病例基本资料
患者男,51岁,因“寒战、发热1周,黑便3 d”2011年 2月22日收住武汉大学人民医院。
患者男,51岁,因“寒战、发热1周,黑便3 d”2011年 2月22日收住武汉大学人民医院。
患者2月15日晚聚餐后出现寒战、高热,体温最高达39.2℃伴头晕、乏力,鲜红色血便1次.无恶心、呕吐,无腹痛、腹胀等.次日清晨到当地医院予抗炎治疗1周(具体不详),仍高热伴黑便,1-2次/d, 量少,无黏液尚成形,遂转入本院。
起病后精神、睡眠、食欲差,体力体重略下降;患者既往体健,无烟酒嗜好,无特殊家族遗传病及传染病史。
入院体格检查:体温37.4℃,脉搏 112次/min;神清.急性病容,全身皮肤巩膜无黄染,浅表淋巴结未及肿大,腹平软,肝脾肋下未及,右上腹肝区轻叩痛,余无压痛及反跳痛,双下肢轻度水肿。
血常规:白细胞9.5×10^9/L,中性粒细胞0.770,淋巴细胞0.096; C反应蛋白 119.3 mg/L,趄敏C反应蛋白>5.0 mg/L;粪常规示潜血试 验(++);血生化示:丙氨酸转氨酶155 U/L,天冬氨酸转氨酶77 U/L,γ-谷氨酰转肽酶93U/L,总蛋白49.9 g/L,白蛋白25.4 g/L,白/球比值1.04,直接胆红素8.9 μmol/L,钾3.1mmol/L,钙 1.96 mmnol/L;红细胞沉降率 97 mm/1 h。
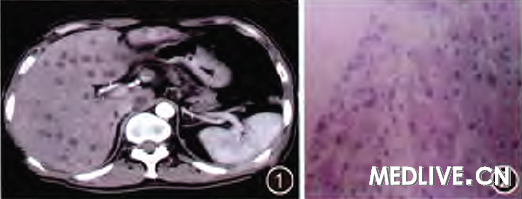
入院后给予抗感染(头孢地嗪)、护肝(还原型谷胱甘肽)、退热 (双氯芬酸钠栓)营养支持等处理;连续3 d患者精神较差,体温仍高,最高达40.5℃,高热时头痛明显、伴四肢乏力,应用退热栓后可控制数小时,曾解黑色大便1次,量不多尚成形;彩色B超示:肝脏体积增大,内可见多个大小不等低回声光团,提示肝内多发实质性占位(肝癌可能):增强CT示:肝内多发性占位,考虑为肝寄生虫病及肝脏肿瘤(图1)。
遂行胃、肠镜检查均无阳性发现。在B超定位下行经皮肝穿刺活检术,取出灰白红色相间实质性肝组织4条送检,病理检查提示炎性细胞浸润(图2),诊断为多发不典型肝脓肿、肝脏炎性假瘤(IPL)形成,并继续强化抗感染及相关支持治疗。
2周后患者精神逐步好转,大便转黄,肝区叩痛消失,仍间断发热。复查上腹部CT示肝内多发低密度影范围较前缩小,病灶周围可见明显高密度强化环(图3),复查肝功能及血常规基本正常.巩固治疗1周后出院,6月3日复查腹部CT示肝内未见明显占位性病变,增强不显影(图4),患者一般情况良好,随访3个月未见病情复发。
2周后患者精神逐步好转,大便转黄,肝区叩痛消失,仍间断发热。复查上腹部CT示肝内多发低密度影范围较前缩小,病灶周围可见明显高密度强化环(图3),复查肝功能及血常规基本正常.巩固治疗1周后出院,6月3日复查腹部CT示肝内未见明显占位性病变,增强不显影(图4),患者一般情况良好,随访3个月未见病情复发。
讨论
IPL是临床上极少见的一种良性非特异性炎性病变,以发热、黑便等急性肠道感染症状起病。该患者急性起病,有可疑不洁饮食史,临床上表现出寒战、高热等感染性疾病的全身中毒症状,曾解鲜红色血便1次,后转为黑便。
诊断考虑为肠道致病菌经血行播散所致败血症及多发不典型肝脓肿、IPL形成,而黑便为急性应激所致。肝脓肿大多为囊性占位,该患者行肝穿抽出实质性组织,可能与早期使用抗生素、致病菌毒力较低、肝脓肿尚未完全液化有关。随着医疗条件的提高、抗生素的早期广泛应用及疾病自身演变阶段的不同,肝脓肿影像学征象可呈现不典型、多样性改变。
IPL影像学特征为病灶周围环行强化环与不典型肝脓肿鉴别极为困难。本例影像学提示肝内多发性病变,多发病例少见且多被误诊为恶性肿瘤行手术切除后经病理检查证实。
因此,与各种肿瘤、囊肿,脓肿、包虫病、血管瘤等鉴别主要靠病理检查,其特征为纤维结缔组织增生伴以浆细胞为主的慢性炎性细胞浸润。肝脏良性占位性病变极易被误诊,对于影像学鉴别困难的患者在排除肝包虫病后应及早行肝穿病检明确诊断治疗上多主张手术切除,Sari等【Turk J Gastroenterol 2010 Sep;21(3):308-12】认为可行保守治疗并随访。
病例来源:中华医学杂志,2012,92(16)
病例来源:中华医学杂志,2012,92(16)










