Hospital from November 2012 to June 2019, and according to the 90-day follow-up results after admission, they were divided into survival group with 392 patients and death group with 213 patients. The receiver operating characteristic (ROC) curve, the area under the ROC curve (AUC), net reclassification improvement (NRI), integrated discrimination improvement (IDI), and decision curve analysis (DCA) curve were used to investigate the value of MELD 3.0, MELD, and MELD-Na scores at baseline, day 3, week 1, and week 2 in predicting the prognosis of the disease.   Results   At day 3 and week 1, MELD 3.0 score had an AUC of 0.775 and 0.808, respectively, with a better AUC than MELD score (P<0.05). At day 3, week 1, and week 2, MELD 3.0 score showed an NRI of 0.125, 0.100, and 0.081, respectively, compared with MELD in predicting the prognosis of ACLF patients, as well as an NRI of 0.093, 0.140, and 0.204, respectively, compared with MELD-Na score in predicting prognosis. At baseline, day 3, week 1, and week 2, MELD 3.0 showed an IDI of 0.011, 0.025, 0.017, and 0.013, respectively, compared with MELD in predicting the prognosis of ACLF patients. At day 3 and week 2, MELD 3.0 showed an IDI of 0.027 and 0.038, respectively, compared with MELD-Na in predicting the prognosis of ACLF patients. All the above NRIs and IDIs were >0, indicating a positive improvement (all P<0.05). DCA curves showed that MELD 3.0 was superior to MELD at day 3 and was significantly superior to MELD-Na at week 2. There was no significant difference in the ability of the three scores in predicting the prognosis of ACLF patients with different types, and there was also no significant difference in the ability of the three scores in predicting the prognosis of ACLF patients with the etiology of HBV infection, alcohol, or HBV infection combined with alcohol, while MELD 3.0 was superior to MELD for ACLF patients with other etiologies (P<0.05).   Conclusion   MELD 3.0 score is better than MELD and MELD-Na scores in predicting the 90-day survival of patients with ACLF, but with limited superiority.
Effect and mechanism of safranal in a mouse model of sepsis-related liver injury induced by lipopolysaccharide
Yi CHEN, Yifan CHEN, Yichao DU, Peng TAN, Tongxi LI, Junjie BAI, Wenguang FU
2023, 39(11): 2643-2650. DOI: 10.3969/j.issn.1001-5256.2023.11.019
Abstract(1176) HTML (844) PDF (1990KB)(99)
Abstract:
  Objective  To investigate the protective effect of safranal against sepsis-related liver injury (SRLI) induced by lipopolysaccharide (LPS) in mice and its mechanism.  Methods  A total of 32 experimental male C57BL/6 mice were divided into control group, single drug group, model group, and treatment group using the simple random method, with 8 mice in each group. The mice in the single drug group and the treatment group were intraperitoneally injected with safranal (60 mg/kg) for 7 days of pretreatment, and the mice in the model group and the treatment group were intraperitoneally injected with LPS (10 mg/kg) to induce acute liver injury. The activities of serum alanine aminotransferase (ALT) and aspartate aminotransferase (AST) were measured; HE staining was used to observe liver tissue sections; immunohistochemistry was used to analyze the expression of the downstream protein heme oxygenase-1 (HO-1) in the signal pathway; TUNEL was used to analyze the apoptosis of hepatocytes; Western blot was used to measure the expression of total proteins (nuclear factor erythroid 2-related factor 2 [Nrf-2] and HO-1) in liver tissue. The human liver cell line L02 was pretreated with safranal (100 μmol/L), followed by induction of acute hepatocellular injury with LPS (100 ng/mL), and DCFH-DA fluorescent labeling was used to detect reactive oxygen species (ROS).  Results  After safranal pretreatment, the treatment group had significantly lower levels of ALT and AST than the model group (both P<0.001), with a relatively intact pseudolobular structure and a smaller necrotic area in the liver. Compared with the model group, the treatment group had significant increases in the expression levels of Nrf2 and HO-1 in liver tissue after safranal+LPS treatment (both P<0.001), and immunohistochemistry showed that safranal pretreatment increased the number of HO-1-positive cells. In the cell model of LPS-induced acute liver injury, the treatment group had a significant reduction in the production of ROS compared with the model group.  Conclusion  Safranal can exert a protective effect against SRLI induced by LPS in mice through the Nrf2/HO-1 pathway.
Biliary Disease
Clinical features of portal biliopathy
Wenqian GENG, Chong WANG, Hang LI, Junqi NIU, Fang XU
2023, 39(11): 2651-2656. DOI: 10.3969/j.issn.1001-5256.2023.11.020
Abstract(806) HTML (415) PDF (781KB)(80)
Abstract:
  Objective  This article aims to investigate the clinical features of portal biliopathy (PB) patients, in order to improve the understanding of PB.  Methods  Clinical data were collected from 22 patients who were diagnosed with PB in recent years in The First Hospital of Jilin University, and an analysis was performed for their clinical manifestations, liver function, abdominal color Doppler ultrasound, abdominal CT, and hepatobiliary magnetic resonance imaging. The imaging manifestations of biliary tract abnormalities were described, as well as the type of collateral circulation and the location of thrombosis.  Results  As for the initial symptom in these 22 patients, three were 11 patients with gastrointestinal bleeding, 5 with abdominal distension, 3 with abdominal pain, 1 with fever, 1 with abdominal discomfort, and 1 with gingival bleeding. There were 3 patients with an increase in aspartate aminotransferase, 4 with an increase in alanine aminotransferase, 4 with an increase in gamma-glutamyl transpeptidase, 7 with an increase in alkaline phosphatase, 8 with a reduction in cholinesterase, 9 with a reduction in albumin, 2 with an increase in globulin, and 5 with an increase in total bilirubin. Among the 22 patients, 20 had cavernous transformation of the portal vein, and 2 had portal vein thrombosis without cavernous transformation. All 22 patients had bile duct abnormalities, among whom 2 had extrahepatic bile duct abnormalities alone, 12 had intrahepatic bile duct dilatation alone, and 8 had dilatation of both intrahepatic and extrahepatic bile ducts. Varices at different sites were observed in 20 patients, among whom 19 had esophageal and gastric varices and 1 had peri-gallbladder varices, and no varices was observed in the superior mesenteric vein or the splenic vein.  Conclusion  There are no typical clinical symptoms and changes in liver function parameters in patients with PB, but radiological examination may show dilatation, stenosis, or malformation of the bile ducts at different parts. Therefore, it is necessary to expand the sample size to further explore the diagnosis and treatment of PB.
Efficacy and safety of stereotactic body radiation therapy in treatment of patients with unresectable cholangiocarcinoma
Xiaofang ZHAO, Aimin ZHANG, Wengang LI, Jing SUN, Xiaoyun CHANG, Tao ZHANG, Weiping HE, Xuezhang DUAN
2023, 39(11): 2657-2662. DOI: 10.3969/j.issn.1001-5256.2023.11.021
Abstract(963) HTML (623) PDF (672KB)(65)
Abstract:
  Objective  To investigate the survival and adverse reactions of patients with unresectable cholangiocarcinoma after stereotactic body radiation therapy (SBRT).  Methods  A total of 27 patients with unresectable solitary cholangiocarcinoma without metastasis who underwent SBRT in The Fifth Medical Center of Chinese PLA General Hospital from February 2012 to July 2020 were enrolled. The prescribed dose to planning target volume was 42-60 Gy in 5-8 fractions, with 5-11 Gy/fraction. Among these patients, five patients were also treated with chemotherapy and transcatheter arterial chemoembolization. The 6-, 12-, 18-, and 24-month overall survival (OS) rates, progression-free survival (PFS) rates, and local control (LC) rates were used as the assessment indices for treatment outcome; Common Terminology Criteria for Adverse Events v.4.03 was used to evaluate adverse reactions; the Kaplan-Meier method was used to calculate OS, PFS, and LC rates.  Results  The median follow-up time was 17 months. For all 27 patients, the 6-, 12-, 18-, and 24-month OS rates were 100%, 88%, 57.5%, and 47.9%, respectively; the 6-, 12-, 18-, and 24-month PFS rates were 74.1%, 58.6%, 47.9%, and 35.9%, respectively; the 6-, 12-, 18-, and 24-month LC rates were 96.3%, 91.9%, 84.8%, and 76.4%, respectively. No grade 3 or above toxic reactions were observed. Five patients were diagnosed with radiation-induced liver injury, but there was no death due to radiation-induced liver injury.  Conclusion  SBRT is safe and effective in the treatment of unresectable cholangiocarcinoma, with relatively high survival rate, PFS rate, and LC rate and low toxicity, and therefore, SBRT can be used as an alternative treatment method for patients with cholangiocarcinoma who are not candidates for surgery.
Case Report
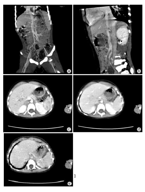
Transcatheter closure of rare type Ⅱ Abernethy malformation with pulmonary hypertension in children: A case report
Heng ZHANG, Bin JIANG, Zhicheng FANG, Zhongji MENG, Enfu DU
2023, 39(11): 2663-2667. DOI: 10.3969/j.issn.1001-5256.2023.11.022
Abstract(978) HTML (281) PDF (1074KB)(76)
Abstract:
Abernethy malformation, also known as congenital portosystemic shunts, is rare in clinical practice, with less than 300 cases reported in the global literature up to 2019. The disease can have serious complications such as pulmonary hypertension, liver tumor, and liver failure and tends to have an extremely poor prognosis, and early diagnosis and active and effective treatment can reduce and delay the onset of complications. In this case, portography combined with balloon occlusion helped to display the underdeveloped slender portal vein with dysplasia, so that the child who was formerly misdiagnosed with type Ⅰ Abernethy malformation was diagnosed with type Ⅱ Abernethy malformation, and then the child was successfully treated by transcatheter closure. This article gives a detailed report of this case.
Review
Exploration and practice of the detoxicating, stasis-resolving, and Yang-warming method in reconstructing immune balance in hepatitis B virus-related liver failure
Faming SHU, Ying HUANG, Dewen MAO
2023, 39(11): 2668-2673. DOI: 10.3969/j.issn.1001-5256.2023.11.023
Abstract(1046) HTML (212) PDF (1008KB)(57)
Abstract:
Liver failure is an acute and critical disease in the field of liver diseases, and liver failure in China is mainly caused by hepatitis B virus (HBV) infection. Professor Mao Dewen has made remarkable achievements in the prevention and treatment of HBV-related liver failure in basic and clinical research by using the detoxicating, stasis-resolving, and Yang-warming method, and in particular, with this method as the technical core, the new clinical prevention and treatment regimen for reconstructing immune balance in HBV-related liver failure lays a foundation for synergistic integrated traditional Chinese and Western medicine therapy for HBV-related liver failure, highlights the therapeutic advantages of traditional Chinese medicine, and makes breakthroughs in the technical and therapeutic bottlenecks of current clinical treatment of HBV-related liver failure, thereby attempting to reduce the incidence and mortality rates of liver failure.
Haematological diseases associated with Hepatitis E virus infection
Min LI, Fuwen XIA, Jiankun LIU
2023, 39(11): 2674-2681. DOI: 10.3969/j.issn.1001-5256.2023.11.024
Abstract(1138) HTML (235) PDF (699KB)(75)
Abstract:
Hepatitis E virus (HEV) infection can cause acute, fulminant, and chronic hepatitis and is thus a worldwide health problem. The general population has no obvious symptoms or only mild symptoms after HEV infection, and most symptoms are self-limited and are easily ignored in clinical diagnosis. Previous reports have shown that HEV infection can cause dysfunction in multiple systems, especially the blood system, in which it often leads to a series of adverse outcomes. Comprehensive evaluation, early diagnosis, and early intervention of these HEV-related diseases will greatly reduce the medical burden of individuals and society. With reference to the previous reports, this article reviews the blood system diseases associated with HEV infection.
Bidirectional relationship between nonalcoholic fatty liver disease and sarcopenia: New insights and perspectives
Gong FENG, Yilin REN, Yonghong MA, Tianyue WU, Jiayi ZHANG, Xiaoni YAN, Juanjuan SONG, Xueping LI, Man MI
2023, 39(11): 2682-2688. DOI: 10.3969/j.issn.1001-5256.2023.11.025
Abstract(1094) HTML (570) PDF (728KB)(83)
Abstract:
Nonalcoholic fatty liver disease (NAFLD) is a group of highly heterogeneous diseases closely associated with metabolic dysfunction. Sarcopenia is a syndrome caused by a continuous decline in muscle mass, strength, and function, and it is often accompanied by NAFLD. Insulin resistance is the main pathological mechanism for sarcopenia and NAFLD, and in addition, factors such as changes in proteins and branched‍-‍chain amino acid, hyperammonemia, intestinal flora, and endocrine dysfunction can also lead to sarcopenia and NAFLD. With the deepening of clinical research, many published prospective studies have confirmed the existence of a bidirectional and complex pathophysiological relationship between sarcopenia and NAFLD. This article reviews the bidirectional relationship between sarcopenia and NAFLD, discusses the common pathogenesis of sarcopenia and NAFLD, summarizes the challenges faced in this field, and proposes new directions for the research on the bidirectional relationship between NAFLD and sarcopenia.
Research advances in noninvasive diagnosis of liver fibrosis in autoimmune liver diseases
Xiaohan MA, Lixia YANG
2023, 39(11): 2689-2696. DOI: 10.3969/j.issn.1001-5256.2023.11.026
Abstract(1379) HTML (564) PDF (646KB)(91)
Abstract:
Autoimmune liver diseases (ALD) are a group of chronic inflammatory liver diseases mediated by autoimmune response and can progress to liver fibrosis, liver cirrhosis, and even liver failure. Early diagnosis, early treatment, and dynamic follow-up of liver fibrosis in ALD may help to improve the prognosis of the disease and even reverse early-stage liver cirrhosis. Due to the limitations and potential risks of liver biopsy, the search for noninvasive techniques has become a research hotspot in the field of liver fibrosis. This article reviews the recent research advances in serum markers and imaging techniques for liver fibrosis in ALD and analyzes the advantages and disadvantages of each detection method and their development trends.
Neoadjuvant therapy for hepatocellular carcinoma: Current situation and prospects
Zhisong NI, Junhan WEN, Weiwei ZHAO, Shoujun YU, Liang HAO, Yu CHENG, Xin LIU
2023, 39(11): 2697-2704. DOI: 10.3969/j.issn.1001-5256.2023.11.027
Abstract(2011) HTML (601) PDF (751KB)(147)
Abstract:
Hepatocellular carcinoma (HCC) is a major cause of cancer-related death, and surgical resection remains an important method for radical treatment, but it is urgently needed to solve the problem of high postoperative recurrence rate. Neoadjuvant therapy can reduce the high recurrence rate after surgery, and there are little benefits from neoadjuvant therapy for HCC due to a lack of effective treatment methods in the past. At present, combination therapy based on immune checkpoint inhibitors has a relatively high response rate and has thus changed the treatment landscape for patients with advanced HCC. This urges investigators to reexamine the neoadjuvant treatment strategies for HCC, and it is expected that neoadjuvant therapy can provide new opportunities, reduce the postoperative recurrence rate, and improve the survival rate after treatment. This article discusses the current status and prospects of neoadjuvant therapy for HCC and related hot topics, so as to provide more ideas for exploring neoadjuvant therapy for HCC.
Predictive indicators for the efficacy of targeted therapy/immunotherapy for hepatocellular carcinoma
Pengwei REN, Ying HAN, Xinmin ZHOU
2023, 39(11): 2705-2709. DOI: 10.3969/j.issn.1001-5256.2023.11.028
Abstract(1538) HTML (553) PDF (549KB)(113)
Abstract:
Hepatocellular carcinoma (HCC) is a common malignancy in China, and molecular-targeted drugs and immune checkpoint inhibitors for the treatment of advanced HCC are currently a research hotspot; however, there are large individual differences in the treatment outcome of advanced HCC. In order to further screen for the population with benefits from such treatment, predict treatment outcome, and improve disease prognosis, this article summarizes the studies on predicting the efficacy of targeted therapy/immunotherapy for HCC, so as to provide a reference for developing individualized treatment regimens for patients with advanced HCC.
Gut-liver axis: Intestinal microbial homeostasis and hepatocellular carcinoma
Quan ZHOU, Chunlin CAI, Jinqiang LI
2023, 39(11): 2710-2717. DOI: 10.3969/j.issn.1001-5256.2023.11.029
Abstract(2640) HTML (916) PDF (811KB)(111)
Abstract:
Intestinal microbiota plays an important role in maintaining liver metabolic homeostasis and affects the development and progression of hepatocellular carcinoma by participating in bile acid metabolism. Gut-liver axis plays an important role in the pathogenesis of liver diseases, and it might be one of the effective methods to prevent the progression of hepatocellular carcinoma by correcting intestinal ecological imbalance to restore normal bile acid level. This article summarizes the mechanism of bile acid receptor affecting hepatocellular carcinoma and the latest therapeutic targets, in order to provide a reference for the early prevention and treatment of hepatocellular carcinoma.
Current research status of traditional Chinese medicine in the prevention and treatment of hepatocellular carcinoma by regulating the JAK/STAT signaling pathway
Xing YANG, Shudi LI, Jiangkai LIU, Zhen WANG, Suling LI
2023, 39(11): 2718-2729. DOI: 10.3969/j.issn.1001-5256.2023.11.030
Abstract(1686) HTML (1048) PDF (815KB)(84)
Abstract:
Hepatocellular carcinoma (HCC) is one of the common malignant tumors of the digestive tract and seriously threatens the life of patients due to a high incidence rate, a high degree of malignancy, strong invasion and metastasis, and poor prognosis. At present, the main methods for the prevention and treatment of HCC include drugs, surgery, and interventional treatment, but all of these methods have certain adverse reactions and side effects. As an important intracellular signal transduction pathway in the human body, the JAK/STAT signaling pathway mainly exerts an anti-HCC effect by regulating cell invasion, metastasis, proliferation, growth, apoptosis, autophagy, angiogenesis, inflammation/immune response, iron metabolism, and drug resistance. Therefore, targeting the JAK/STAT signaling pathway plays an important role in the prevention and treatment of the development and progression of HCC. Traditional Chinese medicine has attracted wide attention due to its advantages of multiple targets, pathways, components, and levels in the treatment of HCC, and many cell or animal experiments on traditional Chinese medicine in the treatment of HCC have shown that the JAK/STAT signaling pathway is an important target for the prevention and treatment of HCC, with the effects of improving liver function, reducing HCC recurrence, and improving immunity. Based on this, this article analyzes the mechanism of action of the JAK/STAT signaling pathway in HCC, as well as the intervention effect of traditional Chinese medicine monomers, traditional Chinese medicine extracts, and traditional Chinese medicine compounds on the JAK/STAT signaling pathway, in order to provide theoretical basis and reference for the prevention and treatment of HCC and the research and development of new traditional Chinese medicine drugs.
The physiological and pathological role of amyloid protein in the liver
Yekai ZONG, Jiangkai LIU
2023, 39(11): 2730-2737. DOI: 10.3969/j.issn.1001-5256.2023.11.031
Abstract(1380) HTML (524) PDF (645KB)(78)
Abstract:
Amyloid protein (AP) is used to describe the fibrous aggregates that form when proteins are misfolded, and it is associated with a series of amyloidosis diseases. When AP is deposited in the liver, it will lead to liver amyloidosis, thereby inducing related pathological changes that affect the normal physiological function of the liver; however, this disease is rarely reported and often neglected in clinical practice. This article reviews the physiological and pathological effects and mechanisms of AP in the liver, so as to improve the understanding of AP-related diseases and provide a reference for related research and clinical treatment.
Advances in the diagnosis and treatment of gallbladder carcinoma
Yi LE, Hao YANG, Hu LIU, Zhaoyang CUI, Xiangning ZHAO, Liang AN, Haizhu LI, Shaogeng ZHANG
2023, 39(11): 2738-2744. DOI: 10.3969/j.issn.1001-5256.2023.11.032
Abstract(2019) HTML (1418) PDF (868KB)(390)
Abstract:
Gallbladder carcinoma is a common malignant tumor of the biliary system characterized by poor specificity of early symptoms, a high degree of malignancy, and rapid progression, and it is difficult to make an early diagnosis. Gallstones and gallbladder polyps are considered the most common risk factors for gallbladder carcinoma. Ultrasound is the preferred examination, while CT, MRI, and PET also have their own advantages. There is a lack of radical treatment methods for gallbladder carcinoma, and surgical operation remains the preferred treatment method for gallbladder carcinoma; however, due to the rapid progression of this disease, most patients have lost the opportunity for surgery at the time of diagnosis. A combination of various treatment modalities, such as radiochemotherapy, targeted therapy, and immunotherapy, has improved the prognosis of patients to a certain extent, but with an unsatisfactory long-term therapeutic effect. Therefore, it is of particular importance to give priority to prevention rather than treatment and emphasize early identification and treatment.
Introduction of High - quality Articles in Foreign Journals
Journal of Gastroenterology and Hepatology|Farnesoid X receptor is an important target for the treatment of disorders of bile acid and fatty acid metabolism in mice with nonalcoholic fatty liver disease combined with cholestasis
2023, 39(11): 2523-2523. DOI: 10.3969/j.issn.1001-5256.2023.11.gwjpwzjj1
Abstract(459) HTML (178) PDF (903KB)(64)
Abstract:
Thanks
Current reviewers
2023, 39(11): 2595-2595. DOI: 10.3969/j.issn.1001-5256.2023.11.zhixie1
Abstract(371) HTML (159) PDF (878KB)(42)
Abstract: