中文English
ISSN 1001-5256 (Print)
ISSN 2097-3497 (Online)
CN 22-1108/R

留言板

尊敬的读者、作者、审稿人, 关于本刊的投稿、审稿、编辑和出版的任何问题, 您可以本页添加留言。我们将尽快给您答复。谢谢您的支持!

姓名
邮箱
手机号码
标题
留言内容
验证码

第41卷 第8期(总298期) 2025年8月
“肝细胞癌治疗新进展” 重点号
执行主编:周俭
复旦大学附属中山医院

显示方式:
述评
肝细胞癌治疗新进展
周俭, 黄晓勇
2025, 41(8): 1481-1486. DOI: 10.12449/JCH250801
摘要(1437) HTML (554) PDF (630KB)(572)
摘要:
肝细胞癌(HCC)是一种危害严重的世界性重大公共健康问题,其发病率和死亡率长期居高不下。世界卫生组织数据显示,2022年全球新发HCC病例86.6万例,死亡75.9万例,预计到2040年,HCC的新发和死亡病例将大幅增加。面对这一严峻挑战,近年来HCC诊疗取得了显著进展,从传统手术和局部治疗的优化,到靶向治疗和免疫治疗的突破性变革,再到精准医学理念的深入应用,为不同分期患者提供了更多的治疗选择和生存机会。本文旨在系统梳理HCC治疗进展,分析当前的治疗困境并展望未来发展方向,以期为临床实践和学术研究提供参考。
专家论坛
联合肝脏分隔和门静脉结扎的二步肝切除术(ALPPS)与肝癌
周俭, 王征
2025, 41(8): 1487-1490. DOI: 10.12449/JCH250802
摘要(782) HTML (232) PDF (1720KB)(105)
摘要:
联合肝脏分隔和门静脉结扎的二步肝切除术(ALPPS)是肝脏外科突破性的创新技术,提高了Ⅰ期无法手术切除巨大/多发肝癌的手术切除率。ALPPS手术方式的不断改进,进一步提高了手术的安全性。与系统治疗、局部治疗导致的肿瘤学转化相比,在手术切除成功率、间隔时间方面,ALPPS具有显著优势。未来研究应重点关注ALPPS术后患者的长期肿瘤学预后和生活质量评估。
肝细胞癌系统治疗进展与展望
黄勇, 黄声稀, 刘秀峰
2025, 41(8): 1491-1496. DOI: 10.12449/JCH250803
摘要(1241) HTML (366) PDF (674KB)(279)
摘要:
肝细胞癌系统治疗近年来取得突破性进展,显著改善了中晚期患者的临床预后。本文系统梳理了当前肝细胞癌系统治疗领域的关键进展与临床挑战。随着多种新型靶免联合和双免联合方案的应用,临床治疗选择日益丰富,但也面临方案优化、耐药处理和特殊人群治疗等关键挑战。当前研究正探索基于多组学特征的精准分型和新型联合治疗策略,特别是三联治疗方案展现出突破现有疗效瓶颈的潜力。未来需要构建更加个体化和精细化的全程管理体系,通过优化免疫微环境调控和转化治疗模式,进一步提升患者的长期生存获益。这一领域的发展将推动肝癌治疗从传统模式向精准医学时代的转变。
肝癌局部治疗策略
向华, 龙林, 张永琎, 周菊梅, 赵杨, 李慕梓, 刘韧耕, 石世雄, 王蓉蓉
2025, 41(8): 1497-1503. DOI: 10.12449/JCH250804
摘要(1103) HTML (426) PDF (760KB)(321)
摘要:
原发性肝癌在我国发病率与死亡率居高不下,因多数患者确诊时已属晚期,外科手术适用受限。本文通过综述现有常用及先进的肝癌局部治疗技术,全面整合局部消融(射频消融、微波消融、不可逆电穿孔和冷冻消融等)、血管内介入(经导管动脉栓塞化疗、肝动脉灌注化疗和钇-90放射栓塞)及放疗(射波刀、质子治疗、重离子治疗)等主流技术进展,通过对比各项治疗技术的治疗原理、适应证与局限性、临床数据等,构建基于多维度的肝癌局部治疗决策框架。本文旨在为目前仍存在的临床决策困境提供循证依据,推动局部治疗在临床实践中的角色升级,并提出未来研究与实践的变革方向。本文旨在为肝癌局部治疗绘制的一张临床路线图,既解决“当前如何选技术”的实践问题,更指引“未来往何处突破”的研究方向,目的是通过技术整合与模式创新,重塑肝癌治疗格局。
指南与规范
原发性胆汁性胆管炎诊疗指南(2025年版)
中华人民共和国国家卫生健康委员会
2025, 41(8): 1504-1506. DOI: 10.12449/JCH250805
摘要(3063) HTML (869) PDF (676KB)(1412)
摘要:
为进一步提高罕见病诊疗规范化水平,保障医疗质量安全,中华人民共和国国家卫生健康委员会组织对《第二批罕见病目录》中86个病种分别制定了诊疗指南,于2025年6月正式公开发布,其中包括阿拉杰里综合征、α1-抗胰蛋白酶缺乏症、先天性胆道闭锁、原发性胆汁性胆管炎、原发性硬化性胆管炎等5种罕见肝胆疾病。本文介绍了原发性胆汁性胆管炎的病因、流行病学、临床表现、辅助检查、诊断与治疗意见,供临床参考。
原发性硬化性胆管炎诊疗指南(2025年版)
中华人民共和国国家卫生健康委员会
2025, 41(8): 1507-1511. DOI: 10.12449/JCH250806
摘要(1749) HTML (568) PDF (838KB)(501)
摘要:
为进一步提高罕见病诊疗规范化水平,保障医疗质量安全,中华人民共和国国家卫生健康委员会组织对《第二批罕见病目录》中86个病种分别制定了诊疗指南,于2025年6月正式公开发布,其中包括阿拉杰里综合征、α1-抗胰蛋白酶缺乏症、先天性胆道闭锁、原发性胆汁性胆管炎、原发性硬化性胆管炎等5种罕见肝胆疾病。本文介绍了原发性硬化性胆管炎的病因、流行病学、临床表现、辅助检查、诊断与治疗意见,供临床参考。
《2025年欧洲肝病学会临床实践指南: 肝硬化和晚期慢性肝病患者的肝外腹部手术》摘译
张苏婷, 刘胜炎, 党晓卫
2025, 41(8): 1512-1516. DOI: 10.12449/JCH250807
摘要(777) HTML (256) PDF (990KB)(121)
摘要:
2025年5月,欧洲肝病学会发布了有关肝硬化与晚期慢性肝病患者肝外腹部手术的临床实践指南。该指南主要围绕肝硬化与晚期慢性肝病患者所行肝外手术的术前评估、各类手术指征以及围手术期管理进行了系统阐述,旨在为有手术指征的肝硬化及晚期慢性肝病患者提供术前评估与围手术期管理的综合性建议。本文对该指南的方法学及核心推荐意见进行摘译。
《2025年欧洲肝病学会临床实践指南: 肝外胆管癌的管理》摘译
丁宗仁, 黄尧, 曾永毅
2025, 41(8): 1517-1520. DOI: 10.12449/JCH250808
摘要(678) HTML (324) PDF (535KB)(124)
摘要:
近年来,胆管癌(CCA)的影像学诊断、分子图谱分析及系统治疗取得了显著进展。尽管如此,早期检测、精准分类和有效管理仍面临诸多挑战。鉴于CCA亚型间的显著差异及最新研究进展,欧洲肝病学会制定了基于证据的肝外胆管癌,包括肝门部和远端胆管癌的管理推荐意见。本指南特别强调了精准分类系统的需求、新兴分子研究的整合,以及反映真实临床场景的实用诊断和治疗策略。
《2025年代谢功能障碍相关脂肪性肝病和脂肪性肝炎全球共识建议》摘译
刘爱芳, 邹波, 罗磊, 张晶, 杨文龙
2025, 41(8): 1521-1524. DOI: 10.12449/JCH250809
摘要(2637) HTML (1229) PDF (1256KB)(628)
摘要:
2025年4月,《代谢功能障碍相关脂肪性肝病和脂肪性肝炎全球共识建议》在Gastroenterology在线发布,该指南主要就代谢功能障碍相关脂肪性肝病(MASLD)筛查必须遵循的步骤、使用非侵入性检查对MASLD进行风险分层、合并症的治疗以及最近获批的瑞美替罗治疗代谢功能障碍相关脂肪性肝炎这些存在分歧的领域达成全球共识,覆盖了当下MASLD管理的最热议题。本文对该共识建议中主要内容进行摘译。
病毒性肝炎
聚乙二醇干扰素α-2b治疗HBeAg阴性慢性乙型肝炎患者发生HBsAg清除的影响因素以及预测模型的构建
张映媛, 许丹青, 木唤, 何愿强, 王远珍, 刘春云, 李卫昆, 牟春燕, 刘立
2025, 41(8): 1525-1532. DOI: 10.12449/JCH250810
摘要(667) HTML (284) PDF (1070KB)(155)
摘要:
  目的  探讨HBeAg阴性慢性乙型肝炎(CHB)患者在接受聚乙二醇干扰素(PEG-IFN-α-2b)治疗后发生HBsAg清除的预测因素,比较不同特征下各指标对HBsAg清除率的影响,建立联合预测模型,并评估模型的诊断价值。  方法  收集2021年5月—2023年5月于昆明市第三人民医院就诊的HBeAg阴性的CHB患者,共125例,入组患者使用PEG-IFN-α-2b联合核苷(酸)类似物(NUC)治疗,疗程满48周,分为HBsAg清除组和HBsAg未清除组,分别观察患者一般资料和治疗中不同时间节点的血清学生化指标、病毒学指标。符合正态分布的计量资料两组间比较采用成组t检验;非正态分布的计量资料两组间比较采用Mann-Whitney U检验,不同时间点比较采用多配对样本秩和检验的Friedman检验。计数资料两组间比较采用χ2检验。Logistic回归分析筛选变量,建立多参数联合预测模型,采用受试者操作特征曲线(ROC曲线)评价单个指标以及联合预测模型对HBsAg清除的诊断价值。  结果  两组患者治疗前基线HBsAg水平(Z=-3.997)和治疗经历(χ2=8.221)差异均有统计学意义(P值均<0.05)。治疗中WBC(χ2=104.944)、中性粒细胞(NEUT)(χ2=132.036)、PLT(χ2=162.881)、促甲状腺激素(TSH)(χ2=83.304)逐渐下降(P值均<0.05),ALT(χ2=157.618)、AFP(χ2=159.472)逐渐升高(P值均<0.05)。治疗48周时两组患者治疗经历(OR=0.232,95%CI:0.071~0.753)、HBsAg基线值(OR=13.423,95%CI:3.276~54.997)、HBsAg治疗12周较基线下降水平(OR=0.143,95%CI:0.040~0.515)、治疗过程中ALT最大值(OR=0.986,95%CI:0.980~0.993)、治疗过程中TSH最小值(OR=3.281,95%CI:1.413~7.619)是HBsAg清除的独立影响因素(P值均<0.05)。构建HBsAg清除的联合预测模型Y=-1.603-1.462×治疗经历+2.597×HBsAg基线值-1.944×HBsAg治疗12周较基线下降水平-0.014×治疗中ALT最大值+1.188×治疗中TSH最小值。单个指标预测HBsAg清除的ROC曲线下面积(AUC)从高到低依次为治疗中ALT最大值(AUC=0.824)、HBsAg基线值(AUC=0.727)、治疗中TSH最小值(AUC=0.707)、HBsAg治疗12周较基线下降水平(AUC=0.641)、治疗经历(AUC=0.636),而联合模型的预测价值更高(AUC=0.921);联合预测模型的诊断效能与单一指标比较,显著提升(P值均<0.05)。  结论  由HBsAg基线值、HBsAg治疗12周较基线下降水平、治疗中ALT最大值、治疗中TSH最小值等构建的联合预测模型对PEG-IFN-α-2b治疗HBeAg阴性的CHB患者48周发生HBsAg清除的预测价值较高,可为筛选适合治疗的患者和预测临床治愈提供参考。
慢性丙型肝炎基因3型患者的临床特征: 一项多中心回顾性队列研究
谢静怡, 景宇佳, 刘奕杉, 白满灵, 陈章乾, 徐强, 杜虹, 马玉秀, 张立婷, 朱姗姗, 高晓琴, 白兴刚, 于国英, 连建奇, 王晓忠, 张永萍, 王九萍, 纪泛扑, 付建军, 高宁
2025, 41(8): 1533-1540. DOI: 10.12449/JCH250811
摘要(661) HTML (253) PDF (967KB)(94)
摘要:
  目的  探讨慢性丙型肝炎(CHC)基因3型(GT3)感染者的人群特征及疾病进展相关危险因素。  方法  本研究为一项多中心回顾性队列研究,纳入2017年12月—2023年11月中国西北地区11个临床中心的1 002例CHC患者,根据CHC GT类型将患者分为GT1、GT2、GT3及GT6组,比较分析不同基因型患者的临床特征。符合正态分布的计量资料组间比较采用单因素方差分析,进一步两两比较采用Scheffe法;不符合正态分布的计量资料组间比较采用Kruskal-Wallis H检验。计数资料组间比较采用χ2检验或Fisher精确检验。采用多因素Logistic回归分析评估CHC进展为肝硬化的相关影响因素。  结果  纳入CHC患者GT1 427例、GT2 242例、GT3 299例(GT3a 210例,GT3b 87例,未分亚型2例)、GT6 34例。GT3患者年龄(51.3±0.5)岁,明显低于GT1[(53.2±0.6)岁]患者及GT2[(53.7±0.8)岁]患者(P值均<0.05),尤其是肝硬化患者中,GT3年龄[(52.1±0.5)岁]明显低于GT1[(59.4±0.9)岁]、GT2[(58.1±1.1)岁](P值均<0.05);GT3男性比例和肝硬化比例分别为77.9%和46.2%,均高于GT1、GT2和GT6患者(P值均<0.05)。GT3患者基线ALT、AST水平明显高于GT1及GT2患者,APRI指数和FIB-4指数均显著高于GT1、GT2和GT6患者,PLT计数明显低于GT2和GT6患者,AFP水平明显高于GT2和GT6患者,Alb水平明显低于GT6患者(P值均<0.05)。GT3a与GT3b亚型患者的年龄、性别、肝硬化比例、合并症、HCV RNA定量、PLT、ALT、AST、ALP、Alb、AST/PLT比值指数(APRI)及纤维化-4指数(FIB-4)等均无统计学差异(P值均>0.05)。多因素Logistic回归分析显示,PLT≤150×109/L(OR=10.72,95%CI:5.76~35.86,P<0.001)和Alb≤35 g/L(OR=3.74,95%CI:1.22~11.45,P=0.021)是GT3型患者发生肝硬化的独立危险因素。  结论  中国西北地区CHC GT3患者以男性为主;与其他基因型相比,发病年龄较轻,肝脏炎症活动度和纤维化程度更为显著;低PLT计数和低白蛋白水平为CHC GT3患者进展为肝硬化的危险因素。
脂肪性肝病
甘油三酯葡萄糖指数联合C反应蛋白对新发非酒精性脂肪性肝病的影响
杜雨芮, 田菲, 纪虹, 魏垚臣, 李云鹏, 葛新宇, 李明华, 马向明
2025, 41(8): 1541-1547. DOI: 10.12449/JCH250812
摘要(508) HTML (224) PDF (1033KB)(74)
摘要:
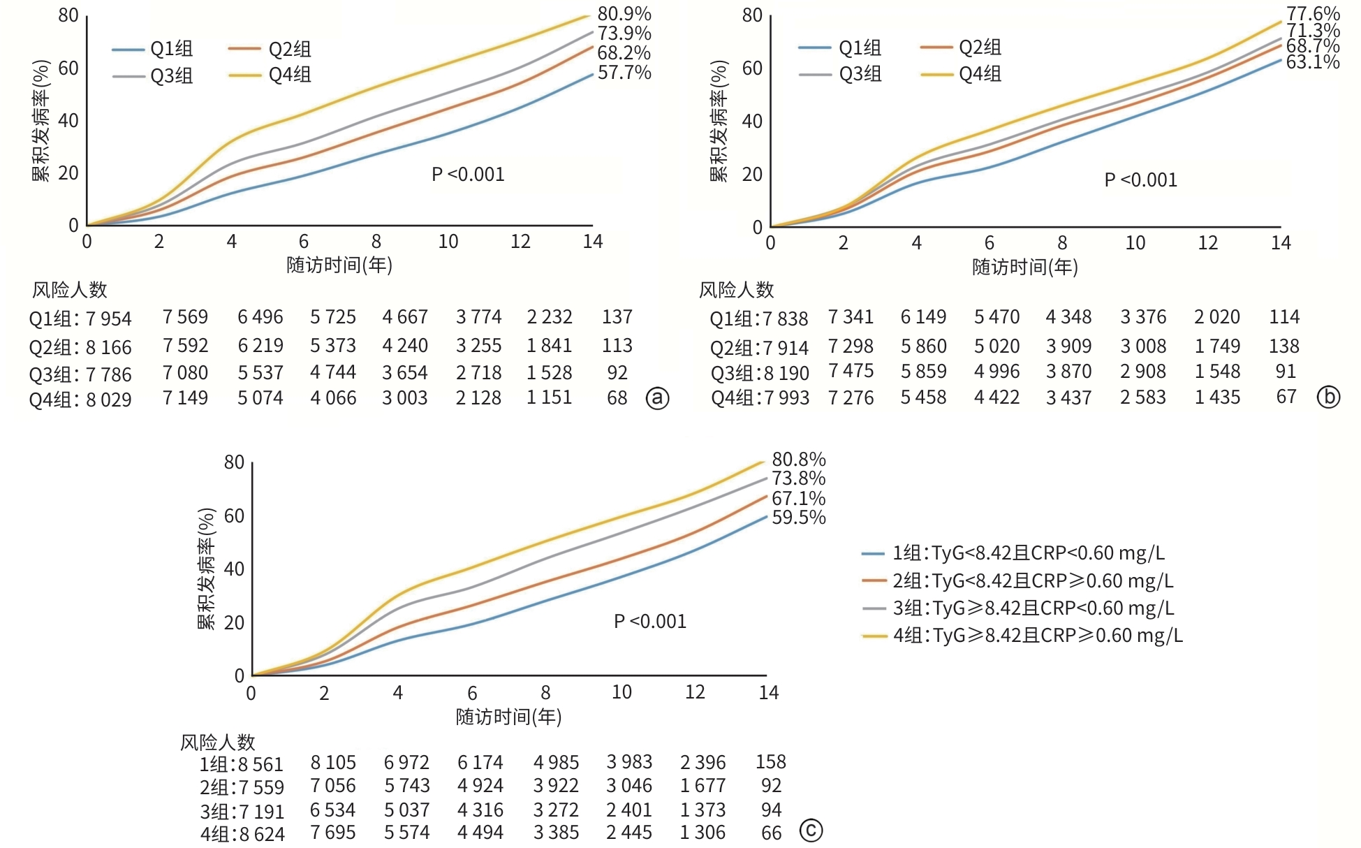
  目的  通过观察甘油三酯葡萄糖指数(TyG)与C反应蛋白(CRP)不同水平组合对新发非酒精性脂肪性肝病(NAFLD)的影响,了解二者对NAFLD有无协同致病效应,为筛查NAFLD高风险人群提供依据。  方法  以参加2006—2007年健康体检、既往无饮酒史、无脂肪肝、无心血管疾病、无恶性肿瘤且未服用降糖、降脂药物的31 935例开滦集团公司职工为观察队列。根据基线CRP和TyG的中位数将研究对象分为4组,即TyG<8.42且CRP<0.60 mg/L组、TyG<8.42且CRP≥0.60 mg/L组、TyG≥8.42且CRP<0.60 mg/L组和TyG≥8.42且CRP≥0.60 mg/L组。正态分布的计量资料多组间比较采单因素方差分析。偏态分布计量资料,经对数转换后用方差分析进行组间比较。计数资料组间比较应用χ2检验。采用Kaplan-Meier法计算CRP与TyG不同水平组合的NAFLD累积发病率。采用多因素Cox回归模型分析TyG与CRP的不同水平组合对NAFLD发病的影响。  结果  在平均随访7.59年后,共有16 592例员工发生NAFLD。TyG<8.42且CRP<0.60 mg/L组、TyG<8.42且CRP≥0.60 mg/L组、TyG≥8.42且CRP<0.60 mg/L组和TyG≥8.42且CRP≥0.60 mg/L组的NAFLD累积发病率分别为59.5%、67.1%、73.8%和80.8%(P<0.001)。在校正混杂因素后,与TyG<8.42且CRP<0.60 mg/L组相比,TyG≥8.42且CRP≥0.60 mg/L组发生NAFLD的风险最高(HR=1.54,95%CI:1.47~1.61),其次为TyG≥8.42且CRP<0.60 mg/L组(HR=1.43,95%CI:1.36~1.49)和TyG<8.42且CRP≥0.60 mg/L组(HR=1.17,95%CI:1.12~1.22)。  结论  随着TyG和CRP水平升高,NAFLD累积发病率上升,二者水平的升高显著增加NAFLD的发病风险。
基于CT三维重建技术探讨脾脏体积与非酒精性脂肪性肝病的关系
梁肖, 董彩霞, 李国栋, 尚琪, 秦博文, 万丹, 王茜, 李路, 陈欣, 李宗芳
2025, 41(8): 1548-1555. DOI: 10.12449/JCH250813
摘要(499) HTML (213) PDF (9727KB)(80)
摘要:
  目的  探讨脾脏体积与非酒精性脂肪性肝病(NAFLD)发病风险的相关性,并进一步探究脾脏体积与NAFLD的因果关系。  方法  选取2022年11月—2023年11月在西安交通大学第二附属医院行腹部增强CT检查的个体,包括90例NAFLD患者和47例健康对照者。采用两阶段由粗到细的图像分割方法,通过构建深度学习网络模型,对脾脏进行三维重建。计量资料两组间比较采用成组t检验或Mann-Whitney U检验;计数资料两组间比较采用χ2检验。采用Pearson相关或Spearman秩相关分析脾脏体积与肝功能指标的相关性。采用多因素Logistic回归分析NAFLD发生的影响因素。此外,进一步采用双样本孟德尔随机化(MR)探讨脾脏体积与NAFLD之间是否存在因果关联,逆方差加权法(IVW)为MR主要研究方法。  结果  NAFLD患者脾脏体积显著大于健康对照者[(272.93±104.16) cm3 vs (204.37±81.20) cm3P<0.001]。Spearman秩相关分析显示,NAFLD患者脾脏体积与肝脂肪变性指数(HIS)(rs =0.422,P<0.001)和GGT(rs =0.211,P=0.047)呈正相关。多因素Logistic回归模型结果显示,脾脏体积是NAFLD发生的独立危险因素(OR=1.01,95% CI:1.00~1.02,P=0.049);IVW结果显示,脾脏体积与NAFLD存在因果关系(OR=1.16,95%CI:1.05~1.28,P=0.005)。  结论  脾脏体积增大可能是NAFLD发生、发展的一个危险因素,具体机制仍需进一步深入研究。
肝纤维化及肝硬化
乙型肝炎核心抗体定量对国际标准化比值正常的乙型肝炎肝硬化失代偿期患者预后的预测价值
徐佰国, 王佳音, 向慧玲
2025, 41(8): 1556-1562. DOI: 10.12449/JCH250814
摘要(462) HTML (200) PDF (916KB)(67)
摘要:
  目的  测定血清乙型肝炎核心抗体定量(qAnti-HBc)在国际标准化比值(INR)正常的乙型肝炎肝硬化失代偿期患者中的水平,探讨其在该目标人群中预后的价值。  方法  纳入2018年10月1日—2021年4月1日在天津市第三中心医院诊治的INR正常的乙型肝炎肝硬化失代偿期患者120例,收集基线指标,测定血清qAnti-HBc水平,随访预后情况。根据预后,分为生存组和死亡组。计量资料两组间比较采用成组t检验或Mann-Whitney U检验。计数资料两组间比较采用χ2检验。采用单因素和多因素Cox回归分析筛选影响预后的候选变量,构建该人群预后模型,绘制受试者操作特征曲线(ROC曲线)。  结果  入组患者的平均随访时间为(32.17±13.09)个月,生存组99例(82.5%),死亡组21例(17.5%),生存组与死亡组比较,性别(χ2=2.151,P=0.014)、年龄(t=-3.218,P=0.003)、TBil(Z=-0.901,P=0.027)、Alb(t=3.353,P=0.001)、Child-Pugh分级(χ2=1.144,P=0.010)差异均有统计学意义。单因素及多因素Cox分析提示,血清qAnti-HBc(HR=0.57,95%CI:0.32~1.00,P=0.043)、年龄(HR=1.06,95%CI:1.00~1.12,P=0.044)、性别(HR=3.82,95%CI:1.46~10.00,P=0.006)、血小板(HR=0.98,95%CI:0.97~1.00,P=0.037)、Alb(HR=0.87,95%CI:0.79~0.95,P=0.002)为影响INR正常的乙型肝炎肝硬化失代偿期患者预后的独立风险预测因素,据此建立预测模型为:h(t,x)/h0(t)=exp(1.34X1+0.06X2-0.14X3-0.02X4-0.57X5),其中X1为性别,X2为年龄,X3为Alb,X4为PLT,X5为qAnti-HBc。该预测模型ROC曲线下面积为0.842,其敏感度为0.79,特异度为0.73,预测模型的C指数为0.85。  结论  在INR正常(0.8~1.2)的乙型肝炎肝硬化失代偿期患者中,血清qAnti-HBc为患者死亡的独立风险预测因素之一,其联合其他指标建立的预测模型可有效预测预后。
乙型肝炎肝硬化患者门静脉高压改善的组织学因素分析
李盟, 郭亚楠, 黄恺, 孙鑫, 李正鑫, 赵志敏, 吕靖, 刘成海
2025, 41(8): 1563-1570. DOI: 10.12449/JCH250815
摘要(491) HTML (184) PDF (3211KB)(75)
摘要:
  目的  通过观察肝硬化门静脉高压(PH)患者治疗前后的肝组织学变化,发现影响PH好转的组织学及细胞学基础,为临床药物研发提供依据。  方法  选取2014年9月—2018年10月在12个省20家医院招募的完成48周抗病毒或联合抗肝纤维化治疗的乙型肝炎肝硬化患者322例,使用Baveno Ⅶ中临床显著门静脉高压(CSPH)无创诊断标准评价PH水平,根据治疗前肝硬度值≥25 kPa筛选出43例确诊CSPH的患者,以治疗后PH水平下降是否≥2个等级分为PH改善组(n=19)及PH未改善组(n=24)。收集人口学、实验室检查资料,并进行肝纤维化评价(HE染色及网状纤维染色)和肝组织微血管病变评价[包括闭塞性门静脉病变(OPV)、结节性再生性增生(NRH)及不完全间隔纤维化(ISF)]。免疫组化检测血管性血友病因子(vWF)、纤维连接蛋白(Fibronectin)的表达水平;多重荧光免疫组化检测纤维蛋白原(Fibrinogen)、CD32b、CD31、α-平滑肌肌动蛋白(α-SMA)的表达水平。计量资料的两组间比较使用成组t检验或Mann-Whitney U检验,计数资料的两组间比较使用χ2检验。  结果  经过48周治疗,RBC、ALT、AST、APRI评分、肝纤维化等级与PH等级发生好转(P值均<0.05),其中19例患者PH等级下降≥2个等级,为PH改善组,其余为PH未改善组。两组患者间肝纤维化结局并无统计学差异(χ2=3.380,P=0.066)。微血管病变评价发现,治疗后PH改善组OPV程度、vWF表达水平及Fibronectin表达量显著低于PH未改善组(P值均<0.05),而NRH程度、ISF程度及Fibrinogen表达量无统计学差异(P值均>0.05)。细胞学评价发现,治疗前及治疗后两组间CD32b、CD31、α-SMA表达量无统计学意义(P值均>0.05),而治疗前后差值比较显示PH改善组CD32b表达量显著增加(t=-2.007,P=0.045),而α-SMA表达量显著减少(t=2.628,P=0.013)。  结论  PH改善的病理特征与肝纤维化逆转和肝微血管改善有关,其细胞学基础与肝窦内皮细胞去分化及肝星状细胞活化表型有关。
失代偿期肝硬化并发舒张性心功能障碍患者的特征和短期预后
姚怡琛, 王海玉, 戴琳, 王倩, 奚冉冉, 万军庭, 陈金军
2025, 41(8): 1571-1578. DOI: 10.12449/JCH250816
摘要(584) HTML (226) PDF (1897KB)(76)
摘要:
  目的  回顾性分析失代偿期肝硬化并发舒张性心功能障碍患者的特征和短期预后,协助提升失代偿期肝硬化患者临床诊疗。  方法  收集2019年4月—2023年7月南方医科大学南方医院收治的263例肝硬化患者的临床资料。将入组患者分为代偿肝硬化组(n=37)和失代偿肝硬化组(n=226),并根据是否发生心功能障碍将失代偿期肝硬化患者分为心功能障碍组(n=84)和无心功能障碍组(n=142)。符合正态分布的计量资料两组间比较采用成组t检验;偏态分布资料两组间比较采用Mann-Whitney U检验。多组间比较采用Kruskal-Wallis H检验,进一步两两比较采用Wilcoxon检验。计数资料的两组间比较采用χ2检验或校正χ2检验。采用Logistic回归模型分析患者生存的影响因素。Kaplan-Meier法绘制生存曲线,组间比较采用Log-rank检验。  结果  失代偿期肝硬化患者心功能障碍组和无心功能障碍组年龄(t=-4.566)、活化部分凝血活酶时间(Z=-3.026)、凝血酶原时间(Z=-2.450)、国际标准化比值(Z=2.779)、中度食管静脉曲张(χ2=4.273)比较,差异均具有统计学意义(P值均<0.05)。住院期间35例患者出现新发或加重的腹水(18例心功能障碍和17例无心功能障碍)、6例患者新发胃食管静脉曲张出血、9例患者新发或加重肝性脑病(3例心功能障碍和6例无心功能障碍)。黄疸是入院占比最多的失代偿事件,电生理异常是入院占比最多的心电图异常表现。随访时间90天,共有30例患者(12例心功能障碍和18例无心功能障碍)死亡。经Logistic回归模型分析,影响肝硬化心肌病患者心功能障碍的独立预测因素包括年龄(OR=1.075,95%CI:1.033~1.119,P<0.001)、氨基端前脑钠素(OR=0.996,95%CI:0.992~0.999,P=0.016)、轻中度腹水(OR=0.270,95%CI:0.092~0.789,P=0.017)。  结论  及时关注高龄、氨基端前脑钠素下降、轻中度腹水的失代偿肝硬化并发舒张性心功能障碍患者,给予利尿剂等对症治疗,可能改善舒张性心功能障碍。
失代偿期乙型/丙型肝炎肝硬化患者合并门静脉血栓的列线图模型建立与验证
田仁海, 王远珍, 魏红艳, 常丽仙, 刘春云, 刘立
2025, 41(8): 1579-1588. DOI: 10.12449/JCH250817
摘要(440) HTML (180) PDF (2198KB)(70)
摘要:
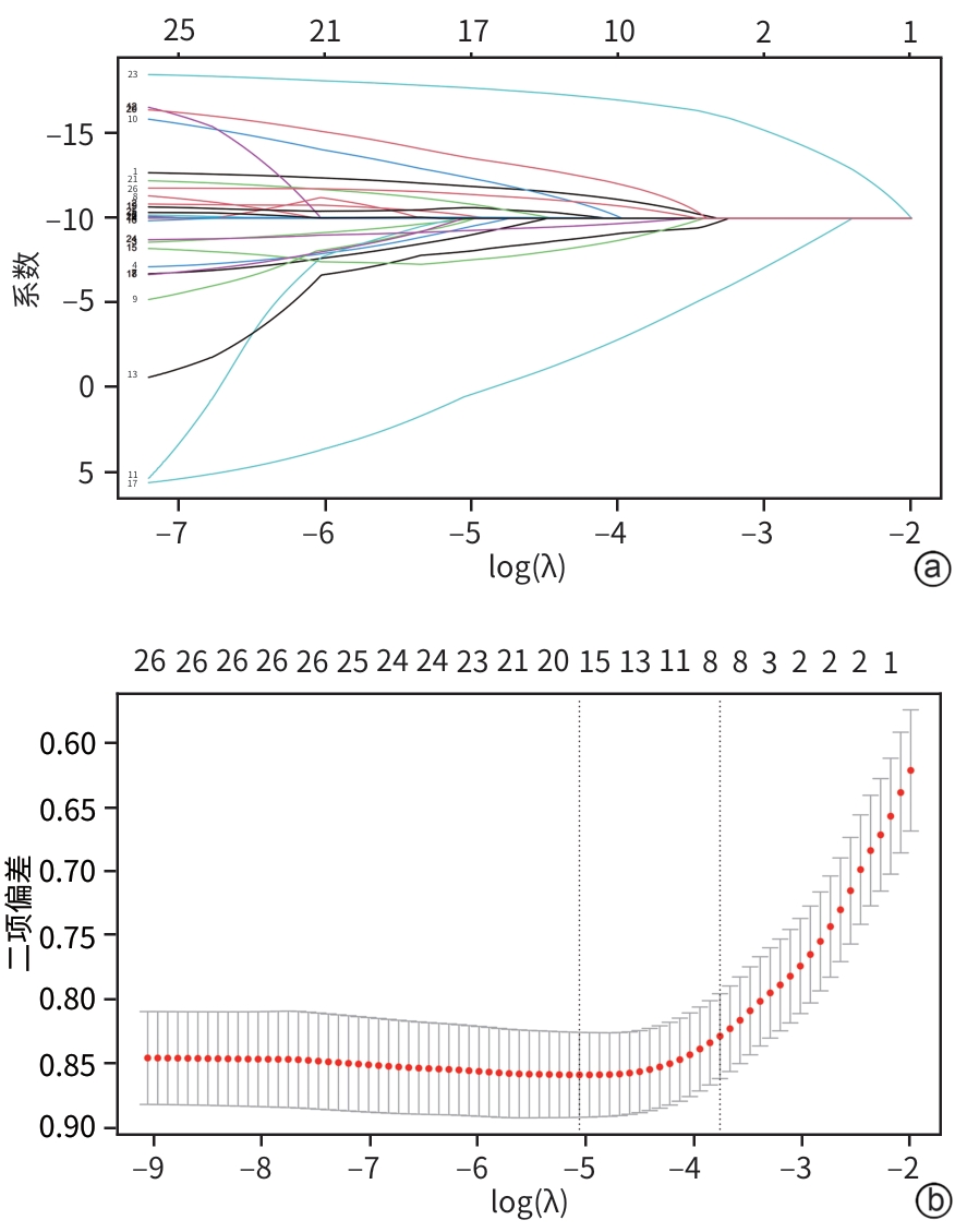
  目的  分析失代偿期乙型/丙型肝炎相关肝硬化患者合并门静脉血栓(PVT)的独立影响因素,建立列线图风险预测模型并进行验证。  方法  回顾性收集2022年1月—2023年12月首次在昆明市第三人民医院就诊的1 116例失代偿期乙型/丙型肝炎肝硬化患者的临床资料,并按是否合并PVT分为PVT组和对照组。计量资料两组间比较采用成组t检验或Mann-Whitney U检验。计数资料两组间比较采用χ2检验。用单因素分析、最小绝对收缩和选择算子(Lasso)回归筛选变量,多因素二元Logistics回归分析筛选独立影响因素并建立预测模型,列线图可视化模型;并使用受试者操作特征曲线(ROC曲线)下面积(AUC)、Hosmer-Lemeshow检验、Bootstrap法自抽样1 000次、校准曲线、临床决策曲线、临床影响曲线验证模型。  结果  PVT组178例,对照组938例,合并PVT患病率15.9%(178/1 116)。男性占68.5%(764/1 116)、饮酒者占51.0%(569/1 116)、Child-Pugh B级者78.8%(879/1 116)、有腹水者67.1%(749/1 116)。PVT组与对照组比较,年龄(Z=-2.362)、凝血酶原时间(Z=-2.403)、国际标准化比值(Z=-2.470)、游离甲状腺素(Z=-5.910)、D-二聚体(Z=-5.764)、IL-6(Z=-6.581)、IL-10(Z=-3.915)、IL-8(Z=-3.705)、门静脉内径(Z=-9.690)、脾厚径(Z=-7.183)升高,而白细胞(Z=-2.115)、血小板(Z=-3.026)、纤维蛋白原(Z=-2.169)、谷氨酸氨基转移酶(Z=-3.151)、前白蛋白(Z=-3.509)、胆碱酯酶(Z=-3.415)、甲胎蛋白(Z=-3.513)、甘油三酯(Z=-2.679)、CD3+Z=-6.059)、CD4+Z=-7.257)、CD8+Z=-2.340)、CD4+/CD8+Z=-4.479)、三碘甲状腺原氨酸(Z=-3.338)、游离三碘甲状腺原氨酸(FT3)(Z=-9.560)、门静脉血液流速(Z=-4.568)降低,差异均有统计学意义(P值均<0.05)。经Lasso回归筛选出有意义的变量再进行多因素Logistics回归分析,显示年龄(OR=1.046,95%CI:1.026~1.066)、CD4+/CD8+OR=0.568,95%CI:0.410~0.787)、FT3(OR=0.956,95%CI:0.944~0.968)、IL-10(OR=1.021,95%CI:1.001~1.042)、门静脉内径(OR=1.446,95%CI:1.329~1.574)、脾厚径(OR=1.035,95%CI:1.014~1.055)为合并PVT的独立影响因素,建立模型Logit(P)=-8.784+0.045×年龄-0.566×CD4+/CD8+-0.046×FT3+0.021×IL-10+0.369×门静脉内径+0.034×脾厚径,建立并验证列线图模型,AUC=0.859(95%CI:0.833~0.887)。Hosmer-Lemeshow检验显示,模型拟合较好(χ2=11.349,P=0.183)。Bootstrap内部验证,平均绝对误差=0.006,C指数=0.855。决策曲线显示,在较宽范围内,临床净获益高。  结论  年龄,CD4+/CD8+、FT3、IL-10、门静脉内径、脾厚径可能是失代偿期乙型/丙型肝炎肝硬化患者合并PVT的独立影响因素。以此6个变量建立并验证的预测模型,可能有助于临床上早期预测失代偿期乙型/丙型肝炎肝硬化患者合并PVT的风险。
肝脏肿瘤
晚期肝细胞癌局部治疗联合系统治疗后持续5年完全缓解患者的临床特征及影响因素分析
印于, 史逸恺, 杨俊, 李智, 朱晓黎, 倪才方
2025, 41(8): 1589-1596. DOI: 10.12449/JCH250818
摘要(655) HTML (300) PDF (2144KB)(81)
摘要:
  目的  分析中国肝癌分期(CNLC)Ⅲ期肝细胞癌(HCC)患者接受局部治疗联合系统治疗后持续5年完全缓解(CR)的临床特征及影响因素,为晚期HCC治疗策略优化提供参考。  方法  回顾性分析2016年1月—2019年12月在苏州大学附属第一医院介入科接受治疗并持续5年CR的6例CNLCⅢ期HCC患者的临床资料,分析其基线特征、治疗方式及随访数据并进行文献复习。  结果  6例患者平均年龄(58.3±10.1)岁,5例为Ⅲa期,1例为Ⅲb期,均合并肝炎病史,6例患者术前终末期肝病模型评分为(8.2±0.8)分,5例患者术前肝功能Child-Pugh A级,1例为Child-Pugh B级。所有患者接受经导管动脉化疗栓塞术,术后序贯靶向药物治疗,其中索拉非尼4例,仑伐替尼2例。4例合并门静脉主干癌栓的患者联合125I粒子植入,1例单结节型联合射频消融术,3例联合免疫治疗,均为卡瑞利珠单抗。AFP水平复常的中位时间为6个月,治疗至CR的中位时间为5.5个月,中位随访时间为63个月。  结论  良好的肝功能基础、AFP水平早期快速下降、局部治疗与系统治疗的联合模式是晚期HCC患者获得长期CR的关键因素,未来需通过多中心、大样本研究进一步探索其预后影响因素和优化治疗方案。
G-GADA模型在HBV相关肝细胞癌诊断中的应用价值
韦亚妹, 姚明解, 鲁凤民, 武浩, 柳丽娟, 张眉
2025, 41(8): 1597-1605. DOI: 10.12449/JCH250819
摘要(533) HTML (142) PDF (1743KB)(69)
摘要:
  目的  基于慢性乙型肝炎(CHB)患者年龄、性别、甲胎蛋白(AFP)、异常凝血酶原(DCP)和高尔基体蛋白73(GP73),构建优化的肝细胞癌(HCC)诊断模型(G-GADA),以应对HBV相关HCC早期诊断的低敏感度和特异度问题,并评估其对HCC的诊断价值。  方法  回顾性收集2015年6月—2020年6月福建医科大学孟超肝胆医院的CHB患者201例(CHB组)、HBV相关肝硬化患者137例(LC组)及未经治疗的初诊HCC患者111例(HCC组)。比较血清学指标(AFP、DCP、AFP-L3%、GP73)在不同组间的差异,分析其与HCC患者临床和肿瘤特征的关系,并利用Spearman相关分析法评估各指标之间的相关性。通过Logistic回归建立肝癌诊断模型,采用受试者操作特征曲线(ROC曲线)评价各指标对肝癌的诊断效能。  结果  比较CHB、LC和HCC患者的临床特征,结果显示,HCC患者年龄更大,男性比例更高,血清DCP、AFP、GP73和AFP-L3%水平最高,差异均具有统计学意义(P值均<0.05)。在HCC患者中,DCP水平与肿瘤大小及微血管浸润有关;AFP水平与患者年龄、肿瘤大小、肿瘤数量、远处转移及微血管浸润有关;AFP-L3%水平与患者年龄、肿瘤大小、肿瘤数量、远处转移、米兰分期及微血管浸润有关;GP73水平与肿瘤数量、远处转移及微血管浸润有关(P值均<0.05)。患者血清学指标相关性分析显示,AFP与AFP-L3%呈强正相关(r=0.71,P<0.05)、AFP与GP73(r=0.33,P<0.05)、AFP-L3%与GP73(r=0.41,P<0.05)呈中等相关。以患者年龄、性别、DCP、AFP和GP73水平为特征,基于多变量Logistic回归构建HCC诊断模型“G-GADA”,在总患者中,G-GADA模型在建模组和验证组诊断HCC的ROC曲线下面积(AUC)分别为0.915(95%CI:0.875~0.945)和0.913(95%CI:0.862~0.950);在AFP低表达患者中,G-GADA模型在建模组和验证组诊断HCC的AUC分别为0.884(95%CI:0.833~0.924)和0.851(95%CI:0.779~0.907);在肝硬化患者中,G-GADA模型在建模组和验证组诊断HCC的AUC分别为0.901(95%CI:0.841~0.944)和0.885(95%CI:0.806~0.940)。  结论  基于多变量联合构建的G-GADA诊断模型可显著提高肝癌的检出率,在AFP低表达患者、肝硬化患者中均表现出较好的诊断效能,G-GADA模型在HCC的无创诊断中有更好的临床应用价值。
甲胎蛋白阴性肝细胞癌患者肝切除术后预后的危险因素分析及列线图模型的构建
李慧明, 武烨晔, 郭永庆, 饶春美, 刘军, 汪玲
2025, 41(8): 1606-1614. DOI: 10.12449/JCH250820
摘要(474) HTML (219) PDF (2028KB)(74)
摘要:
  目的  本研究基于多模态临床数据构建AFP阴性肝细胞癌(ANHC)患者术后复发及生存风险的动态列线图模型,通过机器学习整合肿瘤生物学特征与治疗响应参数,揭示ANHC特异性预后标志物组合,为突破传统血清学标志物局限提供个性化风险评估工具。  方法  回顾性纳入2012年4月28日—2018年12月31日于东方肝胆外科医院接受肝切除术的421例ANHC患者,随机分为训练组(210例)和验证组(211例)。通过单因素及多因素Cox比例风险回归筛选独立预后因素,构建列线图模型,并采用受试者操作特征曲线(ROC曲线)、校准曲线和决策曲线分析(DCA)验证性能。检测指标包括前白蛋白(PA)、白细胞(WBC)、肿瘤大小、微血管侵犯等。计数资料两组间比较使用χ2检验或Fisher精确检验,计量资料两组间比较使用成组t检验或Mann-Whitney U检验。  结果  通过多因素分析确定的无病生存期(DFS)的独立危险因素包括多发肿瘤(HR=3.30,P<0.001)、WBC(HR=1.05,P=0.005)、血糖(HR=1.15,P=0.026)、糖类抗原19-9(CA19-9)(HR=1.01,P=0.005)和肿瘤大小(HR=1.17,P<0.001),PA为保护因素(HR=0.99,P=0.022)。总生存期(OS)的独立危险因素包括肿瘤包膜不完整(HR=0.60,P=0.009)、年龄(HR=1.02,P=0.035)、凝血酶原时间(PT)(HR=1.27,P=0.023)、CA19-9(HR=1.01,P<0.001)和肿瘤大小(HR=1.15,P<0.001)。DFS列线图在训练组和验证组ROC曲线下面积(AUC)分别为0.74(95%CI:0.64~0.84)和0.67(95%CI:0.57~0.77),OS列线图的AUC分别为0.76(95%CI:0.64~0.88)和0.73(95%CI:0.60~0.87)。校准曲线和DCA表明模型具有良好的预测性能和临床实用性。  结论  肿瘤数目、PA、WBC、肿瘤大小等术前指标可有效预测ANHC患者术后复发,而肿瘤包膜完整性、年龄、PT等与OS显著相关。构建的列线图模型验证性能良好,可为个体化预后评估提供依据。
其他肝病
COSSH-ACLF Ⅱ评分对HBV相关慢加急性肝衰竭合并肝性脑病患者短期预后的预测价值
黄彤, 赵昱博, 杨玲
2025, 41(8): 1615-1619. DOI: 10.12449/JCH250821
摘要(511) HTML (172) PDF (838KB)(78)
摘要:
  目的  探讨中国重症乙型肝炎研究学组-慢加急性肝衰竭评分(COSSH-ACLFⅡ)对HBV相关慢加急性肝衰竭(HBV-ACLF)合并肝性脑病(HE)患者短期预后的预测价值。  方法  回顾性分析2019年1月—2024年10月山西医科大学第一医院收治并确诊的134例HBV-ACLF合并HE患者,根据随访90 d患者的生存状态分为生存组(n=60)和死亡组(n=74)。分别计算COSSH-ACLFⅡ评分、COSSH-ACLF评分、终末期肝病模型(MELD)评分、终末期肝病模型联合血清钠(MELD-Na)评分和MELD 3.0评分,比较两组基础临床资料、实验室指标、并发症及各模型评分等。计数资料两组间比较采用χ2检验;计量资料两组间比较采用成组t检验或者Mann-Whitney U检验。采用受试者操作特征曲线(ROC曲线)分析各评分对HBV-ACLF合并HE患者预后预测的临床效能。  结果  死亡组年龄[(56.09±10.52)岁]明显大于生存组[(49.23±11.57)岁](t=2.720,P=0.007)。死亡组中并发症发生率(上消化道出血、腹水)、实验室指标(白细胞计数、中性粒细胞计数、总胆红素、国际标准化比值、血肌酐、血尿素氮)均明显高于生存组(P值均<0.05)。死亡组COSSH-ACLFⅡ、COSSH-ACLF、MELD、MELD-Na和MELD 3.0评分均高于生存组(P值均<0.001)。将患者以COSSH-ACLFⅡ评分危险分层的3个区间分为低危组、中危组和高危组,比较发现,COSSH-ACLFⅡ评分分值越高,患者病死率越高(χ2=44.371,P<0.001)。根据ROC曲线分析结果,COSSH-ACLFⅡ评分评价HBV-ACLF合并HE患者90 d死亡的ROC曲线下面积(AUC)为0.883,95%CI为0.837~0.919。截断值为7.25时,敏感度90.5%,特异度78.7%,预测准确度85.07%。COSSH-ACLFⅡ的AUC(0.883)优于COSSH-ACLF(0.841)、MELD 3.0(0.733)、MELD-Na(0.723)、MELD(0.716)(P值均<0.05)。  结论  采用COSSH-ACLF Ⅱ评分可提高预测HBV-ACLF合并HE患者90 d预后的准确度,COSSH-ACLFⅡ危险分层有助于简化患者病情分级。
全身炎症反应指数对慢加急性肝衰竭合并感染患者预后的预测价值
李会, 苏海滨, 胡瑾华, 史晨辉, 李晨, 刘晓燕, 陈婧, 严立龙, 彭宇辉, 宁鹏, 关崇丹
2025, 41(8): 1620-1626. DOI: 10.12449/JCH250822
摘要(498) HTML (206) PDF (1360KB)(85)
摘要:
  目的  探讨慢加急性肝衰竭(ACLF)合并感染患者的全身炎症反应指数(SIRI)指标在临床中的应用价值。  方法  回顾性分析2014年1月—2016年3月在中国人民解放军第五医学中心住院诊疗的579例ACLF合并感染患者的人口学特征、实验室指标、并发症等临床资料,计算SIRI值及MELD评分、MELD-Na评分和Child-Pugh评分,根据随访90 d的结果分为生存组(n=210)和死亡组(n=369)。符合正态分布的计量资料两组间比较采用成组t检验;非正态分布的计量资料两组间比较采用Mann-Whitney U秩和检验。计数资料两组间比较使用χ2检验。用二分类变量Logistic回归分析90 d死亡的独立危险因素。利用受试者操作特征曲线(ROC曲线)及ROC曲线下面积(AUC)分析SIRI、MELD-Na评分、Child-Pugh评分对ACLF合并感染患者预后的预测效能。根据SIRI的最佳截断值进行Kaplan-Meier生存分析。  结果  纳入的579例ACLF合并感染患者中,主要为HBV相关ACLF(384例,66.32%)和酒精性相关ACLF(114例,19.69%);腹腔(316例,54.58%)和肺部(133例,22.97%)为主要感染部位,90 d病死率为63.73%。多因素Logistic分析结果显示,SIRI(OR=1.177,95%CI:1.117~1.239)、血氨(OR=1.009,95%CI:1.001~1.018)、MELD-Na评分(OR=1.047,95%CI:1.016~1.080)、Child-Pugh评分(OR=1.351,95%CI:1.054~1.730)、年龄(OR=1.045,95%CI:1.021~1.070)、合并肝性脑病(OR=2.269,95%CI:1.305~3.946)、合并急性肾损伤(OR=1.730,95%CI:0.990~3.023)是ACLF合并感染患者90 d死亡的独立危险因素(P值均<0.05)。Pearson相关性分析显示,SIRI与MELD-Na评分(r=0.282)、Child-Pugh评分(r=0.168)均呈正相关(P值均<0.001)。SIRI、MELD-Na评分、Child-Pugh评分预测患者90 d死亡的ROC曲线下面积(AUC)分别为0.855、0.734、0.690,SIRI的预测效能高于MELD-Na评分、Child-Pugh评分(Z值分别为4.922、6.289,P值均<0.001),SIRI的敏感度为76.7%、特异度为82.9%。在SIRI联合MELD-Na评分、Child-Pugh评分后分别提高了MELD-Na评分(0.854 vs 0.734,Z=6.899,P<0.001)、Child-Pugh评分(0.858 vs 0.690,Z=8.725,P<0.001)的预测效能。高SIRI组(SIRI≥4.08)患者90 d生存率为11.29%(36/319),明显低于低SIRI组(SIRI<4.08)患者(χ2=225.24,P<0.001)。  结论  SIRI是ACLF合并感染患者死亡的独立危险因素,具有良好的临床预后预测价值,能更方便、经济实惠地应用于临床。
960例不明原因肝病患者经肝活检病理诊断的病因构成与临床特征分析
龙志聪, 刘爽, 陈观子, 揭育胜
2025, 41(8): 1627-1631. DOI: 10.12449/JCH250823
摘要(443) HTML (157) PDF (1168KB)(80)
摘要:
  目的  了解不明原因肝病患者经肝活检后明确病因的构成比及趋势。  方法  回顾性分析2011年1月—2020年12月于中山大学附属第三医院住院的960例不明肝病行肝活检患者的病因,按照年份、年龄阶段进行分类,计数资料多组间比较采用χ2检验,非正态分布的计量资料多组间比较采用Kruskal-Wallis H检验。  结果  近10年不明原因肝病构成比总体呈上升趋势,肝活检后确诊疾病谱中第1位为自身免疫性肝病(AILD),共306例(31.9%);第2位为非酒精性脂肪性肝病(NAFLD),共95例(9.9%);第3位为药物性肝损伤(DILI),共82例(8.5%);病因不明者320例(33.3%)。各类病因的性别比、中位年龄分布均有统计学差异(χ2=155.36,P<0.001;H=182.48,P<0.001)。在2011—2020年已确诊的病因中,AILD一直居于首位,其构成比总体呈下降趋势(χ2=24.40,P<0.001)。在少年阶段中确诊最多为NAFLD(17.6%),青年、中年、老年阶段确诊最多均为AILD(17.8%、47.3%、56.3%)。  结论  近10年肝活检患者中不明原因肝病构成比呈上升趋势,其肝活检后诊断疾病谱以AILD为主,其次为NAFLD和DILI,但仍有1/3的患者病因诊断不明。
胰腺疾病
新型简化胰岛素抵抗指标对脂肪胰发生风险的预测价值
周心怡, 翟永鹏, 王家辉, 张茜, 包翊辰, 周琳
2025, 41(8): 1632-1638. DOI: 10.12449/JCH250824
摘要(515) HTML (256) PDF (1346KB)(56)
摘要:
  目的  探讨三酰甘油葡萄糖-体质量指数(TyG-BMI)、血清三酰甘油/高密度脂蛋白胆固醇(TG/HDL-C)及胰岛素抵抗代谢评分(METS-IR)对脂肪胰的预测价值。  方法  纳入于2020年1月—2023年11月在郑州大学第一附属医院就诊的240例脂肪胰患者为脂肪胰组,同时随机选取同期健康体检者480例作为对照组。收集受试者的一般临床资料和实验室相关指标等数据。计量资料非正态分布两组间比较采用Mann-Whitney U秩和检验。计数资料两组间比较采用χ2检验。采用二元Logistic回归探讨TyG-BMI、TG/HDL-C以及METS-IR与脂肪胰的关系。绘制受试者操作特征曲线(ROC曲线),计算曲线下面积(AUC)评估各简化胰岛素抵抗指标对总人群及不同性别人群脂肪胰的预测诊断价值。  结果  脂肪胰组的年龄、BMI、收缩压(SBP)、舒张压(DBP)、空腹血糖(FPG)、血尿酸(SUA)、ALT、AST、GGT、TC、TG、LDL-C、TyG-BMI、TG/HDL-C、METS-IR,以及高血压史、糖尿病史和脂肪肝比例均显著高于对照组(P值均<0.05)。而HDL-C水平显著低于对照组(P<0.05)。多因素Logistic回归分析结果显示,在调整各影响因素后,TyG-BMI、TG/HDL-C及METS-IR仍是脂肪胰发生的独立危险因素(OR分别为1.027、6.964、1.184,95%CI分别为1.018~1.037、2.022~23.989、1.123~1.248)。ROC曲线分析表明,METS-IR、TyG-BMI的AUC分别为0.823、0.803,敏感度为76.3%、75.8%,特异度为74.6%、71.7%,最佳临界值为34.86、196.70。其次为BMI(AUC=0.758)及TG/HDL-C(AUC=0.734)。在性别分层分析中,男性和女性亚组中METS-IR的AUC值均为最高,分别为0.834、0.810。  结论  TyG-BMI、TG/HDL-C及METS-IR对脂肪胰的发生均有良好的预测价值,其中METS-IR的预测效能更佳。
病例报告
巨大自发性脾肾分流道栓塞联合抗凝治疗门静脉血栓1例报告
黄菊, 王小泽, 罗薛峰, 杨丽
2025, 41(8): 1639-1642. DOI: 10.12449/JCH250825
摘要(535) HTML (185) PDF (3328KB)(78)
摘要:
门静脉血栓是肝硬化患者常见且严重的并发症,门静脉血流动力学的改变与门静脉血栓的发生密切相关。合并巨大的自发性脾肾分流时门静脉灌注减少、血流速度减慢,极有可能削弱门静脉血栓的抗凝效果。本文将报道1例通过栓塞自发性脾肾分流道联合抗凝治疗策略,实现了门静脉的完全再通,然而,仍需高质量的临床研究进一步验证和支持这一策略的有效性。
综述
不同禁食模式防治代谢相关脂肪性肝病的现状及思考
陈华鑫, 赵文霞, 袁嘉辰, 郑雨珠, 郝尧坤, 刘晓彦
2025, 41(8): 1643-1648. DOI: 10.12449/JCH250826
摘要(718) HTML (244) PDF (726KB)(81)
摘要:
代谢相关脂肪性肝病(MAFLD)发病率日益增加,已成为全球常见慢性肝病,该病与代谢功能障碍密切相关,其首要治疗方式为饮食及运动干预,其中饮食控制尤为重要。本文归纳总结了近年来关于不同禁食模式防治MAFLD的相关文献,分析表明禁食疗法通过限制进食,控制热量摄入,可起到减轻体质量和改善代谢紊乱的作用,防治MAFLD的不同禁食模式值得在未来研究与临床实践中进一步探索与验证。
运动干预机制以及个性化运动处方对代谢相关脂肪性肝病的影响
果可欣, 桂沛君, 谢瑛
2025, 41(8): 1649-1654. DOI: 10.12449/JCH250827
摘要(694) HTML (279) PDF (666KB)(73)
摘要:
生活方式的改变比如增加运动,是影响代谢相关脂肪性肝病(MAFLD)患者健康和生活质量的关键因素。运动能够有效改善这类患者的身体健康,是治疗MAFLD的基石。然而,不同类型、强度、时间和频率的运动对MAFLD产生各不相同的影响。本研究综述了不同运动处方对MAFLD患者的作用和影响,有助于医护人员制定个性化的运动方案,鼓励患者积极参与运动锻炼,从而提供有效的预防和治疗策略。
PINK1/Parkin信号通路介导的线粒体自噬在代谢相关脂肪性肝病中的作用及靶向治疗研究进展
朱胜金, 朱小灯, 李开楊, 杨梅, 吴娴
2025, 41(8): 1655-1661. DOI: 10.12449/JCH250828
摘要(753) HTML (363) PDF (1212KB)(71)
摘要:
代谢相关脂肪性肝病(MAFLD)发病机制复杂,而线粒体自噬参与了MAFLD的发生发展,在肝脏代谢途径和信号网络中起着关键作用。线粒体自噬受多种途径的调控,同源性磷酸酶张力蛋白诱导激酶1(PINK1)/帕金蛋白(Parkin)途径被认为是调节线粒体自噬的主要途径,PINK1/Parkin介导的线粒体自噬可调节脂质代谢、炎症及纤维化,缓解MAFLD的进展。本文综述了PINK1/Parkin介导的线粒体自噬在MAFLD中的作用及靶向治疗的研究进展,以期为防治MAFLD提供理论依据和思路。
酒精性肝病增加脓毒症易感性机制的研究进展
刘航, 郭焱
2025, 41(8): 1662-1667. DOI: 10.12449/JCH250829
摘要(482) HTML (230) PDF (1146KB)(76)
摘要:
脓毒症是由宿主对感染的反应失调导致危及生命的器官功能障碍,目前尚缺乏有效的治疗方法。酒精性肝病(ALD)是西方国家酒精导致死亡的最重要原因。脓毒症是ALD最常见的并发症和死亡原因之一,本文对ALD增加脓毒症易感性机制的研究进展进行综述,旨在为ALD致脓毒症患者的预防和治疗提供参考。
自身免疫性肝炎遗传机制研究进展
王新贤, 陈兰羽, 吕文良
2025, 41(8): 1668-1672. DOI: 10.12449/JCH250830
摘要(532) HTML (194) PDF (590KB)(81)
摘要:
自身免疫性肝炎(AIH)是由免疫异常导致的慢性炎症性肝脏疾病,遗传是AIH发病的重要因素,通过对基因的分析研究发现,新的遗传标记能更加深入地了解AIH的发病风险、制订治疗措施。本文从人类白细胞抗原、单核苷酸多态性、表观遗传三个方面进行简要综述,为AIH的临床与科研提供参考。
维生素D在肝硬化并发症中的作用
王溢, 李晚晴, 赵婕
2025, 41(8): 1673-1678. DOI: 10.12449/JCH250831
摘要(601) HTML (277) PDF (686KB)(107)
摘要:
肝硬化是肝实质被纤维化组织和再生结节替代的一种慢性肝病,其主要并发症包括门静脉高压、肝性脑病、自发性细菌性腹膜炎及肝细胞癌。尽管在治疗和管理上已经取得了很大进步,但其并发症仍然给个人及社会造成重大负担。近年来,维生素D的生物学作用及其与肝硬化并发症的关系受到广泛关注。维生素D不仅是一种重要的脂溶性维生素,还具有抗纤维化、抗炎及抗肿瘤的多重作用。本文旨在总结目前维生素D在肝硬化主要并发症中的作用及潜在临床应用价值,探索预防和延缓并发症发展的辅助性治疗新途径。
经颈静脉肝内门体分流术后门静脉压力下降程度对预后影响的相关进展
保燕青, 王瑜, 张志娇, 郑梦瑶, 黄华, 赵公芳
2025, 41(8): 1679-1684. DOI: 10.12449/JCH250832
摘要(577) HTML (242) PDF (669KB)(55)
摘要:
经颈静脉肝内门体分流术是治疗门静脉高压症的重要手段,门静脉压力下降程度与患者的预后密切相关。门静脉压力降低幅度越大,对肝硬化患者门静脉高压症状的缓解效果越显著,然而也增加了肝性脑病、肝功能衰竭的发生风险。因此,合理控制门静脉压力降低范围对优化治疗效果至关重要。本文就门静脉压力测量方法、影响压力降低的因素、针对不同适应证最佳的降压范围以及不同降压程度对并发症发生的影响作一综述,以期为提高TIPS的治疗效果和改善患者术后预后提供指导。
肠道屏障功能障碍在肝肾综合征-急性肾损伤发病中的串扰机制
孙文, 陈晓, 张鑫, 于博睿, 杨波, 邢海涛
2025, 41(8): 1685-1692. DOI: 10.12449/JCH250833
摘要(683) HTML (231) PDF (2088KB)(58)
摘要:
2015年国际腹水俱乐部就肝肾综合征的进展提出了肝肾综合征-急性肾损伤的新定义,目前其确切发病机制仍在探索中。肠道屏障在肝肾连接中发挥重要桥梁作用,肠道菌群紊乱,细菌易位发生,内毒素入血,通过释放促炎细胞因子、激活免疫相关细胞对肾脏造成损害,胆汁酸进入循环系统也直接或间接导致肝肾综合征-急性肾损伤的发生与进展。本文以肠道屏障为切入点对肝肾综合征-急性肾损伤的串扰机制进行综述,进一步阐明肝-肠-肾轴在其发病中的关键作用,以期提供新的治疗思路。
运动调控肠道菌群在肝脏疾病防治中的作用
徐珍, 廖粤生, 冯晓露
2025, 41(8): 1693-1699. DOI: 10.12449/JCH250834
摘要(437) HTML (197) PDF (953KB)(61)
摘要:
肝脏疾病具有发病机制复杂、病情发展多样以及治疗难度较大等特点,其发病率在全球范围内呈逐年上升趋势,给家庭和社会带来了沉重的医疗负担。运动作为一种非药物性、安全性高、可操作性强的干预手段,近年来被发现与肠道菌群之间存在着紧密的联系,且由运动引发的肠道菌群良性改变还可能对肝功能产生积极影响。本文对近年运动调控肠道菌群防治肝脏疾病的前沿研究成果加以总结,以期为防治肝脏疾病提供理论参考。
核因子κB信号通路调控铁死亡的机制及在肝脏疾病中的作用
程新月, 史文杰, 刘熔, 禄保平
2025, 41(8): 1700-1707. DOI: 10.12449/JCH250835
摘要(705) HTML (349) PDF (984KB)(62)
摘要:
核因子κB(NF-κB)信号通路作为一种经典的炎症反应通路,在多种生理和病理过程中发挥着关键作用。铁死亡是一种新的非凋亡性细胞死亡形式,研究发现NF-κB信号通路与铁死亡之间存在紧密联系,影响着肝脏系统疾病的发生发展过程。因此,靶向NF-κB信号通路调节铁死亡在肝脏系统疾病的治疗中有巨大潜力。本文探讨了NF-κB信号通路对铁死亡过程中脂质代谢、铁离子代谢等关键环节的影响,以及正向或负向调控铁死亡的作用机制。同时,探讨了该信号通路调控铁死亡在肝损伤、非酒精性脂肪性肝病、酒精性肝病和肝细胞癌等肝脏系统疾病中的研究进展,为进一步理解肝脏疾病的发病机制以及开发新的治疗策略提供参考。
胆管细胞衰老在胆汁淤积性肝病中的作用机制及其靶向治疗进展
徐华明, 杨柳, 闫五玲, 郑思嘉, 杨念, 刘延鑫
2025, 41(8): 1708-1714. DOI: 10.12449/JCH250836
摘要(592) HTML (237) PDF (1160KB)(68)
摘要:
胆汁淤积性肝病(CLD)是由各种原因导致胆汁酸分泌和代谢障碍引起的肝脏病变,表现出许多慢性肝系疾病的共同病理特征。近年来,胆管细胞衰老(CS)在CLD发病过程中的作用越来越受到关注,不仅参与其发生和进展,而且与进程和预后显著相关。靶向清除胆管衰老细胞或阻断衰老相关通路可改善CLD。本文针对CS在CLD中的作用和影响因素、CLD现有研究进展进行归纳总结和探讨,以期为后续CLD的研究提供理论参考。
口腔菌群与胰腺疾病的关系
陈嘉芳, 庄铭泉, 林振和
2025, 41(8): 1715-1720. DOI: 10.12449/JCH250837
摘要(575) HTML (188) PDF (673KB)(77)
摘要:
口腔微生物群在人类健康和疾病状态中发挥着重要作用,相关研究已逐渐拓展至消化系统疾病领域。从胰腺组织中分离出的微生物群落在组成上与口腔菌群具有一定相似性,提示二者之间存在潜在生物学联系。基于口腔菌群采样方式无创、操作简便、储存成本低等优势,获取口腔菌群信息并识别其特征性变化具有可行性。这不仅有助于深入理解胰腺疾病的发病机制,还为开发新型诊断工具和个性化治疗方案奠定基础。本文系统综述了口腔菌群与胰腺疾病的关系,旨在为探索口腔菌群在胰腺疾病的早期诊断、预后评估及治疗中的潜在应用价值提供新思路。
国外期刊精品文章简介
JHEP Reports|自身免疫性肝炎相关肝硬化失代偿期患者经免疫抑制治疗后的再代偿
2025, 41(8): 1511-1511. DOI: 10.12449/JCH2508.gwqkjpwzjj1
摘要(352) HTML (124) PDF (1390KB)(63)
摘要:
Liver International|用于预测布加综合征再通治疗患者长期预后的新型评分系统
2025, 41(8): 1532-1532. DOI: 10.12449/JCH2508.gwqkjpwzjj2
摘要(295) HTML (113) PDF (859KB)(45)
摘要:
Gut Microbes|膳食胆固醇通过肠道微生物来源的脱氧胆酸损害肥胖小鼠的认知能力
2025, 41(8): 1540-1540. DOI: 10.12449/JCH2508.gwqkjpwzjj3
摘要(295) HTML (100) PDF (852KB)(51)
摘要:
Clinical Gastroenterology and Hepatology|布加综合征的介入放射学管理:一项针对中国997例患者的10年回顾性多中心调查
2025, 41(8): 1578-1578. DOI: 10.12449/JCH2508.gwqkjpwzjj4
摘要(289) HTML (87) PDF (871KB)(64)
摘要:
读者·作者·编者
《临床肝胆病杂志》对作者姓名汉语拼音的书写要求
2025, 41(8): 1520-1520.
摘要(175) HTML (167) PDF (1195KB)(44)
摘要:
《临床肝胆病杂志》对形态学图片的质量和制作要求
2025, 41(8): 1570-1570.
摘要(202) HTML (132) PDF (824KB)(48)
摘要:
《临床肝胆病杂志》对稿件统计学处理的要求
2025, 41(8): 1661-1661.
摘要(205) HTML (163) PDF (845KB)(44)
摘要:
消息
《临床肝胆病杂志》被美国ProQuest数据库收录
2025, 41(8): 1486-1486.
摘要(173) HTML (159) PDF (839KB)(38)
摘要:
《临床肝胆病杂志》被美国BIOSIS Citation Index、BIOSIS Previews、Biological Abstracts数据库收录
2025, 41(8): 1496-1496.
摘要(159) HTML (148) PDF (1206KB)(39)
摘要:
《临床肝胆病杂志》入选“全球OA期刊索引(OAJ)”首批收录期刊
2025, 41(8): 1648-1648.
摘要(151) HTML (141) PDF (844KB)(37)
摘要:
《临床肝胆病杂志》2025年1~12期重点号选题及执行主编
2025, 41(8): 1678-1678.
摘要(197) HTML (194) PDF (836KB)(43)
摘要:
致谢
本期审稿专家
2025, 41(8): 1654-1654. DOI: 10.12449/JCH2508.zhixie
摘要: