中文English
ISSN 1001-5256 (Print)
ISSN 2097-3497 (Online)
CN 22-1108/R

留言板

尊敬的读者、作者、审稿人, 关于本刊的投稿、审稿、编辑和出版的任何问题, 您可以本页添加留言。我们将尽快给您答复。谢谢您的支持!

姓名
邮箱
手机号码
标题
留言内容
验证码

第40卷 第4期(总282期) 2024年4月
“消除丙型肝炎病毒感染”  重点号
执行主编:陈红松,饶慧瑛
北京大学人民医院

显示方式:
述评
中国丙型肝炎病毒感染的现状及清除进程
张海莹, 饶慧瑛, 陈红松
2024, 40(4): 649-653. DOI: 10.12449/JCH240401
摘要(2142) HTML (1052) PDF (689KB)(388)
摘要:
丙型肝炎可发展为肝硬化或者肝细胞癌,给患者家庭和社会造成沉重的疾病负担。丙型肝炎是人类面临的重大公共威胁之一,消除丙型肝炎是人类共同的目标。直接抗病毒药物(DAA)治疗是目前较为安全可达到较高的治愈率的丙型肝炎治疗方案,可以靶向不同HCV基因型,使得HCV感染消除成为可能。我国积极推广DAA临床应用,加快药物审批,提高DAA可及性,加强人群干预。国家医疗保障局逐步将DAA纳入国家医保目录,为消除HCV感染提供了有力保障。为响应世界卫生组织提出的2030年消除病毒性肝炎作为公共卫生危害的目标,近年来我国相继发布国家策略规划及行动计划,在HCV感染消除工作中取得了较大的成就,形成全社会多部门联合防治,积极迈向消除HCV感染的目标。本文着眼于国内HCV感染的现状和防治工作进展突出的防治消除策略,分析总结HCV感染防治微消除的实践进程,为我国开展HCV感染消除工作提供政策参考,助力实现全面消除HCV感染的目标。
专家论坛
妊娠期妇女和儿童丙型肝炎的管理
刘奕杉, 张兰婷, 赵蕴玉, 纪泛扑, 曾庆磊
2024, 40(4): 654-658. DOI: 10.12449/JCH240402
摘要(1175) HTML (296) PDF (643KB)(181)
摘要:
HCV感染是全球性的公共卫生问题,直接抗病毒药物的出现为丙型肝炎患者的治疗带来了革命性的突破。尽管直接抗病毒药物在成人患者中的治疗效果显著,但对于孕妇、婴幼儿、青少年这一特殊人群的治疗仍存在诸多挑战。本文旨在探讨这些特殊丙型肝炎人群在抗病毒治疗方面的现状及尚需解决的问题,以期为临床工作者提供参考与借鉴。
血液透析人群中消除丙型肝炎病毒感染
甘良英, 左力
2024, 40(4): 659-664. DOI: 10.12449/JCH240403
摘要(1326) HTML (310) PDF (645KB)(139)
摘要:
我国血液透析人群呈逐年增长的趋势。由于血液透析治疗的特殊性,血液透析患者的丙型肝炎病毒(HCV)感染的患病率和新发病率都远高于普通人群。为了实现世界卫生组织2030年消除丙型肝炎公共卫生危害的倡议,实现血液透析人群的微消除,应严格执行标准预防,做好手卫生,切断医源性感染的途径,特别是避免血液透析中心的HCV感染暴发;对新入和转换透析中心的患者进行HCV感染筛查,对维持性血液透析患者定期筛查,及早发现HCV新发感染;与专科医生合作,对有HCV感染的血液透析患者进行直接抗病毒药物治疗。
丙型肝炎病毒感染与器官移植
张莉, 胡鹏
2024, 40(4): 665-671. DOI: 10.12449/JCH240404
摘要(778) HTML (251) PDF (710KB)(92)
摘要:
近年来,在器官移植候选者和受者中预防和治疗HCV的策略发展迅速。尽管HCV感染在肝或非肝实体器官移植中不再威胁移植结果,但它们仍然是研究的焦点。由于丙型肝炎仍然是全球因肝硬化失代偿期、肝衰竭和肝细胞癌而死亡的主要原因,因此需要合适的采取器官移植,以提高生存率和生活质量。而近年来随着HCV阳性实体器官供体的增加,且对器官的需求仍显著超过供应,随着直接抗病毒药物的发展,全球逐渐开展将HCV阳性供体器官移植到HCV阴性受体中,这将可能显著提高移植率并降低等候名单死亡率。目前抗HCV治疗的有效性创造了一个重要的机会,通过增加器官移植的可及性和降低候诊死亡率将显著提高终末器官衰竭患者的生存率。
丙型肝炎病毒感染的实验室检测方法及策略
王宇, 邢文革, 刘中夫, 金聪
2024, 40(4): 672-678. DOI: 10.12449/JCH240405
摘要(1347) HTML (640) PDF (928KB)(245)
摘要:
丙型肝炎病毒(HCV)感染的实验室检测为HCV感染者的检测发现和诊断提供关键依据。近年来,HCV感染检测技术不断发展,检测试剂性能显著提高,新的检测服务策略不断出现并逐步推广应用。本文归纳了国内外HCV感染的实验室检测方法及检测策略,总结了HCV感染检测的方法,分析了新方法和新策略对我国HCV感染防控带来的影响。及时准确的实验室检测方法和有效可行的检测策略有助于HCV感染的早发现、早诊断、早治疗,最终实现2030年消除病毒性肝炎主要公共卫生危害的战略目标。
指南与规范
《2023年美国肝病学会实践指南: 慢加急性肝衰竭和肝硬化危重症患者管理》摘译
熊号峰, 孙丽莹
2024, 40(4): 679-681. DOI: 10.12449/JCH240406
摘要(1600) HTML (506) PDF (488KB)(362)
摘要:
美国肝病学会专家小组于2023年11月9日在Hepatology发表了慢加急性肝衰竭(ACLF)和肝硬化危重症患者管理实践指南。该指南对ACLF的定义、预测模型、肝硬化合并ACLF和/或危重症患者脏器功能衰竭管理等进行了详细地阐述,本文对其要点进行摘译。
《肿瘤外科学年鉴: 肝外胆管癌和胆囊癌临床诊疗指南》推荐意见
郭伟, 李鑫, 王明达, 杨田
2024, 40(4): 682-687. DOI: 10.12449/JCH240407
摘要(2639) HTML (1148) PDF (997KB)(459)
摘要:
胆道恶性肿瘤是一类发病率低但侵袭性强的消化道肿瘤,主要包括肝内胆管癌、肝外胆管癌和胆囊癌,常常伴随着局部进展或远处转移等特征。对于局部可切除的患者而言,手术往往是首选的治疗方法。然而,即便患者接受根治性手术其术后复发风险依然很高。因此,对于胆道恶性肿瘤患者而言,通常需要采取多种治疗模式,包括手术切除、全身治疗(如靶向治疗、化学治疗、免疫治疗)以及/或局部治疗的综合方案。随着胆道恶性肿瘤领域的逐渐发展,对于外科肿瘤学家而言,了解并掌握最新的外科诊疗策略以及最佳患者的选择和管理体系至关重要。鉴于治疗的复杂性和诊疗技术不断发展的特点,美国肿瘤外科学权威期刊《肿瘤外科学年鉴》于近期发表了关于肝胆肿瘤的实践诊疗指南,主要包括肝细胞癌、肝内胆管癌、肝外胆管癌和胆囊癌,旨在为肝胆肿瘤患者的临床管理和决策制定提供更多基于循证医学的证据。限于篇幅和不同侧重点,本文着重介绍该指南中关于肝外胆管癌和胆囊癌的评估要点和临床治疗的相关建议,以供临床参考。
脂肪性肝病
尿液铊与非酒精性脂肪性肝病的相关性分析
刘亚杰, 王睿林, 梁子晗, 李佳辉, 郝玉洁
2024, 40(4): 688-693. DOI: 10.12449/JCH240408
摘要(892) HTML (254) PDF (791KB)(105)
摘要:
  目的  探讨尿液铊(TL)与非酒精性脂肪性肝病(NAFLD)的关系。  方法  选取2017—2020年美国健康与营养检查调查数据(NHANES)中年龄≥18岁的注册参与者,并排除缺乏肝脏瞬时弹性成像数据、尿液TL指标及患有乙型肝炎、丙型肝炎、饮酒量显著的人群。将纳入人群分为NAFLD组和Non-NAFLD组,采用高效液相色谱-电喷雾电离-串联质谱和在线固相萃取联合同位素稀释等方法定量检测尿液TL水平,比较两组人群年龄、性别、种族、婚姻状况、教育、家庭收入与贫困比比值(FMPIR)、体质量指数(BMI)、吸烟、喝酒、糖尿病(DM)、高血压(HTN)、高脂血症(HL)、尿液TL水平。计量资料两组间比较采用成组t检验或Wilicoxon秩和检验;计数资料两组间比较采用χ2检验。通过描述性分析、多因素Logistic回归、限制性三次样条回归分析、亚组分析、交互作用,探究尿液TL与NAFLD的风险关联。  结果  共纳入2 511例,NAFLD组1 612例(64.20%),Non-NAFLD组899例(35.80%),NAFLD组尿液TL水平明显高于Non-NAFLD组,差异具有统计学意义[0.18(0.11~0.26)μg/L vs 0.16(0.09~0.25)μg/L,Z=-2.76,P=0.01]。调整年龄、性别、种族、教育、婚姻状况、FMPIR、BMI、吸烟、喝酒、DM、HTN、HL协变量后,尿液TL Q4组[比值比(OR)=1.90,95%CI:1.48~2.44]患NAFLD风险显著增加(P<0.01)。尿液TL与患NAFLD的风险存在正向剂量-反应关系(P<0.01)且为非线性关系(P<0.01)。尿液TL与吸烟、BMI之间存在显著的交互作用(P<0.05),一生吸烟≥100支的人群尿液TL每上升一个四分位数患NAFLD的风险增加50%(OR=1.50,95%CI:1.24~1.80),一生吸烟<100支的人群尿液TL每上升一个四分位数患NAFLD的风险增加20%(OR=1.20,95%CI:1.03~1.40),BMI≥30 kg/m2的人群尿液TL每上升一个四分位数患NAFLD的风险增加30%(OR=1.30,95%CI:1.05~1.70),差异具有统计学意义(P<0.05)。  结论  尿液TL水平与患NAFLD的风险显著相关。
Fetuin-A、Fetuin-B及胰岛素抵抗指数对非酒精性脂肪性肝病的预测价值
杨素莲, 施荣杰, 李利华
2024, 40(4): 694-699. DOI: 10.12449/JCH240409
摘要(1063) HTML (337) PDF (724KB)(90)
摘要:
  目的  探讨血清Fetuin-A、Fetuin-B联合胰岛素抵抗指数(HOMA-IR)对非酒精性脂肪性肝病(NAFLD)的预测价值。  方法  连续选取2020年6月—2021年6月大理大学第一附属医院消化内科就诊的120例NAFLD患者和体检中心的120例健康体检人群为研究对象,收集其临床数据资料,并检测血清Fetuin-A、Fetuin-B水平。计量资料两组间比较采用成组t检验或Mann-Whitney U检验;计数资料两组间比较采用χ2检验。多因素Logistic回归分析NAFLD患者的危险因素。构建受试者工作特征曲线(ROC曲线)评估Fetuin-A、Fetuin-B联合HOMA-IR对NAFLD患者的预测效能。  结果  NAFLD组患者的体质量指数、收缩压、舒张压、ALT、AST、空腹血糖、空腹胰岛素、甘油三酯、HOMA-IR、Fetuin-A和Fetuin-B等均高于健康对照组(P值均<0.05)。多因素Logistic回归分析显示Fetuin-A(OR=1.010,95%CI:1.001~1.020,P<0.05)、Fetuin-B(OR=1.113,95%CI:1.021~1.214,P<0.05)和HOMA-IR(OR=24.053,95%CI:2.624~220.470,P<0.05)是NAFLD的独立危险因素。ROC曲线显示,Fetuin-A、Fetuin-B、HOMA-IR、Fetuin-A联合Fetuin-B、Fetuin-A联合HOMA-IR、Fetuin-B联合HOMA-IR以及三者联合预测NAFLD的ROC曲线下面积分别为0.637(95%CI:0.551~0.722)、0.853(95%CI:0.796~0.912)、0.837(95%CI:0.763~0.912)、0.853(95%CI:0.795~0.911)、0.843(95%CI:0.770~0.916)、0.922(95%CI:0.877~0.967)和0.922(95%CI:0.877~0.966)。  结论  Fetuin-A、Fetuin-B对NAFLD有一定的预测价值,Fetuin-B联合HOMA-IR的预测价值更高。
ACAT1和MTNR1B基因多态性与非酒精性脂肪性肝病易感性的关系
马磊, 胡欣欣, 赵波, 万强, 周林, 赵真真, 辛永宁
2024, 40(4): 700-705. DOI: 10.12449/JCH240410
摘要(1108) HTML (420) PDF (644KB)(64)
摘要:
  目的  本研究拟探讨乙酰辅酶A乙酰转移酶1(ACAT1)和褪黑激素受体1B(MTNR1B)基因多态性与非酒精性脂肪性肝病(NAFLD)疾病易感性的关系。  方法  本研究共纳入2020年12月—2022年6月就诊于青岛市市立医院的健康体检者164例、NAFLD患者228例。采用PCR及测序的方法对ACAT1 rs1044925、rs1157651和MTNR1B rs10830963基因多态性进行基因分型,并采集空腹静脉血进行生化检测。符合正态分布的计量资料两组间比较采用成组t检验;非正态分布的计量资料两组间比较采用Mann-Whitney U非参数检验;计数资料两组间比较采用χ2检验。  结果  ACAT1 rs1044925、rs1157651和MTNR1B rs10830963基因型分布在NAFLD及健康对照组间无统计学差异(P值均>0.05),ACAT1 rs1044925 AA基因型携带者的LDL水平明显高于C等位基因携带者(Z=-2.08,P=0.04),MTNR1B rs10830963 G等位基因携带者空腹血糖水平明显高于CC基因型携带者(Z=-3.01,P<0.01)。  结论  ACAT1 rs1044925、rs1157651和MTNR1B rs10830963多态性与NAFLD易感性无明显相关,ACAT1 rs1044925和MTNR1B rs10830963位点分别与LDL和空腹血糖水平有关。
金雀异黄素在去卵巢非酒精性脂肪性肝病小鼠模型中的保护作用及机制
朱项羽, 金涌
2024, 40(4): 706-711. DOI: 10.12449/JCH240411
摘要(1161) HTML (315) PDF (1690KB)(76)
摘要:
  目的  探讨金雀异黄素(Genistein)在去卵巢(OVX)小鼠非酒精性脂肪性肝病(NAFLD)中的保护作用及机制。  方法  取40只6周龄雌性C57BL/6小鼠建立OVX小鼠模型,随机分为5组,每组8只,分别为对照组、模型4周组、模型6周组、模型8周组、模型10周组。相同环境下,采用高脂饮食对5组OVX小鼠进行饮食造模,病理学检查显示,经10周高脂饮食诱导NAFLD成功。另取40只6周龄雌性C57BL/6小鼠随机分为5组:空白组、假手术(Sham)组、OVX组、OVX+L-Genistein(4 mg/kg体质量)组、OVX+H-Genistein(8 mg/kg体质量)组。Sham组进行相同的OVX手术过程,但不结扎卵巢动脉和切除卵巢。空白组小鼠正常饮食喂养,其余各组供给高脂饮食。将Genistein溶解在DMSO中,Sham组和OVX组的动物仅用溶媒溶液处理,所有小鼠每天灌胃给药1次,持续10周。记录小鼠体质量及脏器指数,处死小鼠并收集血清及肝组织。试剂盒检测血清ALT、AST活性及TG、TC水平。HE和油红O染色观察肝组织病理。通过Western Blot分析肝组织中脂质代谢相关的固醇调节元件结合蛋白1(SREBP-1c)、过氧化物酶体增殖物激活受体α(PPARα)的蛋白表达。计量资料多组间比较采用单因素方差分析,进一步两组间比较采用Dunnett-t检验。  结果  高脂饮食10周后,Genistein低、高剂量组的体质量、肝指数和肝质量均低于OVX组(P值均<0.05)。此外,Genistein显著下调了血清TC、TG水平(P值均<0.05),降低了血清中AST和ALT活性(P值均<0.05)。HE和油红O染色结果表明,Genistein低、高剂量组较OVX组脂滴累积明显减少。Western Blot分析结果显示,给予Genistein干预后,SREBP-1c的蛋白表达量明显下降,PPARα的蛋白表达量明显升高(P值均<0.05)。  结论  Genistein对OVX小鼠NAFLD具有保护作用,其部分作用机制可能与调节SREBP-1c、PPARα的表达有关,从而促进脂肪酸氧化和抑制肝脏脂质合成。
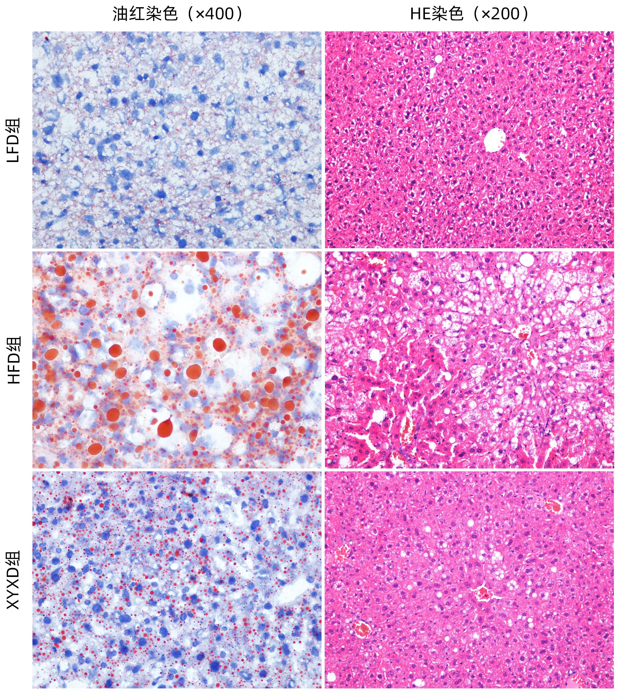
下瘀血汤对高脂饮食诱导的非酒精性脂肪性肝病小鼠模型的治疗作用及机制
侯林圻, 王知意, 赵鑫, 张洁, 马文婷, 刘旭凌, 张玮, 陶乐, 刘成, 吴柳
2024, 40(4): 712-719. DOI: 10.12449/JCH240412
摘要(1540) HTML (452) PDF (2184KB)(93)
摘要:
  目的  探讨下瘀血汤调控核苷酸结合寡聚化结构域样受体含pyrin结构域蛋白6(NLRP6)抑制高脂饮食(HFD)诱导的小鼠非酒精性脂肪性肝病(NAFLD)的作用机制。  方法  15只雄性C57BL/6小鼠随机分为低脂饮食(LFD)组、HFD组和下瘀血汤-HFD(XYXD)组,每组各5只。测量肝功能指标ALT和AST、血脂代谢指标TG、TC水平;肝组织经过HE染色、油红O染色,观察小鼠组织形态、脂滴沉积;实时荧光定量PCR检测肝组织中炎症因子TNF-α、IL-1β、IL-6及NLRP6表达水平;Western Blot检测NLRP6、NF-κB和NF-κB p65蛋白水平;免疫组化检测NLRP6和CD68表达。棕榈酸(PA)、脂多糖(LPS)和下瘀血汤含药血清处理鼠Raw264.7细胞,检测炎症情况。计量资料多组间比较采用单因素方差分析,进一步两两比较采用LSD-t检验。  结果  与LFD组比较,HFD组血清ALT、AST和TC、TG水平显著升高(P值均<0.05)。肝组织病理学显示,HFD组肝脂肪变性明显,NAS评分显著升高(P<0.05);实时荧光定量PCR结果显示,IL-1β、IL-18等炎症相关因子显著升高,NLRP6表达显著下调(P值均<0.05)。免疫组化显示NLRP6表达与巨噬细胞标志物CD68重合。Western Blot显示,NLRP6表达下调后,磷酸化的NF-κB p65(p-NF-κB p65)显著上调(P<0.05)。与HFD组相比,下瘀血汤可有效改善HFD小鼠的肝脏炎症,上调NLRP6的表达,下调p-NF-κB p65(P<0.05)。PA处理Raw264.7细胞后下调NLRP6,促进炎症进展(P<0.05);下瘀血汤处理可上调NLRP6,抑制炎症和NF-κB(P<0.05)。  结论  下瘀血汤可显著改善HFD诱导NAFLD小鼠模型的肝脂肪变性和炎症,调控NLRP6/NF-κB减轻巨噬细胞活化可能是其作用机制之一。
肝纤维化及肝硬化
磁共振成像胆道评分和肝肌比值评估肝纤维化病理分级的价值
黄璐, 陆力坚
2024, 40(4): 720-725. DOI: 10.12449/JCH240413
摘要(1185) HTML (326) PDF (1168KB)(69)
摘要:
  目的  探讨钆塞酸二钠多期增强MRI扫描所得胆道评分和肝肌比值在评估肝纤维化病理分级中的应用价值。  方法  回顾性分析2020年1月—2023年5月广西医科大学附属武鸣医院51例慢性乙型肝炎肝纤维化患者的MRI和临床资料。将51例肝纤维化患者分为两组,其中S1、S2期为低级别组(n=30),S3、S4期为高级别组(n=21)。扫描采用GE Architact 3.0T磁共振扫描仪,包括常规肝脏平扫,动脉期、门静脉期、延迟期、肝胆期、排泄期的增强扫描。对不同级别肝纤维化患者进行胆道评分和测量肝肌比值。计量资料组间比较采用成组t检验,计数资料组间比较采用χ2检验或Fisher确切检验法。绘制受试者工作特征曲线(ROC曲线)评价MRI指标对肝纤维化病理分级的诊断价值。  结果  低级别组胆道评分(3.67±0.55)大于高级别组(2.57±0.75)(t=6.05,P<0.001);低级别组门静脉期、延迟期、肝胆期的肝肌比值(2.38±0.76,2.48±0.70,4.10±0.63)均大于高级别组(1.97±0.18,1.99±0.27,3.16±0.47)(t值分别为2.41、3.09、5.81,P值分别为0.020、0.003、<0.001)。上述指标区分低、高级别肝纤维化的ROC曲线下面积分别为0.86、0.79、0.82、0.88,诊断高级别肝纤维化的敏感度分别为70%、63.3%、83.3%、96.7%,特异度分别为90%、95.2%、74.1%、100%。胆道评分联合肝胆期肝肌比值的ROC曲线下面积达0.95,敏感度85.7%,特异度96.7%。  结论  MRI钆塞酸二钠多期增强扫描所得胆道评分和肝胆期肝肌比值在区分低、高级别肝纤维化方面具有较高的诊断效能,对临床肝纤维化的诊治有一定的指导价值。
1990—2019年中国肝硬化疾病负担变化趋势分析
刘珊山, 于晓辉, 秦建伟
2024, 40(4): 726-733. DOI: 10.12449/JCH240414
摘要(3305) HTML (1045) PDF (1660KB)(480)
摘要:
  目的  分析1990—2019年中国人群肝硬化流行情况和疾病负担变化趋势,为中国肝硬化防治策略的制定提供数据参考。  方法  从2019年全球疾病负担(GBD 2019)收集整理1990—2019年中国肝硬化发病、死亡、伤残调整寿命年(DALY)、过早死亡损失寿命年(YLL)、伤残损失寿命年(YLD)等疾病负担数据,使用Joinpoint回归模型分析其疾病负担变化趋势,使用年龄-时期-队列(APC)模型评估年龄、时期和队列效应,使用R软件BAPC包预测未来疾病负担变化情况。  结果  与1990年相比,2019年中国总体、男性和女性人群肝硬化发病例数和患病例数均有所上升,而死亡例数有所下降。1990—2019年中国人群肝硬化标化发病率、标化患病率和标化死亡率均呈下降趋势,平均每年分别下降0.62%(95%CI:-0.74%~-0.50%,t=9.99,P<0.001)、0.44%(95%CI:-0.53%~-0.35%,t=13.18,P<0.001)和3.02%(95%CI:-3.12%~-2.93%,t=7.58,P<0.001)。1990—2019年中国人群肝硬化标化DALY率、YLL率和YLD率均呈下降趋势,平均每年分别下降3.27%(95%CI:-3.37%~-3.18%,t=6.22,P<0.001)、3.32%(95%CI:-3.42%~-3.22%,t=9.31,P<0.001)和1.42%(95%CI:-1.49%~-1.34%,t=4.93,P<0.001)。1990—2019年中国人群肝硬化发病率随年龄增长呈先上升后下降趋势,死亡率呈上升趋势;发病风险和死亡风险随时间和出生队列推移均呈现下降趋势。预测模型显示,2020—2030年中国肝硬化造成的标化发病率、患病率、死亡率和DALY率均呈下降趋势。男性和女性最主要的危险因素均是酒精,其次是药物。  结论  1990—2019年中国肝硬化疾病负担呈下降趋势,且存在性别和年龄差异,中年男性人群是肝硬化疾病负担的重点人群,应采取有效措施进行干预。
金属夹辅助内镜超声引导组织胶注射治疗合并胃肾分流的肝硬化胃静脉曲张患者的效果初探
马佳丽, 艾正琳, 胡居龙, 蒋煜, 周玉玲, 梁秀霞, 魏红山, 李坪
2024, 40(4): 734-738. DOI: 10.12449/JCH240415
摘要(1108) HTML (309) PDF (1036KB)(60)
摘要:
  目的  探讨金属夹辅助内镜超声引导组织胶注射治疗合并胃肾分流的胃静脉曲张患者的效果及安全性。  方法  纳入2023年2月—2023年6月因肝硬化伴胃静脉曲张于首都医科大学附属北京地坛医院就诊,证实存在胃肾分流(GRS),并接受金属夹辅助内镜超声引导组织胶注射治疗的患者。主要的评价指标是术后曲张静脉减轻或消失情况,次要评价指标为手术完成情况及并发症。  结果  共11例合并GRS的胃静脉曲张患者纳入研究,男7例,女4例;中位年龄55岁;肝功能Child-Pugh A级1例,Child-Pugh B级7例,Child-Pugh C级3例;分流道最大直径(中位)8 mm,最小直径(中位)4 mm。治疗前靶血管血流中位流速11 cm/s,金属夹阻断后靶血管中位流速5 cm/s;中位组织胶使用量2 mL,聚桂醇使用量均为1 mL。所有患者手术结束后血流信号100%消失,手术成功率100%。随访6周患者均无再出血发生。术后1个月复查胃镜示静脉曲张根除或基本消失9例,静脉曲张改善2例。  结论  对于合并GRS的胃静脉曲张肝硬化患者,金属夹辅助内镜超声引导组织胶注射治疗是一种可行,安全,有效的方法。
超声内镜引导下置入弹簧圈联合组织胶注射治疗合并自发性分流的胃静脉曲张的效果分析
汤雅芬, 蒋智洋, 龙丹, 陈金敏, 高山
2024, 40(4): 739-744. DOI: 10.12449/JCH240416
摘要(1081) HTML (581) PDF (917KB)(77)
摘要:
  目的  评估超声内镜(EUS)引导下置入弹簧圈联合组织胶注射(ECI)治疗合并自发性分流的胃静脉曲张的有效性、安全性和经济性。  方法  回顾性分析2019年3月—2022年9月因急性胃静脉曲张出血合并自发性门体分流在襄阳市中心医院住院并接受改良球囊封堵逆行静脉闭塞术(BRTO)联合内镜下ECI或EUS引导下置入弹簧圈联合ECI治疗的患者。统计分析两种手术方式的疗效(技术成功率,5天、1年再出血率,再出血时间)、安全性(异位栓塞发生率、组织胶用量、聚桂醇用量)和经济性(住院费用和时间)差异。符合正态分布的计量资料两组间比较采用成组t检验,不符合正态分布的计量资料两组间比较采用Mann-Whitney U检验。采用Kaplan-Meier法对再出血情况进行评估和比较。计数资料两组间比较采用χ2检验。  结果  25例患者在EUS引导下成功放置弹簧圈并注射组织胶,技术成功率100%,中位组织胶用量为2.5 mL,中位聚桂醇用量为11.0 mL,平均住院时间为(14.88±3.21)d,平均住院费用为(32 660.00±4 602.07)元,5天再出血率为0;2例失访,23例完整随访患者中住院期间异位栓塞发生率为0,中位再出血时间为689 d。14例患者接受改良BRTO联合内镜下ECI,技术成功率100%,术中中位组织胶用量为5.0 mL,高于EUS组(U=39.000,P<0.001),中位聚桂醇用量为10.5 mL;平均住院时间为(15.38±4.94)d;平均住院费用为(57 583.47±18 955.40)元,高于EUS组(t=-6.310,P<0.001);5天再出血率为0;无失访,14例完整随访患者中住院期间异位栓塞发生率为0,中位再出血时间为244.50 d。Kaplan-Meier生存曲线分析表明,2组患者再出血风险无明显差异(χ2=1.448,P=0.229)。  结论  EUS引导置入弹簧圈联合ECI是一种相对安全有效的胃静脉曲张出血治疗技术,技术成功率高,严重不良事件发生率低,疗效与BRTO手术无明显差异,但安全性和经济性更高。
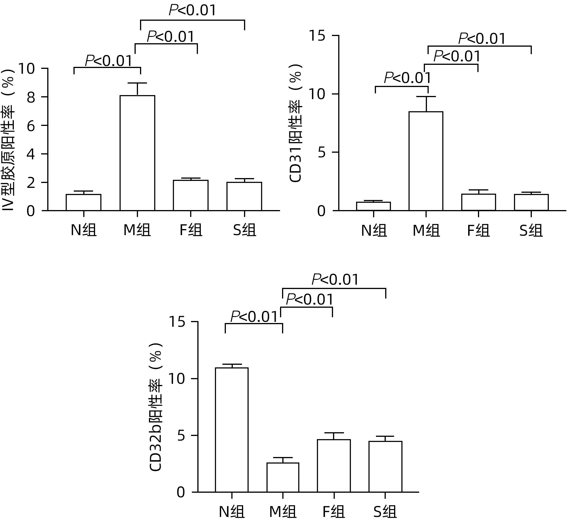
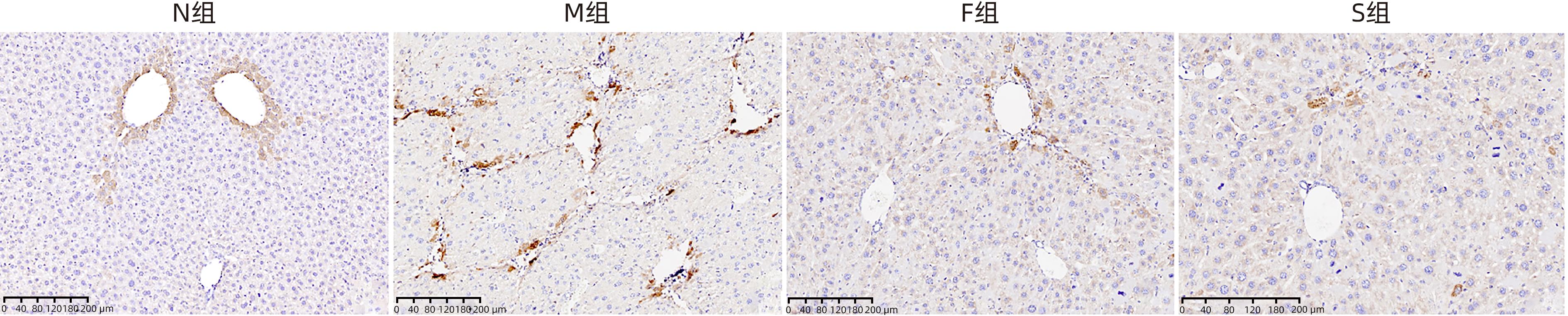
扶正化瘀方对肝硬化小鼠模型肝细胞消亡与再生的影响
朱亭亭, 齐婧姝, 郭亚楠, 刘洪亮, 陶艳艳, 赵志敏, 李正鑫, 刘成海
2024, 40(4): 745-752. DOI: 10.12449/JCH240417
摘要(1387) HTML (601) PDF (4131KB)(72)
摘要:
  目的  探讨扶正化瘀方对纤维化肝脏肝细胞消亡与再生的影响,及其药物促进肝细胞再生的作用机制。  方法  以CCl4腹腔注射6周诱导建立肝硬化小鼠模型。正常对照组9只,模型组10只,索拉非尼组10只,扶正化瘀方组10只。自造模第4周起,扶正化瘀方组、索拉非尼组分别给予4.8 g/kg、4 mg/kg小鼠体质量相应药物灌胃,连续3周;正常组和模型组给予等体积羧甲基纤维素钠。检测血清肝功能;METAVIR评分系统评价肝组织炎症及纤维化分期;天狼星红染色和肝组织羟脯氨酸含量评价胶原沉积量;免疫组化检测Ⅳ型胶原、CD31与CD32b、Ki67、CyclinD1、谷氨酰胺合成酶(GS)、Wnt2以及HGF蛋白的表达;Western Blot检测肝组织Wnt2、LRP6、β-catenin、p-β-catenin、CyclinD1表达。计量资料多组间比较采用单因素方差分析,进一步两两比较采用LSD-t检验。  结果  与模型组比较,扶正化瘀方组和索拉非尼组血清ALT、AST水平和肝组织羟脯氨酸含量均降低(P值均<0.01),METAVIR评分减低(P值均<0.05);Ⅳ型胶原、CD31表达减少(P值均<0.05),CD32b表达增加(P<0.01);肝组织实质病变消亡数量减少,Ki67、CyclinD1表达上升(P值均<0.01);Wnt2、LRP6、β-catenin、CyclinD1蛋白表达水平上调、p-β-catenin表达显著下调(P值均<0.05);肝组织CD32b与Wnt2共染阳性细胞显著增多。  结论  扶正化瘀方可通过抑制肝窦毛细血管化,改善肝窦内皮细胞Wnt2外分泌功能,激活肝细胞再生相关Wnt/β-catenin信号通路,最终逆转肝硬化。
肝脏肿瘤
甘油三酯与高密度脂蛋白胆固醇比值(TG/HDL-C)对原发性肝癌发病的影响
贾建国, 马向明, 田菲, 张亚丽, 戴佳盈, 罗赛芳, 曹立瀛
2024, 40(4): 753-759. DOI: 10.12449/JCH240418
摘要(2100) HTML (1106) PDF (802KB)(87)
摘要:
  目的  探究甘油三酯与高密度脂蛋白胆固醇比值(TG/HDL-C)对原发性肝癌发病的影响。  方法  采用前瞻性队列研究的方式,收集2006年7月—2007年12月参加开滦集团健康体检的99 750例在职及离退休职工的体检资料,并对其原发性肝癌的发病情况进行随访,随访截止时间为2021年12月31日。根据TG/HDL-C三分位水平将受试者分成3组,分别为Q1组(TC/HDL-C<0.66,n=33 229)、Q2组(0.66≤TC/HDL-C<1.14,n=33 302)、Q3组(TC/HDL-C≥1.14,n=33 219)。计算各组原发性肝癌的发病密度。符合正态分布的计量资料多组间比较采用单因素方差分析;符合偏态分布的计量资料多组间比较采用Kruskal-Wallis H检验。计数资料组间比较采用χ2检验。采用Kaplan⁃Meier法计算各组原发性肝癌的累积发病率,以Log-rank检验比较各组间累积发病率的差异。采用Cox比例风险模型分析不同TG/HDL-C水平分组对原发性肝癌发病的影响。  结果  3组受试者年龄、男性比例、腰围、BMI、空腹血糖、收缩压、舒张压、TG、TC、HDL-C、LDL-C、ALT、超敏C-反应蛋白、慢性肝病、高血压病、糖尿病、恶性肿瘤家族史、饮酒、吸烟、体育锻炼、受教育程度组间对比差异均有统计学意义(P值均<0.05)。在平均(14.06±2.71)年的随访过程中,新发肝癌共计484例,其中男446例,女38例。Q1组、Q2组、Q3组原发性肝癌的发病密度分别是0.39/千人年、0.35/千人年、0.30/千人年。3组受试者的原发性肝癌累积发病率分别是6.03‰、5.28‰和4.49‰,经Log-rank检验,差异有统计学意义(χ2=6.06,P=0.048)。校正了考虑到的混杂因素后,Cox比例风险模型结果显示,以Q3组为对照,Q1、Q2组的风险比及95%可信区间分别为2.04(1.61~2.58)、1.53(1.21~1.92)(P for trend<0.05)。  结论  TG/HDL-C水平降低与原发性肝癌发病风险升高有关,特别是在慢性肝病的人群中这种关联更加明显。
其他肝病
慢加急性肝衰竭合并细菌感染患者的临床特征及早期预警指标筛选
毕占虎, 王临旭, 胡海峰, 杜虹, 丁一迪, 杨晓飞, 詹家燚, 胡飞, 余登辉, 徐洪凯, 连建奇
2024, 40(4): 760-766. DOI: 10.12449/JCH240419
摘要(1109) HTML (313) PDF (667KB)(105)
摘要:
  目的  探讨慢加急性肝衰竭(ACLF)合并细菌感染患者的临床特征以及与多重耐药菌感染相关的早期预警指标。  方法  回顾性选取2010年1月1日—2021年12月31日于空军军医大学第二附属医院就诊的ACLF合并细菌感染患者130例,根据药敏结果分为多重耐药菌感染组(n=80)与非多重耐药菌感染组(n=50)。比较两组患者一般资料和实验室检查结果,筛选与多重耐药菌感染相关的早期预警指标。符合正态分布且方差齐的计量资料两组间比较采用Student-t检验;不符合正态分布或方差不齐的计量资料两组间比较采用Mann-Whitney U检验。计数资料两组间比较采用χ2检验或Fisher精确概率法。采用二元Logistic回归和受试者工作特征曲线(ROC曲线)评估预警指标的预测价值。  结果  130例ACLF合并细菌感染的患者中,痰液(27.7%)是最常见检出标本,其后依次为血液(24.6%)、尿液(18.5%)、腹水(17.7%)等。细菌感染以革兰阴性菌为主(58.5%)。在所有细菌中,大肠埃希菌(18.5%)、肺炎克雷伯菌(14.6%)和屎肠球菌(13.8%)是最常见病原体。革兰阳性菌对红霉素(72.2%)、青霉素(57.4%)、氨苄青霉素(55.6%)、环丙沙星(53.7%)等抗菌药物的耐药率较高,而革兰阴性菌对氨苄青霉素(73.3%)、头孢唑林(50.0%)、头孢吡肟(47.4%)等抗菌药物的耐药率较高。ACLF合并细菌感染患者的多重耐药菌感染率(61.5%)较高。通过比较多重耐药和非多重耐药菌感染患者的临床资料发现,多重耐药菌感染患者的ALT(Z=2.089,P=0.037)、AST(Z=2.063,P=0.039)、WBC(Z=2.207,P=0.027)、单核细胞计数(Z=4.413,P<0.001)等指标高于非多重耐药患者。二元Logistic回归分析显示,单核细胞计数是多重耐药菌感染的独立危险因素(OR=7.120,95%CI:2.478~20.456,P<0.001),预测ACLF合并多重耐药菌感染的ROC曲线下面积为0.686(0.597~0.776)(P<0.001),最佳截断值为0.50×109/L,灵敏度为0.725,特异度为0.400。  结论  ACLF合并细菌感染以革兰阴性菌感染为主,以大肠埃希菌和肺炎克雷伯菌为常见病原体,临床多重耐药率高。单核细胞计数增高可作为区分多重耐药菌和非多重耐药菌感染的早期预警指标。
胆道疾病
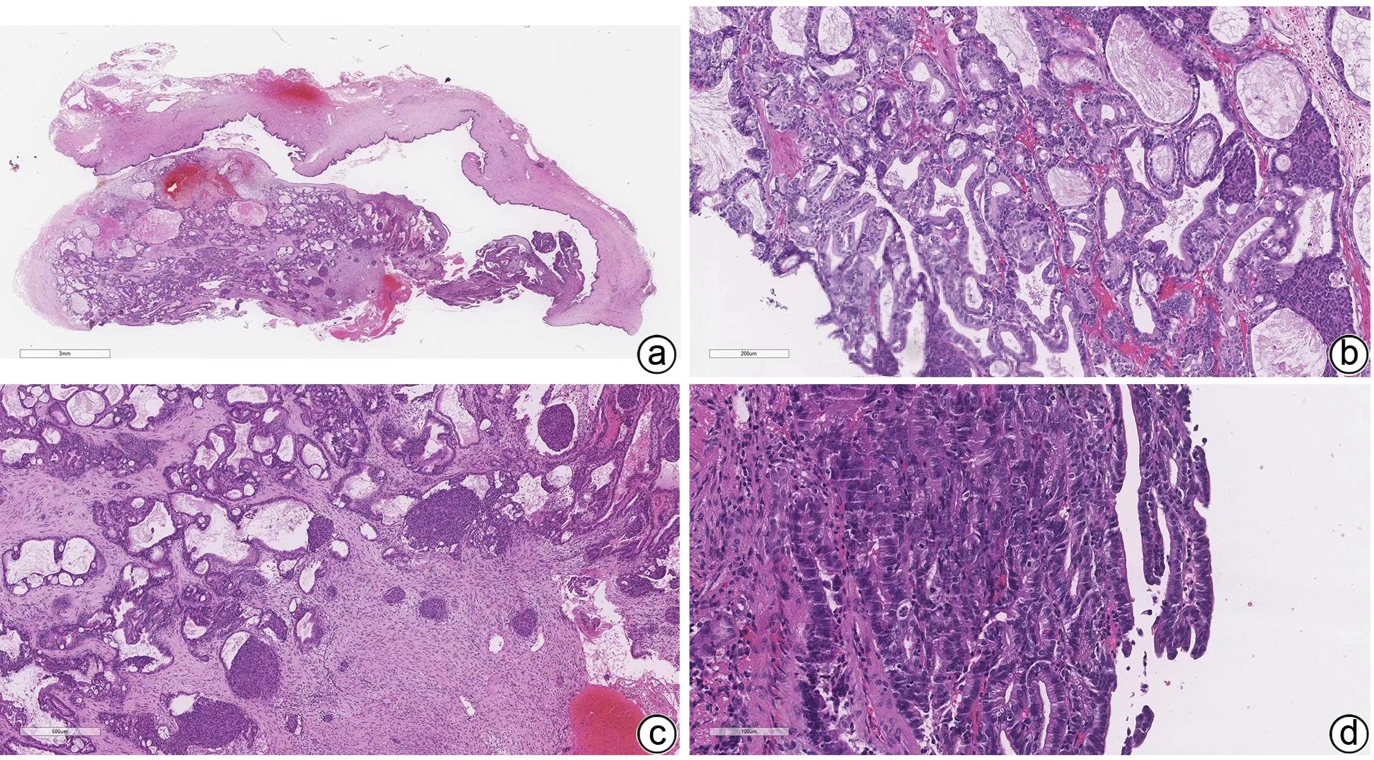
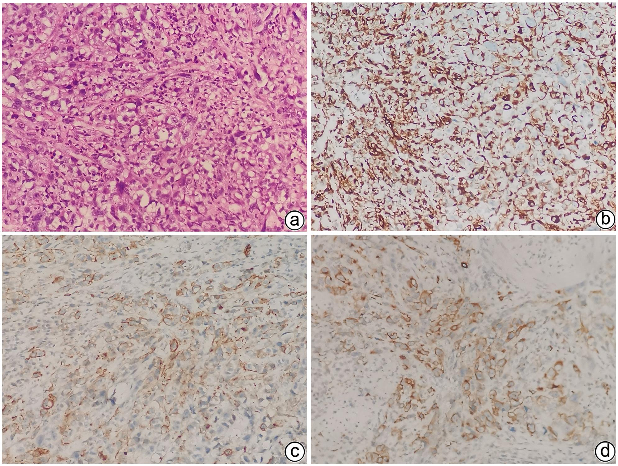
胆囊肉瘤样癌16例临床诊治及预后分析
周雅淑, 马怡晖, 裴家鑫, 孟园园, 郭鹏, 梁曦月, 路太英
2024, 40(4): 767-772. DOI: 10.12449/JCH240420
摘要(1270) HTML (361) PDF (1085KB)(79)
摘要:
  目的  分析胆囊肉瘤样癌(GBSC)的临床病理特征、诊疗方法及预后。  方法  回顾性分析2015年1月—2023年4月郑州大学第一附属医院收治的16例胆囊肉瘤样癌患者的临床资料,包括患者的一般资料、临床表现、影像学特点、病理学特点和治疗方式等,并进行随访。采用Kaplan-Meier法进行生存分析,并绘制生存曲线,Log-rank检验比较组间差异。  结果  16例患者中男6例,女10例,年龄(62.9±8.4)岁。主要临床表现为右上腹痛13例(81.3%)、恶心5例(31.3%)、腹胀4例(25.0%)、纳差3例(18.8%)、乏力2例(12.5%)、发热2例(12.5%)、黄疸1例(6.3%),3例为无症状体检发现。其中81.3%(13/16)的患者初诊时处于疾病晚期(Ⅲ/Ⅳ期)。组织病理学表现:镜下观部分癌细胞呈梭形,核分裂像多见且异形性明显。免疫组化分析显示:Vimentin阳性表达率100%(16/16),AE1/AE3阳性表达率100%(16/16),CK8/18阳性表达率100%(16/16),81.3%(13/16)的患者Ki-67增殖指数高表达(≥50%),中位数为70%(范围:20%~90%)。16例患者均行手术治疗,根治性手术11例,姑息性手术5例,其中R0切除者9例,R1切除者2例,R2切除者5例,7例术后接受辅助治疗。16例患者均取得有效随访,随访0.5~26.0个月,中位随访时间11.0个月。至随访结束,2例患者存活,14例患者死亡,死亡原因均为肿瘤复发或转移,中位生存时间为10.0个月,术后1年、2年累积生存率分别为31.3%、8.3%。预后分析显示TNM分期(χ2=6.727,P=0.009)、手术方式(χ2=7.508,P=0.006)、切缘情况(χ2=7.934,P=0.005)、辅助治疗(χ2=4.608,P=0.032)与患者预后相关。  结论  胆囊肉瘤样癌的临床表现无特异性,确诊依赖免疫组化,大多数患者初诊时疾病处于晚期,总体预后较差,目前尚无针对性治疗方法,切缘阴性的根治性手术及辅助治疗可提高患者的生存率。
胰腺疾病
胰十二指肠切除术后胰瘘风险预测模型的建立: 基于2016新版胰瘘定义及分级系统
余俊, 任超逸, 崔巍, 时静祥
2024, 40(4): 773-781. DOI: 10.12449/JCH240421
摘要(1216) HTML (381) PDF (797KB)(58)
摘要:
  目的  比较分析2005版、2016版胰瘘定义及分级标准导致的胰十二指肠切除术(PD)术后胰瘘危险因素的差异,根据2016版胰瘘标准建立胰瘘风险预测模型。  方法  回顾性分析天津市第三中心医院2016年1月—2022年5月收治的303例行PD患者的临床资料,根据新、旧版胰瘘标准统计术后胰瘘患者,计量资料组间比较采用成组t检验或非参数检验Mann-Whitney U检验;计数资料组间比较采用χ2检验。单因素及多因素Logistic回归分析筛选两版标准对PD患者术后胰瘘的危险因素的区别,基于2016新版标准建立术后胰瘘的风险预测模型,受试者工作特征曲线分析该模型预测术后胰瘘发生的准确性并验证该模型。  结果  2005版胰瘘标准:单因素分析显示主胰管直径(χ2=31.641,P<0.001)、主胰管指数(χ2=52.777,P<0.001)、门静脉侵犯(χ2=6.259,P=0.012)、腹腔内脂肪厚度(χ2=7.665,P=0.006)、术前胆道引流(χ2=5.999,P=0.014)、胰腺癌(χ2=5.544,P=0.019)、切缘胰腺厚度(t=2.055,P=0.032)、胰腺CT值(t=-3.224,P=0.002)、术前血淀粉酶水平(Z=-2.099,P=0.036)与术后胰瘘的发生相关,Logistic回归分析显示主胰管指数[OR(95%CI)=0.000(0.000~0.011)]、胰腺癌[OR(95%CI)=4.843(1.285~18.254)]、胰腺CT值[OR(95%CI)=0.869(0.806~0.937)]为独立危险因素(P值均<0.05);而基于2016版胰瘘标准:单因素分析显示主胰管直径(χ2=5.391,P=0.020)、主胰管指数(χ2=11.394,P=0.001)、腹腔内脂肪厚度(χ2=8.899,P=0.003)、胰腺切缘厚度(t=2.665,P=0.009)、胰腺CT值(t=-2.835,P=0.004)与术后胰瘘的发生相关,Logistic回归分析显示主胰管指数[OR(95%CI)=0.001(0.000~0.050)]、胰腺CT值[OR(95%CI)=0.943(0.894~0.994)]为独立危险因素(P值均<0.05)。据此建立PD术后胰瘘风险预测模型,受试者工作特征曲线分析表明该模型预测PD术后胰瘘的曲线下面积在建模组与验证组分别为0.788(95%CI:0.707~0.870)和0.804(95%CI:0.675~0.932)。  结论  主胰管指数、胰腺CT值与PD术后胰瘘的发生密切相关,基于2016新版胰瘘标准建立的胰瘘风险预测模型具有较好的预测性能。
松果菊苷对雨蛙素诱导的急性胰腺炎大鼠模型胰腺及肝损伤的影响与机制
马明和, 达哇卓玛, 刘川川, 樊海宁
2024, 40(4): 782-790. DOI: 10.12449/JCH240422
摘要(1513) HTML (488) PDF (3277KB)(77)
摘要:
  目的  通过建立急性胰腺炎(AP)大鼠模型,研究松果菊苷(ECH)对雨蛙素诱导的AP大鼠模型胰腺及肝损伤的改善作用及机制。  方法  24只SD大鼠随机分为空白组(Con组)、对照组(Con+ECH组)、AP组和AP+ECH组4组,每组各6只。AP模型构建前7 d给予10 mg/kg ECH腹腔注射,雨蛙素末次给药24 h后,腹主动脉取血,分离血清行ALT、AST、乳酸脱氢酶(LDH)、GGT、ALP、Alb、TBil、胆碱酯酶(ChE)、血淀粉酶(Amy)、脂肪酶(LPS)等生化检测;HE染色检测胰腺和肝组织病理学改变;透射电镜观察胰腺和肝组织微观结构改变;ELISA检测肝组织匀浆中IL-1β、IL-6、TNF-α、IL-10水平;免疫组化分析胰腺和肝组织中TNF-α和p-p65 NF-κB水平;Western Blot检测肝组织中NF-κB通路蛋白表达水平。计量资料多组间比较采用单因素方差分析,进一步两两比较采用SNK-q或Dunnett’s T3检验。  结果  与Con组相比,AP组大鼠ALT、AST、GGT、LDH、ALP、TBil、AMY、LPS指标均明显增高(P值均<0.01);肝组织匀浆液IL-1β、IL-6、IL-10、TNF-α水平均增加(P值均<0.01)。ECH干预降低AP大鼠ALT、AST、GGT、LDH、ALP、TBil、AMY、LPS水平,并能抑制IL-1β、IL-6、TNF-α的分泌。HE染色观察可见ECH干预后胰腺组织中腺泡细胞空泡变性和炎性细胞浸润较AP组减轻,肝细胞坏死较AP组减轻。透射电镜检查镜下见ECH干预后肝和胰腺细胞内线粒体肿胀程度较AP组减轻。ECH干预后能部分逆转AP大鼠胰腺和肝组织中p-p65 NF-κB、TNF-α的表达增加。此外,AP大鼠肝组织中MyD88、p-IκBα、p-IKKα、p-p65表达上调,而ECH干预后能部分逆转。  结论  松果菊苷可通过抑制TLR4/MyD88/NF-κB途径来改善AP诱发的胰腺和肝损伤。
病例报告
肝昏迷患者经人工肝治疗后成功行跨血型肝移植1例报告
孙爽, 刘金泉, 冯帅, 王淑贤, 徐祥美, 戴德淑, 王建红, 蔡金贞, 许传屾
2024, 40(4): 791-793. DOI: 10.12449/JCH240423
摘要(901) HTML (457) PDF (860KB)(80)
摘要:
本文报告1例经过人工肝支持治疗并成功过渡到肝移植的肝昏迷患者,经过积极治疗后患者后期恢复较好。并且对肝移植手术的时机进行了讨论。
巨大胆囊腺瘤误诊为胆囊癌1例报告
王悦华, 江华, 滕梁红, 段焕利, 崔壁霄, 王冬梅
2024, 40(4): 794-796. DOI: 10.12449/JCH240424
摘要(1170) HTML (559) PDF (1133KB)(63)
摘要:
1例胆囊肿物患者,曾出现一过性黄疸,经腹部超声、增强CT、MRCP及PET-CT检查,均诊断为胆囊癌。手术探查见胆囊增大,胆囊颈部肿物挤压肝门部,但没有肿瘤侵犯表现,肝脏未见肿瘤转移征象,仅为患者行胆囊切除术。病理诊断为胆囊管状腺瘤,未见癌变。本病例特点是胆囊肿瘤巨大,影像未见肿瘤边缘浸润,病理未见恶变。
综述
乙型肝炎相关肝内胆管癌的发病机制
田奇玉, 余建, 黄罡
2024, 40(4): 797-803. DOI: 10.12449/JCH240425
摘要(1344) HTML (370) PDF (977KB)(125)
摘要:
肝内胆管癌(ICC)是原发性肝癌的一种类型,占总病例的10%~15%,发病率和死亡率在全球范围内呈显著上升趋势,尤其是在亚洲国家。目前,根治性切除术是唯一可能治愈ICC的方式,然而术后复发率高,预后较肝细胞癌差。因此,急需进一步研究ICC的发生和发展机制,寻找更有效的治疗手段。一些流行病学数据显示,慢性HBV感染是ICC发生的最主要易感因素之一,然而人们对相关致癌作用知之甚少。本综述总结了二者之间的流行病学证据,简要概述了HBV相关ICC发生发展的机制,以期能有助于更好地了解HBV在ICC发生和发展中的作用。
基于肠道微生态探讨中医药治疗非酒精性脂肪性肝病的作用机制
杨雪, 张旭, 仙晋, 谭奇纹, 于慧娟
2024, 40(4): 804-809. DOI: 10.12449/JCH240426
摘要(1463) HTML (492) PDF (794KB)(93)
摘要:
非酒精性脂肪性肝病(NAFLD)是一种与肥胖、胰岛素抵抗和血脂异常相关的多系统疾病,其发病机制较为复杂。肠道菌群失调与NAFLD的发病密切相关,中医药治疗可通过调节肠道菌群及其代谢产物,改善NAFLD患者的实验室指标和临床症状。本文总结了NAFLD与肠道菌群的关系、肠道菌群失调参与NAFLD的发病机制,从肠道菌群角度探讨中医药治疗改善NAFLD的可能等,以期为NAFLD的治疗拓展新的思路。
氨基酸代谢在非酒精性脂肪性肝病中的作用机制
张慧, 谭明, 程胜桃, 陈娟
2024, 40(4): 810-815. DOI: 10.12449/JCH240427
摘要(1762) HTML (397) PDF (722KB)(139)
摘要:
非酒精性脂肪性肝病(NAFLD)是全球最普遍的慢性肝病之一,影响全球约1/4的人口,预计到2030年将成为肝移植的主要适应证。NAFLD可导致包括支链氨基酸在内的多种氨基酸水平显著异常,进而促进NAFLD的发生发展。提示除葡萄糖代谢和脂质代谢外,氨基酸代谢也在NAFLD疾病进展中发挥了重要作用。为系统了解氨基酸代谢在NAFLD中的作用及其机制,本文针对氨基酸代谢在NAFLD中的研究进展进行了综述。拟探讨氨基酸代谢在NAFLD疾病进展中发挥的作用及其相关机制,为临床防治提供思路和理论依据。
微球和纳米颗粒在经动脉化疗栓塞治疗肝细胞癌中的应用
张楚悦, 史家宁, 王明达, 吴寒, 史立军, 杨田
2024, 40(4): 816-821. DOI: 10.12449/JCH240428
摘要(1163) HTML (718) PDF (690KB)(100)
摘要:
近年来,经动脉化疗栓塞(TACE)是治疗肝细胞癌(HCC)的常用方法。然而,随着栓塞剂技术的不断发展,微球和纳米颗粒方面的新进展为提高TACE的治疗效果和安全性带来了新的希望。本文综述了微球和纳米颗粒在HCC行TACE中的最新进展和应用。首先,介绍了TACE作为治疗手段的背景,以及微球和纳米颗粒技术的兴起。接着,叙述了TACE中不同类型的微球和纳米颗粒的使用情况,并探讨了理想栓塞剂的特性。文章着重描述了在材料科学和工程领域的进展,以及药物释放微球和纳米颗粒与传统TACE在临床效果方面的对比。另外,对影像学在TACE手术中的重要性进行了讨论,并总结了放射性和磁共振可见的栓塞剂的研究进展。文章从多个角度讨论了TACE治疗的未来发展方向和面临的挑战。指出了微球和纳米颗粒与其他治疗方法结合、个性化和精准医学在TACE中的应用,以及TACE在临床转化应用中的潜在方案。同时,提出了伦理和监管方面的问题需要加以探讨。认为先进微球和纳米颗粒在TACE中具有潜在影响,为HCC治疗模式的创新以及通过TACE改善患者预后提供了理论基础和技术支持。
Hedgehog信号通路在肝细胞癌中的作用及其与肿瘤微环境的关系
张晓华, 冯颖, 王宪波
2024, 40(4): 822-827. DOI: 10.12449/JCH240429
摘要(1186) HTML (587) PDF (860KB)(89)
摘要:
Hedgehog(Hh)信号通路在肝细胞癌的发生发展和肿瘤微环境中发挥重要作用。Hh信号异常激活可加速肿瘤的生长。Hh信号通路和肿瘤微环境之间的相互串扰与肿瘤的生长和抑制性肿瘤微环境的形成密切相关。有证据表明,抑制Hh信号在抑制肝细胞癌生长中发挥重要作用。本文就Hh信号异常激活在肝细胞癌和肝癌肿瘤微环境中作用及机制的研究现状与潜在的治疗意义作一综述,为肝癌的治疗提供新的思路。
急性肝卟啉病的治疗进展
雷佳佳, 李霜, 董白雪, 杨静, 任毅
2024, 40(4): 828-833. DOI: 10.12449/JCH240430
摘要(1559) HTML (349) PDF (976KB)(228)
摘要:
急性肝卟啉病(AHP)是一种血红素代谢异常的罕见病,近年来对该病的治疗有了突破。除常规治疗外,本文重点综述了AHP的新疗法,这些治疗正处于初步应用于临床,或仍在研究阶段,包括RNAi疗法、酶替代疗法、DNA或mRNA的基因增补、药物分子伴侣和降低血红素合成的甘氨酸转运体抑制剂等。另外,本文对AHP相关的低钠血症、可逆性后部脑病综合征等合并症、并发症的治疗也进行了综述。我国对于AHP的治疗主要以高糖输注为主,我国诊断水平的提升及对罕见病的关注度增加,促进了AHP的诊治发展,有望今后能够探索更多适宜于我国人群的AHP的治疗方法。
内镜技术在肝脏疾病诊断治疗中的应用及发展
陆靖怡, 曲颖, 陆伦根
2024, 40(4): 834-838. DOI: 10.12449/JCH240431
摘要(1354) HTML (315) PDF (641KB)(80)
摘要:
肝脏疾病是全球最主要的健康问题之一,早期诊断和及时干预治疗是预防肝脏相关疾病发病率和死亡率的关键。内镜技术的发展为肝病的诊断和干预提供了新的手段。本文介绍了超声内镜引导下肝穿刺活检的技术进展与优势,简述内镜技术在治疗肝脓肿/肝囊肿、肝脏疾病引起的门静脉高压以及治疗肝脏肿瘤等介入技术的应用与发展,展示了在国内较为新颖的内镜下减重技术在治疗非酒精性脂肪性肝病/非酒精脂肪性肝炎的功效与前景。内镜技术有望在国内的肝脏相关疾病中得到更好、更广泛的应用与探索,为患者与医生提供更多选择。
巨噬细胞胞葬功能在急慢性肝病中的作用机制及其靶向治疗
杨焕焕, 袁诗雨, 唐映梅
2024, 40(4): 839-843. DOI: 10.12449/JCH240432
摘要(1957) HTML (949) PDF (630KB)(79)
摘要:
胞葬作用是指吞噬细胞(包括巨噬细胞、树突状细胞等专职吞噬细胞和上皮细胞等非专职吞噬细胞)吞噬并清除凋亡细胞的过程。肝巨噬细胞是肝脏中具有胞葬功能的主要细胞。近年来,越来越多的研究表明包括急性肝损伤、酒精性肝病、非酒精性脂肪性肝病、自身免疫性肝病、肝纤维化及肝细胞癌等在内的多种急慢性肝病均与肝巨噬细胞的胞葬作用有关。本文通过阐述巨噬细胞胞葬相关分子的表达、胞葬过程及其胞葬功能在不同肝病中作用的最新研究进展,旨在为肝病治疗提供新思路。
肝外胆管恶性狭窄的鉴别诊断
孟春艳, 王菁, 王波
2024, 40(4): 844-849. DOI: 10.12449/JCH240433
摘要(964) HTML (757) PDF (779KB)(200)
摘要:
引起肝外胆管狭窄的病因很多,其中良性狭窄可以通过药物治疗及内镜干预获得较好的疗效。恶性狭窄如能早期诊断,并及时行手术治疗有望延长患者的生存期。然而,肝外胆管恶性狭窄的鉴别诊断迄今为止仍然较为困难。本文就血清学、影像学、内镜相关技术及人工智能技术在肝外胆管恶性狭窄鉴别诊断中的进展进行综述,以期为制订临床诊疗方案提供策略和参考。
肝衰竭并发急性胰腺炎的机制及预防
陆星宇, 杨晶, 李盼, 彭建平
2024, 40(4): 850-856. DOI: 10.12449/JCH240434
摘要(1303) HTML (812) PDF (1192KB)(108)
摘要:
肝衰竭病情进展快,并发症多,病情十分凶险。在肝衰竭发展过程中,并发急性胰腺炎十分常见;而急性胰腺炎的临床症状及体征与肝衰竭并发自发性腹膜炎极其相似,易被忽略。本文通过炎症反应、十二指肠乳头功能障碍、肠道菌群失调、氧化应激、微循环障碍等5个方面对肝衰竭并发急性胰腺炎的机制进行阐述,并根据其作用机制提出相应预防手段。
读者·作者·编者
《临床肝胆病杂志》关于利益冲突声明和作者贡献声明的要求
2024, 40(4): 580-580.
摘要(306) HTML (171) PDF (802KB)(33)
摘要:
《临床肝胆病杂志》对形态学图片的质量和制作要求
2024, 40(4): 699-699.
摘要(291) HTML (187) PDF (798KB)(35)
摘要:
《临床肝胆病杂志》常见异形词
2024, 40(4): 705-705.
摘要(238) HTML (178) PDF (768KB)(85)
摘要:
国内外会议动态
会议通知 | 2024年欧洲肝病学会年会
2024, 40(4): 725-725.
摘要(699) HTML (642) PDF (1203KB)(66)
摘要:
消息
《临床肝胆病杂志》2024年1~11期重点号选题及执行主编
2024, 40(4): 671-671.
摘要(408) HTML (137) PDF (813KB)(39)
摘要:
致谢
本期审稿专家
2024, 40(4): 678-678. DOI: 10.12449/JCH2404.zhixie
摘要(343) HTML (264) PDF (805KB)(40)
摘要: