中文English
ISSN 1001-5256 (Print)
ISSN 2097-3497 (Online)
CN 22-1108/R

留言板

尊敬的读者、作者、审稿人, 关于本刊的投稿、审稿、编辑和出版的任何问题, 您可以本页添加留言。我们将尽快给您答复。谢谢您的支持!

姓名
邮箱
手机号码
标题
留言内容
验证码

第40卷 第6期(总284期) 2024年6月
“肝胆胰疾病病理学诊断” 重点号
执行主编:滕晓东
浙江大学医学院附属第一医院

显示方式:
述评
重视病理活检,关注自身免疫性肝炎/胰腺炎病理学进展
滕晓东
2024, 40(6): 1073-1075. DOI: 10.12449/JCH240601
摘要(857) HTML (610) PDF (492KB)(119)
摘要:
肝活检可以直接观察病变的形态学改变,有助于对相关病变进行准确评估,对慢性肝病诊断具有重要价值。自身免疫性肝炎形态复杂,掌握分级分期标准以及重叠综合征判断的同时应关注免疫介导性肝炎和接种新冠疫苗后自身免疫性肝炎形态特征。自身免疫性胰腺炎1型和2型形态明显不同,同时3型自身免疫性胰腺炎需要更多研究。
专家论坛
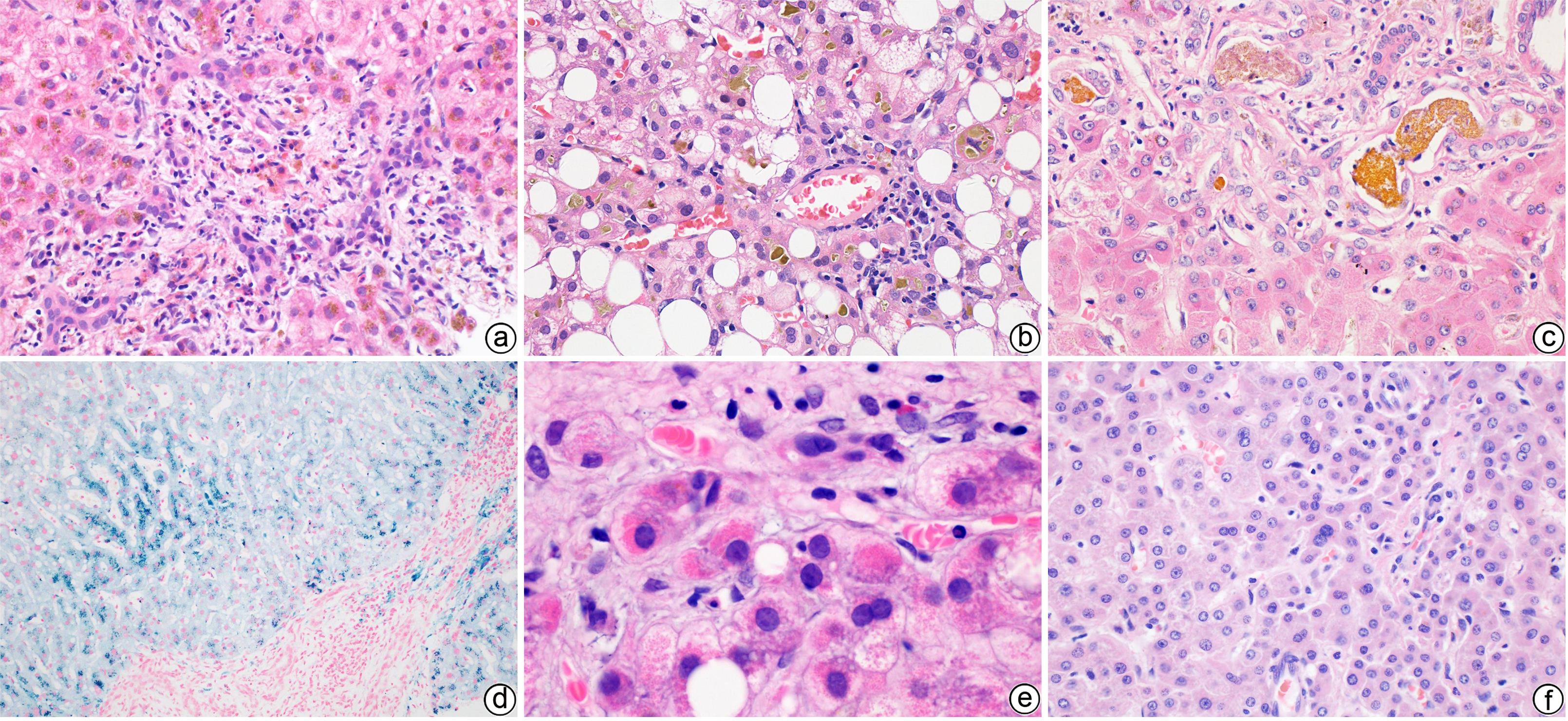
酒精性肝病的病理学诊断
王斌
2024, 40(6): 1076-1081. DOI: 10.12449/JCH240602
摘要(2327) HTML (642) PDF (1853KB)(317)
摘要:
酒精性肝病(ALD)是由于长期大量饮酒导致的肝脏疾病。随着我国人民物质生活水平的提高,ALD的发病率也呈明显上升趋势。典型的ALD病变模式包括酒精性脂肪肝、酒精性脂肪性肝炎、肝纤维化以及酒精性肝硬化。然而,ALD组织病理形态的多样性、复杂性以及与其他肝病组织形态的相似性对于临床病理学诊断而言是一个巨大的挑战。本文就ALD的组织病理学形态、分级和分期系统以及鉴别诊断等作一综述。
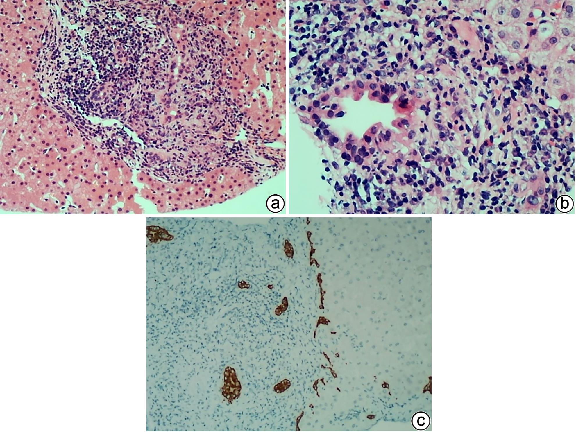
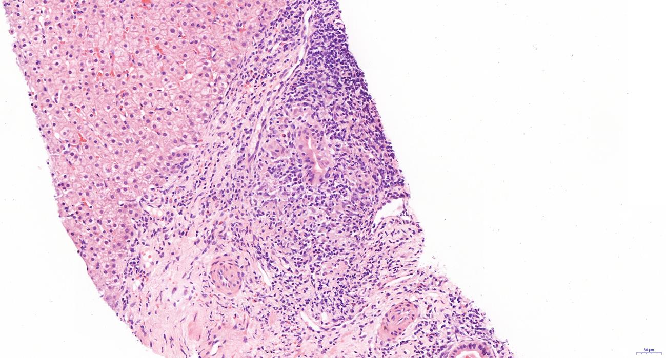
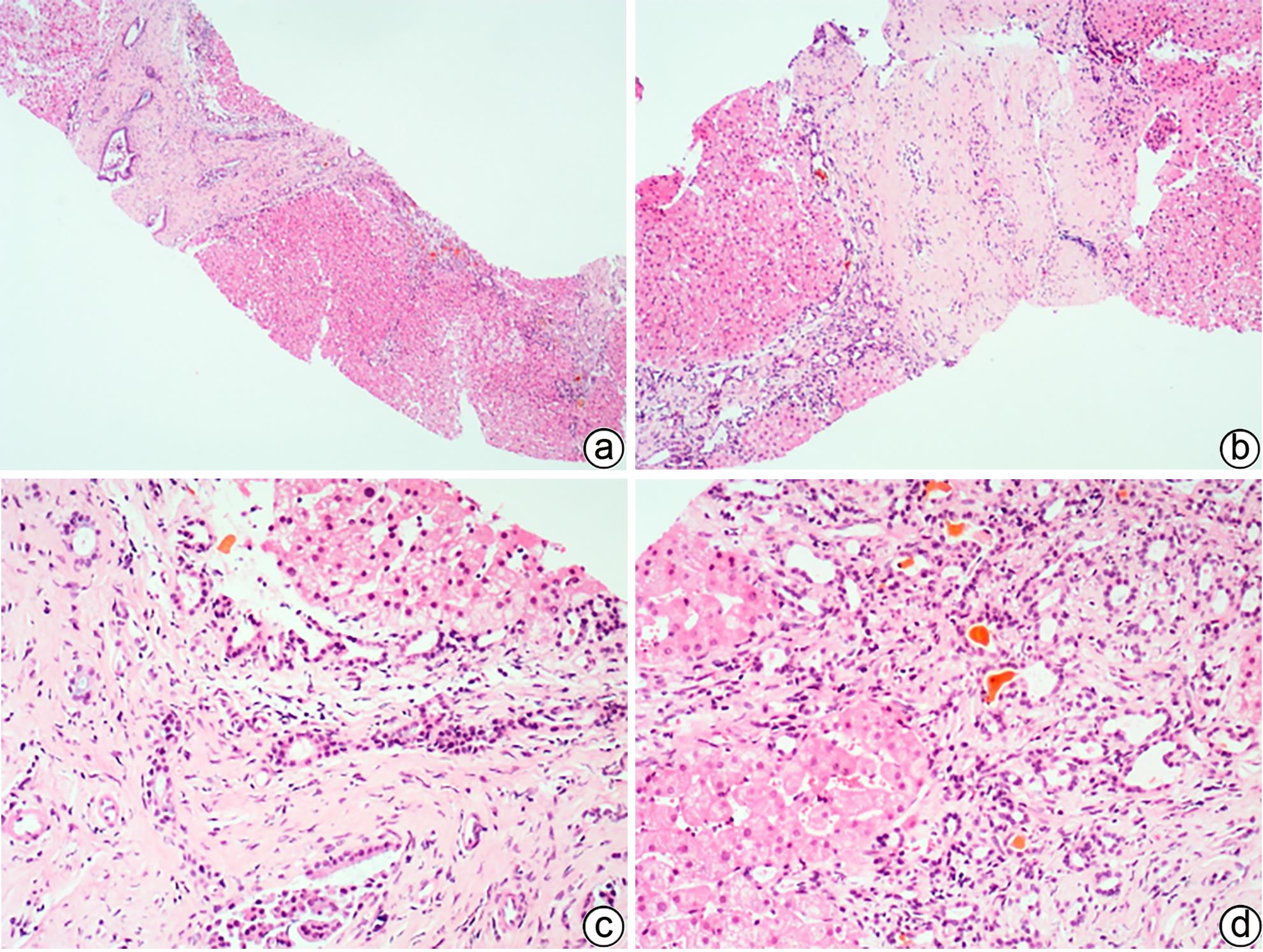
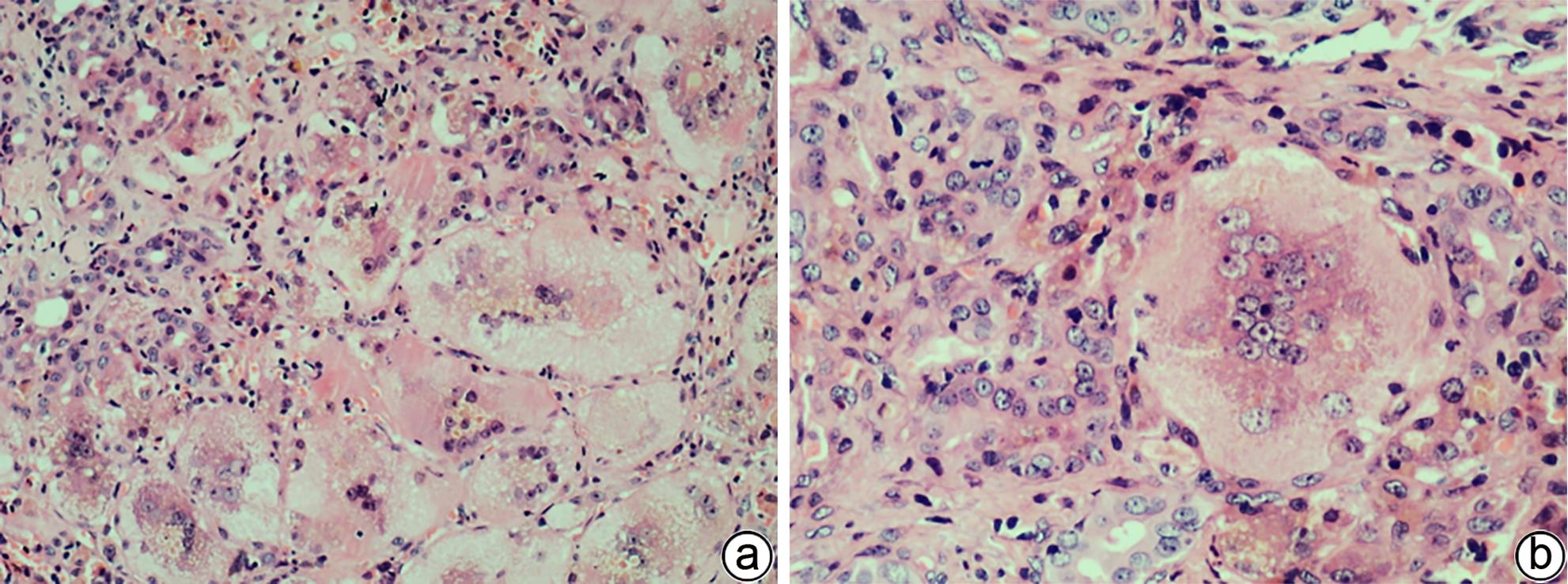
自身免疫性肝炎的病理学诊断
杨文君
2024, 40(6): 1082-1087. DOI: 10.12449/JCH240603
摘要(1923) HTML (831) PDF (1291KB)(321)
摘要:

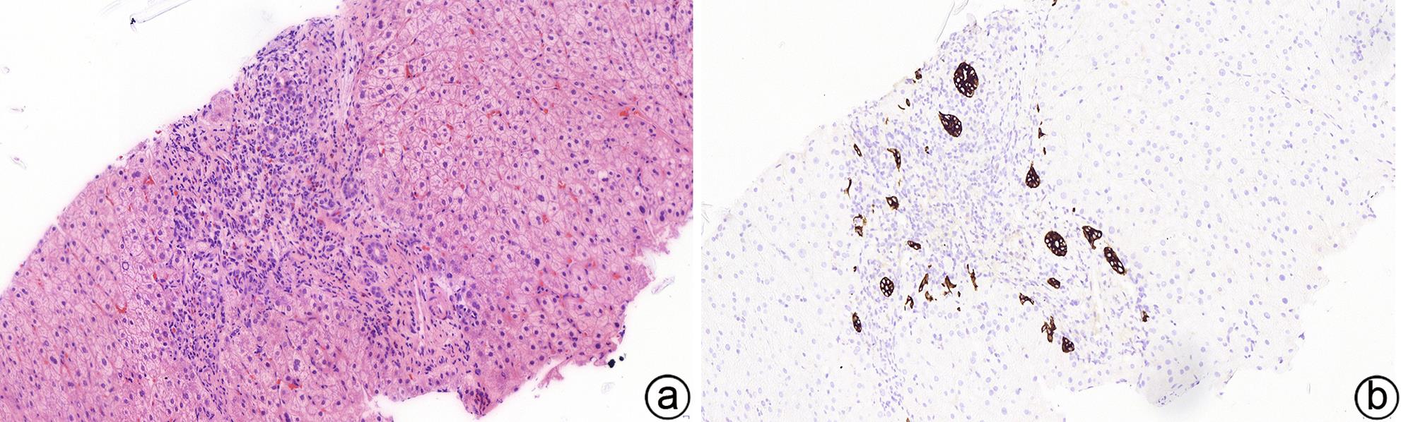
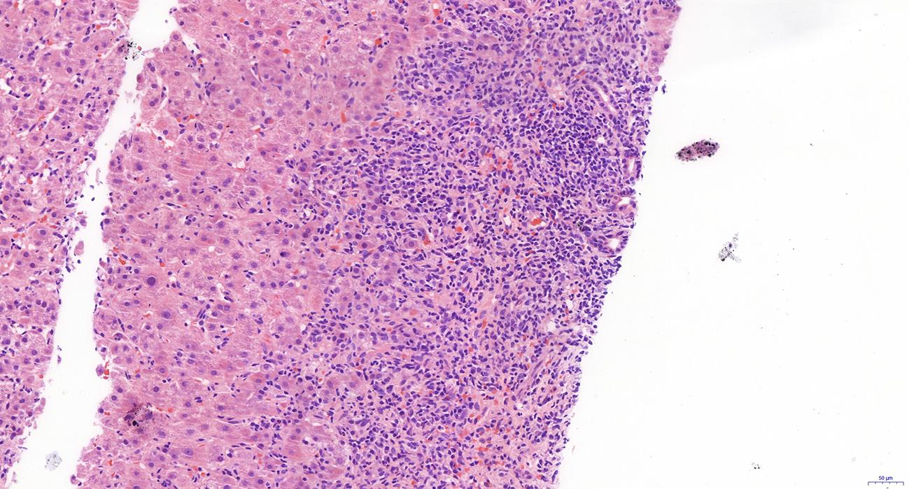
自身免疫性肝炎(AIH)是免疫介导的肝实质炎症性疾病,以高丙种球蛋白血症、自身抗体阳性和典型的肝组织学异常为特征。然而,AIH临床表现多样,缺乏特异性的血清学标志物,因此AIH的诊断困难,具有挑战性。虽然汇管区淋巴浆细胞浸润、界面性肝炎、淋巴细胞穿入现象和肝细胞玫瑰花结为AIH典型的组织学特征,但在AIH中尚可观察到其他的一些形态学改变,包括小叶中心性坏死、Kupffer细胞内透明小球等。所以没有一个单一的组织学特征可直接诊断AIH,需结合临床和实验室检查,并排除其他原因引起的肝脏疾病,方可做出正确的诊断。本文总结了AIH的组织学特征、不同的病理组织学谱、常见的临床问题、主要的鉴别诊断和最新进展。

原发性胆汁性胆管炎的病理学诊断
王秋鹏, 甘梅富
2024, 40(6): 1088-1092. DOI: 10.12449/JCH240604
摘要(1324) HTML (884) PDF (1016KB)(172)
摘要:
近年来原发性胆汁性胆管炎发病机制、诊断及治疗等方面的研究均取得新的进展。根据患者临床特征及病理学特点准确诊断、评估预后及风险分层对原发性胆汁性胆管炎的治疗具有十分重要的意义。本文就原发性胆汁性胆管炎的临床病理特征及治疗进展做一概述。
胆汁淤积性肝病的病理学诊断
张继平
2024, 40(6): 1093-1099. DOI: 10.12449/JCH240605
摘要(2308) HTML (972) PDF (1969KB)(326)
摘要:
胆汁淤积性肝病(CLD)是指各种病因引起的胆汁代谢异常、流出受阻、胆管损伤等肝脏疾病,主要病因包括:药物、毒物、免疫、遗传、梗阻、感染、肿瘤等。胆汁淤积是CLD共有的病理改变,而不同病因淤胆的部位、组织病理及超微结构等改变,具有相对特异性。依据病因,重点阐述自身免疫性胆管炎、遗传代谢性肝病、大胆管病变的病理学特征,引申鉴别其他CLD,以期提高对CLD病理学的认识,助力精准诊疗。
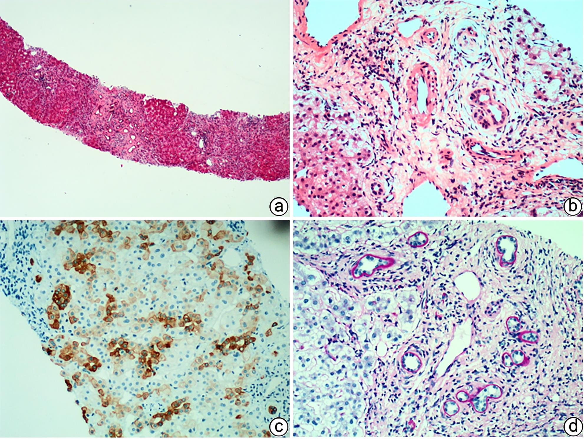
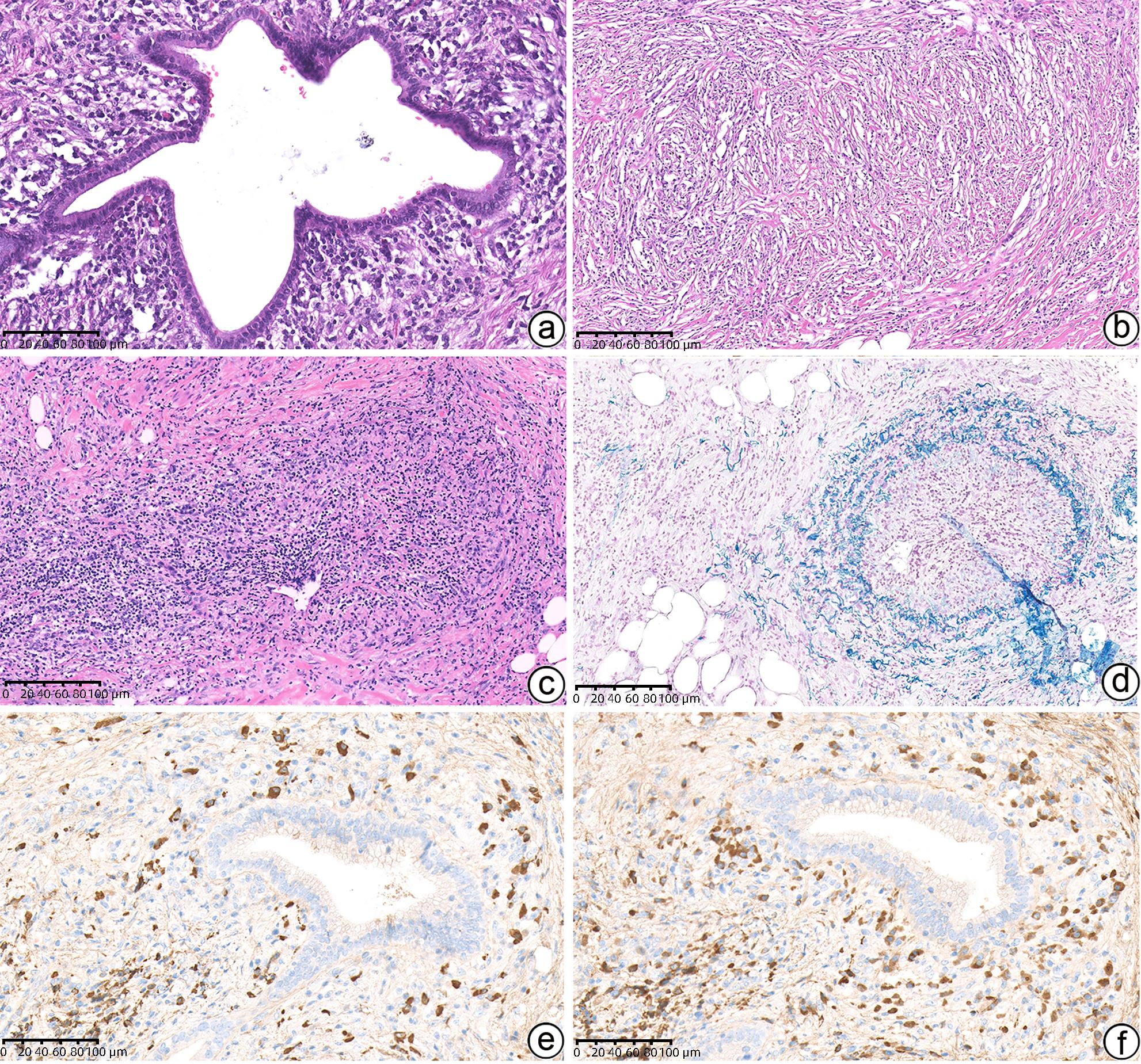
自身免疫性胰腺炎的病理学诊断
孙柯
2024, 40(6): 1100-1106. DOI: 10.12449/JCH240606
摘要(1478) HTML (331) PDF (1309KB)(135)
摘要:
自身免疫性胰腺炎(AIP)是一种少见疾病,其诊断应基于对临床、影像学、血清学和病理学结果全面评估。目前将AIP分为两型:1型AIP被认为是与IgG4相关疾病的胰腺表现;2型AIP被视为与IgG4无关的胰腺特异性疾病。尽管1型和2型AIP的发病机制似乎不同,但二者的影像学表现相似,且均对类固醇激素有良好反应。本综述主要关注于AIP 2个亚型的病理组织学特征,尤其是内镜超声引导的细针穿刺活检组织的病理诊断难点,以提高AIP临床诊断的准确性。
指南与规范
中国HIV合并HBV、HCV感染诊治专家共识
中国性病艾滋病防治协会HIV合并肝病专业委员会,广州医科大学附属市八医院
2024, 40(6): 1107-1113. DOI: 10.12449/JCH240607
摘要(1689) HTML (849) PDF (769KB)(248)
摘要:
重症急性胰腺炎中西医结合诊疗指南
中华中医药学会《重症急性胰腺炎中西医结合诊疗指南》起草组
2024, 40(6): 1114-1125. DOI: 10.12449/JCH240608
摘要(3071) HTML (794) PDF (949KB)(496)
摘要:
重症急性胰腺炎起病急、进展快,临床病理变化复杂,病死率高达20%~30%。长期的临床实践与基础研究发现,单纯依赖西医治疗重症急性胰腺炎并不尽如人意,中西医结合治疗能够展现出更为确切的疗效,具有显著的优势。本指南以循证医学证据为基础,结合国内外指南及临床实践,广泛征求专家建议与意见,最终凝练了28个临床问题。具体阐释了重症急性胰腺炎的病因病机与诊断标准,以及中西医结合分型、病程分期、治疗与治疗的关键点,以期对重症急性胰腺炎的中西医结合诊断标准和治疗原则进行规范。该指南经中华中医药学会发布,标准编号:T/CACM 1518—2023。
病毒性肝炎
慢性乙型肝炎及肝硬化患者血清血管生成素1、2及其比值变化与HBV DNA和ALT的相关性分析
林明华, 常远, 刘芳, 黄雁翔, 徐航飞
2024, 40(6): 1126-1129. DOI: 10.12449/JCH240609
摘要(902) HTML (296) PDF (661KB)(83)
摘要:
  目的  分析血清血管生成素(Ang)1、2及其比值变化与慢性乙型肝炎(CHB)、肝硬化患者HBV DNA和ALT的相关性。  方法  选取2018年3月—2019年10月首都医科大学附属北京佑安医院收治的CHB患者99例,肝硬化患者59例,收集临床资料和血清标本;另选同期46例健康体检者作为对照组。所有患者均采用PCR法检测血清HBV DNA;采用酶联免疫吸附法检测血清Ang-1和Ang-2水平,比较各组血清Ang-1和Ang-2及Ang-1/Ang-2的差异。非正态分布的计量资料多组间比较采用Kruskal-Wallis H检验,进一步两两比较采用Bonferroni法;采用Spearman方法分析Ang-1、Ang-2、Ang-1/Ang-2与HBV DNA、ALT的相关性。  结果  与对照组(671.0 pg/mL)相比,CHB组(479.0 pg/mL)和肝硬化组(208.4 pg/mL)Ang-1水平显著降低(P值均<0.05);与CHB组相比,肝硬化组Ang-1水平显著降低(P<0.001)。与对照组(198.0 pg/mL)相比,CHB组(286.1 pg/mL)和肝硬化组(438.4 pg/mL)Ang-2水平显著升高(P值均<0.001);与CHB组相比,肝硬化组Ang-2水平显著升高(P<0.001)。与对照组(3.4)相比,CHB组(1.6)和肝硬化组(0.5)Ang-1/Ang-2比值显著降低(P值均<0.001);与CHB组相比,肝硬化组Ang-1/Ang-2比值显著降低(P<0.001)。Spearman分析显示,CHB组Ang-1与HBV DNA及ALT均呈负相关(r值分别为-0.400、-0.394,P值均˂0.001);Ang-2与HBV DNA及ALT均呈正相关(r值分别为0.365、0.351,P值均˂0.001);Ang-1/Ang-2与HBV DNA及ALT均呈负相关(r值分别为-0.463、-0.473,P值均˂0.001);而肝硬化组Ang-1、Ang-2及Ang-1/Ang-2均与HBV DNA和ALT无相关性(P值均˃0.05)。  结论  CHB、肝硬化患者血清Ang-1、Ang-2及Ang-1/Ang-2有显著改变,其中肝炎组Ang-1、Ang-2及Ang-1/Ang-2在一定程度上反映CHB患者肝损伤的程度。
HBV相关慢加急性肝衰竭患者血清HMGB1、sCD163、PGE2的表达水平及其对预后的预测价值
韩晨璐, 梁海军, 杨道坤, 常海燕, 魏帅, 王新伟, 高海丽
2024, 40(6): 1130-1135. DOI: 10.12449/JCH240610
摘要(993) HTML (320) PDF (826KB)(73)
摘要:
  目的  观察HBV相关慢加急性肝衰竭(HBV-ACLF)患者血清高迁移率族蛋白B1(HMGB1)、可溶性CD163(sCD163)、前列腺素E2(PGE2)的表达水平,并评估三者单独及联合检测对预后的预测价值。  方法  收集2022年7月1日—2023年9月30日在新乡医学院第一附属医院感染内科住院的HBV-ACLF患者76例,根据28天预后情况,将其分为生存组(n=48)和死亡组(n=28)。收集患者一般资料,计算MELD评分,并采用ELISA法检测血清HMGB1、sCD163和PGE2水平。正态分布的计量资料两组间比较采用成组t检验,非正态分布的计量资料两组间比较采用Mann-Whitney U检验;计数资料两组间比较采用χ2检验。采用Spearman秩相关性分析HMGB1、sCD163和PGE2与MELD评分的相关性;采用受试者工作特征曲线(ROC曲线)分析HMGB1、sCD163和PGE2单独及联合检测对HBV-ACLF患者预后的预测价值。  结果  生存组和死亡组间TBil、WBC、中性粒细胞百分数、降钙素原、血清淀粉样蛋白A、IL-6、血清钠(Na+)、血清肌酐(SCr)差异均有统计学意义(P值均<0.05)。死亡组血清HMGB1(Z=-2.997,P=0.003)、sCD163(Z=-2.972,P=0.003)和MELD评分(t=-6.997,P<0.001)显著高于生存组,差异均有统计学意义;死亡组血清PGE2水平显著低于生存组,差异有统计学意义(Z=-4.909,P<0.001)。Spearman秩相关性分析发现,HMGB1、sCD163与MELD评分呈正相关(r值分别为0.431、0.319,P值均<0.05),PGE2与MELD评分呈负相关(r=-0.412,P<0.001)。ROC曲线分析发现,HMGB1、sCD163和PGE2单独预测的曲线下面积(AUC)分别为0.717、0.716、0.856,三者联合预测价值最高,AUC为0.930,敏感度为0.778,特异度为0.920。  结论  血清HMGB1、sCD163、PGE2单独及联合检测在预测HBV-ACLF患者预后方面均具有良好参考价值,三者联合预测价值最高,值得进一步观察和研究。
脂肪性肝病
非酒精性脂肪性肝病更名前后的人群分布变化及代谢功能障碍相关脂肪性肝病肝纤维化的危险因素分析
李岩, 颜学兵, 陆忠华, 季芳
2024, 40(6): 1136-1141. DOI: 10.12449/JCH240611
摘要(1215) HTML (393) PDF (657KB)(131)
摘要:
  目的  探讨非酒精性脂肪性肝病(NAFLD)更名前后的人群分布以及代谢功能障碍相关脂肪性肝病(MASLD)代谢危险因素(MRF)种类与晚期肝纤维化的相关性。  方法  选取2019年1月—2022年1月徐州医科大学附属医院和无锡市第五人民医院收治的经肝穿刺活检肝细胞发生脂肪变性≥5%的515例脂肪变性肝病(SLD)患者。513例(有2例分别不符合NAFLD和MAFLD诊断,被归为其他特定原因的SLD,不参与分组)SLD患者分为3组:MASLD组(n=275)、合并组(MASLD合并其他肝病,n=216)和隐源性SLD组(n=22)。比较不同组SLD患者临床特征、实验室指标、晚期肝纤维化的差异。其次比较合并不同种类MRF的MASLD的临床特征、实验室指标、晚期肝纤维化的差异,分析MASLD患者合并晚期肝纤维化的危险因素。偏态分布的计量资料多组间比较及进一步两两比较均采用Kruskal-Wallis H检验。计数资料多组间比较采用χ2检验,进一步两两比较采用Bonferroni校正。影响肝纤维化发生的危险因素采用Logistic回归分析。  结果  在515例SLD患者中,NAFLD 297例(57.7%)(22例隐源性SLD,275例MASLD),MAFLD 467例(90.7%)(216例被诊断为和其他病因共存的MASLD)。3组间性别、BMI、GGT、TG、CHOL、LDL-C、HDL-C、FPG、NFS、FIB-4比较差异均有统计学意义(P值均<0.05)。与MASLD组、隐源性SLD组相比,合并组患者晚期肝纤维化(F3~4)占比最高(P<0.001)。随着MRF种类的增加,患者年龄更大,更有可能是女性,更可能合并高血压、糖尿病,并具有更高的代谢相关参数水平,包括BMI、血脂和血糖水平(P值均<0.05)。MASLD患者随MRF种类的增加,无创纤维化评分(NFS、FIB-4)更高,合并晚期纤维化(F3~4)比例更高(P<0.05)。多因素Logistic回归分析结果显示,年龄≥50岁(OR=2.622,95%CI:1.091~6.300,P=0.031)和MRF种类增加(OR=1.876,95%CI:1.194~2.947,P=0.006)均为MASLD伴严重肝纤维化的独立危险因素。  结论  新的MASLD定义基于MRF的阳性识别,重新分类的人群少于MAFLD定义的人群,与NAFLD定义的人群差异较小。此外,年龄≥50岁以及MRF种类的增加均为MASLD合并晚期肝纤维化的独立危险因素。
肝纤维化及肝硬化
奥沙利铂对肝星状细胞活化的影响及机制探讨
王存凯, 王一军, 王丹丹, 谢肖立, 刘红玉, 白云, 姜慧卿, 王玉珍
2024, 40(6): 1142-1148. DOI: 10.12449/JCH240612
摘要(761) HTML (376) PDF (1223KB)(60)
摘要:
  目的  观察奥沙利铂对肝星状细胞(HSC)活化的影响,进一步探讨奥沙利铂与microRNA-30a-5p及自噬的关系。  方法  培养HSC-LX2并做如下分组:(1)对照组、PDGF处理组、奥沙利铂处理组、奥沙利铂+PDGF处理组;(2)对照组、microRNA-30a-5p转染组,PDGF处理组、microRNA-30a-5p转染+PDGF处理组;(3)对照组、3-MA组、microRNA-30a-5p抑制剂组、microRNA-30a-5p抑制剂+3-MA组。应用免疫蛋白印迹技术(Western Blot)分析HSC活化相关蛋白Ⅰ型胶原(Collagen-‍Ⅰ)、抗α-平滑肌肌动蛋白(α-SMA)及HSC自噬相关蛋白Beclin 1、p62、LC3B的表达;溶酶体示踪剂和免疫荧光检测LC3B自噬小体的表达。实时荧光定量PCR(RT-PCR)检测microRNA-30a-5p表达水平。应用生物信息学技术预测microRNA-30a-5p在HSC中的潜在靶点。正态分布的计量资料两组间比较采用成组t检验;多组间比较采用单因素方差分析,进一步两两比较采用LSD-t检验。  结果  应用奥沙利铂处理细胞时,RT-PCR结果显示奥沙利铂处理组microRNA-30a-5p的表达水平高于对照组(P<0.01);Western Blot结果显示奥沙利铂处理组的HSC活化相关蛋白α-SMA、Collagen-Ⅰ及自噬相关蛋白Beclin 1、LC3BⅡ/Ⅰ水平均降低(P值均<0.001);免疫荧光结果显示奥沙利铂处理组自噬小体低于对照组(P<0.05)。进一步应用microRNA-30a-5p模拟类似物(mimic)转染HSC-LX2结果显示,与对照组相比,microRNA-30a-5p mimic组自噬相关蛋白Beclin 1和LC3BⅡ/Ⅰ的表达水平均降低(P值均<0.05);HSC活化相关蛋白Collagen-Ⅰ的表达水平亦降低(P<0.001);应用microRNA-30a-5p抑制剂转染HSC-LX2,Western Blot结果显示,与对照组比较,microRNA-30a-5p抑制剂组HSC活化相关蛋白Collagen-Ⅰ、α-SMA,自噬相关蛋白Beclin 1的表达水平均升高(t值分别为2.412.324.57,P值均<0.05)。Western Blot结果显示,与对照组相比,microRNA-30a-5p抑制剂组HSC自噬相关蛋白Beclin 1及活化相关蛋白α-SMA表达水平均升高(P值均<0.05),应用自噬抑制剂3-MA处理后,两组间上述蛋白表达无显著差异(P>0.05)。通过TargetScan、PicTar和miRanda生物信息软件分析表明,自噬相关蛋白Beclin 1是microRNA-30a-5p的潜在靶标。  结论  奥沙利铂可通过上调microRNA-30a-5p表达从而抑制HSC激活,为肝纤维化的治疗提供新的思路和作用靶点。
乙型肝炎肝硬化门静脉高压患者经颈静脉肝内门体分流术后显性肝性脑病风险预测模型的构建
王澜静, 秦建平, 姚欣, 其七, 刘林, 汤善宏
2024, 40(6): 1149-1155. DOI: 10.12449/JCH240613
摘要(1063) HTML (326) PDF (915KB)(86)
摘要:
  目的  探索乙型肝炎肝硬化患者经颈静脉肝内门体分流术(TIPS)术后显性肝性脑病(OHE)的影响因素,并构建个体化风险预测模型。  方法  选取2017年1月—2021年12月于西部战区总医院消化内科行TIPS治疗的乙型肝炎肝硬化患者302例,按术后是否发生OHE分为无OHE组(237例)和OHE组(65例)。比较两组患者术前的一般资料、实验室检查指标、CTP评分、MELD-Na评分及ALBI评分等。计量资料的两组间比较采用成组t检验或Mann-Whitney U检验,计数资料两组间比较采用χ2检验。采用单因素及多因素Logistic回归分析筛选乙型肝炎肝硬化患者TIPS术后OHE的影响因素,应用独立影响因素构建Nomogram模型,受试者工作特征曲线(ROC曲线)及校准曲线评价模型的区分度及校准度,决策曲线及临床影响曲线评估模型的临床有效性。  结果  年龄(OR=1.035,95%CI:1.004~1.066)、WBC/PLT(OR=33.725,95%CI:1.220~932.377)、INR(OR=5.149,95%CI:1.052~25.207)、前白蛋白(OR=0.992,95%CI:0.983~1.000)是乙型肝炎肝硬化患者TIPS术后OHE发生的独立预测因素(P值均<0.05)。基于年龄、WBC/PLT、INR、前白蛋白构建的Nomogram模型ROC曲线下面积为0.716(95%CI:0.649~0.781),敏感度为78.5%,特异度为56.1%。  结论  基于年龄、WBC/PLT、INR、PAB建立Nomogram模型,有助于临床预测乙型肝炎肝硬化患者TIPS术后OHE发生风险。
血清内皮细胞特异性分子1水平与肝硬化心肌病的相关性
马丽霞, 韦新焕, 曹振环, 张晶
2024, 40(6): 1156-1161. DOI: 10.12449/JCH240614
摘要(835) HTML (415) PDF (699KB)(49)
摘要:
  目的  肝硬化性心肌病(CCM)是肝硬化引起的心脏功能障碍和电生理紊乱,与肝硬化患者预后密切相关。血管内皮细胞特异性分子1(endocan)作为心血管疾病的诊断指标,是否参与CCM发病机制尚不明确。本研究拟检测CCM患者血清endocan的表达量及其与CCM的关系,推测在CCM发病中的可能作用。  方法  本研究为横断面研究,连续入组2019年1月—2021年1月首都医科大学附属北京佑安医院住院的肝硬化患者,根据有无CCM,分为CCM组(n=19)和无CCM组(n=106)。采用ELISA方法检测不同组血清endocan水平以及与肝功能、心脏功能的相关性。正态分布的计量资料两组间比较采用成组t检验,偏态分布的计量资料两组间比较采用Mann-Whitney U秩和检验。计数资料组间比较采用χ2检验。采用Pearson或Spearman相关分析进行相关性检验,应用受试者工作特征曲线(ROC曲线)评价CCM预测模型。  结果  CCM组患者血清endocan的表达量为[(2.69±0.43)ng/mL]明显高于无CCM组[(2.23±0.52)ng/mL](t=2.247,P=0.034)。在代偿期肝硬化患者血清endocan表达量[(2.41±0.37)ng/mL]显著低于失代偿期肝硬化组[(2.72±0.49)ng/mL](t=3.214,P=0.02)。CCM组患者血清endocan水平与肝功能Child-Pugh评分(r=0.509,P=0.026)、MELD-Na评分(r=0.484,P=0.036)呈正相关,与平均动脉压(r=-0.591,P=0.013)、二尖瓣舒张早期血流早峰值E波和舒张晚期血流峰值A波(E/A)比值(r=-0.515,P=0.042)呈负相关。血清endocan预测CCM的ROC曲线下面积为0.658(95%CI:0.522~0.781),当截断值为2.61 ng/mL时,敏感度为67.1%,特异度为73.7%。  结论  血清endocan与CCM的发生具有一定相关性,可能参与了CCM的发病机制。
肝脏肿瘤
肝部分切除术后连续监测吲哚菁绿15分钟滞留率联合标准残肝体积对肝细胞癌患者肝功能不全的预测价值
罗宇君, 张雅敏
2024, 40(6): 1162-1168. DOI: 10.12449/JCH240615
摘要(1250) HTML (423) PDF (797KB)(63)
摘要:
  目的  探讨肝部分切除术后连续性监测吲哚菁绿15分钟滞留率(ICG-R15)联合标准残肝体积(SRLV)对术后肝功能不全发生率的预测价值。  方法  收集天津市第一中心医院肝胆外科2016年11月—2017年5月收治的70例肝细胞癌患者的临床资料。根据患者术后是否发生肝功能不全的情况,分为肝功能良好组(n=56)与肝功能不全组(n=14)。根据术前肝功能评估及强化CT计算切除肝体积和剩余肝体积以及肝脏三维重建,术中B超定位决定手术方案,根据术中情况决定采用选择性肝门入肝血流阻断或间断全肝门阻断,CUSA联合双极滴水电凝镊离断肝实质。计算SRLV并连续监测患者ICG-R15。计量资料两组间比较采用成组t检验;计数资料组间比较采用χ2检验;采用受试者工作特征曲线(ROC曲线)下面积(AUC)评估预测术后肝功能不全的准确性。多因素Logistic回归分析建立术后肝功能不全的预测模型,制订SLRV联合术后ICG-R15动态监测对术后肝功能不全的诊断标准。  结果  两组术前以及术后即时、3 d、5 d的ICG-R15,以及SRLV、Child分级比较,差异均有统计学意义(P值均<0.05)。术前、术后即时、术后3 d、术后5 d 患者术后肝功能不全发生率均随ICG-R15升高而升高(P值均<0.001)。进一步两两比较,术前、术后即时、术后3 d、术后5 d ICG-R15>20%组与其他两组患者肝功能不全发生率比较,差异均有统计学意义(P值均<0.001);术后即时,ICG-R15<10%组与10%≤ICG-R15≤20%组肝功能不全发生率比较,差异有统计学意义(P<0.001)。术前ICG-R15、术后即时ICG-R15、术后3 d ICG-R15、术后5 d ICG-R15预测术后肝功能不全的AUC分别为0.790、0.857、0.855、0.870,术后即时、3 d、5 d ICG-R15的AUC均大于术前,差异均有统计学意义(P值均<0.05)。多因素分析结果显示,SRLV以及ICG-R15术后动态监测(术后即时、术后3 d、术后5 d)水平升高均为术后肝功能不全的独立危险因素,术前BMI升高则为独立保护因素(P值均<0.05)。建立多因素Logistic回归预测模型,依据预测模型分别对术后(术后即时、术后3 d、术后5 d)肝功能不全进行预测,ROC曲线显示术后即时、术后3 d、术后5 d预测模型的AUC分别为0.963、0.967、0.967(P值均<0.01)。制订SLRV联合术后ICG-R15动态监测对于术后肝功能不全的诊断标准:SLRV>1 240 mL/m2、术后即时ICG-R15>20%、术后3 d或5 d ICG-R15>25%,符合其中任意一项即可诊断术后肝功能不全,灵敏度100%,特异度60.71%,符合度68.57%。  结论  连续性监测术前及术后ICG-R15水平对于术后肝功能不全的预估均具有指导意义,术后5 d ICG-R15的准确性相对最高;SRLV联合术后ICG-R15动态检测能有效预测肝切除术后肝功能不全的发生,可指导临床医生预估肝癌患者术后肝功能不全的发生,并尽早进行临床干预。
冷冻消融联合卡瑞利珠单抗治疗肝细胞癌的效果及安全性分析
张长旺, 武宁晗, 王聪, 郑峥, 高思铭, 邹长鹏, 张素静, 李娜
2024, 40(6): 1169-1174. DOI: 10.12449/JCH240616
摘要(1058) HTML (440) PDF (883KB)(64)
摘要:
  目的  探讨分析冷冻消融联合抑制剂卡瑞利珠单抗治疗肝细胞癌(HCC)的有效性和安全性。  方法  选取2020年6月—2023年6月河北医科大学第一医院收治的HCC患者103例为研究对象,将患者随机分为联合治疗组(53例)和对照组(50例)。对照组患者接受经皮氩氦刀冷冻消融术治疗,联合治疗组患者接受经皮氩氦刀冷冻消融术联合卡瑞利珠单抗治疗。比较两组患者近期疗效、治疗前后T淋巴细胞亚群变化、肝功能及AFP变化、随访无进展生存期及总体生存期。符合正态分布的计量资料两组间比较采用成组t检验;计数资料两组间比较采用χ2检验。Kaplan-Meier法绘制生存曲线,Log-rank检验比较两组生存时间差异。  结果  联合治疗组患者总缓解率、疾病控制率均明显高于对照组(χ2值分别为4.156、4.348,P值分别为0.042、0.037)。联合治疗组患者治疗后CD3+、CD4+T淋巴细胞百分比及CD4+/CD8+值较治疗前均明显升高(P<0.05),CD8+T淋巴细胞百分比较治疗前明显降低(P<0.05),而对照组患者治疗前、后T淋巴细胞亚群均无明显变化(P值均>0.05),且治疗后联合治疗组CD3+、CD4+T淋巴细胞百分比及CD4+/CD8+值均明显高于对照组(P值均<0.05),CD8+细胞百分比明显低于对照组(P<0.05)。两组患者治疗后ALT、AST、AFP水平较治疗前均明显降低(P值均<0.05),Alb水平较治疗前明显升高(P<0.05),且联合治疗组患者治疗后ALT、AST、AFP水平明显低于对照组(P值均<0.05),Alb水平明显高于对照组(P<0.05)。两组患者Ⅲ~Ⅳ级(中重度)不良反应发生率比较差异无统计学意义(P>0.05)。联合治疗组患者无进展生存中位时间(21.32个月 vs 15.31个月)、总体生存中位时间(28.36个月 vs 20.75个月)均明显优于对照组(χ2值分别为4.689、5.030,P值分别为0.030、0.025)。  结论  氩氦刀冷冻消融联合卡瑞利珠单抗可有效提升近期疗效,改善机体免疫功能,延长生存时间,且治疗安全性良好。
草苁蓉环烯醚萜苷(IGBR)对TGF-β1诱导的HepG2细胞上皮间质转化模型的影响
金爱花, 朱洁波, 尹学哲, 全吉淑
2024, 40(6): 1175-1182. DOI: 10.12449/JCH240617
摘要(1004) HTML (316) PDF (1510KB)(52)
摘要:
  目的  研究草苁蓉环烯醚萜苷(IGBR)对TGF-β1诱导肝癌HepG2细胞上皮间质转化(EMT)的影响作用。  方法  用10 μg/L TGF-β1诱导HepG2肝癌细胞株构建肝癌细胞EMT模型。实验分为对照组、模型组与IGBR组3组,对照组用无血清DMEM处理,模型组用10 μg/L TGF-β1处理,IGBR组用10 μg/L TGF-β1和500 mg/L IGBR联合处理,培养48 h。利用细胞黏附实验、划痕愈合实验和Transwell小室实验观察细胞迁移和侵袭能力。RT-PCR法和Western Blot法检测细胞中E-钙黏蛋白、N-钙黏蛋白、波形蛋白的mRNA和蛋白表达,Western Blot法检测Slug、Twist1、ZEB1、p-STAT3、STAT3的蛋白表达。计量资料多组间比较采用单因素方差分析,进一步两两比较采用LSD-t检验;两组间比较采用成组t检验。  结果  TGF-β1诱导后,模型组HepG2细胞呈现长梭形改变;与模型组比较,IGBR组细胞黏附率降低,抑制细胞迁移、侵袭能力(P值均<0.05),E-钙黏蛋白的mRNA表达和蛋白表达均增高(P值均<0.05),N-钙黏蛋白和波形蛋白的mRNA表达和蛋白表达均降低(P值均<0.05),Slug、Twist1、ZEB1蛋白表达和p-STAT3蛋白表达均降低(P值均<0.05)。  结论  IGBR可抑制TGF-β1诱导的HepG2细胞EMT过程,从而减弱HepG2细胞黏附力和细胞迁移、侵袭能力,上调E-钙黏蛋白,下调N-钙黏蛋白和波形蛋白,上调Slug、Twist1、ZEB1、STAT3的蛋白表达,其作用可能通过抑制STAT3通路下调Slug、Twist1、ZEB1等EMT转录因子来实现。
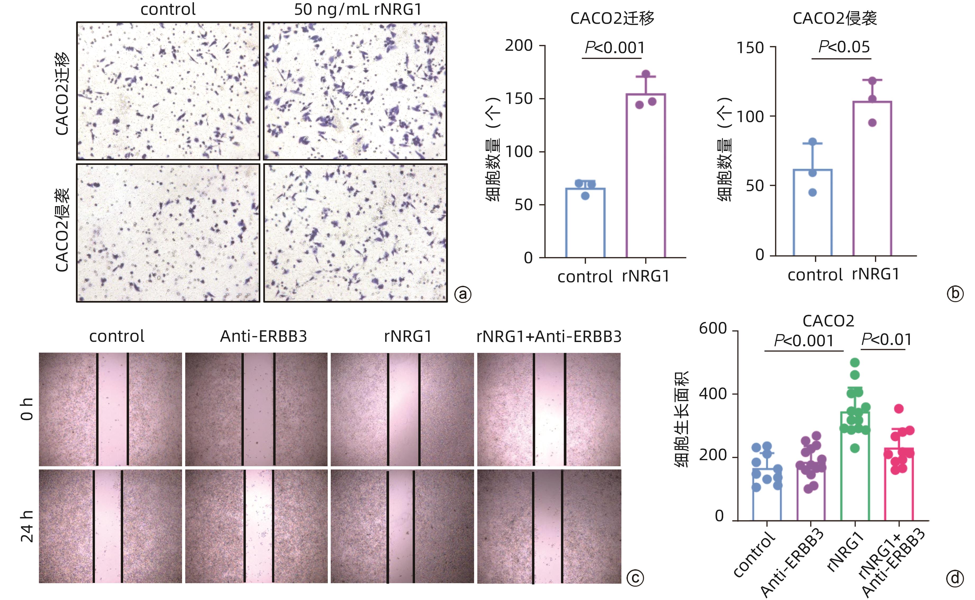
结直肠癌肿瘤相关成纤维细胞对免疫治疗和肝转移的影响
王晓庆, 龙杰, 王菲, 廉哲雄
2024, 40(6): 1183-1190. DOI: 10.12449/JCH240618
摘要(1788) HTML (682) PDF (4057KB)(89)
摘要:
  目的  探讨结直肠癌(CRC)中肿瘤相关成纤维细胞(CAF)对免疫治疗和肝转移的影响。  方法  从基因表达数据库(GEO)中下载错配修复缺陷(MMRd)的CRC患者相关的单细胞测序数据(GSE205506),利用R软件对原始测序数据进行预处理,建立CAF亚群降维图,并根据每个亚群的标志性基因对亚群进行命名,使用GraphPad对每种亚群的比例进行统计,分析CRC患者在程序性死亡受体1(PD-1)免疫治疗前后以及治疗后病理完全缓解(pCR)与病理未完全缓解(non-pCR)患者中具有明显差异的关键亚群,对关键亚群进行差异基因分析和基因通路富集分析,利用肿瘤基因组图谱(TCGA)数据库对关键CAF亚群的标志性基因进行预后生存分析,通过RNA测序数据对CRC肝转移患者原发灶中关键CAF亚群进行评分和比例计算。符合正态分布的计量资料两组间比较采用成组t检验,Kaplan-Meier法绘制生存曲线,Log-rank检验比较生存率。利用CellPhoneDB软件分析成纤维细胞亚群与肿瘤细胞间的受配体相互作用,并通过体外细胞实验验证关键配体分子NRG1对CRC细胞迁移侵袭能力的影响。  结果  CRC患者经过PD-1免疫治疗后,F6_MMP1+CAF比例减少(P<0.001),但这种减少只发生在免疫治疗后完全缓解的患者中,F6_MMP1+CAF与肿瘤迁移和侵袭相关的基因及信号通路表达上调,此外,F6_MMP1+CAF在CRC肝转移患者肿瘤组织中明显增多(P<0.000 1)。F6_MMP1+CAF表达的NRG1作为配体与肿瘤细胞表达的ERBB3受体相互作用,体外实验证明NRG1通过激活ERBB信号通路促进肿瘤细胞的迁移和侵袭(P<0.05)。  结论  F6_MMP1+CAF可能影响CRC患者PD-1免疫治疗的效果,并在促进CRC发生肝转移过程中发挥重要作用,F6_MMP1+CAF及产生的促肿瘤转移的NRG1或许可以作为潜在的CRC治疗靶点及预后标志物。
其他肝病
经选择性血浆分离器行人工肝治疗低血小板计数慢加急性肝衰竭患者的效果及安全性分析
李守娟, 王丽, 周明, 吴蓓, 王磊, 段萌, 廖洪帆, 胡瑞晴, 胡朝霞, 朱丽, 胡娟
2024, 40(6): 1191-1195. DOI: 10.12449/JCH240619
摘要(1125) HTML (407) PDF (697KB)(60)
摘要:
  目的  对不同分层血小板计数的慢加急性肝衰竭(ACLF)患者采用Evacure-4A膜型选择性血浆分离器行人工肝治疗,观察其疗效、安全性及对血小板的影响。  方法  选取2021年1月—2023年5月于成都市公共卫生临床医疗中心肝病科住院的302例低血小板计数ACLF患者,根据血小板计数将其分为3组:A组(血小板计数:25×109/L~50×109/L)101例;B组(血小板计数:51×109/L~80×109/L)98例;C组(血小板计数:81×109/L~100×109/L)103例。所有患者在内科治疗的基础上根据病情给予不同模式人工肝治疗:包括血浆灌流联合血浆置换、双重血浆分子吸附联合血浆置换、胆红素吸附联合血浆置换。计量资料各组治疗前后比较采用配对t检验,多组间比较采用方差分析,进一步两两比较采用SNK-q检验。计数资料多组间比较采用χ2检验。  结果  88.74%(268/302)患者人工肝治疗后临床症状呈不同程度改善。治疗后各组患者肝功能ALT(t值分别为14.755、21.614、15.965)、AST(t值分别为11.491、19.301、3.919)、TBil(t值分别为19.182、17.486、21.75)较治疗前均呈不同程度下降(P值均<0.001);INR呈不同程度缩短(t值分别为3.497、3.327、4.358,P值均<0.05)。使用Evacure-4A膜型选择性血浆分离器行人工肝治疗后,A、B、C组血小板计数分别由治疗前(37.73±6.27)×109/L、(66.97±7.64)×109/L、(93.82±5.38)×109/L降至治疗后(36.59±7.96)×109/L、(62.59±7.37)×109/L、(85.99±12.49)×109/L,其中B、C组治疗前后比较均有统计学差异(t值分别为12.993、8.240,P值均<0.001),A组治疗前后比较无统计学差异(P>0.05)。3组间人工肝治疗中不良反应的发生率差异无统计学意义(P>0.05)。  结论  人工肝治疗能改善ACLF患者的肝功能及INR,使用Evacure-4A膜型选择性血浆分离器在人工肝治疗过程中对血小板的影响较小,治疗血小板明显低下ACLF患者是安全的。
慢加急性肝衰竭患者发生肺部感染的危险因素及预测模型的构建
王李晶子, 李沛, 张野, 连建奇, 张岚, 吴沙沙, 石聪敏, 党肖
2024, 40(6): 1196-1202. DOI: 10.12449/JCH240620
摘要(1042) HTML (372) PDF (827KB)(76)
摘要:
  目的  分析慢加急性肝衰竭(ACLF)患者发生肺部感染的危险因素,并构建预测模型。  方法  回顾性选取2009年1月—2022年9月空军军医大学第二附属医院传染科收治的585例ACLF患者为研究对象。根据患者入院后肺部感染情况,分为感染组(213例)和未感染组(372例),回顾性收集患者临床资料。计量资料两组间比较采用成组t检验或Mann-Whitney U检验。计数资料组间比较采用χ2检验。单因素及多因素Logistic回归分析筛选ACLF患者发生肺部感染危险因素并建立预测模型,绘制受试者工作特征曲线(ROC曲线)分析模型的预测价值。采用Hosmer-Lemeshow检验评估模型拟合度,采用ROC曲线及曲线下面积(AUC)评估模型的预测效能。  结果  585例ACLF患者发生肺部感染213例,感染率为36.41%;多因素Logistic回归分析结果显示,合并上消化道出血(OR=2.463,P=0.047)、合并其他部位感染(OR=2.218,P=0.004)、股静脉置管(OR=2.520,P<0.001)及联合使用≥2种抗生素(OR=2.969,P<0.001)为ACLF患者发生肺部感染的危险因素;将上述因素纳入建立危险因素预测模型:Logit(P)=-1.869+0.901×合并上消化道出血+0.755×合并其他部位感染+0.924×股静脉置管+1.088×联合使用≥2种抗生素,ROC曲线提示预测较好,AUC为0.753,95%CI为0.700~0.772。Hosmer-Lemeshow检验结果为χ2=3.839,P=0.698。  结论  ACLF患者肺部感染发生率较高,合并上消化道出血、合并其他部位感染、股静脉置管及联合使用≥2种抗生素是其危险因素,构建的危险因素模型可较好的预测ACLF患者肺部感染的发生。
不同评估量表在药物性肝损伤中的诊断价值分析
马嘉蹊, 姚甜甜, 程浩, 刘丹, 张宇涵, 杜思源, 董琳菲, 胡林慧, 王艳, 王贵强
2024, 40(6): 1203-1208. DOI: 10.12449/JCH240621
摘要(1458) HTML (374) PDF (601KB)(87)
摘要:
  目的  采用RUCAM评估量表、Maria & Victorino评估量表、RECAM评估量表3种因果关系评估量表分别对药物性肝损伤(DILI)确诊病例进行评分,比较3种量表之间的诊断准确性差异,探讨其对于DILI诊断的临床意义。  方法  纳入2011年1月—2022年12月于北京大学第一医院住院、肝组织学活检病理结果支持DILI及有明确用药史的98例DILI确诊患者。采集研究对象的临床资料,并用上述因果关系评估量表评分,应用χ2检验分析因果关系评估量表的诊断准确性,应用加权kappa系数(κw系数)分析因果关系评估量表的一致性。  结果  在纳入的所有DILI患者中,RECAM评估量表的准确性最高,与RUCAM评估量表比较差异有统计学意义(χ2=5.667,P=0.017)。RUCAM评估量表和RECAM评估量表的诊断一致性中等(κw=0.469),而RECAM评估量表和Maria & Victorino评估量表的诊断一致性较差(κw=0.156)。在急性DILI患者中,RECAM量表、RUCAM量表、Maria & Victorino量表的不符合诊断率分别为3.7%、11.1%、42.6%;在肝细胞型DILI患者中,RECAM量表、RUCAM量表、Maria & Victorino量表的不符合诊断率分别为8.9%、21.4%、62.5%;在胆汁淤积型和混合型DILI患者中,RECAM量表、RUCAM量表、Maria & Victorino量表的不符合诊断率分别为10.0%、22.5%、47.5%。  结论  在急性DILI中使用RECAM评估量表和RUCAM评估量表能提高诊断率;在肝细胞型DILI和临床表现包含胆汁淤积的DILI(胆汁淤积型DILI和混合型DILI)中使用RECAM评估量表和RUCAM评估量表能提高诊断率;根据不同的病程及临床分型选择诊断准确性较高的因果关系评估量表有助于进一步提高临床诊断率。
间充质干细胞联合免疫抑制剂对肝移植大鼠模型免疫排斥的影响
李海涛, 俞赛花, 陈丽红, 赖子森, 刘海岩, 刘红枝, 沈聪龙
2024, 40(6): 1209-1214. DOI: 10.12449/JCH240622
摘要(941) HTML (317) PDF (7108KB)(61)
摘要:
  目的  探讨间充质干细胞(MSC)联合免疫抑制剂(IS)对肝移植大鼠模型免疫排斥反应的影响。  方法  将F344大鼠分成5组:Normal组(不进行任何干预)、PS组(注射等量生理盐水)、MSC组(注射MSC)、IS组(注射IS)、MSC+IS组(注射MSC和IS),每组8只。除Normal组以外,各组均采用Kamada双袖套法不重建肝动脉建立原位肝移植模型。大鼠肝组织进行HE染色、Masson染色并进行纤维化程度统计,免疫组化实验检测T淋巴细胞和NK细胞浸润情况,免疫荧光实验分析巨噬细胞M2极化情况。计量资料多组间比较采用单因素方差分析,进一步两两比较采用LSD-t检验。Kaplan-Meier法绘制生存曲线,生存分析采用Log-rank检验。  结果  与PS组相比,MSC+IS组生存期显著延长(P<0.01),MSC组、IS组和MSC+IS组的肝组织结构明显改善,纤维化程度显著降低(P值均<0.000 1),NK细胞和T淋巴细胞浸润数量显著减少(P值均<0.000 1),巨噬细胞M2极化程度显著增加(P值均<0.000 1),提示MSC+IS组的疗效显著优于MSC组和IS组。  结论  MSC联合IS可以改善大鼠肝移植术后肝组织病理,降低炎性细胞浸润,促进巨噬细胞M2极化,起免疫抑制作用。
胆道疾病
高血压与胆石症风险的关联性研究
于文倩, 谢林君, 李诗懿, 娄彦梅, 江果恒, 李鸿钰, 颜子彤, 白轩, 罗菁, 张弛, 李光灿, 单雪峰, 王新
2024, 40(6): 1215-1225. DOI: 10.12449/JCH240623
摘要(1312) HTML (459) PDF (1424KB)(73)
摘要:
  目的  通过开展一项全国多中心研究及一项系统综述和Meta分析,全面研究高血压与胆石症(GSD)患病风险的关联性。  方法  研究分为3个阶段:第1阶段,于2015—2020年在成都、天津、北京和重庆地区共4个中心招募参与健康检查的研究对象。使用多因素Logistic回归分析研究不同中心高血压与GSD患病风险的相关性;第2阶段,系统检索Embase、PubMed、万方、维普和中国知网数据库中2021年5月之前发表的相关研究文献,并通过Meta分析以进一步验证这种关联性;第3阶段,采用随机效应模型对多中心横断面研究结果与既往文献结果进行合并分析。  结果  横断面研究共招募633 948例受试者,GSD的患病率为7.844%。多因素Logistic回归分析显示,高血压与GSD患病风险呈正相关(P<0.05)。亚组分析结果显示高血压与GSD的关联在性别、年龄和胆结石亚型中无明显差异。系统综述和Meta分析最终纳入了80篇文献,结果表明每升高10 mmHg的舒张压和收缩压,GSD风险分别增加1.022倍和1.014倍。  结论  高血压显著增加GSD的患病风险,本研究结果将为探讨GSD的病因学和识别高危人群提供基础。
胰腺疾病
第三腰椎骨骼肌指数联合白细胞介素6、激活素A对胰腺癌恶病质的早期预测价值
李新省, 张丽敏, 王顺祥, 冯宁宁
2024, 40(6): 1226-1230. DOI: 10.12449/JCH240624
摘要(866) HTML (302) PDF (670KB)(71)
摘要:
  目的  研究第三腰椎骨骼肌指数(L3-SMI)联合白细胞介素6(IL-6)、激活素A(Activin A)检测对胰腺癌恶病质的早期预测价值。  方法  将2020年7月—2023年7月经河北医科大学第四医院确诊的74例胰腺癌患者纳入研究。根据患者入院后是否发生恶病质,分为恶病质组(n=58)、非恶病质组(n=16)。观测患者入院后48 h内的L3-SMI、IL-6、Activin A水平。正态分布的计量资料两组间比较采用成组t检验;计数资料组间比较采用χ2检验。采用多因素Logistic回归分析筛选胰腺癌恶病质的影响因素,并通过受试者工作特征曲线(ROC曲线)分析L3-SMI以及血清IL-6、Activin A单独或联合检测对胰腺癌恶病质的预测价值。ROC曲线下面积(AUC)比较采用Z检验。  结果  恶病质组L3-SMI水平明显低于非恶病质组,血清IL-6、Activin A水平明显高于非恶病质组(t值分别为8.649、3.049、8.100,P值均<0.05)。多因素Logistic回归分析结果显示,L3-SMI(OR=0.266,95%CI:0.103~0.683)以及血清IL-6(OR=4.158,95%CI:1.368~12.333)、Activin A(OR=5.124,95%CI:1.550~16.939)是胰腺癌恶病质发生的影响因素(P值均<0.05)。L3-SMI、IL-6、Activin A预测胰腺癌恶病质的AUC分别为0.851、0.752、0.791,均明显低于三者联合检测的0.946(Z值分别为-2.841、-2.552、-2.647,P值均<0.001),其敏感度、特异度、约登指数最高,分别为90.9%、87.8%、0.788。  结论  L3-SMI联合血清IL-6、Activin A检测对胰腺癌恶病质具有较好的早期预测价值。
2型糖尿病胰腺癌裸鼠模型的建立及活体成像观察
许永宁, 黄雪桓, 唐芷盼, 李若涵, 秦雯
2024, 40(6): 1231-1239. DOI: 10.12449/JCH240625
摘要(1608) HTML (493) PDF (1970KB)(74)
摘要:
  目的  建立可动态观察成瘤过程并进行体内研究的2型糖尿病(T2DM)胰腺癌裸鼠模型。  方法  首先,通过慢病毒载体GV260转染人胰腺癌细胞(PANC-1细胞)构建能稳定表达萤火虫荧光素酶的胰腺癌细胞株(PANC-1-Luc细胞)。然后,将36只SPF级裸鼠随机分为对照组(n=12,血糖正常的胰腺癌裸鼠)和模型组(n=24,T2DM胰腺癌裸鼠)。对照组:先给予繁殖饲料喂养,之后将PANC-1-Luc细胞异位种植于裸鼠皮下;模型组:先给予高脂饲料喂养联合腹腔注射1% STZ,之后将PANC-1-Luc细胞异位种植于裸鼠皮下。用荧光活体成像系统和人工测量法同步动态监测2组裸鼠胰腺癌生长情况,绘制肿瘤生长曲线、分析荧光值与肿瘤体积的关系。显微镜下观察裸鼠皮下肿瘤及胰岛,验证造模是否成功;同时,通过免疫组化检测肿瘤组织Ki-67的表达来分析高血糖对裸鼠胰腺癌生长的影响。正态分布计量资料组间比较采用成组t检验,非正态分布计量资料组间比较采用Mann-Whitney U检验。  结果  确定PANC-1细胞慢病毒载体稳定转染的最佳病毒滴度为5×107 TU/mL,用嘌呤霉素筛选的最佳浓度为20 μg/mL、最佳筛选时间为9天;PANC-1-Luc细胞的荧光值与细胞数量呈线性正相关,线性方程为y=42.56x-42 504(r=0.977,P=0.004)。T2DM裸鼠模型血糖值为23.05(19.25~26.40)mmol/L,且每只裸鼠的血糖均高于11.1 mmol/L,与对照组裸鼠血糖值[6.15(5.20~7.30)mmol/L]相比,差异有统计学意义(Z=-8.45,P<0.001)。与对照组相比,模型组胰腺组织内胰岛数量减少、体积减小、形状不规则、边界模糊,同时移植瘤病理学检查确认镜下为胰腺癌组织,可判定T2DM裸鼠胰腺癌模型造模成功。模型组皮下肿瘤大小与荧光值呈线性正相关,线性方程为y=232 348 691x-8 258 608(r=0.911,P=0.031);模型组移植瘤Ki-67免疫组化阳性率显著高于对照组[(50.333±7.808)% vs (15.917±4.055)%,t=13.55,P<0.001],说明模型组肿瘤增殖较快。  结论  本研究所构建的T2DM裸鼠胰腺癌模型可模拟T2DM背景下胰腺癌发生、发展的病理过程,动态观察高血糖对体内胰腺癌细胞生长的影响,从而为T2DM背景下胰腺癌发生、发展的体内研究提供新的实验载体。
综述
非酒精性脂肪性肝病多组学研究现状
段明秀, 陈新利, 常伟宇, 杨媛, 杨仕琦, 吴晖
2024, 40(6): 1240-1247. DOI: 10.12449/JCH240626
摘要(2238) HTML (769) PDF (944KB)(202)
摘要:
非酒精性脂肪性肝病(NAFLD)在全球范围内患病率高达30%,严重影响人类健康并构成公共卫生负担。由于该病难以诊断和监控,因此,识别潜在的药物靶点和生物标志物具有重要价值,多组学技术在探索NAFLD早期诊断标志物、治疗靶点、疗效和预后评估方面具有广阔的前景。本文对近年来多组学技术在NAFLD中领域的研究进展进行综述,以期为NAFLD的防治提供更为丰富的理论依据和新的策略。
绝经后妇女非酒精性脂肪性肝病及其相关合并症的运动干预处方
鞠杰, 王兴, 张欣格, 杨昌瑜, 刘鹏
2024, 40(6): 1248-1254. DOI: 10.12449/JCH240627
摘要(1232) HTML (413) PDF (722KB)(57)
摘要:
绝经后妇女非酒精性脂肪性肝病(NAFLD)患病率显著高于绝经前妇女,甚至超过了同期男性患病率,运动干预仍是预防与治疗绝经后妇女NAFLD的有效方法。同时,该年龄段NAFLD患病妇女常合并肌少症、骨质疏松、心血管疾病以及糖尿病等慢性疾病,这要求相应运动处方应更具针对性,同时对可能的合并症进行前瞻性干预。本文在总结相关文献的基础上,对绝经后妇女NAFLD以及相关合并症的运动干预处方提出针对性建议。
药物诱导的自身免疫样肝炎的研究进展
李勤荣, 尧颖, 徐智媛
2024, 40(6): 1255-1258. DOI: 10.12449/JCH240628
摘要(1128) HTML (497) PDF (574KB)(126)
摘要:
药物诱导的自身免疫样肝炎(DI-ALH)是药物性肝损伤的一种特殊临床表型,与自身免疫性肝炎有相似的临床特征和实验室检查,多数时候通过肝组织活检也无法直接区分,因此正确鉴别DI-ALH与自身免疫性肝炎是临床实践中的重难点。本文总结了DI-ALH的发病机制、临床特点、诊治、预后的研究进展,为临床医生提供此类疾病的诊治思路。
丙型肝炎持续病毒学应答后肝癌发生的危险因素及预测模型
许姗姗, 仇丽霞, 柳雅立, 张晶
2024, 40(6): 1259-1263. DOI: 10.12449/JCH240629
摘要(905) HTML (287) PDF (627KB)(79)
摘要:
丙型肝炎是肝癌发生的主要病因之一。随着直接抗病毒药物的应用,95%以上的患者可根除HCV,获得持续病毒学应答(SVR)。有效的抗病毒治疗可以改变丙型肝炎的自然病程,降低肝癌发生风险,但仍有一部分患者会受到年龄、性别、肝纤维化、糖尿病、肝脂肪变、饮酒和遗传因素等影响,成为肝癌高危人群。因此,如何识别和预测丙型肝炎SVR后肝癌高危人群需进一步明确与完善。本文通过系统综述丙型肝炎患者SVR后肝癌发生的危险因素和肝癌预测模型,旨在为临床识别丙型肝炎SVR后肝癌高风险人群提供依据。
不同来源的细胞外囊泡在肝细胞癌发生进展中的作用
史婷婷, 张润兵, 伍杨, 张亚妮, 朱玲玲, 高春, 江晶晶, 郑晓凤, 张久聪
2024, 40(6): 1264-1268. DOI: 10.12449/JCH240630
摘要(857) HTML (320) PDF (878KB)(65)
摘要:
肝细胞癌(HCC)是最常见的原发性肝癌类型,也是癌症相关死亡的第三大原因,严重威胁人体健康,成为目前亟待解决的临床难题。细胞外囊泡(EV)是一种含有多种成分的膜囊泡,在HCC的发生和进展中发挥着重要作用,本文通过总结不同来源的EV对HCC的影响,分析EV对HCC的作用机制,以期为HCC的诊断及治疗提供新视角。
小窝蛋白1在肝脏疾病中的调控作用
朱骏毅, 李瑞蕊, 舒仪雪, 孙泉
2024, 40(6): 1269-1274. DOI: 10.12449/JCH240631
摘要(1299) HTML (432) PDF (979KB)(102)
摘要:
小窝蛋白(CAV)1是质膜上小窝的结构蛋白,是肝脏功能的重要调节因子。CAV1可通过多种分子通路调节肝脏脂质沉积、脂质和葡萄糖代谢、线粒体功能和肝细胞增殖等。因此,CAV1在肝脂肪变性和肝细胞增殖等代谢调节过程中维持肝脏生理方面起着至关重要的作用。此外,CAV1还参与调节不同类型肝损伤、肝炎、肝硬化等疾病的发生发展过程。本文就CAV1在肝脏及相关疾病中的作用及调控肝巨噬细胞的机制进行综述,为靶向CAV1治疗肝脏相关疾病提供理论依据。
T淋巴细胞免疫球蛋白黏蛋白分子3在肝脏疾病发生发展中的作用
袁诗雨, 杨焕焕, 唐映梅
2024, 40(6): 1275-1280. DOI: 10.12449/JCH240632
摘要(1093) HTML (456) PDF (668KB)(60)
摘要:
T淋巴细胞免疫球蛋白黏蛋白分子3(Tim-3)是Tim家族中的一员,为近年来研究热点。Tim-3作为负性调节因子通过与不同配体结合发挥不同效应。多种免疫细胞可表达Tim-3,如自然杀伤细胞、树突状细胞和单核细胞,Tim-3对这些免疫细胞功能具有调控作用。近年来大量研究显示Tim-3与肝脏疾病发生发展有着密切关系。本文回顾了近几年Tim-3在不同肝脏疾病及不同细胞中作用及机制的研究,旨在为肝脏疾病的临床诊疗提供更丰富的视角及思路。
IRE1α/TRAF2/JNK信号通路在急性肝衰竭发展中的作用机制及潜在价值
关海梅, 张衎, 陈玮钰, 李国宝, 曾阳玲, 张日云, 王恬雯, 谢宝华, 毛德文
2024, 40(6): 1281-1288. DOI: 10.12449/JCH240633
摘要(1332) HTML (712) PDF (835KB)(63)
摘要:
急性肝衰竭(ALF)是临床上最危重的一种肝脏疾病,严重影响我国人民生命健康。由于ALF的发病率和死亡率高、发病机制不明确、治疗手段有限,成为肝病领域亟待解决的重大难题。近年来,越来越多研究表明,内质网应激是ALF进展中一个关键的生物学过程,IRE1α/TRAF2/JNK通路作为内质网应激信号传导的一部分,在疾病的发展中发挥着放大炎症反应、促进肝细胞凋亡、抑制肝再生能力等作用。而中医药作为我国传统瑰宝,从中药单体中寻找有效防治ALF的药物成为研究热点。本文旨在通过阐述IRE1α/TRAF2/JNK通路在ALF发展中的作用机制,以及总结红景天苷、楮实子、补骨脂+五味子、黄芩素、京尼平、山柰酚、白藜芦醇、沙棘多糖提取物、木犀草素等中药单体调控该通路的潜在价值,以期为ALF的进一步研究和临床实践提供参考依据。
国外期刊精品文章简介
Hepatology International|急性肾损伤住院成人患者急性肝损伤的发生率、危险因素和预后:一项大型多中心研究
2024, 40(6): 1182-1182. DOI: 10.12449/JCH2406.gwqkjpwzjj1
摘要(481) HTML (187) PDF (845KB)(42)
摘要:
Journal of the American Heart Association|肝硬化退伍军人心肺血流动力学与病死率的关系:一项回顾性队列研究
2024, 40(6): 1254-1254. DOI: 10.12449/JCH2406.gwqkjpwzjj2
摘要(416) HTML (215) PDF (837KB)(73)
摘要:
读者·作者·编者
《临床肝胆病杂志》对形态学图片的质量和制作要求
2024, 40(6): 1087-1087.
摘要(281) HTML (270) PDF (807KB)(33)
摘要:
《临床肝胆病杂志》常见异形词
2024, 40(6): 1263-1263.
摘要(259) HTML (174) PDF (782KB)(72)
摘要:
消息
《临床肝胆病杂志》2024年1~12期重点号选题及执行主编
2024, 40(6): 1106-1106.
摘要(281) HTML (181) PDF (818KB)(34)
摘要:
《临床肝胆病杂志》获评“RCCSE中国权威学术期刊(A+)”
2024, 40(6): 1247-1247.
摘要(281) HTML (221) PDF (828KB)(25)
摘要:
致谢
本期审稿专家
2024, 40(6): 1202-1202. DOI: 10.12449/JCH2406.zhixie
摘要(305) HTML (176) PDF (812KB)(32)
摘要: