中文English
ISSN 1001-5256 (Print)
ISSN 2097-3497 (Online)
CN 22-1108/R

留言板

尊敬的读者、作者、审稿人, 关于本刊的投稿、审稿、编辑和出版的任何问题, 您可以本页添加留言。我们将尽快给您答复。谢谢您的支持!

姓名
邮箱
手机号码
标题
留言内容
验证码
2022年 第1期
“大数据与人工智能赋能肝脏外科数字诊疗新时代”重点号
执行主编:刘景丰
福建医科大学孟超肝胆医院 东南肝胆健康大数据研究所,福建省肿瘤医院 肝胆胰肿瘤外科

显示方式:
主编致辞
长帆高挂 赓续辉煌——《临床肝胆病杂志》2022年主编致辞
贾继东, 牛俊奇
2022, 38(1): 9-9.
摘要(643) HTML (205) PDF (1275KB)(121)
摘要:
述评
人工智能在原发性肝癌外科治疗中的应用现状与展望
刘红枝, 刘景丰
2022, 38(1): 10-14. DOI: 10.3969/j.issn.1001-5256.2022.01.001
摘要(1823) HTML (484) PDF (1982KB)(225)
摘要:
原发性肝癌是最常见和最致命的恶性肿瘤之一, 外科治疗是其最主要的根治性手段, 然而其术后复发率高、预后差。近年来, 以人工智能为代表的新兴技术加速创新, 日益融入原发性肝癌诊断和治疗全过程, 推动人工智能在原发性肝癌外科治疗领域落地应用对精准肝脏外科高质量发展具有重要意义。目前, 研究人员应用人工智能技术在原发性肝癌决策制订、术前评估、手术实施、术后管理及辅助治疗等方面进行了广泛探索。本文针对人工智能在原发性肝癌外科治疗中的应用进展进行综述, 以期促进人工智能应用在临床诊疗中加速落地、提高临床服务能力并最终改善患者预后。
专家论坛
生物信息学在肝细胞癌风险预测中的应用
方国旭, 张清华, 黄永迎, 王建民, 刘景丰
2022, 38(1): 15-19. DOI: 10.3969/j.issn.1001-5256.2022.01.002
摘要(1746) HTML (506) PDF (1986KB)(186)
摘要:
生物信息学是一门交叉科学, 通过综合运用数学、计算机科学和生物学的各种工具, 来阐明和理解大量生物数据所包含的生物学意义。随着基因组学测序技术的不断发展, 产生大量的生物学数据资源, 从大数据中挖掘所蕴藏的生物学意义, 已成为了当前亟待解决的主要任务之一。本文主要归纳总结基于特征基因的肝癌风险预测模型, 为肝癌的早期检测、预后和治疗方案的优化提供新观点。
深度学习在原发性肝癌相关诊断模型中的应用与前景
张清华, 李海涛, 方国旭, 郭鹏飞, 刘景丰
2022, 38(1): 20-25. DOI: 10.3969/j.issn.1001-5256.2022.01.003
摘要(1602) HTML (697) PDF (1997KB)(219)
摘要:
深度学习是机器学习通过大量数据训练及分析来模拟人脑的学习行为而获得新的知识和技能。随着医学技术的进步, 医学领域积累了大量的数据, 对数据的研究有助于深入了解数据内的联系与规律, 从而有助于预测人类疾病的发生与预后。深度学习通过找出数据中隐藏的信息, 在医学领域中的应用日益突出。原发性肝癌是发病率和死亡率很高的恶性肿瘤, 预后差, 复发率高, 如何早期诊断、及时治疗、预测复发等一直是研究重点之一。本文从肝癌发生风险预测、术后复发与生存风险预测等方面闸述深度学习在肝癌诊断及复发方面的应用进展。
人工智能在原发性肝癌诊疗中的应用
方驰华, 蔡伟
2022, 38(1): 26-29. DOI: 10.3969/j.issn.1001-5256.2022.01.004
摘要(1806) HTML (339) PDF (1971KB)(202)
摘要:
在医疗大数据时代, 人工智能技术在医学中的应用日益广泛。通过对海量医学数据进行高效管理、信息挖掘后可以得到关于疾病发生发展、生存预后等有益信息。近年来, 人工智能技术在原发性肝癌中的应用亦取得了一些成果。本文将详述其在肝癌诊断和治疗中的应用现状及前景。
人工智能在肝移植中的应用
梁智星, 叶林森, 杨扬
2022, 38(1): 30-34. DOI: 10.3969/j.issn.1001-5256.2022.01.005
摘要(1373) HTML (497) PDF (1981KB)(149)
摘要:
随着5G和大数据时代的来临, 多维度、大样本的复杂医疗数据为新时代临床医学带来众多机遇和挑战。与传统方法相比, 人工智能可以更高效地挖掘庞大数据集中的隐藏联系, 越来越多的学者将这一先进技术应用于疾病的诊断和治疗。经过半个多世纪的发展和完善, 肝移植已成为治疗各种终末期肝病最有效的方法。与其他领域的“单患者”数据分析不同, 肝移植通常需要考虑供体和受体“双患者”的特征以及移植过程中的变量, 产生较其他疾病更为庞大的医疗数据, 这与人工智能的优势尤为契合。有效利用人工智能的手段、结合临床研究开展将为智能精准临床医学时代拉开新的序幕。对于人工智能在肝移植的交叉应用, 需要全面讨论人工智能技术在肝移植中的优势和局限性, 并提出该领域的未来方向。
指南与规范
原发性胆汁性胆管炎的诊断和治疗指南(2021)
中华医学会肝病学分会
2022, 38(1): 35-41. DOI: 10.3760/cma.j.cn112138-20211112-00794
摘要(5063) HTML (2810) PDF (2416KB)(1758)
摘要:
2015年中华医学会肝病学分会和中华医学会消化病学分会制订了我国第一个原发性胆汁性胆管炎(primary biliary cholangitis, PBC)的专家共识。近年来国内外有关研究为PBC的诊断和治疗提供了新的临床证据。中华医学会肝病学分会组织有关专家, 在评估最新国内外临床研究证据的基础上, 制订了包括26条推荐意见的本指南, 旨在为临床医师诊断和治疗PBC提供指导和参考意见。
自身免疫性肝炎诊断和治疗指南(2021)
中华医学会肝病学分会
2022, 38(1): 42-49. DOI: 10.3760/cma.j.cn112138-20211112-00796
摘要(9752) HTML (1081) PDF (2917KB)(2316)
摘要:
自身免疫性肝炎(autoimmune hepatitis, AIH)患者的临床特点包括血清氨基转移酶水平升高、高免疫球蛋白G血症、血清自身抗体阳性, 肝组织学上存在中重度界面性肝炎等。早期诊断和恰当治疗可显著改善AIH患者的生存期和生活质量, 减轻社会医疗负担。《自身免疫性肝炎诊断和治疗共识(2015)》在规范我国AIH的诊断和治疗方面发挥了积极作用。在此基础上, 2021年底中华医学会肝病分会组织有关专家结合最新进展制定本部指南, 旨在进一步提高我国AIH诊治水平。
原发性硬化性胆管炎诊断及治疗指南(2021)
中华医学会肝病学分会
2022, 38(1): 50-61. DOI: 10.3760/cma.j.cn112138-20211109-00786
摘要(3076) HTML (688) PDF (2577KB)(828)
摘要:
2015年我国第一个原发性硬化性胆管炎(PSC)的专家共识颁布。近年来PSC的临床研究提供了PSC新的研究数据和资料。为此, 中华医学会肝病学分会自身免疫性肝病学组组织专家组对近年来的文献证据进行了评估, 制定了本指南。本指南共有PSC推荐意见21条。为了利于鉴别PSC和IgG4相关硬化性胆管炎(IgG4-SC), 也附有IgG4-SC的10条推荐意见。本指南的目的是为临床PSC和IgG4-SC的诊治提供参考和指导。
胆汁淤积性肝病管理指南(2021)
中华医学会肝病学分会
2022, 38(1): 62-69. DOI: 10.3760/cma.j.cn112138-20211112-00795
摘要(5086) HTML (3147) PDF (4200KB)(1864)
摘要:
2015年中华医学会肝病学分会和中华医学会消化病学分会制定了我国第一个胆汁淤积性肝病的专家共识。近年来胆汁淤积性肝病的临床研究提供了新的研究数据和资料。为此, 中华医学会肝病学分会自身免疫性肝病学组组织专家组对近年来的文献证据进行了评估, 制定了本指南。本指南共有胆汁淤积性肝病临床诊治推荐意见22条。本指南的目的是为临床胆汁淤积性肝病诊治提供参考和指导。
原发性肝癌中西医结合介入诊疗专家共识(试行第一版)
2019年肝癌中西医临床协作专家委员会
2022, 38(1): 70-77. DOI: 10.3969/j.issn.1001-5256.2022.01.010
摘要(2962) HTML (744) PDF (3410KB)(537)
摘要:
本共识由国家中医药管理局重大疑难疾病-中西医临床协作项目-肝癌项目组牵头撰写,该项目建立了早期肝癌微创根治性消融和中晚期肝癌TAE/TACE序贯微创介入消融,联合中医辨证整体施治,形成了介入栓塞标记肿瘤,序贯微创局部消融及解剖模式消融术,去除影像学可见肿瘤,建立了以肝段消融术为代表的肝脏消融体系;应用中医扶正去邪提升机体免疫功能,重塑不适合肿瘤生长的微环境,去除影像学不可见的微小肿瘤,探索出了“中西医结合临床协作治疗肝癌”的整体解决方案。本共识以中医药微环境调理和微创消融相结合为特色,充分发挥中医扶正、辨证施治的整体治疗优势与微创消融精准灭活肿瘤,同时保留正常解剖结构、生理功能和免疫功能的局部治疗特点,采用整体治疗与局部消融治疗相结合,中医药调理与微创消融相结合,开创了肝癌中西医结合微创诊疗新模式。该共识的实施使BCLC A期肝癌达到了与开放性手术相同的根治性治疗效果,使以往开放式手术不能治疗的BCLC B/C期肝癌也获得了根治性效果,使肝癌治疗进入到人文化诊疗新模式,是卫生经济学效应最大化实施方案。
《2021年亚太肝病学会慢性乙型肝炎患者停用核苷(酸)类似物指导意见》摘译
任姗, 郑素军
2022, 38(1): 78-80. DOI: 10.3969/j.issn.1001-5256.2022.01.011
摘要(1431) HTML (569) PDF (1949KB)(306)
摘要:
论著_病毒性肝炎
血清游离三甲碘状腺原氨酸水平预测HBV相关慢加急性肝衰竭患者预后的价值分析
张剑, 陈煜, 段钟平
2022, 38(1): 81-85. DOI: 10.3969/j.issn.1001-5256.2022.01.012
摘要(1187) HTML (224) PDF (2175KB)(109)
摘要:
  目的  探讨血清游离三甲碘状腺原氨酸(FT3)水平对HBV相关慢加急性肝衰竭(HBV-ACLF)患者90 d预后的预测价值。  方法  收集2018年9月—2020年1月在首都医科大学附属北京佑安医院住院的122例HBV-ACLF患者的临床资料,根据确诊后90 d预后分为生存组(n=77)和死亡组(n=45)。采用ELISA法测定血清FT3水平,比较FT3水平在两组间差异,应用logistic回归分析探索影响预后的危险因素并建立FT3相关预测模型,采用预测概率值的ROC曲线下面积(AUC)评估预测模型的区分度,采用线性回归分析评估校准度。采用AUC比较模型与MELD评分预测预后价值的差异。符合正态分布的计量资料两组间比较采用t检验;非正态分布的计量资料两组间比较采用Mann-Whitney U检验;计数资料两组间比较采用χ2检验;采用logistic回归分析预后影响因素。  结果  死亡组FT3显著低于生存组[(2.27±0.38) pmol/L vs (2.69±0.55) pmol/L,t=4.526, P<0.001], FT3(OR=0.534,95%CI:0.300~0.950,P=0.013)是影响预后的独立保护因素;年龄(OR=1.047,95%CI:1.013~1.082,P=0.007)、TBil(OR=1.096,95%CI:1.059~1.134,P<0.001)、INR(OR=1.101,95%CI:1.029~1.178,P<0.005)、Cr(OR=4.583,95%CI:2.102~7.992,P<0.001)是独立危险因素。FT3相关预测模型区分度的AUC为0.869(95%CI:0.831~0.907),P<0.001;校准能力R2=0.340,P=0.268。FT3相关公式预测预后的价值显著好于MELD评分(P<0.05)。  结论  FT3是HBV-ACLF患者90 d预后的独立影响因素,其与年龄、TBil、INR、Cr联合建立的FT3相关预测模型对患者90 d预后评估具有较好的预测价值。
不同HBeAg状态慢性乙型肝炎患者停用核苷(酸)类似物后肝炎复发致慢加急性肝衰竭的病情转归差异分析
沈佳聪, 李小鹏, 程晓宇, 车媛梅, 雷弯, 周观林, 张伦理
2022, 38(1): 86-90. DOI: 10.3969/j.issn.1001-5256.2022.01.013
摘要(1448) HTML (266) PDF (1984KB)(91)
摘要:
  目的  探讨HBeAg阳性与HBeAg阴性慢性乙型肝炎(CHB)患者停用核苷(酸)类似物(NUC)抗病毒治疗后肝炎复发致HBV相关慢加急性肝衰竭(HBV-ACLF)的临床病情转归的差异及可能的原因。  方法  选取2017年1月—2018年12月于南昌大学第一附属医院收治的108例停用NUC后致HBV-ACLF的CHB患者。根据HBeAg状态分为HBeAg阳性组(n=57)和HBeAg阴性组(n=51),分析比较两组患者性别、年龄、临床表现、体征和入院时TBil、DBil、ALT、AST、PT、活化部分PT(APTT)、PT/INR、HBV DNA定量检测结果,以及并发症(肝性脑病、肝肾综合征、自发性腹膜炎等)情况、HBV-ACLF病情转归差异。同时,选取48例持续NUC抗病毒治疗>2年且HBV DNA<20 IU/mL的CHB患者,收集并检测其血清HBV pgRNA水平,探讨影响停药时不同HBeAg状态患者HBV-ACLF预后差异的可能原因。符合正态分布的计量资料两组间比较采用两独立样本t检验;不符合正态分布的计量资料两组间比较采用Kruskal-Wallis H检验。计数资料两组间比较采用χ2检验。  结果  在108例停药复发HBV-ACLF患者中,HBeAg阳性组好转率49.1%,HBeAg阴性组好转率74.5%。HBeAg阴性组的好转率高于HBeAg阳性组,差异有统计学意义(χ2=2.811,P=0.006)。HBeAg阳性组入院时HBV DNA水平明显高于HBeAg阴性组,差异有统计学意义(t=-3.138,P=0.002)。在48例长期NUC抗病毒治疗达到病毒学应答的CHB患者中,HBeAg阳性组HBV pgRNA载量明显高于HBeAg阴性组(H=2.814,P=0.049)。  结论  HBeAg阴性CHB患者停用NUC抗病毒治疗后肝炎复发致HBV-ACLF的病情好转率高于HBeAg阳性患者。基线HBV pgRNA水平差异可能与不同HBeAg状态HBV-ACLF的病情转归存在差异有关。
直接抗病毒药物治疗慢性丙型肝炎合并血小板减少患者的效果分析
王涛, 李凤惠, 梁静, 向慧玲, 刘芳, 吕洪敏, 钱宝鑫, 田佳骏
2022, 38(1): 91-96. DOI: 10.3969/j.issn.1001-5256.2022.01.014
摘要(1316) HTML (367) PDF (2173KB)(89)
摘要:
  目的  探讨慢性丙型肝炎(CHC)合并血小板(PLT)减少患者应用直接抗病毒药物(DAA)的临床疗效及对PLT的影响。  方法  回顾分析2018年4月—2019年3月在天津市第三中心医院接受DAA治疗合并PLT减少(PLT<150×109/L)的CHC患者83例,应用无干扰素方案的DAA治疗12~24周,评估治疗结束(EOT)及结束后第12周患者病毒学应答、肝功能指标、PLT、肝硬度(LSM)的变化。正态分布的计量资料组间比较采用重复测量资料的方差分析。非正态分布的计量资料组间比较前进行正态转换,后行重复测量资料的方差分析。logistic回归分析影响PLT升高的预测因素。绘制受试者工作特征曲线(ROC曲线)评价基线LSM对治疗后PLT升高的预测价值。  结果  83例CHC合并PLT减少的患者中,肝硬化患者占61.4%,治疗结束后12周持续病毒学应答(SVR12)率为98.8%。与基线相比较,EOT及SVR12时,患者血清AST、ALT、GGT、TBil、Glo水平下降,Alb水平升高,LSM明显下降,差异均有统计学意义(P值均<0.05)。患者PLT在EOT[(110.4±44.6)×109/L]和SVR12[(109.0±47.7)×109/L]时均较基线[(97.8±33.2)×109/L]显著升高(P值均<0.01)。获得SVR12时,PLT升高与无升高组患者肝硬化比例、基线LSM及基线WBC水平差异均有统计学意义(P值均<0.05);多因素logistic回归分析表明,基线LSM是DAA治疗后PLT明显升高的独立预测因子(OR=0.929, 95%CI: 0.864~0.999, P<0.05)。基线LSM水平预测PLT升高的ROC曲线下面积为0.644,cut-off值为20.15 kPa,其灵敏度和特异度分别为81.0%和48.6%。基线PLT大于100×109/L组PLT升高幅度更明显(P<0.05)。  结论  CHC合并PLT减少患者在DAA治疗及获得SVR12后,肝功能、LSM有明显改善,基线LSM是PLT升高的独立预测因素,与基线相比较,PLT在EOT及SVR12有明显提升。
论著_肝纤维化及肝硬化
瞬时弹性成像技术对自身免疫性肝病肝纤维化分期诊断价值的Meta分析
杨志然, 王林恒, 李园, 刘福生, 王雨, 王建芳, 陈润花
2022, 38(1): 97-103. DOI: 10.3969/j.issn.1001-5256.2022.01.015
摘要(1455) HTML (640) PDF (5357KB)(109)
摘要:
  目的  系统评价瞬时弹性成像技术(TE)对自身免疫性肝病肝纤维化分期的诊断价值。  方法  系统检索PubMed、Embase、Cochrane Library、中国知网、万方、维普数据库中已发表的关于TE诊断自身免疫性肝病肝纤维化分期的中、英文文献,检索时限为2000年1月—2021年1月,由2位评价员对纳入文献进行数据提取,采用文献质量评价工具QUADAS2进行文献质量评价,并应用Stata 15.0软件中双变量混合效应模型进行Meta分析。  结果  纳入11篇文献,共1041例患者。TE诊断显著肝纤维化(≥F2)的合并敏感度、特异度和AUC分别为0.81(95%CI: 0.75~0.86)、0.87(95%CI: 0.79~ 0.92)和0.91(95%CI: 0.88~0.93),诊断进展期肝纤维化(≥F3)的合并敏感度、特异度和AUC分别为0.81(95%CI 0.74~0.87)、0.90(95%CI0.85~0.93)和0.92(95%CI0.90~0.94),诊断早期肝硬化(F4)的合并敏感度、特异度和AUC分别为0.87(95%CI: 0.74~0.93)、0.93(95%CI: 0.87~0.97)和0.96(95%CI: 0.94~0.97)。  结论  TE对于评估自身免疫性肝病显著肝纤维化、进展期肝纤维化以及早期肝硬化均具有较好的诊断价值,尤其是对早期肝硬化的诊断准确度较高。
五种肝硬化无创诊断方法对代偿期乙型肝炎肝硬化患者中医证型的诊断价值分析
于中杰, 赵文霞, 冯蕾心, 王晗笑, 刘建鹏
2022, 38(1): 104-109. DOI: 10.3969/j.issn.1001-5256.2022.01.016
摘要(1475) HTML (271) PDF (2578KB)(82)
摘要:
  目的  探讨5种肝硬化无创诊断[FibroScan肝脏硬度值(LSM值)、AST和PLT比值指数(APRI)、肝纤维化4因子指数(FIB-4)、GGT-PLT比值(GPR)、红细胞体积分布宽度-PLT比值(RPR)]在乙型肝炎肝硬化代偿期中与中医证型的相关性。  方法  回顾性分析2017年1月—2020年1月河南中医药大学第一附属医院确诊为乙型肝炎肝硬化代偿期的327例患者临床相关资料,分为肝郁脾虚证(n=160)、肝胆湿热证(n=84)、肝肾阴虚证(n=13)、脾肾阳虚证(n=5)、瘀血阻络证(n=65),采集临床相关资料以及血常规、肝功能、LSM值、肝胆脾胰彩超等信息,并对患者进行中医辨证分型,建立APRI、FIB-4、GPR、RPR模型。符合正态分布的计量资料多组间均数比较用单因素方差分析,进一步两两比较采用LSD-t法;不符合正态分布的计量资料多组间比较用多个独立样本Kruskal-Wallis H秩和检验,采用Kruskal-Wallis单因素ANOVE(k样本)进行多重比较;采用二元logistic回归分析进行进中医证型与肝硬化无创诊断的关系;使用受试者工作特征曲线(ROC曲线)评价5种肝硬化无创诊断方法预测乙型肝炎肝硬化代偿期中医证型的诊断能力。  结果  logistic回归分析结果显示,在肝胆湿热证中,AST(OR=1.981,95%CI:1.8225~2.139,P<0.05)、LSM(OR=2.002,95%CI:1.840~2.160,P<0.05)是代偿期乙型肝炎肝硬化的影响因素;在肝郁脾虚证中,门静脉宽度(OR=4.402,95%CI:4.050~4.754,P<0.05)、LSM值(OR=3.901,95%CI:3.589~4.213,P<0.05]、APRI[OR=1.891,95%CI:1.740~2.042,P<0.05]、FIB-4(OR=1.845,95% CI:1.697~1.993,P<0.05)是代偿期乙型肝炎肝硬化的影响因素;在瘀血阻络证中,LSM值(OR=2.465,95%CI:2.268~ 2.662, P<0.05]、APRI(OR=1.298,95%CI:1.194~1.402, P<0.05)、FIB-4(OR=1.849,95%CI:1.701~1.997, P<0.05)是代偿期乙型肝炎肝硬化的影响因素;ROC曲线显示,LSM值与RPR模型评估肝胆湿热证的诊断价值明显优于其他诊断方法;LSM值与FIB-4模型评估肝郁脾虚证的诊断价值明显优于其他诊断方法;5种无创诊断方法均能较好地评估瘀血阻络证。  结论  5种无创诊断方法可对不同证型具有不同评估优势,对乙型肝炎肝硬化代偿期患者中医证型诊断提供参考价值。
论著_肝脏肿瘤
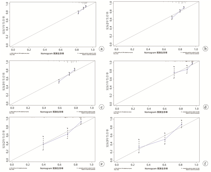
基于SEER数据的原发性小肝癌肝切除术后生存率列线图模型的构建及验证
唐豪佑, 刘胜, 曾新, 黄孝彬, 杨洋, 邓大炜, 李建水
2022, 38(1): 110-116. DOI: 10.3969/j.issn.1001-5256.2022.01.017
摘要(1566) HTML (533) PDF (4273KB)(94)
摘要:
  目的  基于SEER数据和中国数据建立并验证原发性小肝癌肝切除术后总生存率列线图模型。  方法  提取2004年—2015年美国国立癌症研究所SEER数据库所登记的原发性小肝癌接受肝切除术治疗的1809例患者资料作为建模组;收集2010年—2017年在川北医学院附属医院接受肝切除术治疗的小肝癌患者158例为验证组。采用单因素Cox风险回归、lasso回归、多因素Cox风险回归分析小肝癌患者肝切除术后OS的影响因素。根据OS的独立影响因素构建列线图模型,利用一致性指数(C-index)、绘制校准曲线及ROC曲线检验模型的预测能力。利用Kaplan-Meier生存分析和log-rank检验分析高、低风险组间的生存差异。  结果  多因素Cox风险回归分析发现性别(HR=1.22, 95%CI:1.05~1.41, P=0.010)、Seer分期(HR=1.51, 95%CI:1.23~1.85, P<0.001;HR=10.31, 95%CI:2.53~42.04, P=0.001)、肿瘤直径(HR=1.22,95%CI:1.06~1.39,P=0.004)、脉管侵犯或转移(HR=1.43,95%CI:1.24~1.65,P<0.001)、AFP(HR=1.33,95%CI:1.16~1.54,P<0.001)是小肝癌患者肝切除术后OS的独立危险因素。建模组C指数为0.621,其1、2、3年ROC曲线下面积分别为0.666(95%CI:0.628~0.704),0.678(95%CI:0.647~0.708),0.663(95%CI:0.635~0.690);验证组C指数为0.718;其1、2、3年ROC曲线下面积分别为0.695(95%CI:0.593~0.797),0.781(95%CI:0.706~0.856),0.759(95%CI:0.669~0.848)。根据列线图模型进行风险分层,Kaplan-Meier生存分析显示:建模组和验证组的低风险组的预后均明显优于高风险组(P<0.01)。  结论  建立的原发性小肝癌肝切除术后生存率模型可以用于预测1、2、3年OS,可以使用于国内临床工作。
白细胞介素33在肝细胞癌患者中的表达及其对CD8+T淋巴细胞功能的调节作用
王海鹏, 刘屹, 李东辉, 沈光辉
2022, 38(1): 117-123. DOI: 10.3969/j.issn.1001-5256.2022.01.018
摘要(1081) HTML (311) PDF (3969KB)(80)
摘要:
  目的  观察肝细胞癌(HCC)患者外周血白细胞介素33(IL-33)的变化,探讨IL-33对HCC患者CD8+T淋巴细胞的调节作用和可能机制。  方法  选择2019年4月—2020年1月陕西省人民医院收治的44例HCC患者和20例健康对照者为研究对象。采集外周血,分离血浆和外周血单个核细胞(PBMC),酶联免疫吸附试验检测血浆IL-33及其受体肿瘤抑制素2(ST2)的水平,实时定量PCR法检测PBMC中IL-33和ST2 mRNA相对表达量。纯化CD8+T淋巴细胞,使用重组IL-33刺激培养,CCK-8法检测细胞增殖,酶联斑点吸附试验检测穿孔素和颗粒酶B分泌,流式细胞术检测程序性死亡受体-1(PD-1)、淋巴细胞活化基因-3(LAG-3)和细胞毒性T淋巴细胞相关蛋白4(CTLA-4)表达,比较IL-33刺激前后细胞增殖、毒性分子分泌、免疫检查点分子的变化。CD8+T淋巴细胞与HepG2细胞共培养,通过检测乳酸脱氢酶表达计算CD8+T淋巴细胞诱导HepG2细胞死亡比例,比较IL-33刺激前后CD8+T淋巴细胞杀伤功能的变化。计量资料两组间比较采用t检验或配对t检验,相关性分析采用Pearson分析法。  结果  HCC组血浆IL-33水平低于对照组[(269.80±63.08) pg/mL vs (339.50±64.43) pg/mL,t=4.072,P<0.001],HCC组PBMC中IL-33 mRNA相对表达量低于对照组(1.07±0.14 vs 2.45±0.87,t=10.250,P<0.001)。血浆ST2水平和PBMC中ST2 mRNA相对表达量在HCC组和对照组之间的差异均无统计学意义(P值均>0.05)。CD8+T淋巴细胞比例与血浆IL-33、ST2水平均无明显相关性(P值均>0.05)。HCC组CD8+T淋巴细胞分泌穿孔素、颗粒酶B的水平均低于对照组(P值均<0.05),而HCC组CD8+T淋巴细胞中PD-1、LAG-3、CTLA-4阳性细胞比例均高于对照组(P值均<0.05)。重组IL-33刺激对两组CD8+T淋巴细胞增殖和免疫检查点分子表达均无显著影响(P值均>0.05),但可促进穿孔素、颗粒酶B的分泌(P值均<0.05)。HCC组CD8+T淋巴细胞杀伤活性较对照组降低(P<0.05),重组IL-33刺激可提升CD8+T淋巴细胞杀伤功能,主要表现为诱导HepG2细胞死亡比例升高(P<0.05),IFNγ和TNFα分泌水平增加(P值均<0.05)。  结论  HCC患者血浆IL-33水平降低。IL-33可通过促进穿孔素和颗粒酶B的分泌增强HCC患者CD8+T淋巴细胞杀伤活性,为HCC治疗提供新的靶点。
论著_其他肝病
理想心血管健康行为和因素对非酒精性脂肪性肝病发病的影响
赵东娜, 刘倩, 梁惠捷, 崔皓哲, 孟令群, 鄂慧良, 曹立瀛
2022, 38(1): 124-128. DOI: 10.3969/j.issn.1001-5256.2022.01.019
摘要(1047) HTML (253) PDF (1983KB)(62)
摘要:
  目的  探究理想心血管健康行为和因素与非酒精性脂肪性肝病(NAFLD)发病的关系,为制订NAFLD的防控策略提供依据。  方法  采用回顾性队列的研究方法,收集2006年7月—2007年6月50 511例参加健康查体的开滦集团职工的体检资料,并在随后每2年1次的随访中,观察NAFLD的发病情况。正态分布的计量资料多组间比较采用单因素方差分析;偏态分布的计量资料多组间比较采用Kruskal-Wallis H检验。计数资料组间比较采用χ2检验。根据心血管简易评分(CHS)四分位水平将观察对象分为四组,采用人年发病率计算各组人群NAFLD的发病情况,使用限制性立方样条曲线(RCS)计算连续型变量与结局事件间的剂量-反应关系,采用Cox比例风险模型分析各组NAFLD的发病风险比及95%CI,并对心血管健康行为和因素各组分对NAFLD发病的影响进行了Cox比例风险模型分析。  结果  在平均5.58年的随访过程中,共发生NAFLD 15 265例,Q1、Q2、Q3、Q4组观察对象人年发病率分别为77.88/千人年、61.33/千人年、46.37/千人年、33.69/千人年。RCS结果表明,CHS连续型变量与NAFLD发病风险呈非直线关系(P<0.05)。在多因素Cox模型分析中,与Q1组相比,Q2组、Q3组、Q4组NAFLD的发病风险比分别为0.78(0.74~0.81)、0.57(0.54~0.59)、0.38(0.36~0.41),在不同性别及不同年龄组中也得到了相似的结果。在各组分的分析中发现理想BMI(HR=0.37,95%CI:0.36~0.39)、理想血糖(HR=0.80,95%CI:0.77~0.84)、理想血压(HR=0.72,95%CI:0.69~0.75)、理想总胆固醇(HR=0.86,95%CI:0.83~0.89)、理想饮食(HR=0.94,95%CI:0.90~0.99)是NAFLD发病的保护因素。  结论  理想心血管健康行为和因素是NAFLD发病的保护因素,保持健康的生活方式有助于预防NAFLD的发病。
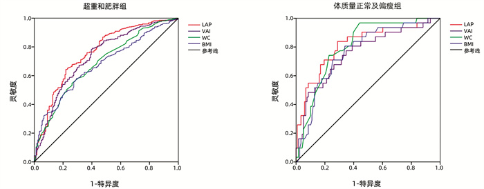
脂质蓄积指数、内脏脂肪指数对非酒精性脂肪性肝病的预测价值
段绍杰, 刘尊敬, 陈佳良, 姚树坤
2022, 38(1): 129-134. DOI: 10.3969/j.issn.1001-5256.2022.01.020
摘要(1846) HTML (308) PDF (2973KB)(129)
摘要:
  目的  探讨脂质蓄积指数(LAP)和内脏脂肪指数(VAI)与非酒精性脂肪性肝病(NAFLD)的相关性,并评估其对NAFLD患病风险的预测价值。  方法  随机纳入2018年9月—2019年5月北京中日友好医院的708例体检受试者,分为NAFLD组(n=426)和非NAFLD组(n=282),比较两组间LAP、VAI及相关生化指标差异。计量资料符合正态分布的2组间比较采用t检验,不符合正态分布者2组间比较采用Mann-Whitney U秩和检验。计数资料2组间比较采用χ2检验。应用Spearman进行相关性分析。然后将LAP、VAI根据四分位数水平分为四组(L1~L4;V1~V4),比较各组间NAFLD的分布情况,采用logistic回归分析计算不同LAP、VAI水平NAFLD的发生风险,绘制不同性别和体质量亚组LAP、VAI、腰围(WC)、体质量指数(BMI)预测NAFLD的ROC曲线,以评估各指标对NAFLD的预测诊断价值。  结果  NAFLD组受试者的年龄、男性、吸烟史占比以及LAP、VAI、WC、BMI、收缩压(SBP)、舒张压(DBP)、ALT、AST、总胆固醇(TC)、甘油三酯(TG)、低密度脂蛋白胆固醇(LDL-C)、空腹血糖(FBG)、血尿酸(SUA)水平均显著高于非NAFLD组,而高密度脂蛋白胆固醇(HDL-C)水平显著低于非NAFLD组(P值均<0.01)。NAFLD与LAP、VAI水平呈正相关(Cramer’s V值分别为0.552、0.464)。多因素logistic回归显示,在调整各危险因素后,L4组NAFLD发生风险仍为L1组的8.811(95%CI:4.335~17.910)倍(P<0.001),V4组NAFLD发生风险仍为V1组的5.967(95%CI:3.263~10.912)倍(P<0.001)。ROC曲线结果显示,不同性别和体质量亚组中LAP、VAI预测NAFLD发生的AUC均>0.7。其中,女性亚组LAP、VAI预测NAFLD的AUC显著高于男性亚组(0.886 vs 0.785,0.824 vs 0.748,P值均<0.05),且对应的灵敏度(79.8% vs 63.7%,77.9% vs 77.0%)、特异度(85.0% vs 81.1%,77.6% vs 62.3%)也偏高。  结论  NAFLD患病风险随着LAP、VAI水平增高而升高;LAP、VAI对不同性别和体质量亚组的NAFLD的发生均有良好预测价值,且对女性NAFLD的预测能力更佳。
人工肝支持系统治疗慢加急性肝衰竭效果的网状Meta分析
甘亮亮, 张金周, 王贤东, 傅彩虹, 苏佳, 汤雪梅
2022, 38(1): 135-140. DOI: 10.3969/j.issn.1001-5256.2022.01.021
摘要(2244) HTML (406) PDF (4674KB)(138)
摘要:
  目的  采用网状Meta分析系统评价不同人工肝支持系统治疗慢加急性肝衰竭(ACLF)的疗效。  方法  计算机检索PubMed、EMBASE、Cochrane library、Clinical Trial、CNKI、SinoMed和万方数据库中关于不同形式人工肝治疗ACLF患者的随机对照试验。根据纳入排除标准进行文献筛选、资料提取及方法学质量评价,采用Stata15.1及R4.1.0软件进行网状Meta分析。  结果  共纳入14篇文献,共计1141例患者。网状Meta分析结果显示:不同干预方式交叉对比降低病死率差异均无统计学意义(P值均>0.05),排序概率图显示降低30 d病死率血浆置换(PE)最优,其他依次为体外细胞疗法(ELAD)、分级血浆分离吸附(Prometheus)、分子吸附再循环系统(MARS)、Biologic-DT肝脏透析设备、PE+MARS。降低90 d病死率PE最优,其他依次为Prometheus、ELAD、MARS。改善肝性脑病方面,Biologic-DT最优,其他依次为MARS、PE+MARS、ELAD。出血风险最低者为ELAD,与标准医学治疗(SMT)相比Biologic-DT可能增加出血风险(RR=1.9×108,95%CI: 4.6~6.2×1027)。  结论  PE可能是降低ACLF患者30 d及90 d病死率的最优选择。Biologic-DT可能在改善肝性脑病方面效果较好,但有可能增加出血风险。
整合证据链、Roussel Uclaf因果关系评价法、结构化专家观点程序对药物性肝损伤的诊断效用分析
何婷婷, 梁庆升, 王丽苹, 梁龙鑫, 李筱涵, 崔延飞, 景婧, 柏兆方, 宫嫚, 王睿林
2022, 38(1): 141-147. DOI: 10.3969/j.issn.1001-5256.2022.01.022
摘要(1544) HTML (262) PDF (2269KB)(99)
摘要:
  目的  从西药肝损伤和中药肝损伤2个维度对目前诊断药物性肝损伤的3种常用诊断方法进行临床适用性分析,并比较其特征及差异。  方法  前瞻性队列研究纳入2015年1月—2020年12月入住解放军总医院第五医学中心的非中西药联合应用的急性药物性肝损伤住院患者289例为研究对象,其中,中药肝损伤187例,西药肝损伤102例。分别应用整合证据链(IEC)、Roussel Uclaf因果关系评价法(RUCAM)、结构化专家观点程序(SEOP)3种诊断方法对289例患者进行诊断,收集患者急性起病时的一般资料、潜伏期、详细服药情况、实验室指标ALT、AST、GGT、ALP、TBil等。统计分析3种诊断方法分别对西药肝损伤和中药肝损伤病例诊断结果评定的一致性和各自适用性。计量资料组间比较采用Kruskal-Wallis H检验,计数资料组间比较采用χ2检验。  结果  西药肝损伤与中药肝损伤的临床肝损伤类型均以肝细胞型为主(81.4%、74.3%),实验室指标表现为有更高的ALT和AST水平。应用IEC、RUCAM、SEOP分别对西药肝损伤病例进行诊断,临床诊断率依次为65.7%、100%、63.7%;西药肝损伤构成比依次是23.2%、35.3%和22.5%。再依次对中药肝损伤病例进行诊断,临床诊断率分别为47.6%、100%、29.9%;中药肝损伤构成比分别为30.8%、64.7%、19.4%。一致性检验结果显示,在诊断西药肝损伤病例时,除IEC与SEOP评价结果存在一致性外(Kappa=0.785,P<0.05),RUCAM vs IEC(Kappa=0.149,P>0.05)和RUCAM vs SEOP (Kappa=0.117,P>0.05)的一致性评定结果均较差。在诊断中药肝损伤时,RUCAM vs SEOP(Kappa=0.066,P>0.05) 的一致性评定结果较差,而RUCAM vs IEC(Kappa=0.026,P<0.05)和IEC vs SEOP(Kappa=0.437,P<0.05)评价结果存在一致性。  结论  IEC对西药肝损伤和中药肝损伤均有较好的适用性,IEC与SEOP在诊断西药肝损伤时存在一致性,虽然在诊断中药肝损伤病例结果间也存在一致性,但一致性水平较低。RUCAM与另2种诊断方法评定结果的一致性均较差。临床对药物性肝损伤患者进行诊断时,应综合运用IEC、RUCAM和SEOP,以便更准确地判断药物与肝损伤之间因果关系。
419例药物性肝损伤患者临床特点与自身抗体特征分析
陈凤欣, 曾湛, 孙芳芳, 胡蕾苹, 路遥, 张璐, 李明慧, 谢尧
2022, 38(1): 148-153. DOI: 10.3969/j.issn.1001-5256.2022.01.023
摘要(1353) HTML (289) PDF (2079KB)(111)
摘要:
  目的  研究药物性肝损伤(DILI)患者的临床特点与自身抗体特征。  方法  回顾性分析2014年9月—2018年9月首都医科大学附属北京地坛医院收治的肝功能异常且通过RUCAM评分临床诊断为DILI的患者,收集入院时的基线肝功能、肾功能、血常规、免疫五项、自身抗体、肝穿刺活检结果。计量资料满足正态性2组间比较使用t检验;计量资料不满足正态性2组间比较使用Mann-Whitney U检验。采用卡方检验研究不同性别、肝损伤类型之间的自身抗体检出率是否存在差异;用logistic回归方法分析自身抗体与性别、年龄、损伤类型之间是否存在回归关系;以各项基线化验结果做自变量,ANA的滴度分级作为因变量做有序logistic回归分析。  结果  共入组419例DILI患者,中位年龄47(35~55)岁,其中男性占32.5%(136/419),女性占67.5%(283/419);肝细胞型有88例(21.5%),混合型87例(21.2%),胆汁淤积型235例(57.3%)。自身抗体检出率为50.6%(212/419),其中抗核抗体检出率为42.9%(180/419),抗体滴度以1∶ 100为主(104/180)。不同性别(χ2=2.658,P=0.103)与不同损伤类型(χ2= 0.859,P=0.651)之间的自身抗体检出率差异均无统计学意义。二元logistics回归提示性别、年龄和损伤类型与自身抗体之间均不存在回归关系(P值均>0.05)。自身抗体阳性组和阴性组患者的PTA和INR存在显著差异(t=2.161,P=0.031;Z=-3.010,P=0.003)。有序logistics回归提示INR和IgG与ANA分级有相关性(OR=3.101,P=0.040; OR=1.043,P=0.014)。  结论  DILI患者自身抗体检出率较高,但自身抗体检出率与性别、损伤类型、年龄无关,自身抗体阳性与阴性患者之间的PTA和INR存在差异,INR和IgG水平与ANA抗体滴度有相关性。
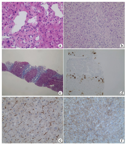
进行性家族性肝内胆汁淤积症3型临床病理特征分析
翁宇航, 熊清芳, 刘杜先, 张胥磊, 杨永峰
2022, 38(1): 154-159. DOI: 10.3969/j.issn.1001-5256.2022.01.024
摘要(1845) HTML (764) PDF (2621KB)(140)
摘要:
  目的  探讨进行性家族性肝内胆汁淤积症3型(PFIC3)患者临床与病理学特征。  方法  回顾分析了2017年1月—2019年12月南京市第二医院就诊的1326例不明原因肝病患者临床资料,通过临床、病理表现及基因测序确诊PFIC3患者8例(其中1例因禁忌证未行肝组织穿刺)。分析患者临床、检验、影像、病理结果,并对ABCB4相关疾病的病理文献进行回顾,总结PFIC3临床及病理特征。  结果  8例PFIC3患者,其中男5例,女3例,中位年龄29.5岁。50%(4/8)表现为慢性胆汁淤积,50%(4/8)表现胆汁性肝硬化,肝硬化中75%(3/4)合并门静脉高压表现。生化检查中,75%(6/8)表现为ALP升高,100%(8/8)表现GGT升高。影像检查中,50%(4/8)表现为胆囊炎,25%(2/8)表现为胆囊结石,25%(2/8)患者胆管扩张,75%(6/8)患者脾脏肿大,25%(2/8)表现为肝硬化。肝穿刺病理中,所有患者均表现为胆管损伤和/或胆管减少,其中57.1%(4/7)表现为胆管缺失。多耐药蛋白3(MDR3)免疫组化染色42.9%(3/7)正常表达,57.1%(4/7)表达减少。根据文献回顾,其中包含胆管描述或MDR3免疫组化的文献17篇。7例低磷脂相关性胆石症中,胆管正常占71.4%(5/7),胆管减少占14.3%(1/7),胆管缺失占14.3%(1/7);6例妊娠期肝内胆汁淤积症中,胆管正常占16.7%(1/6),胆管减少占50%(3/6),胆管缺失占33.3%(2/6);8例PFIC3中,胆管减少占25%(2/8),胆管缺失占75%(6/8);21例PFIC3患者MDR3表达正常占9.5%(2/21),表达减少占23.8%(5/21),表达缺失占66.7%(14/21)。  结论  PFIC3以胆汁淤积、胆石症、肝纤维化为主要表现。病理表现为胆管损伤,严重者可伴胆管减少或缺失,且损伤程度与疾病严重程度相关。MDR3免疫组化可表现为正常、减少或表达缺失,正常表达患者仍不能排除诊断,必要时行基因检测确诊。
论著_胆道疾病
腹腔镜胆囊切除术中吲哚菁绿胆道造影精准识别胆总管的应用
杨君, 靳浩
2022, 38(1): 160-163. DOI: 10.3969/j.issn.1001-5256.2022.01.025
摘要(1572) HTML (734) PDF (2140KB)(100)
摘要:
  目的  胆总管损伤是腹腔镜胆囊切除术(LC)中的常见并发症。采用吲哚菁绿(ICG)术中显影的方法精准识别胆总管,以期降低腹腔镜胆囊切除术中胆总管损伤的发生率。  方法  纳入珠海市人民医院2021年4月— 6月行LC患者68例,其中行常规LC患者56例,ICG胆道造影引导下LC患者12例。常规LC组患者用腹腔镜白光、ICG胆道造影组用近红外光检查胆总管、胆囊管和胆囊。采用倾向评分匹配法对两组术前数据进行平衡。采用t检验和χ2检验比较两组术中出血量、手术时间、术后住院时间及胆总管损伤发生率。  结果  胆道造影组术中出血量、手术时间、术后住院时间及并发症发生率分别为(3.1±0.9)mL,(20.2±1.6)min,(1.2± 0.3)d和0;明显低于常规组的(10.8±2.3)mL,(48.3±5.1)min,(2.3±0.8)d和8.3%(t值分别为-22.709、-19.856、-19.507,χ2=1.287,P值均<0.05)。  结论  ICG胆道造影是LC术中鉴别胆总管和胆囊管的有效方法,可有效预防胆总管的损伤。方法胆道辨识度更高、起效时间长、可重复使用、操作方便,并可联合术中导航设备,在应用于胆囊结石患者的治疗中具有明显优势。
病例报告
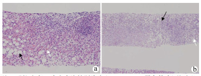
嗜酸性粒细胞增多性重症肝炎1例报告
苏洁, 王景宇, 黄兴, 潘煜, 齐月, 华瑞
2022, 38(1): 164-166. DOI: 10.3969/j.issn.1001-5256.2022.01.026
摘要(1590) HTML (309) PDF (2349KB)(100)
摘要:
ATP7B基因复合杂合突变合并妊娠期急性脂肪肝1例报告
杨丹, 张翠薇, 邓明明
2022, 38(1): 167-169. DOI: 10.3969/j.issn.1001-5256.2022.01.027
摘要(968) HTML (376) PDF (3181KB)(66)
摘要:
以亚急性肝衰竭为首发表现的IgG4相关性自身免疫性肝炎1例报告
蒋黎, 刘慧敏, 毛青
2022, 38(1): 170-173. DOI: 10.3969/j.issn.1001-5256.2022.01.028
摘要(1579) HTML (431) PDF (3941KB)(84)
摘要:
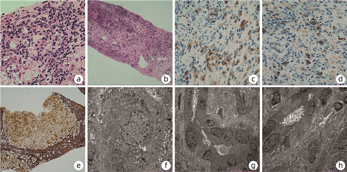
肝滤泡树突细胞肉瘤1例报告
李晨光, 贾继尧, 孙栾彪, 高硕徽
2022, 38(1): 174-176. DOI: 10.3969/j.issn.1001-5256.2022.01.029
摘要(1626) HTML (458) PDF (2854KB)(70)
摘要:
食管胃静脉曲张内镜下治疗后并发可逆性后部脑病综合征1例报告
于亭亭, 姜珊珊, 朱萌然, 白云
2022, 38(1): 177-179. DOI: 10.3969/j.issn.1001-5256.2022.01.030
摘要(816) HTML (198) PDF (3069KB)(57)
摘要:
综述
干扰素刺激基因抗HBV感染的研究进展
练韵文, 郑杏容, 吴和维, 高志良, 陈希瑶, 谢婵
2022, 38(1): 180-186. DOI: 10.3969/j.issn.1001-5256.2022.01.031
摘要(1705) HTML (1217) PDF (3342KB)(301)
摘要:
HBV感染与肝硬化、肝癌及肝衰竭等不良事件密切相关,严重威胁人类健康。聚乙二醇干扰素是治疗慢性乙型肝炎不可或缺的药物,干扰素刺激基因与多种病毒感染相关,但与乙型肝炎的关系及干扰素治疗乙型肝炎后的预测作用仍较少被提及。介绍了干扰素治疗慢性乙型肝炎相关的预测因素,总结了干扰素刺激基因与乙型肝炎的关系及其预测作用,为临床工作及基础研究提供参考。
肝内胆管改变与肝纤维化的关系
尤文铮, 任万雷, 宣世英, 胡豆豆
2022, 38(1): 187-190. DOI: 10.3969/j.issn.1001-5256.2022.01.032
摘要(1380) HTML (409) PDF (1972KB)(127)
摘要:
肝硬化是由多种原因引起的以弥漫性纤维组织增生、肝小叶结构破坏、假小叶形成为特征的肝病。在多种肝硬化动物模型及不同病因肝硬化患者中均可见胆管增生。多种神经肽、神经递质及激素等调节因子参与的信号通路调控胆管增生。增生的胆管通过介导星状细胞增殖、活化,促进肝纤维化的形成。总结了肝硬化时肝内胆管系统的改变及其对纤维化进程的影响,胆管细胞增生与肝纤维化相关的信号通路,以及胆管结构的动态演变对肝纤维化程度的预测价值。提出胆管增生可能成为干预肝纤维化的潜在靶点,为早期治疗及逆转肝纤维化提供新的思路和方法。
肝硬化肌少症的发病机制与诊疗现状
刘钰懿, 陈东风, 颜綦先
2022, 38(1): 191-195. DOI: 10.3969/j.issn.1001-5256.2022.01.033
摘要(1423) HTML (331) PDF (1987KB)(158)
摘要:
肌少症是肝硬化患者常见的并发症,发病率高达40%~70%,增加肝硬化患者并发症的发生,严重影响患者的生活质量和生存期。肝硬化肌少症发病机制复杂,临床表现易被忽略,诊断标准尚未达成共识,针对性治疗药物较少,亟待临床医生高度重视,并加强其发病机制的研究和治疗药物的研发。
非酒精性脂肪性肝病相关肝细胞癌的研究进展
辜雪莲, 李俊峰, 毛小荣
2022, 38(1): 196-200. DOI: 10.3969/j.issn.1001-5256.2022.01.034
摘要(1701) HTML (681) PDF (2546KB)(238)
摘要:
非酒精性脂肪性肝病相关肝细胞癌发病率在世界范围内呈增长趋势,然而其发病机制仍不明确。结合近年文献,总结脂肪组织炎症、氧化应激、肠道菌群及胰岛素抵抗在非酒精性脂肪性肝病相关肝细胞癌发病过程中的作用,并针对以上机制的防治进展进行综述,为其治疗提供新思路。
非酒精性脂肪性肝病体外模型的研究进展
卢晓臣, 韩红梅
2022, 38(1): 201-205. DOI: 10.3969/j.issn.1001-5256.2022.01.035
摘要(1896) HTML (954) PDF (2000KB)(278)
摘要:
非酒精性脂肪性肝病发病率逐年上升,其治疗手段有限,对其发病机制的研究是当前热点。为了更好地阐明其发病机制,迫切需要开发先进、安全、有效的体外模型或体内模型,以了解并制订针对该疾病的治疗策略。本文回顾了目前常用于非酒精性脂肪性肝病临床前研究的体外模型,并讨论了其各自的优缺点,为研究非酒精性脂肪性肝病发病机制及治疗提供理论依据。
莱菔硫烷对肝损伤的保护作用及相关机制研究进展
马欣雨, 段婷婷, 徐敬娅, 赵佳鹤, 张春蕾, 李宝龙
2022, 38(1): 206-209. DOI: 10.3969/j.issn.1001-5256.2022.01.036
摘要(1253) HTML (517) PDF (1983KB)(53)
摘要:
莱菔硫烷广泛存在于十字花科植物,是一种具有多种生物活性的植物化学物。本文对近年来国内外莱菔硫烷治疗各种不同类型肝损伤的实验研究进行总结,对莱菔硫烷保护肝损伤的作用及相关机制进行综述。以实验动物肝损伤模型为基础,归纳了莱菔硫烷对化学性、药物性、酒精性、免疫性及缺血再灌注等肝损伤模型的治疗作用,分析了莱菔硫烷改善实验性肝损伤的作用机制,为莱菔硫烷在肝损伤保护方面的深入研究提供参考。
靶向自噬缓解肝缺血再灌注损伤的研究进展
李振, 王科, 王凯强, 俞科贤
2022, 38(1): 210-214. DOI: 10.3969/j.issn.1001-5256.2022.01.037
摘要(1219) HTML (358) PDF (3164KB)(68)
摘要:
肝缺血再灌注损伤(HIRI)是肝切除和肝移植术后常见的临床问题,是导致移植术后肝功能障碍和肝功能衰竭的主要原因。近年来,自噬介导的途径成为缓解HIRI的研究热点。自噬是指细胞通过将大量细胞质、受损细胞器等底物运输到溶酶体内进行消化降解以不断更新重塑再利用细胞的过程。本文从基因、蛋白、信号通路、炎症反应、氧化应激反应、线粒体及内质网应激等方面总结了靶向自噬途径缓解HIRI相关机制的研究进展,并围绕研究中存在的问题进行了讨论和展望,以期为今后通过靶向自噬途径缓解HIRI的研究提供理论支持。
终末期肝病营养支持的研究现状
马红琳, 杨婧, 金秋, 罗润, 冷娇, 王霞
2022, 38(1): 215-219. DOI: 10.3969/j.issn.1001-5256.2022.01.038
摘要(1345) HTML (352) PDF (1987KB)(207)
摘要:
营养不良在终末期肝病患者中发生率较高,常促进疾病的进展,对患者的预后产生不良影响。简述了终末期肝病营养不良的病因,重点介绍了终末期肝病营养筛查、评定及治疗的国内外研究进展。希望能对我国终末期肝病患者的营养支持提供启示。
免疫检查点抑制剂所致肝脏不良反应的研究进展
王宇, 李钊颖, 李爽, 刘成海
2022, 38(1): 220-223. DOI: 10.3969/j.issn.1001-5256.2022.01.039
摘要(2516) HTML (364) PDF (1985KB)(299)
摘要:
免疫检查点抑制剂通过阻断T淋巴细胞负性调控信号以达到增强T淋巴细胞抗肿瘤效应的同时,也可能造成免疫耐受失衡或正常免疫亢进从而导致免疫性肝炎。本文主要通过对免疫检查点抑制剂的治疗机制,导致肝损伤的不良反应机制、危险因素以及发生率等方面进行回顾分析,并且对免疫检查点抑制剂导致肝损伤的治疗方法进行初步归纳。认为免疫检查点抑制剂在促进抗肿瘤免疫的同时,由于作用机制的非肿瘤组织靶点特异性,可能造成非同质化的免疫相关的肝损伤,治疗上以恢复免疫稳态为主。因此,免疫检查点抑制剂应用患者的管理往往需要在治疗窗、毒性和特定损伤治疗之间取得平衡,并开展多学科协作。
瞬时感受器电位离子通道蛋白V4在肝脏疾病中的作用机制
张腊英, 陈明锴
2022, 38(1): 224-227. DOI: 10.3969/j.issn.1001-5256.2022.01.040
摘要(1333) HTML (540) PDF (1981KB)(56)
摘要:
瞬时感受器电位离子通道蛋白V4 (TRPV4)属于瞬时感受器电位离子通道家族中的一员,是一种非选择性阳离子通道,其广泛分布在多种组织及器官中。近年来越来越多的研究介绍了TRPV4通道蛋白与肝纤维化、肝癌、多囊性肝病等肝脏疾病的密切关系。本文主要对TRPV4与肝脏疾病的有关文献进行分析,归纳总结TRPV4与肝脏疾病之间确切的信号通路及可能的潜在机制,以期临床应用及进一步研究。
婴儿胆汁淤积性肝病的营养评估与治疗管理
杜丽娜, 夏露露, 闫洁, 郭紫云, 杨燕
2022, 38(1): 228-232. DOI: 10.3969/j.issn.1001-5256.2022.01.041
摘要(1415) HTML (302) PDF (1989KB)(86)
摘要:
婴儿胆汁淤积性肝病患者常伴有营养不良,而营养不良又可以影响其预后发展。引起营养不良的因素很多,也有多种营养不良的评价方法,但目前肝病患者的营养评估没有统一的标准,需要多种指标和方法进行综合分析评估。分析了胆汁淤积性肝病患者营养不良的常见原因,介绍了营养评估方法,包括人体测量、实验室检查、营养评价工具等,并对营养干预治疗进行了阐述,以提高胆汁淤积性肝病患者营养问题的认识。早期识别以及合理干预有助于提高患者的生活质量,改善预后。
自发性细菌性腹膜炎的分子诊断研究进展
吴浩馨, 胡中杰
2022, 38(1): 233-235. DOI: 10.3969/j.issn.1001-5256.2022.01.042
摘要(1002) HTML (279) PDF (1961KB)(96)
摘要:
自发性细菌性腹膜炎(SBP)是终末期肝病最常见的感染类型,SBP的诊断和治疗面临着很大的困难和挑战。近些年来,分子诊断技术尽管获得了极大的进步,但未广泛应用于临床实践。本文根据SBP的诊断现状,综述分子微生物诊断方法在SBP诊断上的进展,单纯细菌定性并不能明确细菌DNA与临床表现的关系,细菌定量结合其类型更能准确描述SBP的生物学特征,可为SBP及其特殊类型的诊断和指导抗菌药物的应用提供可能。
长链非编码RNA对胰腺癌侵袭转移分子机制的影响
徐建, 潘燕妮, 刘欣原, 江建新
2022, 38(1): 236-240. DOI: 10.3969/j.issn.1001-5256.2022.01.043
摘要(1234) HTML (584) PDF (2998KB)(92)
摘要:
胰腺癌是一种恶性程度极高的消化道肿瘤,由于其高度侵袭转移特性,使得目前胰腺癌患者的总体生存率仍非常低。长链非编码RNA(lncRNA)可通过表观遗传调控、转录调控或转录后调控等多种方式参与胰腺癌的发生发展及侵袭转移过程。lncRNA在胰腺癌中表达失调,并通过特定调控方式使其发生上皮间充质转化,进而引起肿瘤细胞生物学行为发生改变。本文就研究lncRNA在胰腺癌中促使其发生上皮间充质转化,作为ceRNA调控肿瘤的生物学功能,并通过调控肿瘤细胞铁死亡、自噬及外泌体等多途径影响胰腺癌发生侵袭转移进行简要综述,为胰腺癌的早期诊断及治疗提供理论依据和新的靶点。
国外期刊精品文章简介
慢性药物性肝损伤生化学未缓解的列线图预测模型的建立
纪冬
2022, 38(1): 166-166.
摘要(352) HTML (209) PDF (905KB)(42)
摘要:
调节性T淋巴细胞和中性粒细胞胞外陷阱相互作用促进非酒精性脂肪性肝炎向肝细胞癌转化
王涵, 田德安
2022, 38(1): 195-195.
摘要(405) HTML (206) PDF (905KB)(62)
摘要:
消息
《临床肝胆病杂志》2022年1-8期重点号选题及各期执行主编
2022, 38(1): 163-163.
摘要(364) HTML (222) PDF (897KB)(52)
摘要:
《临床肝胆病杂志》再度获评“百种中国杰出学术期刊”
2022, 38(1): 176-176.
摘要(374) HTML (119) PDF (897KB)(32)
摘要:
《临床肝胆病杂志》被Scopus数据库收录
2022, 38(1): 179-179.
摘要(338) HTML (231) PDF (1432KB)(36)
摘要:
《临床肝胆病杂志》关于不法人员冒用本刊名义实施邮件诈骗的严正声明
2022, 38(1): 200-200.
摘要(351) HTML (194) PDF (897KB)(34)
摘要:
志谢
本期审稿专家
2022, 38(1): 61-61. DOI: 10.3969/j.issn.1001-5256.zhixie
摘要(903) HTML (245) PDF (971KB)(56)
摘要:

于乐成  万 红  王爱平  王 磊  孔媛媛  成 雨  朱 英  朱 萱  乔士兴  任永强  刘近春  刘 晖  

刘海林  刘彬彬  刘 梅  刘银坤  刘鸿凌  许红梅  孙长宇  孙明瑜  苏智军  杜锡林  李广阔  李宏宇  

李振方  肖永红  肖 琳  吴河水  吴 彪  张秋瓒  陈 虹  陈 晶  武晓岩  范春蕾  金 洁  赵海平  

赵 攀  郝建宇  胡中杰  钟碧慧  郜玉峰  施维群  宫 嫚  党晓卫  黄 华  曹武奎  韩 涛  韩焕钦  

韩聚强  傅晓辉  鲁晓岚  童 欢  曾维政  福军亮  管小琴  廖柏明  樊艳华  颜炳柱  霍继荣  戴 炜

《临床肝胆病杂志》2020年—2021年领军人物
《临床肝胆病杂志》2020年—2021年领军人物
2022, 38(1): 241-241.
摘要:
《临床肝胆病杂志》2020年—2021年优秀审稿专家
《临床肝胆病杂志》2020年—2021年优秀审稿专家
2022, 38(1): 242-242.
摘要:
《临床肝胆病杂志》第十六届编委会(2019年—2022年)
《临床肝胆病杂志》第十六届编委会(2019年—2022年)
2022, 38(1): 244-245.
摘要:
《临床肝胆病杂志》第四届审稿专家(2019年—2022年)
《临床肝胆病杂志》第四届审稿专家(2019年—2022年)
2022, 38(1): 246-246.
摘要:
《临床肝胆病杂志》稿约
《临床肝胆病杂志》稿约
2022, 38(1): 247-248.
摘要(417) HTML (220) PDF (1199KB)(69)
摘要: