中文English
ISSN 1001-5256 (Print)
ISSN 2097-3497 (Online)
CN 22-1108/R
2023 NO.10
Theme Issue:Clinical Typing and Prognostic Evaluation of Acute-on-Chronic Liver Failure
Executive Chief Editor: CHEN Yu
Beijing YouAn Hospital, Capital Medical University

Display Method:
Editorial
Further discussion on the antiviral treatment of chronic hepatitis B patients with indeterminate phase
Hui ZHUANG
2023, 39(10): 2273-2276. DOI: 10.3969/j.issn.1001-5256.2023.10.001
Abstract(1494) HTML (403) PDF (761KB)(306)
Abstract:
This paper discusses further on the antiviral treatment of chronic hepatitis B patients with indeterminate phase. These patients have a high proportion of significant necroinflammation and fibrosis in the liver, and a higher risk of disease progression compared with those with true HBeAg-positive chronic hepatitis B virus (HBV) infection (formerly called the immune tolerance phase) or HBeAg-negative chronic HBV infection (formerly called the immune control phase). Antiviral therapy may reduce the risk of HBV-related hepatocellular carcinoma in chronic hepatitis B patients with indeterminate phase.
Recognition of the clinical classification of acute-on-chronic liver failure: Redefinition from a new perspective of onset manifestations and dynamic outcomes
Jinling DONG, Yu CHEN
2023, 39(10): 2277-2280. DOI: 10.3969/j.issn.1001-5256.2023.10.002
Abstract(1376) HTML (486) PDF (522KB)(161)
Abstract:
Acute-on-chronic liver failure (ACLF) refers to acute liver function decompensation on the basis of chronic liver diseases and is a complex clinical syndrome characterized by organ failure and high short-term mortality. ACLF is reversible and has diverse long-term outcomes and prognoses. The clinical classification of ACLF based on disease characteristics is of great significance for optimizing the management pathways for ACLF. With reference to the definition and clinical features of ACLF in the East and the West, this article redefines ACLF from the new perspective of onset manifestations and dynamic outcomes and proposes a new clinical classification of ACLF. The first classification of ACLF is based on the clinical features of intrahepatic and extrahepatic organ failure at disease onset, i.e., type Ⅰ ACLF (liver failure on the basis of chronic liver diseases) and type Ⅱ ACLF (acute decompensation on the basis of chronic liver diseases comorbid with multiple organ failure). The second classification is the dynamic clinical classification of ACLF based on clinical outcome, i.e., type A (rapid progression), type B (rapid recovery), type C (slow progression), type D (slow recovery), and type E (slow persistence). The proposed clinical classification of ACLF from the new perspective expects Eastern and Western scholars to have a more inclusive understanding of ACLF, narrow differences, optimize disease management paths, and rationally use medical resources, thereby providing a reference for clinicians.
Expert Forum
The definition and pathogenesis of acute-on-chronic liver failure
Xiaogang XIANG, Dabao SHANG, Jinming ZHANG
2023, 39(10): 2281-2287. DOI: 10.3969/j.issn.1001-5256.2023.10.003
Abstract(1620) HTML (469) PDF (592KB)(252)
Abstract:
The concept of acute-on-chronic liver failure (ACLF) has been widely accepted by scholars around the world since it was proposed nearly 30 years ago, but there are still no uniform criteria for the definition and diagnosis of ACLF worldwide. In recent years, differences have been gradually narrowed and a consensus has been reached in the key features of the disease description for ACLF, such as the underlying chronic liver diseases, acute intrahepatic or extrahepatic injury, acute liver function decompensation, extrahepatic organ failure, high short-term mortality rates, and reversible course of the disease. The pathogenesis of ACLF remains unclear, and most studies focus on systemic inflammatory response and immune dysfunction.
Evolution of the clinical scoring and classification system for acute-on-chronic liver failure
Huimin YIN, Rongkuan LI
2023, 39(10): 2288-2293. DOI: 10.3969/j.issn.1001-5256.2023.10.004
Abstract(1139) HTML (680) PDF (578KB)(140)
Abstract:
Acute-on-chronic liver failure (ACLF) has complex pathogeneses, difficulties in clinical treatment, and poor prognosis. Due to the differences in the distribution of chronic liver diseases in different countries and regions, more than ten scoring and classification systems for ACLF have been proposed in the past few decades, indicating that there are great differences in the definition, scoring, and classification of ACLF. By analyzing the characteristics of several widely used scoring and classification systems, this article discusses their evolution process and the classification criteria applicable to China, so as to provide a reference for optimizing treatment regimens.
Development of acute-on-chronic liver failure in progressive chronic liver diseases: Risk prediction and stratified management
Tingting QI, Jinjun CHEN
2023, 39(10): 2294-2300. DOI: 10.3969/j.issn.1001-5256.2023.10.005
Abstract(1179) HTML (419) PDF (651KB)(128)
Abstract:
Patients with advanced chronic liver disease (ACLD) are hospitalized due to hepatitis, acute decompensation or liver failure and its complications, and they often require stratified management due to different severities. The patients with acute-on-chronic liver failure (ACLF) have the highest short-term mortality rate among ACLD patients and should be treated in tertiary hospitals. Although non-ACLF patients tend to have a relatively low mortality rate, they still have the risk of progression to ACLF, and there is a significant increase in mortality rate after progression to ACLF, which requires stratified management. The patients with extremely low progression rates often have favorable clinical outcomes and can be administrated in primary hospitals, while the high-risk population should be closely monitored and timely transferred in case of disease progression. However, currently there is still a lack of accurate predictive models for evaluating the risk of progression to ACLF, and further studies are needed to find new biomarkers or algorithms.
Prognostic evaluation of acute-on-chronic liver failure
Qian ZHANG, Tao HAN
2023, 39(10): 2301-2306. DOI: 10.3969/j.issn.1001-5256.2023.10.006
Abstract(1202) HTML (224) PDF (570KB)(154)
Abstract:
Acute-on-chronic liver failure (ACLF) is a common clinical syndrome of severe liver disease characterized by a high short-term mortality rate in clinical practice. Therefore, early and accurate evaluation of the prognosis of ACLF patients is of great significance for making clinical decisions and improving prognosis. This article reviews the recent research advances in markers for the prognostic evaluation of ACLF, in order to improve the existing prognostic evaluation system, assist clinicians in providing timely and appropriate clinical intervention, and further reduce the mortality rate of patients.
Guideline
Chinese expert consensus on clinical management of hepatopathy-related thrombocytopenia
National Clinical Research Center for Infectious Diseases, Society of Hepatology, Beijing Medical Association, Translational Medicine Branch, Chinese Association of Gerontology and Geriatrics
2023, 39(10): 2307-2320. DOI: 10.3969/j.issn.1001-5256.2023.10.007
Abstract(5061) HTML (2161) PDF (1405KB)(1216)
Abstract:
Hepatopathy-related thrombocytopenia refers to a decrease in platelet count caused by liver disease or its treatment, and the incidence rate of this disease is associated with the course and severity of liver disease. The direct effect of thrombocytopenia on the clinical outcome of patients with liver disease is an increased risk of bleeding, and its indirect effect involves delay or discontinuation of treatment due to the potential risk of bleeding. The pathophysiological mechanisms of hepatopathy-related thrombocytopenia involve reduced platelet production, abnormal platelet distribution, and increased destruction or consumption. Current treatment strategies aiming at different mechanisms include thrombopoietic agents, surgery, immunosuppressants, and platelet transfusion, but their clinical application needs further standardization. In order to improve the clinical management of hepatopathy-related thrombocytopenia in China in terms of diagnosis, typing, and rational selection of treatment regimens, National Clinical Research Center for Infectious Diseases organized experts to discuss and develop these consensus statements with reference to the latest evidence of evidence-based medicine in this field.
An excerpt of EASL clinical practice guidelines on acute-on-chronic liver failure (2023)
Manman XU, Nan GENG, Yu CHEN
2023, 39(10): 2321-2327. DOI: 10.3969/j.issn.1001-5256.2023.10.008
Abstract(1742) HTML (1253) PDF (618KB)(402)
Abstract:
Acute-on-chronic liver failure (ACLF) is a serious form of acute decompensation of liver cirrhosis, which is characterized by multiple organ failure, systemic inflammatory response, and a high short-term mortality rate. In 2023, the European Association for the Study of the Liver gave recommendations to clinicians, aiming to help them with the diagnosis of ACLF, the decision of triage (whether it is necessary to transfer a patient to the ICU for treatment), the identification and management of acute predisposing factors, the identification of organs that need support or replacement therapy, the definition of potential criteria for ineffective ICU treatment, and the determination of potential indications for liver transplantation. This article gives an excerpt of the above main contents in the guidelines.
An excerpt of EASL clinical practice guidelines on the management of liver diseases in pregnancy (2023)
Guanlun ZHOU, Yuhao JU, Jing XU, Ping ZHANG, Guorong HAN
2023, 39(10): 2328-2335. DOI: 10.3969/j.issn.1001-5256.2023.10.009
Abstract(1346) HTML (538) PDF (628KB)(269)
Abstract:
Recently, the European Association for the Study of the Liver organized the development of the clinical practice guidelines for the management of liver diseases in pregnancy, which include 105 recommendations for the clinical management of liver diseases in pregnancy. This article gives an excerpt of the main contents of the guidelines.
Excerpt of an international multidisciplinary consensus statement on MAFLD and the risk of CVD (2023)
Xiaodong ZHOU, Na TIAN, Minghua ZHENG
2023, 39(10): 2336-2339. DOI: 10.3969/j.issn.1001-5256.2023.10.010
Abstract(4116) HTML (569) PDF (529KB)(508)
Abstract:
Metabolic associated fatty liver disease (MAFLD) is a common chronic liver disease around the world, affecting more than a quarter of the adult population worldwide. MAFLD is characterized by the co-occurrence of hepatic steatosis and metabolic disturbance. As a metabolic disorder, MAFLD shares a similar pathogenesis with cardiovascular disease (CVD), and both diseases are closely associated with the well-established cardiovascular risk factors such as obesity, type 2 diabetes, and atherogenic dyslipidemia. An increasing amount of evidence has shown that MAFLD is closely associated with CVD; however, as a new risk factor for CVD, MAFLD differs from traditional risk factors for CVD, which requires further investigation. In this context, this consensus statement used the Delphi method to achieve a consensus on the association between MAFLD and the risk of CVD through two rounds of surveys and discussed the association between MAFLD and CVD in terms of epidemiological and clinical characteristics, as well as a range of topics including pathophysiological mechanisms, surveillance, and management.
Liver Fibrosis and Liver Cirrhosis
Mechanism of cytotoxic T lymphocyte-derived exosomes inhibiting hepatic stellate cell activation
Chuanfu QIN, Yali ZHAO, Lijuan LONG, Hua QIU
2023, 39(10): 2340-2347. DOI: 10.3969/j.issn.1001-5256.2023.10.011
Abstract(906) HTML (365) PDF (1118KB)(70)
Abstract:
  Objective  To investigate whether cytotoxic T lymphocyte (CTL)-derived exosomes can downregulate HBx expression and inhibit hepatic stellate cell (HSC) activation.  Methods  The supernatants of HepG2, HepGA14, and CTL cells were collected to extract exosomes, which were referred to as NC-exo, HBV-exo, and CTL-exo, respectively). Transmission electron microscopy was used to observe their morphology, and Western Blot was used to measure the expression of the markers of exosomes CD63 and TSG101. NC-exo, HBV-exo, and CTL-exo labeled by BODIPY dye were mixed with HBV-exo at different ratios and were then co-cultured with HSC LX-2 (HSC-LX2). A fluorescence microscope was used to observe whether exosomes could enter LX-2 cells, and an fluorescence microscope was used to observe cell morphological changes; quantitative real-time PCR (qPCR) was used to measure the expression of the activated biomarkers such as transforming growth factor-β1 (TGF-β1), ɑ-smooth muscle actin (ɑ-SMA), and collagen type I (Collagen I) in LX-2 cells. CTL-exo was added to the HepGA14 culture system; then qPCR was used to measure the mRNA expression level of HBV DNA, cccDNA, and HBx in exosomes in HepGA14 cells, and Western Blot was used to measure the protein expression level of HBx in exosomes. The t-test was used for comparison of normally distributed continuous data between two groups; a one-way analysis of variance was used for comparison between multiple groups, and the least significant difference t-test was used for further comparison between two groups.  Results  The exosomes were all microcysts with a double-layer membrane structure and were circular or elliptical in shape, with the expression of the signature proteins CD63 and TSG101, and the vesicles had a diameter of 50-100 nm. The fluorescence microscope showed that exosomes could enter LX-2 cells, and HSC were enlarged with extended cell processes. The results of qPCR showed that there were significant differences in the expression levels of TGF-β1, ɑ-SMA, and Collagen I genes between the NC-exo, HBV-exo, NC-exo+HBV-exo, and Con groups (F=444.678, 417.144, and 571.508, all P<0.05). After the intervention of HepGA14 cells with CTL-exo, qPCR results showed that compared with the control group, there were significant reductions in the expression levels of HBV DNA and cccDNA in HepGA14 cells (all P<0.05), the relative mRNA expression level of HBx in exosomes (P<0.05), and the protein expression level of HBx (P<0.05). CTL-exo and HBV-exo were mixed at different ratios (2∶1, 5∶1, 10∶1) and were then used for the intervention of LX-2 cells, and qPCR results showed that the expression levels of TGF-β1, ɑ-SMA, and Collagen I genes in LX-2 cells gradually decreased with the increase in the ratio of CTL-exo between groups (P<0.05).  Conclusion  CTL-exo can downregulate the protein expression of HBx in HBV-exo to inhibit HSC activation, suggesting that CTL-exo has an anti-hepatitis B liver fibrosis effect.
Therapeutic effect of retention enema with compound rhubarb decoction on a rat model of minimal hepatic encephalopathy based on bile acid metabolomics
Yuanqin DU, Meng WANG, Guochu HUANG, Chun YAO, Ruixi ZHONG, Liangjiang HUANG, Jian XU, Jingjing HUANG, Qinwen TAN, Dewen MAO
2023, 39(10): 2348-2357. DOI: 10.3969/j.issn.1001-5256.2023.10.012
Abstract(993) HTML (371) PDF (1663KB)(64)
Abstract:
  Objective  To investigate the therapeutic effect of rhubarb decoction (RD) retention enema on a rat model of minimal hepatic encephalopathy (MHE) and its mechanism of action based on bile acid (BA) metabolomics.  Methods  A total of 55 male Sprague-Dawley rats were randomly divided into blank group (NC group with 10 rats), hepatic encephalopathy group (HE group with 15 rats), MHE group with 15 rats, and MHE+rhubarb decoction treatment group (MHEY group with 15 rats). Intraperitoneal injection of carbon tetrachloride (CCl4) and thioacetamide (TAA) was performed to establish a rat model of MHE or HE, and the rats were sacrificed after 2 weeks of administration. The serum levels of aspartate aminotransferase (AST), alanine aminotransferase (ALT), alkaline phosphatase (ALP), total bilirubin (TBil), and total bile acid (TBA) and the concentration of blood ammonia were measured; the colonic contents were collected to measure pH value; liver and brain tissue samples were collected, and HE staining was used to observe the histopathological changes of the liver; the bile was collected, and liquid chromatography-mass spectrometry was used to perform BA-targeted metabolomics analysis. Continuous data were expressed as mean±standard deviation; a one-way analysis of variance was used for comparison between multiple groups, and the least significant difference t-test was used for further comparison between two groups.  Results  Compared with the NC group, the HE group and the MHE group had a significant increase in searching platform latency (after modelling and after administration) and a significant reduction in the number of platform crossings (all P<0.05); compared with the MHE group, the MHEY group had a significant reduction in searching platform latency (after administration) and a significant increase in the number of platform crossings, and the HE group had a significant increase in searching platform latency and a significant reduction in the number of platform crossings (all P<0.05). Compared with the NC group, the HE group and the MHE group had significant increases in AST, ALT, ALP, TBil, TBA, blood ammonia, and colon pH value (all P<0.05); compared with the MHE group, the MHEY group had significant reductions in AST, ALT, ALP, TBil, TBA, blood ammonia, and colon pH value (all P<0.05), and the HE group had significant increases in AST, ALT, ALP, TBil, TBA, blood ammonia, and colon pH value (all P<0.05). The MHE group had significantly lower TBA, primary BA, and secondary BA than the NC group (all P<0.05); compared with the MHE group, the HE group had significantly lower TBA and primary BA (all P<0.05), and the MHEY group had significantly higher TBA and primary BA (all P<0.05). Compared with the NC group, the MHE group had significant reductions in GCDCA, GUDCA, GHDCA, TCDCA, TUDCA, GLCA, and TLCA (all P<0.05) and significant increases in γ-MCA, THCA, 7-KDCA, AlloLCA, and α-MCA (all P<0.05), and compared with the MHE group, the MHEY group had significant increases in THDCA, TMCA, TCDCA, TUDCA, and TLCA (all P<0.05).  Conclusion  RD retention enema can improve liver injury and cognitive function in a rat model of MHE induced by CCl4 and TAA by regulating the enterohepatic circulation of BA, possibly by increasing the synthesis of taurine-binding BA.
Liver Neoplasm
Clinical features of non-B, non-C hepatocellular carcinoma
Shengfang LIU, Liangping LI
2023, 39(10): 2358-2365. DOI: 10.3969/j.issn.1001-5256.2023.10.013
Abstract(1097) HTML (326) PDF (668KB)(63)
Abstract:
  Objective  To investigate the change in the proportion of non-B, non-C hepatocellular carcinoma (NBNC-HCC) in hepatocellular carcinoma, and to compare and analyze the clinicopathological features of NBNC-HCC.  Methods  A total of 3 090 patients with hepatocellular carcinoma (HCC) who were diagnosed in Sichuan Provincial People’s Hospital from January 2011 to December 2021 were enrolled, and according to the hepatitis markers, they were divided into hepatitis virus infection-associated HCC group with 2 472 patients and NBNC-HCC group with 618 patients. According to the liver disease and metabolic risk factors, the NBNC-HCC group was further divided into metabolic disorder HCC group with 289 patients, alcoholic liver disease (ALD)-associated HCC group with 174 patients, and other HCC group with 155 patients. General information, laboratory markers, and pathological findings were collected from all HCC patients. The Mann-Whitney U test was used for comparison of continuous data between two groups, and the Kruskal-Wallis H test was used for comparison between three groups; the chi-square test was used for comparison of categorical data between groups, and the chi-square trend test was used to investigate the trend of the change in the proportion of NBNC-HCC in HCC.  Results  The proportion of patients with NBNC-HCC in HCC increased from 13.7% in 2011 to 20.1% in 2021 (χ2=5.529, P=0.019), and compared with the hepatitis virus infection-associated HCC group, the NBNC-HCC group had a significantly higher proportion of patients with diabetes (28.0% vs 10.3%, χ2=129.482, P<0.001) or hypertension (33.2% vs 15.2%, χ2=105.079, P<0.001), a significantly lower proportion of patients with liver cirrhosis (44.5% vs 68.4%, χ2=122.563, P<0.001) or vascular invasion (20.4% vs 29.6%, χ2=7.749, P=0.005), and a significantly higher body mass index (BMI) (Z=-4.015, P<0.001). Compared with the ALD-HCC group, the metabolic disorder HCC group had a significantly higher BMI, a significantly lower FIB-4 index, and a significantly lower proportion of patients with liver cirrhosis (all P<0.05).  Conclusion  There is a tendency of increase in the proportion of patients with NBNC-HCC in HCC, and NBNC-HCC often coexists with metabolic risk factors such as obesity, diabetes, and hypertension. Patients in the metabolic disorder HCC group may develop liver cancer in the absence of liver cirrhosis or in the early stage of liver fibrosis.
Effect of synthetic peptide cSN50.1 on the malignant behavior of hepatocellular carcinoma HepG2 cells and its mechanism
Hua XIN, Hongchao SHAN, Haiyan LUAN, Yang RUAN, Xinyan YANG
2023, 39(10): 2366-2374. DOI: 10.3969/j.issn.1001-5256.2023.10.014
Abstract(584) HTML (209) PDF (1783KB)(43)
Abstract:
  Objective  To investigate the effect of cSN50.1 on the proliferation, migration, invasion, and colony formation of HepG2 cells and its mechanism.  Methods  HepG2 cells were divided into cSN50.1 0 μmol/L, cSN50.1 10 μmol/L, cSN50.1 30 μmol/L, cSN50.1 50 μmol/L, cSN50.1 70 μmol/L, and cSN50.1 90 μmol/L groups, and CCK-8 assay was used to investigate the effect of different concentrations of cSN50.1 on the proliferation of HepG2 cells and calculate half-maximal inhibitory concentration (IC50). HepG2 cells were divided into cSN50.1 0 μmol/L, cSN50.1 10 μmol/L, cSN50.1 30 μmol/L, and cSN50.1 50 μmol/L groups, and wound healing assay, Transwell assay, and colony-forming assay were used to investigate the effect of different concentrations of cSN50.1 on the migration, invasion, and colony formation of HepG2 cells. HepG2 cells were divided into Control group, SP600125 group (an inhibitor of the AP-1 signaling pathway), and cSN50.1 group to investigate the influence of the AP-1 signaling pathway on the effect of cSN50.1 on hepatocellular carcinoma cells, and RT-PCR and Western Blot were used to measure the expression of CXCL5, TNF-α, and c-Jun protein in cytoplasm and nucleus. HepG2 cells were divided into Control group, PDTC group (an inhibitor of the NF-κB signaling pathway), and cSN50.1 group to investigate the influence of the NF-κB signaling pathway on the effect of cSN50.1 on hepatocellular carcinoma cells, and RT-PCR and Western Blot were used to measure the expression of CXCL5, TNF-α, and NF-κB protein in cytoplasm and nucleus. A one-way analysis of variance was used for comparison between multiple groups, and the SNK-q test was used for further comparison between two groups.  Results  Compared with the 0 μmol/L group, the 10 μmol/L group had no significant changes in proliferation, migration, invasion, and colony formation abilities (P >0.05); the 30 μmol/L group had no significant change in proliferation ability (P>0.05), but with significant reductions in migration, invasion, and colony formation abilities (P<0.05); the 50 μmol/L group had significant reductions in proliferation, migration, invasion, and colony formation abilities (all P<0.01); the 70 μmol/L and 90 μmol/L groups had a significant reduction in cell proliferation ability (P<0.01), but with a cell survival rate of below 50%. Compared with the Control group, the SP600125, PDTC, and cSN50.1 groups had significant reductions in the mRNA and protein expression levels of CXCL5 and TNF-α (all P<0.05). Compared with the Control group, the SP600125 group, the PDTC group, and the cSN50.1 group had a significant reduction in nuclear protein of c-Jun and NF-κB expression (P<0.05); the SP600125 group and the PDTC group had a significant reduction in cytoplasmic protein of c-Jun and NF-κB expression (P<0.05); the cSN50.1 group had a significant increase in cytoplasmic protein of c-Jun and NF-κB expression (P<0.05).  Conclusion  This study shows that cSN50.1 can inhibit the malignant behavior of hepatocellular carcinoma cells and reduce the expression of CXCL5 and TNF-α by inhibiting the nuclear import of c-Jun and NF-κB in hepatocellular carcinoma cells.
Other Liver Disease
Acute-on-chronic liver failure: Features and prognosis of a new clinical classification system based on onset manifestations
Yu WU, Jinling DONG, Manman XU, Huina CHEN, Huaibin ZOU, Li BAI, Yu CHEN
2023, 39(10): 2375-2382. DOI: 10.3969/j.issn.1001-5256.2023.10.015
Abstract(1367) HTML (488) PDF (901KB)(106)
Abstract:
  Objective  To investigate the characteristics of intrahepatic and extrahepatic organ failure at the onset of acute-on-chronic liver failure(ACLF), to explore the features of a new clinical classification system of ACLF, and to provide a basis for the diagnosis, treatment, prognostic analysis of the disease.  Methods  A retrospective analysis was performed for the clinical data of the patients who were hospitalized Beijing YouAn Hospital, Capital Medical University, from January 2015 to October 2022 and were diagnosed with ACLF for the first time. According to the conditions of intrahepatic and extrahepatic organ failure at disease onset, they were classified into type Ⅰ ACLF and type Ⅱ ACLF. Type Ⅰ ACLF referred to liver failure on the basis of chronic liver diseases, and type Ⅱ ACLF referred to acute decompensation of chronic liver diseases combined with multiple organ failure. The clinical features of patients with type Ⅰ or type Ⅱ ACLF were analyzed, and the receiver operating characteristic (ROC) curve was used to assess the value of MELD, MELD-Na, and CLIF-C ACLF scoring system in predicting the 90-day prognosis of ACLF patients with type Ⅰ or type Ⅱ ACLF. The independent-samples t test was used for comparison of normally distributed continuous data between two groups, and the Wilcoxon rank-sum test was used for comparison of non-normally distributed continuous data between two groups; the chi-square test or the Fisher’s exact test was used for comparison of categorical data between two groups.  Results  A total of 582 patients with ACLF were enrolled, among whom there were 535 patients with type Ⅰ ACLF and 47 patients with type Ⅱ ACLF. Hepatitis B and alcoholic liver disease were the main causes in both groups, with no significant difference between the two groups (P>0.05). Chronic non-cirrhotic liver disease (28.2%) and compensated liver cirrhosis (56.8%) were the main underlying liver diseases in type Ⅰ ACLF, while compensated liver cirrhosis (34.0%) and decompensated liver cirrhosis (61.7%) were the main underlying liver diseases in type Ⅱ ACLF, and there was no significant difference in underlying liver diseases between the patients with type Ⅰ ACLF and those with type Ⅱ ACLF (P<0.001). The patients with type Ⅱ ACLF had significantly higher median MELD score, MELD-Na score, and CLIF-C ACLF score than those with type Ⅰ ACLF (all P<0.001). The patients with type Ⅱ ACLF had significantly higher 28- and 90-day mortality rates than those with type Ⅰ ACLF (38.3%/53.2% vs 15.5%/27.5%, P<0.001). For the patients with type Ⅰ ACLF who did not progress to multiple organ failure, the patients with an increase in MELD score accounted for 63.7% in the death group and 10.1% in the survival group (P<0.001), while for the patients with type Ⅰ ACLF who progressed to multiple organ failure, there was no significant difference in the change in MELD score between the survival group and the death group (P>0.05). In the patients with type Ⅰ ACLF, MELD score, MELD-Na score, and CLIF-C ACLF score had an area under the ROC curve (AUC) of 0.735, 0.737, and 0.740, respectively, with no significant difference between any two scores (all P>0.05). In the patients with type Ⅱ ACLF, CLIF-C ACLF score had a significantly higher AUC than MELD score (0.880 vs 0.560, P<0.01) and MELD-Na score (0.880 vs 0.513, P<0.01).  Conclusion  There are differences in underlying liver diseases, clinical features, and prognosis between type Ⅰ and type Ⅱ ACLF, and different prognosis scoring systems have different emphases, which provide a basis for the new clinical classification system of ACLF from the perspective of evidence-based medicine.
Value of peripheral blood lymphocyte count in evaluating the short-term prognosis of patients with acute-on-chronic liver failure
Xiaohua LIU, Shujuan YANG, Yushan LIU, Juan LI, Qiao ZHANG, Yamin WANG, Taotao YAN, Yuan YANG, Yingren ZHAO, Yingli HE
2023, 39(10): 2383-2389. DOI: 10.3969/j.issn.1001-5256.2023.10.016
Abstract(964) HTML (264) PDF (746KB)(68)
Abstract:
  Objective  To investigate the influencing factors for the prognosis of patients with acute-on-chronic liver failure (ACLF), and to establish a short-term prognostic model.  Methods  A retrospective analysis was performed for the baseline clinical data of 247 patients with ACLF who were hospitalized in Department of Infectious Diseases, The First Affiliated Hospital of Xi’an Jiaotong University, from January 2011 to December 2016, and the patients were divided into survival group and death group. The two groups were compared to identify the influencing factors for prognosis; a prognostic model was established, and the receiver operating characteristic (ROC) curve was used to assess its predictive efficacy and determine the optimal cut-off value. The independent-samples t test was used for comparison of normally distributed continuous data between groups, and the Mann-Whitney U rank sum test was used for comparison of non-normally distributed continuous data between groups; the Fisher’s exact test or the Pearson’s chi-square test was used for comparison of categorical data between groups. The univariate and multivariate logistic regression analyses were used to investigate the independent risk factors for 28- and 90-day prognosis, and the Kaplan-Meier method was used to plot the 28-day survival curves.  Results  A total of 220 patients with ACLF were included based on the inclusion and exclusion criteria; there were 148 patients in the 28-day survival group and 72 patients in the 28-day death group, with a 28-day transplantation-free survival rate of 67.27%; there were 115 patients in the 90-day survival group and 105 patients in the 90-day death group, with a 90-day transplantation-free survival rate of 52.27%. The logistic regression analysis showed that female sex (odds ratio [OR]=2.149, P=0.030), high Model for End-Stage Liver Disease (MELD) score (OR=1.120, P<0.001), and low lymphocyte count (OR=0.411, P=0.002) were independent risk factors for 28-day prognosis, and an LS-MELD model for 28-day prognosis was established as Logit (28-day prognosis)=-3.432+0.765×sex-0.890×lymphocyte count×10-9+0.113×MELD(1 for male sex and 2 for female sex). The ROC curve analysis showed that this model had an optimal cut-off value of 0.35, and then the patients were divided into low LS-MELD group (≤0.35) and high LS-MELD group (>0.35); the low LS-MELD group had a significantly higher 28-day survival rate than the high LS-MELD group (P<0.001).  Conclusion  Peripheral blood lymphocyte count combined with sex and MELD score has a certain value in predicting the short-term prognosis of ALCF patients.
Clinical features of bacterial liver abscess in the context of coronavirus disease 2019 in Changchun, China
Yu TIAN, Meili DONG, Yu ZHANG, Diandian HAO, Jialin DU, Xiaoyu WEN
2023, 39(10): 2390-2395. DOI: 10.3969/j.issn.1001-5256.2023.10.017
Abstract(832) HTML (273) PDF (594KB)(42)
Abstract:
  Objective  To investigate the clinical and epidemiological features of patients with bacterial liver abscess during the outbreak of coronavirus disease 2019 (COVID-19) in Changchun, China.  Methods  A retrospective analysis was performed for 37 411 patients who were discharged from The First Hospital of Jilin University from March 1 to June 30 in 2022, and finally 135 patients with bacterial liver abscess were included for analysis. Related clinical data were collected to summarize their clinical features, and these patients were compared with the patients with bacterial liver abscess in 2019-2021 in terms of disease onset and pathogen. The Kruskal-Wallis H test was used for comparison of continuous data between multiple groups, and the chi-square test was used for comparison of categorical data between multiple groups.  Results  The patients with bacterial liver abscess accounted for 0.36% of the patients admitted to our hospital during the same period of time, which showed varying degrees of increase compared with the previous years (χ2=32.081, P<0.001). The 135 patients with bacterial liver abscess had a mean hospital stay of 11 (6-18) days, which was longer than that in the previous years (H=9.223, P=0.026). The patients with bacterial liver abscess had higher levels of white blood cell count and C-reactive protein (CRP) than the previous years (H=14.150 and 8.736, P=0.003 and 0.033). Among the 135 patients, 69 (51.11%) received blood culture, and the results showed sterile growth (59.42%), Klebsiella pneumoniae (30.43%), Escherichia coli (4.35%), Bacteroides fragilis (1.45%), Enterococcus faecium (1.45%), Staphylococcus epidermidis (1.45%), and Klebsiella oxytoca (1.45%). Among the 135 patients, 90 (66.67%) received pus culture, and the results showed Klebsiella pneumoniae (72.22%), sterile growth (14.44%), Escherichia coli (4.44%), Enterococcus faecium (2.22%), Pseudomonas aeruginosa (2.22%), Acinetobacter baumannii (1.11%), Klebsiella aerogenes (1.11%), Klebsiella oxytoca (1.11%), and Enterococcus casseliflavus (1.11%). Of all 135 patients, 127 (94.07%) were improved and cured after anti-infective therapy and ultrasound-guided abscess puncture and drainage, and 3 patients (2.22%) died during hospitalization.  Conclusion  During the outbreak of COVID-19 in Changchun, there are increases in the number of patients with liver abscess in our hospital, the length of hospital stay, and the levels of white blood cell count and CRP, with Klebsiella pneumoniae as the main pathogen, and most patients are improved after treatment.
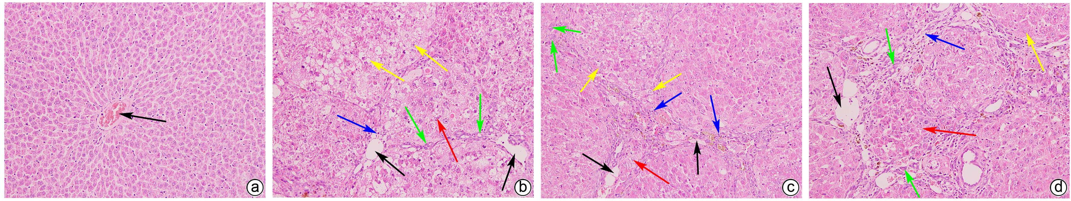
Expression and significance of response gene to complement 32 in liver regeneration after partial hepatectomy in mice
Xingyuan LI, Yanfang YANG, Yan CHEN, Wenhui HU, Xiaoying ZHAO, Junming TANG, Deying KONG
2023, 39(10): 2396-2405. DOI: 10.3969/j.issn.1001-5256.2023.10.018
Abstract(1521) HTML (247) PDF (3088KB)(77)
Abstract:
  Objective  To investigate the expression and role of response gene to complement 32 (RGC32) in liver regeneration after partial hepatectomy (PH).  Methods  A total of 42 male C57BL/6 mice, aged 10 weeks, were randomly divided into control group, postoperative day 1 group (1-d group), postoperative day 2 group (2-d group), postoperative day 4 group (4-d group), postoperative day 6 group (6-d group), postoperative day 8 group (8-d group), and postoperative day 10 group (10-d group), with 6 mice in each group. In the control group, the complete liver of the mice was resected for weighing and photography as the normal control group (sham group); further, the left and middle lobes of the liver were resected for weighing and photography as the surgical control group (0-day group); the sham group and the 0-day group shared the same group of mice. After successful modeling by PH, the mice were sacrificed on days 1, 2, 4, 6, 8, and 10 after surgery, and the liver was collected to measure the change in size. HE staining and oil red O staining were used to evaluate liver histomorphological changes; serum alanine aminotransferase (ALT) and aspartate aminotransferase (AST) were measured to evaluate the changes in liver function; immunohistochemical staining was used to measure the expression of proliferating cell nuclear antigen (PCNA) and Ki67 and analyze the change in cell proliferation during liver regeneration; quantitatie real-time PCR and immunohistochemical staining were uused to measure the expression and subcellular distribution of RGC32 during liver regeneration; EdU cell proliferation assay was used to analyze the effect of RGC32 overexpression or knocknout on hepatocyte proliferation in L02 cells. For continuous data, comparison between multiple groups was made by analysis of variance, and further pairwise comparisons were conducted using the LSD-t test. The independent samples t-test was used for comparison of continuous data between two groups. A Pearson correlation analysis was performed.  Results  The liver gradually enlarged after PH, and the liver/body weight ratio rose to the peak from days 0 to 6, with significant differences between different time points (all P<0.05), while there was no significant change in liver size from days 6 to 10. The number of liver lipid droplets significantly increased after PH surgery and gradually decreased with liver regeneration, with a significant difference between the portal vein region and the central vein region (all P<0.05). Compared with the sham group, the 1d group had significant increases in the serum levels of ALT and AST (all P<0.05), which gradually returned to the levels of the sham group on day 6 and day 2 after surgery, respectively (P>0.05). Immunohistochemical staining showed that there were rapid increases in the numbers of PCNA- and Ki67-positive liver parenchymal cells after PH surgery, with the highest numbers of 86±5 and 89±5, respectively, on day 2, which then gradually decreased; however, there were gradual increases in the numbers of PCNA- and Ki67-positive nonparenchymal cells, with the peak numbers of 34±5 and 25±3, respectively, on day 6, which then gradually decreased. The total expression of RGC32 increased to the highest level on day 2 after PH surgery and then gradually decreased, and the changing trend of RGC32 expression in cytoplasm was consistent with that of total RGC32 expression; however, the expression of RGC32 in nucleus decreased to the lowest level on day 2 after PH surgery and then increased gradually. The correlation analysis showed that the expression of RGC32 in nucleus was negatively correlated with the proliferation of liver parenchymal cells (R2=0.308 3, P=0.016 7), and the expression of RGC32 in cytoplasm was positively correlated with the proliferation of liver parenchymal cells (R2=0.808 6, P<0.000 1). Cell experiments showed that compared with the control group, the EdU-positive rate was reduced by 15.6% after RGC32 overexpression (P<0.01) and was increased by 19.2% after RGC32 knockdown (P<0.01).  Conclusion  Liver parenchymal cells and nonparenchymal cells show asynchronous proliferation and participate in liver regeneration together. During liver regeneration after hepatectomy, there are differences in the expression of RGC32 between nucleus and cytoplasm, and RGC32 in nucleus may inhibit hepatocyte proliferation.
Biliary Disease
Efficacy and safety of 125I intraluminal irradiation combined with lenvatinib in treatment of progressive extrahepatic cholangiocarcinoma
Xingshu ZHU, Pengfei CHEN, Mengfan ZHANG, Fangzheng LI, Jinwei CHEN, Wenguang ZHANG, Xuhua DUAN, Jianzhuang REN, Xinwei HAN
2023, 39(10): 2406-2412. DOI: 10.3969/j.issn.1001-5256.2023.10.019
Abstract(1106) HTML (319) PDF (1005KB)(55)
Abstract:
  Objective  To investigate the efficacy and safety of 125I intraluminal irradiation combined with lenvatinib in the treatment of progressive extrahepatic cholangiocarcinoma.  Methods  A retrospective analysis was performed for 25 patients with progressive extrahepatic cholangiocarcinoma who attended Department of Interventional Radiology, The First Affiliated Hospital of Zhengzhou University, from January 2018 to November 2021, and according to the treatment modality, they were divided into combination group with 13 patients (125I intraluminal irradiation combined with lenvatinib) and control group (125I intraluminal irradiation alone). The two groups were compared in terms of technical success rates, changes in liver function, stent patency, survival time, and incidence rates of adverse events. The independent-samples t test was used for comparison of normally distributed continuous data between two groups, and the Wilcoxon rank-sum test was used for comparison of continuous data with skewed distribution between two groups; the Fisher’s exact test was used for comparison of categorical data between groups. The Kaplan-Meier method and the log-rank test were used to evaluate survival time and stent patency.  Results  All patients had successful implantation of biliary stents and 125I particles, with a technical success rate of 100%. After 1 month of treatment, both groups had significant improvements in the serum levels of total bilirubin, direct bilirubin, alanine aminotransferase, and aspartate aminotransferase (all P<0.05). There were significant differences between the control group and the combination group in the duration of stent patency (7.0 months vs 9.5 months, P=0.022) and median survival time (11.5 months vs 15.6 months, P=0.008). There were no intolerable adverse events in the combination group during treatment.  Conclusion  Compared with 125I intraluminal irradiation alone, 125I intraluminal irradiation combined with lenvatinib has better efficacy and is a safe and effective treatment regimen for progressive extrahepatic cholangiocarcinoma.
Clinical effect of Qingre Lidan granules in preventing the recurrence of choledocholithiasis after laparoscopy combined with choledochoscopy
Jiqiang LI, Qinghui QI, Guixin ZHANG
2023, 39(10): 2413-2420. DOI: 10.3969/j.issn.1001-5256.2023.10.020
Abstract(938) HTML (364) PDF (747KB)(50)
Abstract:
  Objective  To investigate the effect of Qingre Lidan granules in preventing the recurrence of choledocholithiasis after laparoscopy combined with choledochoscopy through a retrospective cohort study.  Methods  A total of 337 inpatients with choledocholithiasis (including those with cholecystolithiasis at the same time) who underwent laparoscopy combined with choledochoscopic lithotomy in The First Affiliated Hospital of Dalian Medical University from January 1, 2010 to December 31, 2020 were enrolled, and related clinical data were collected. According to the follow-up results, the patients were divided into exposure group (conventional treatment+Qingre Lidan granules) with 225 patients and non-exposure group (conventional treatment) with 112 patients. The recurrence of choledocholithiasis and the administration of Qingre Lidan granules were recorded in detail for both groups. The recurrence rate of choledocholithiasis and the time to recurrence were observed for both groups, and the risk factors for the recurrence of choledocholithiasis were analyzed. The independent-samples t test was used for comparison of normally distributed continuous data between two groups, and the Mann-Whitney U test was used for comparison of non-normally distributed continuous data between two groups; the chi-square test or the Fisher’s exact test was used for comparison of categorical data between two groups. The Kaplan-Meier curve was used to estimate the cumulative probability of choledocholithiasis recurrence in the two groups, and the Log-rank test was used for comparison between two groups.  Results  A total of 26 patients experienced the recurrence of choledocholithiasis after laparoscopy combined with choledochoscopy, with 12 patients (5.33%) in the exposure group and 14 (12.5%) in the non-exposure group, and the exposure group had a significantly lower recurrence rate than the non-exposure group (χ2=5.394, P=0.020). The exposure group had a significantly longer mean time to the recurrence of choledocholithiasis than the non-exposure group (40.1±26.7 months vs 19.2±13.5 months, t=2.383, P=0.017). The Kaplan-Meier curve analysis showed that the non-exposure group had a significantly higher cumulative recurrence rate than the exposure group in different periods of time (P<0.05). The multivariate logistic regression analysis showed that common bile duct diameter ≥14 mm (odds ratio 〔OR〕=2.935, P=0.031) and multiple calculi (OR=2.911, P=0.029) were independent risk factors for the recurrence of choledocholithiasis after laparoscopy combined with choledochoscopic lithotomy.  Conclusion  Qingre Lidan granules can effectively reduce the recurrence rate of choledocholithiasis and prolong the time to the recurrence of choledocholithiasis after laparoscopy combined with choledochoscopy and has a certain clinical effect in preventing the recurrence of choledocholithiasis after surgery.
Efficacy of laparoscopic choledochoscopy combined with holmium laser lithotripsy versus traditional laparotomy in treatment of bile duct stones: A Meta-analysis
Xiangdong NIU, Jing YU, Xuyun WANG, Yifeng CHEN, Shixun MA, Guogan DING, Changfeng MIAO, Xiaopeng WANG, He SU
2023, 39(10): 2421-2431. DOI: 10.3969/j.issn.1001-5256.2023.10.021
Abstract(1022) HTML (376) PDF (2044KB)(69)
Abstract:
  Objective  To systematically review the efficacy and safety of laparoscopic choledochoscopy combined with holmium laser lithotripsy through a meta-analysis.  Methods  This study was conducted based on PRISMA guidelines, with a PROSPERO registration number of CRD42023406221. Chinese databases including CNKI, Wanfang Data, and VIP and foreign language databases such as PubMed, Embase, the Cochrane Library, and Web of Science were searched for original articles on traditional laparotomy versus laparoscopic choledochoscopy combined with holmium laser lithotripsy in the treatment of bile duct stones. Dichotomous variables were assessed by odds ratio (OR) and 95% confidence interval (CI), while continuous variables were assessed by weighted mean difference (WMD) and 95%CI, and a sensitivity analysis was performed for outcome measures with relatively high heterogeneity. The Begg test and Egger test were used to evaluate publication bias. Stata 15.0 and Review Manager 5.3 were used to perform the statistical analysis.  Results  A total of 26 retrospective studies from China were included in this study, with 2 238 patients in total. The meta-analysis showed that compared with traditional laparotomy for the treatment of bile duct stones, laparoscopic choledochoscopy combined with holmium laser lithotripsy had significantly shorter time of operation (WMD=-1.26, 95%CI: -1.36 to -1.16, P<0.001), length of hospital stay (WMD=-1.93, 95%CI: -2.64 to -1.12, P <0.001), and time to bowel function recovery (WMD=-1.52, 95%CI: -1.68 to -1.35, P<0.001), significantly less intraoperative blood loss (WMD=-1.79, 95%CI: -1.93 to -1.66, P<0.001), a significantly lower rate of intraoperative residual stone (OR=0.15, 95%CI: 0.11-0.20, P<0.001), and significantly fewer complications (OR=0.17, 95%CI: 0.13-0.23, P<0.001).  Conclusion  Compared with traditional laparotomy, laparoscopic choledochoscopy combined with holmium laser lithotripsy shows better efficacy in the treatment of bile duct stones.
Pancreatic Disease
Establishment of a modified BISAP scoring system and its clinical significance in the early diagnosis and prognostic evaluation of severe acute pancreatitis
Rongjie LI, Yi PENG, Xiaolong TANG, Decai ZHANG, Shaojun LIU
2023, 39(10): 2432-2442. DOI: 10.3969/j.issn.1001-5256.2023.10.022
Abstract(1189) HTML (434) PDF (907KB)(77)
Abstract:
  Objective  To establish a modified BISAP scoring system, and to investigate the value of the BISAP scoring system versus the modified BISAP scoring system in assessing the severity and condition of acute pancreatitis (AP).  Methods  For the establishment of the new scoring system, a retrospective analysis was performed for the clinical data of 1 033 patients with AP who were admitted to Third Xiangya hospital of central South University from January 2019 to December 2021, and according to the revised Atlanta classification, they were divided into mild acute pancreatitis (MAP) group with 827 patients and severe acute pancreatitis (SAP) group with 206 patients. The two groups were compared in terms of clinical features, laboratory markers, and imaging data. A binary logistic regression analysis was performed for the statistically significant indicators to screen for the independent risk factors for SAP. The receiver operating characteristic (ROC) curve was used to obtain the optimal cut-off value corresponding to the maximum Youden index for each independent risk factor, and a score of 0 or 1 was assigned depending on different situations, which was integrated into the BISAP scoring system to establish a modified BISAP scoring system. For the validation of the new scoring system, a retrospective analysis was performed for the clinical data of 473 patients with AP who were admitted to Third Xiangya hospital of central South University from January 2017 to December 2018. BISAP score and modified BISAP score were determined for each patient, and the area under the ROC curve (AUC) was used to compare the value of the two scoring systems in predicting the severity and prognosis of AP. The chi-square test or the Fisher’s exact test was used for comparison of categorical data between two groups, and the independent-samples t test and the Mann-Whitney U test were used for comparison of continuous data between two groups.  Results  For the establishment of the new scoring system, there were significant differences between the MAP group and the SAP group in mode of admission, length of hospital stay, ICU admission rate, number of deaths, underlying diseases, and incidence rate of complications (all P<0.05). The binary logistic regression analysis showed that body temperature, neutrophil-to-lymphocyte ratio (NLR), C-reactive protein (CRP), albumin, triglycerides, D-dimer, fibrinogen, and MCTSI score were independent risk factors for SAP (all P<0.05). The ROC curve analysis showed that CRP (AUC=0.921), NLR (AUC=0.798), D-dimer (AUC=0.768), and MCTSI score (AUC=0.931) had a good predictive value for SAP, and the combination of these four indicators had an AUC of 0.976 and showed a significantly higher diagnostic efficiency than each indicator alone or the combination of two or three indicators (all P<0.05). For the validation of the new scoring system, a total of 473 patients were enrolled, with 408 in the MAP group and 65 in the SAP group, and there were significant differences between the two groups in mode of admission, length of hospital stay, ICU admission rate, number of deaths, and incidence rate of complications (all P<0.05). The modified BISAP score was better than the BISAP score in predicting SAP (AUC: 0.972 vs 0.887, P<0.05), with an optimal cut-off value of >3 points. The modified BISAP score also had a relatively high value in predicting the mortality of AP patients (AUC=0.910), but there was no significant difference between the modified BISAP score and the BISAP scoring system (AUC: 0.910 vs 0.896, P=0.707).  Conclusion  The modified BISAP score is better than the BISAP score in predicting the severity of AP and has a relatively high value in predicting the mortality of AP patients, giving a more accurate, objective, and early assessment of the condition of AP patients.
Review
Role of heat shock protein 90 in hepatitis B virus replication
Yin HUA, Haili FANG, Shousheng LIU, Yongning XIN, Mei ZHANG, Shiying XUAN
2023, 39(10): 2443-2447. DOI: 10.3969/j.issn.1001-5256.2023.10.023
Abstract(937) HTML (199) PDF (630KB)(61)
Abstract:
Hepatitis B virus (HBV) has the characteristics of wide transmission, a high chronic infection rate, and a low cure rate, and improving the cure rate of HBV may help to improve the long-term prognosis of patients. Heat shock protein 90 (Hsp90) is a chaperone protein widely present in organisms. In recent years, more and more studies have shown that Hsp90 is associated with HBV infection and plays an important role in HBV replication. It can not only interact with specific proteins of the virus to promote its replication, but also interact with the host’s own proteins to perform its function. This article reviews the role of Hsp90 in HBV replication in recent studies, so as to provide new theoretical guidance and directions for the development of new anti-HBV drugs targeting Hsp90 and the prevention and treatment of HBV infection in the future.
Research advances in hepatitis E virus infection in pregnancy
Manhua ZHONG, Jingyue WANG, Yuan HUANG
2023, 39(10): 2448-2453. DOI: 10.3969/j.issn.1001-5256.2023.10.024
Abstract(984) HTML (231) PDF (694KB)(100)
Abstract:
Previous studies have shown that hepatitis E virus (HEV) infection in pregnancy can cause liver failure and adverse pregnancy outcomes such as miscarriage, stillbirth, and vertical transmission, especially in countries where HEV genotypes 1 and 2 are prevalent. In recent years, HEV infection in China is sporadic and is mainly caused by HEV genotype 4, and although studies have shown that most pregnant women with HEV infection in China have no signfinicant clinical symptoms, there is still a high incidence rate of adverse pregnancy outcomes. This article reviews the recent studies on HEV infection in pregnancy, including the advances in pathogenesis, epidemiology, prognosis, mechanism of severe exacerbation, treatment, and prognosis, and puts forward recommendations for the screening and evaluation of HEV infection in pregnancy.
Research advances in the association between metabolic associated fatty liver and type 2 diabetes mellitus and the mechanism of comorbidity
Zhaobin CHEN, Liyuan HUANG, Bingyuan WANG, Junping SHI, Jing ZHANG
2023, 39(10): 2454-2459. DOI: 10.3969/j.issn.1001-5256.2023.10.025
Abstract(2279) HTML (387) PDF (961KB)(293)
Abstract:
There are gradual increases in the incidence rates of metabolic associated fatty liver disease (MAFLD) and type 2 diabetes mellitus (T2DM), with close relationship and mutual interaction between the two diseases, but the specific mechanism is still unclear. Studies have shown that T2DM and MAFLD may cause aggravation of each other through insulin resistance, inflammation, some hepatocyte factors, and cellular senescence and protect each other through some hepatocyte factors. Further research on the association between T2DM and MAFLD and the mechanism of comorbidity is of great significance for the clinical prevention and treatment of the two diseases.
Transjugular intrahepatic portosystemic shunt combined with collateral vessel embolization in treatment of gastroesophageal variceal bleeding in liver cirrhosis: Research advances and controversies
Qiong WU, Lianhui ZHAO, Guangchuan WANG, Chunqing ZHANG
2023, 39(10): 2460-2463. DOI: 10.3969/j.issn.1001-5256.2023.10.026
Abstract(1046) HTML (220) PDF (506KB)(52)
Abstract:
Transjugular intrahepatic portosystemic shunt (TIPS) has been recommended as a treatment method for cirrhotic portal hypertension in domestic and foreign guidelines, but there is still uncertainty in its therapeutic efficacy. More and more studies have shown that TIPS combined with collateral vessel embolization (TIPS+E) has certain advantages in the treatment of gastroesophageal variceal bleeding in liver cirrhosis. This article reviews the major studies on TIPS+E in China and globally, summarizes related recommendations in guidelines and the current status of clinical application, and proposes the issues that need to be solved, such as indication, hemodynamic criteria, and selection of materials for embolization, and large-sample multicenter randomized controlled trials are needed for further clarification.
Recompensation of liver cirrhosis: Current status and challenges
Gong FENG, Juanjuan SONG, Feng YE, Yonghong MA, Yilin REN, Ziyi ZHANG, Na HE, Xueping LI, Man MI
2023, 39(10): 2464-2469. DOI: 10.3969/j.issn.1001-5256.2023.10.027
Abstract(1245) HTML (824) PDF (604KB)(200)
Abstract:
‍Traditionally, the progression from compensated liver cirrhosis to decompensated liver cirrhosis has been considered an irreversible point in the natural history of the disease; however, with the suppression of underlying etiology, cure, and disease regression, this view is challenged by an increasing number of new evidence, and the idea of “recompensation of liver cirrhosis” is gradually being accepted. In recent years, scholars in China and globally have been exploring the specific definition of recompensation of liver cirrhosis and the clinical features of patients. By summarizing the recent studies on recompensation of liver cirrhosis in China and globally, integrating existing views, and analyzing related research evidence, this article points out the main challenges in the field of recompensation at this stage, including the lack of in-depth clinical and basic research, the need to define recompensation in the context of NAFLD, and related ethical issues, in order to provide new directions for future research in this field.
Research advances in the role of blood metabolic markers in the treatment response and prognosis prediction of primary liver cancer
Zhiying LIU, Zhihang ZHOU, Song HE
2023, 39(10): 2470-2475. DOI: 10.3969/j.issn.1001-5256.2023.10.028
Abstract(1185) HTML (290) PDF (619KB)(82)
Abstract:
Primary liver cancer is one of the most severe cancer burdens around the world. Metabolic reprogramming is one phenotype of cancer, and blood metabolic markers are closely associated with metabolic reprogramming and can predict the risk of recurrence and survival or assess the treatment response of liver cancer, with important significance in the stratified management of patients, the development of rational treatment strategies, and the improvement of patient prognosis. By reviewing the recent studies on blood metabolomics in assessing the treatment response or predicting the prognosis of liver cancer, this article summarizes the blood metabolites with predictive significance and their mechanism of action and analyzes the current research status, existing problems, and prospects of this field. It is believed that the metabolites, such as aromatic amino acids, lipids, and bile acids, have an important clinical value in predicting the prognosis of liver cancer, and metabolomics technology has great potential in finding useful metabolites, but there are still many issues to be solved, such as technical limitations, insufficient studies, and multiple influencing factors.
Research advances in natural drug and food monomers in prevention and treatment of alcoholic liver injury
Jingrong YE, Yan LIN, Hanyi DUAN, Xiaolan REN, Xue YANG, Fengying ZHANG
2023, 39(10): 2476-2484. DOI: 10.3969/j.issn.1001-5256.2023.10.029
Abstract(2021) HTML (464) PDF (877KB)(116)
Abstract:
A large number of data show that the prevalence rate of alcoholic liver injury (ALI) is increasing year by year, and it has become one of the main causes of death due to chronic liver diseases such as liver cancer and liver cirrhosis. Quitting drinking is the main method for the prevention of ALI in modern medicine, and the main treatment methods include Western medicine with antioxidant and anti-fibrotic effects and nutritional support. However, Western medicine tends to have an unsatisfactory treatment effect and can only alleviate initial symptoms, and severe ALI still requires surgical treatment. Studies have shown that the monomers extracted from natural drugs and foods have obvious preventive and therapeutic effects on ALI, with high safety and easy access. Therefore, this article systematically summarizes the main natural drug and food monomers used for the prevention and treatment of ALI and proposes the idea of the combination of drug and food for the prevention and treatment of ALI from the perspective of paying attention to the whole process of health, in order to explore more effective prevention, health care, and treatment methods and provide ideas for research on the prevention and control of ALI.
Advances in the protective mechanism and clinical implications of autophagy in liver failure
Yangyang HU, Xing ZHANG, Yue LUO, Yadong WANG, Caiyan ZHAO
2023, 39(10): 2485-2490. DOI: 10.3969/j.issn.1001-5256.2023.10.030
Abstract(1019) HTML (370) PDF (747KB)(79)
Abstract:
‍Liver failure is a serious clinical syndrome of liver disease with critical condition and high mortality, and besides liver transplantation, there is still a lack of satisfactory radical treatment methods. The pathogenesis of liver failure is complex and remains unclear, involving a variety of factors that affect the balance of hepatocyte necrosis and regeneration. This article summarizes autophagy as the key pathway for maintaining cell homeostasis and points out that autophagy plays an important protective role in the pathogenesis of liver failure by regulating NLRP3 inflammasome activation, reducing oxidative stress, and inhibiting cell apoptosis. Meanwhile, it is believed that the molecular signaling pathways targeting autophagy, such as exosomes and peroxisome proliferator-activated receptor α, participate in antagonizing the development and progression of liver failure and will become important ideas and directions for molecular targeted therapies for liver failure.
Current research status of biliary stents
Abudula ABUDUKAHAER, Obulkasim HALMURAT, Shaobin DUAN
2023, 39(10): 2491-2496. DOI: 10.3969/j.issn.1001-5256.2023.10.031
Abstract(1661) HTML (1303) PDF (646KB)(157)
Abstract:
Biliary tract diseases are a common type of hepatobiliary diseases in China and have a relatively high incidence rate, and related complications are important influencing factors for the health of Chinese patients. Biliary stents are mainly used to alleviate and relieve benign or malignant biliary stricture and obstruction, with the features of little trauma, high safety, and in line with the physiological and anatomical structure of biliary tract, and it has become the preferred palliative treatment method for biliary obstruction caused by unresectable pancreaticobiliary tumors. However, there is still a lack of satisfactory treatment outcomes since commonly used biliary stents have the shortcomings such as bacterial adhesion, cholestasis, stent obstruction, and stent migration. In recent years, scholars have conducted extensive and in-depth studies on the causes of biliary stent obstruction, the improvement of stent design, and the extension of drainage duration and have made certain progress. This article reviews the types, advantages and disadvantages, and development history of biliary stents and proposes the future research directions and application value of biliary stents.
Research advances in hemorrhage after endoscopic retrograde cholangiopancreatography
Ling FAN, Yan FU, Yi LIU, Hua HUANG, Jing NI, Juan TANG
2023, 39(10): 2497-2505. DOI: 10.3969/j.issn.1001-5256.2023.10.032
Abstract(1110) HTML (611) PDF (731KB)(60)
Abstract:
Although hemorrhage after endoscopic retrograde cholangiopancreatography (ERCP) is mostly mild and self-limited, sometimes blood transfusion and endoscopic hemostasis are still needed. However, rebleeding may occur after conventional endoscopic hemostasis and thus requires interventional vascular embolization or surgical intervention, which might significantly increase the risk of death associated with post-ERCP bleeding. This article discusses the risk factors for post-ERCP bleeding, including disease-specific factors, patient-related factors, and operation-related factors, and elaborates on different measures for the prevention and treatment of post-ERCP bleeding, so as to provide a reference for identifying the high-risk population for bleeding and developing precise surgical strategies in clinical practice.
Research advances in total pancreatectomy with autologous islet cell transplantation
Jingjing LI, Yuanyu ZHAO, Hong FU, Fei TENG, Jiaxi MAO, Wenyuan GUO
2023, 39(10): 2506-2512. DOI: 10.3969/j.issn.1001-5256.2023.10.033
Abstract(1141) HTML (572) PDF (636KB)(54)
Abstract:
Since the 1970s, patients with chronic pancreatitis (CP) have benefited from total pancreatectomy with autologous islet cell transplantation (TPAIT). With the continuous development of surgical techniques and perioperative management over the past few decades, there have been improvements in islet cell function, insulin independence rate, and the survival rate of patients. This article summarizes the preoperative indications for TPAIT, the development of surgical operations, postoperative management and monitoring, and prognosis, so as to help clinicians learn more about TPAIT.
Introduction of High - quality Articles in Foreign Journals
Hepatology International|Messenger RNA electroporated hepatitis B virus (HBV) antigen-specific T cell receptor (TCR) redirected T cell therapy is well-tolerated in patients with recurrent HBV-related hepatocellular carcinoma post-liver transplantation: results from a phase I trial
2023, 39(10): 2431-2431. DOI: 10.3969/j.issn.1001-5256.2023.10.gwjpwzjj1
Abstract(612) HTML (344) PDF (153KB)(45)
Abstract:
Thanks
Current reviewers
2023, 39(10): 2420-2420. DOI: 10.3969/j.issn.1001-5256.2023.10.zhixie1
Abstract(472) HTML (254) PDF (110KB)(36)
Abstract: