中文English
ISSN 1001-5256 (Print)
ISSN 2097-3497 (Online)
CN 22-1108/R

留言板

尊敬的读者、作者、审稿人, 关于本刊的投稿、审稿、编辑和出版的任何问题, 您可以本页添加留言。我们将尽快给您答复。谢谢您的支持!

姓名
邮箱
手机号码
标题
留言内容
验证码
2023年 第8期
“代谢相关脂肪性肝病/非酒精性脂肪性肝病新认识”重点号
执行主编:范建高
上海交通大学医学院附属新华医院

显示方式:
述评
高正常ALT慢性乙型肝炎患者应否启动抗病毒治疗
李欣洁, 沈弢, 庄辉
2023, 39(8): 1769-1774. DOI: 10.3969/j.issn.1001-5256.2023.08.001
摘要(1817) HTML (383) PDF (1773KB)(269)
摘要:
现行指南建议对ALT升高和HBV DNA阳性慢性乙型肝炎(CHB)患者给予抗病毒治疗。但越来越多的研究表明,血清高正常ALT(0.5~1倍正常值上限)慢性HBV感染者的肝组织可见显著坏死炎症和/或纤维化,并存在进展性肝病如肝硬化、肝细胞癌、乙型肝炎相关并发症甚至死亡的风险。本文讨论了血清高正常ALT的定义、血清高正常ALT慢性乙型肝炎患者的临床和病毒学特点,以及对此类患者应否启动抗病毒治疗。
非酒精性脂肪性肝病新认识与再更名
杨蕊旭, 范建高
2023, 39(8): 1775-1779. DOI: 10.3969/j.issn.1001-5256.2023.08.002
摘要(1387) HTML (626) PDF (1666KB)(335)
摘要:
非酒精性脂肪性肝病是一种多系统受累的代谢性疾病,与胰岛素抵抗和遗传易感密切相关。目前非酒精性脂肪性肝病已成为我国乃至全球最常见的慢性肝病。本文就非酒精性脂肪性肝病的诊断和评估、非药物治疗、合并慢性乙型肝炎、靶向肠道菌群治疗策略以及更名争议等专家论坛的热点话题进行述评。
专家论坛
非酒精性脂肪性肝病的诊断与评估
张馨元, 刘宇, 王文玲, 李荣宽
2023, 39(8): 1780-1788. DOI: 10.3969/j.issn.1001-5256.2023.08.003
摘要(2766) HTML (733) PDF (1717KB)(418)
摘要:
非酒精性脂肪性肝病(NAFLD)是临床最常见肝病之一,其发病率在全球范围内持续增加。NAFLD包括非酒精性肝脂肪变,并可以进一步进展为非酒精性脂肪性肝炎、肝硬化和肝细胞癌。迄今为止,肝活检被认为是评估肝脂肪变性和纤维化的“金标准”。但鉴于活检在大范围筛查中存在着局限性,用于评估NAFLD各个阶段的非侵入性测试对患者诊断及预后管理的作用显得愈发重要。本文总结了NAFLD诊断与评估的最新进展。
代谢相关脂肪性肝病生活方式干预治疗进展
纪童童, 李鑫飞, 于岩岩, 徐小元, 徐京杭
2023, 39(8): 1789-1796. DOI: 10.3969/j.issn.1001-5256.2023.08.004
摘要(1458) HTML (879) PDF (1706KB)(244)
摘要:
代谢相关脂肪性肝病(MAFLD)全球患病率高达25%~30%,MAFLD与肝硬化、肝细胞癌、肝外恶性肿瘤、糖尿病、心血管疾病的发病率和死亡率密切相关,带来了巨大的疾病负担。生活方式的改变,包括饮食和体育锻炼来实现减重,仍是现阶段MAFLD的一线治疗措施。本文拟综述生活方式干预治疗MAFLD的进展,旨在为MAFLD的治疗提供借鉴。
慢性乙型肝炎合并非酒精性脂肪性肝病:当前的认识与争议
阳韬, 李军
2023, 39(8): 1797-1804. DOI: 10.3969/j.issn.1001-5256.2023.08.005
摘要(1336) HTML (331) PDF (1704KB)(256)
摘要:
我国有众多慢性乙型肝炎(CHB)患者,近些年非酒精性脂肪性肝病(NAFLD)发病率也不断上升,CHB合并NAFLD的患病率也呈现上升趋势。由于CHB和NAFLD的最终结局是导致肝硬化和肝细胞癌的发生,因此两种疾病并存已经引起了广泛的关注和研究。目前CHB合并NAFLD导致肝细胞癌风险、全因死亡率和抗病毒治疗效果仍有争议,且相互作用机制仍不清楚。因此本文就CHB合并NAFLD进行简要综述,并对目前其相互关系进行探讨,为临床治疗提供参考。
肠道菌群及其代谢产物在非酒精性脂肪性肝病发生发展及治疗中的作用
李永强, 唐文娟, 周永健
2023, 39(8): 1805-1810. DOI: 10.3969/j.issn.1001-5256.2023.08.006
摘要(1797) HTML (681) PDF (1684KB)(295)
摘要:
非酒精性脂肪性肝病(NAFLD)是全世界最为常见的慢性肝病。肝脏与肠道之间有着紧密的结构及功能关系即“肠-肝轴”,其中肠道菌群可通过菌群易位、内源性乙醇的产生、胆汁酸和胆碱代谢的调节异常、内毒素血症等参与NAFLD的发生、发展。本文主要关注肠道菌群及代谢产物在NAFLD发生、发展及治疗中的作用进展。
指南与规范
临床试验中的药物性肝损伤识别、处理及评价指导原则
国家药品监督管理局药品审评中心
2023, 39(8): 1811-1816. DOI: 10.3969/j.issn.1001-5256.2023.08.007
摘要(1267) HTML (1409) PDF (1750KB)(263)
摘要:
《2022年国际立场声明:人血白蛋白在肝硬化相关并发症治疗中的应用》摘译
白朝辉, 杨永平, 杨丽, 祁兴顺
2023, 39(8): 1817-1818. DOI: 10.3969/j.issn.1001-5256.2023.08.008
摘要(1129) HTML (372) PDF (1625KB)(228)
摘要:
近期,来自19个国家的33名具有肝硬化相关并发症管理专业知识的研究人员经过三轮德尔菲法提出了12项有关人血白蛋白在肝硬化相关并发症治疗中应用的国际立场声明。本文对该部国际立场声明的主要内容进行中文摘译。
论著_病毒性肝炎
聚乙二醇干扰素α-2b治疗慢性乙型肝炎患者血清HBsAg清除率的效果分析
李宽, 宁会彬, 靳慧鸣, 彭真, 尚佳
2023, 39(8): 1819-1824. DOI: 10.3969/j.issn.1001-5256.2023.08.009
摘要(1980) HTML (597) PDF (1687KB)(197)
摘要:
  目的  真实世界中评价聚乙二醇干扰素α-2b(PEG-IFNα-2b)在治疗慢性乙型肝炎(CHB)中清除HBsAg的效果。  方法  回顾性纳入2017年6月—2021年1月就诊于河南省人民医院感染科的411例CHB患者,所有患者均应用PEG-IFNα-2b治疗。收集患者性别、年龄、抗病毒治疗方案、基线HBsAg水平、治疗后HBsAg水平,观察分析24、48及96周HBsAg清除率。在不同HBsAg基线水平(<500 IU/mL、500~1 500 IU/mL、1 501~5 000 IU/mL)及不同既往治疗情况和治疗方案后应用PEG-IFNα-2b,比较各随访节点的HBsAg清除率。计量资料两组间比较采用成组t检验,计数资料组间比较采用χ2检验和趋势性χ2检验。  结果  完成24周治疗患者HBsAg清除率9.9%(26/263)。完成48周治疗患者HBsAg清除率19.7%(25/127)。完成96周治疗患者HBsAg清除率41.7%(30/72)。不同基线HBsAg水平患者治疗24、48及96周时HBsAg清除率比较差异均有统计学意义(χ2值分别为52.265、32.764、30.918,P值均<0.01),随着治疗时间延长,HBsAg清除率逐渐升高,并且这种趋势有统计学意义(趋势χ2值分别为44.517、29.147、22.260,P值均<0.01)。随访24、48及96周时,HBsAg 500~1 500 IU/mL组和1 501~5000 IU/mL组的HBsAg清除率较HBsAg<500 IU/mL组均明显下降(P值均<0.001)。在治疗24、48及96周时,治疗情况(初治或经治)及治疗方案(单用或联合)患者相比较,仅初治与经治组在男女比例上存在差异(χ2=5.029,P=0.025);初治或经治组间、单用或联合治疗组间HBsAg清除率比较差异均无统计学意义(P值均>0.05)。  结论  PEG-IFNα-2b在治疗CHB中对清除HBsAg有良好的效果,并且基线HBsAg水平越低,HBsAg清除率越高,随着治疗时间的延长,HBsAg清除率呈上升趋势。基线HBsAg 500 IU/mL可作为优势人群的分界点。
早期血清前S1抗原(PreS1)对干扰素α治疗的HBeAg阳性慢性乙型肝炎儿童HBsAg阴转的预测价值
樊佩瑶, 王福川, 高银杰, 徐志强, 董漪, 闫建国, 曹丽丽, 冯丹妮, 钟彦伟, 张敏
2023, 39(8): 1825-1831. DOI: 10.3969/j.issn.1001-5256.2023.08.010
摘要(905) HTML (347) PDF (2264KB)(66)
摘要:
  目的  探讨血清前S1抗原(PreS1)水平作为预测干扰素α(IFN-α)治疗48周的HBeAg阳性慢性乙型肝炎(CHB)儿童HBsAg转阴指标的价值。  方法  纳入2016年6月—2020年1月接受IFN-α治疗48周的88例1~16岁HBeAg阳性CHB患儿,每3个月评估患儿的HBsAg定量(qHBsAg)、HBV DNA定量、ALT等,并采用磁微粒化学发光免疫分析法(双抗体夹心法)检测PreS1水平。根据IFN-α治疗48周终点时HBsAg是否转阴分为转阴组(n=17)和未转阴组(n=71)。计量资料的两组间比较采用Mann-Whitney U检验,计数资料的两组间比较采用χ2检验或Fisher精确检验。用Spearman秩相关检验评估PreS1水平和其他生物标志物之间的关系。用受试者工作特征曲线下面积(AUC)评估不同标志物对IFN-α治疗48周终点HBsAg转阴的预测价值。  结果  PreS1水平与血清qHBsAg、HBV DNA水平呈正相关(r值分别为0.912、0.535,P值均<0.05)。基线时,PreS1/qHBsAg比值(AUC=0.694)较PreS1水平(AUC=0.530)和qHBsAg水平(AUC=0.514)具有较好的48周HBsAg转阴预测价值。治疗12周的PreS1水平(AUC=0.867,P<0.001)和PreS1/qHBsAg比值下降量(AUC=0.800,P=0.002)均对48周终点时HBsAg转阴有很好的预测作用。治疗24周的PreS1水平、qHBsAg水平和HBV DNA均可有效预测第48周的HBsAg转阴,AUC分别为0.917、0.949和0.762(P值均<0.001)。  结论  治疗12周时血清PreS1水平和PreS1/qHBsAg比值下降量是预测IFN-α治疗期间CHB患儿HBsAg转阴的候选标志物。
抗-HBs联合抗-HBe对HBsAg/HBeAg/抗-HBc阳性患者HBeAg血清学转换的预测价值
谭亚峰, 孙凤兰, 夏巍, 欧阳耀灵, 李承彬, 陈珍霞, 吴松, 余运运, 江涛
2023, 39(8): 1832-1840. DOI: 10.3969/j.issn.1001-5256.2023.08.011
摘要(959) HTML (623) PDF (2625KB)(71)
摘要:
  目的  建立HBsAg/HBeAg/抗-HBc阳性(以下简称“大三阳”)+抗-HBe阳性模式患者HBeAg血清学转换预测模型,并验证其预测价值。  方法  选取2018年4月1日—2022年8月1日于长江大学附属荆州医院行乙型肝炎血清标志物和HBV DNA定量检测的乙型肝炎患者6 055例,根据不同乙型肝炎血清学指标模式分为5组:HBsAg阴性组、HBsAg/抗-HBe/抗-HBc阳性组、大三阳+抗-HBe阳性组、大三阳+抗-HBs阳性组和大三阳组。分析不同乙型肝炎血清学指标模式的特点及不同组别中HBeAg水平的差异。非正态分布的多组连续性变量组间比较采用Kruskal-Wallis H检验。计数资料组间比较采用χ2检验。采用线性回归分析不同组别HBeAg水平差异。采用Logistic回归筛选独立影响因素,获得最优预测因子。通过受试者工作特征曲线(ROC曲线)验证预测效能。使用R Studio4.2.1建立预测模型并验证。  结果  与大三阳模式相比,大三阳+抗-HBe阳性、大三阳+抗-HBs阳性模式患者HBeAg水平均降低(P值均 < 0.01)。多因素Logistic回归分析显示,抗-HBe是HBeAg血清学转换的独立影响因素(P=0.014)。Lasso回归分析筛选结果显示,大三阳+抗-HBe阳性患者发生HBeAg血清学转换的最优预测因子为抗-HBe+抗-HBs。ROC曲线结果显示,抗-HBe+抗-HBs的AUC为0.733(95%CI: 0.588~0.878,P=0.004 8)。纳入抗-HBe+抗-HBs建立预测模型,其区分度(AUC=0.733)、准确度(C=0.733,B=0.20,P=0.946)、检测效能及稳定度(加强Bootstrap检验C=0.726)均表现良好。  结论  乙型肝炎患者体内抗-HBs或抗-HBe的出现均促进HBeAg水平下降,且抗-HBe促进HBeAg水平下降的能力强于抗-HBs。抗-HBe+抗-HBs可用于大三阳+抗-HBe阳性模式患者HBeAg血清学转换的预测。
单核细胞与高密度脂蛋白胆固醇比值对HBV相关慢加急性肝衰竭短期预后的预测价值
刘林, 王玲, 汤善宏
2023, 39(8): 1841-1847. DOI: 10.3969/j.issn.1001-5256.2023.08.012
摘要(918) HTML (237) PDF (1966KB)(71)
摘要:
  目的  探讨单核细胞与高密度脂蛋白胆固醇比值(MHR)对HBV相关慢加急性肝衰竭(HBV-ACLF)患者短期预后的预测价值。  方法  纳入西部战区总医院消化内科2015年1月1日—2021年12月31日住院HBV-ACLF患者131例,根据入院后90 d预后分为生存组(n=87)与死亡组(n=44)。回顾性分析患者的年龄、性别、BMI及入院后24 h内患者血常规、生化及凝血功能,并计算单核细胞与淋巴细胞比值(MLR)、MHR及MELD评分。正态分布的计量资料2组间比较使用成组t检验;非正态分布的计量资料2组间比较采用Mann-Whitney U检验;计数资料2组间比较采用χ2检验。采用二元Logistic回归分析各因素与HBV-ACLF短期预后的关系,绘制受试者工作特征曲线(ROC曲线)评价MHR对于HBV-ACLF患者短期预后的预测价值;通过Kaplan-Meier法分析高MHR组与低MHR组患者短期死亡情况。  结果  两组患者在年龄、BMI、WBC、中性粒细胞计数、淋巴细胞计数、单核细胞计数、AFP、Na+、TBil、INR、TG、MLR、MHR及MELD评分之间比较,差异均有统计学意义(P值均<0.05)。二元Logistic回归分析发现,年龄、BMI、Na+、TG、MLR、MHR、MELD评分为HBV-ACLF短期预后的独立危险因素(P值均<0.05)。MHR预测HBV-ACLF患者90 d生存率的曲线下面积为0.627(95%CI:0.522~0.732,P=0.018),MHR最佳截断值为2.472,其敏感度为0.591,特异度为0.690。Kaplan-Meier生存分析发现,高MHR组(MHR≥2.472)90 d生存率明显低于对应的低MHR组(MHR<2.472)(P=0.001)。  结论  在排除严重心血管疾病情况下,MHR可作为HBV-ACLF短期预后的临床预测指标,需扩大样本量进一步评估其预测价值。
慢性乙型肝炎与HBV相关慢加急性肝衰竭患者血浆外泌体差异miRNA的生物信息学分析
张舒阳, 毕研贞, 刘守胜, 柳盛, 辛永宁
2023, 39(8): 1848-1856. DOI: 10.3969/j.issn.1001-5256.2023.08.013
摘要(940) HTML (283) PDF (5016KB)(54)
摘要:
  目的  探讨慢性乙型肝炎(CHB)患者与HBV相关慢加急性肝衰竭(HBV-ACLF)患者血浆外泌体microRNA(miRNA)表达谱差异,分析其功能及生物学过程,以期获得可用于HBV-ACLF临床诊断的参考依据。  方法  选取2021年10月—2022年6月青岛市市立医院感染科住院的6例CHB患者及青岛市第六人民医院血液净化中心接受治疗的6例HBV-ACLF患者。运用Illumina高通量测序技术对这些患者的血浆外泌体miRNA进行检测,筛选差异miRNA并进行功能富集分析,分析其参与的生物学过程。检测得到的外泌体差异miRNA以倍数上调>2倍或下调>2倍且P<0.05为标准筛选。计量资料两组间比较采用Mann-Whitney U秩和检验。计数资料两组间比较采用χ2检验。  结果  筛选差异miRNA共249种,与CHB组相比,HBV-ACLF组上调miRNA 126种,下调miRNA 123种。生物信息学分析结果显示,这些差异表达miRNA主要参与了性腺发育、调控蛋白质稳定性、细胞对外界刺激反应等生物学过程,并与乙型肝炎、蛋白多糖在癌症中的作用、调节干细胞多能性、MAPK、Hippo、TNF、脂质代谢等信号通路密切相关。  结论  通过Illumina高通量测序技术筛选出的差异miRNA可能作为HBV-ACLF早期诊断及预后判断的生物标志物。
论著_脂肪性肝病
代谢相关脂肪性肝病发生脂肪性肝炎的无创诊断模型构建及分析
陈智恒, 高博文, 桂蓓, 施梅姐, 萧焕明, 谢玉宝, 黎胜, 池晓玲
2023, 39(8): 1857-1866. DOI: 10.3969/j.issn.1001-5256.2023.08.014
摘要(1271) HTML (415) PDF (2592KB)(162)
摘要:
  目的  通过临床一般资料、血清学指标及肝脏弹性成像无创检查手段,基于LASSO及Logistic回归建立代谢相关脂肪性肝病(MAFLD)发生脂肪性肝炎的诊断模型,并评估该模型的诊断价值。  方法  纳入2018年1月—2021年12月于广东省中医院诊断为MAFLD且完善肝病理活检的患者为研究对象299例,根据肝病理NAS评分将其分为脂肪性肝炎组(n=170)例和无脂肪性肝炎组(n=129)。先后通过LASSO回归及多因素Logistic回归筛选MAFLD发生脂肪性肝炎的影响因素,并建立无创诊断模型,利用列线图形式可视化,采用加强Bootstrap法进行内部验证,绘制ROC曲线及Calibration曲线,并在MAFLD+NAFLD和MAFLD+cHBVi两个亚组人群中观察模型的诊断效能,并与其他诊断模型进行比较分析。计数资料组间比较采用χ2检验;符合正态分布的计量资料组间比较采用成组t检验,不符合正态分布的计量资料组间比较采用Mann-Whitney U检验。采用多因素Logistic回归分析,筛选最佳诊断因素,构建列线图诊断模型,绘制受试者工作特征曲线(ROC曲线),计算ROC曲线下面积(AUC),并进一步采用加强Bootstrap法对模型进行内部验证,绘制Calibration曲线显示校准度。  结果  两组间BMI、ALT、AST、ADA、ALP、GGT、TBA、TCO2、UA、HbA1c比较差异均有统计学意义(P值均 < 0.05);FibroScan方面,两组LSM及CAP比较提示差异具有统计学意义(P值均 < 0.001);病理学方面,两组的纤维化等级、脂肪变积分、小叶炎症积分、气球样变积分及NAS总分差异均有统计学意义(P值均 < 0.001)。亚组队列方面,MAFLD+NAFLD有、无脂肪性肝炎组分别为63、48例,MAFLD+cHBVi有、无脂肪性肝炎组分别为90、71例。通过LASSO回归及多因素Logistic回归筛选出LSM、CAP、BMI、AST是判断MAFLD患者是否发生脂肪性肝炎的最佳诊断因素,并以此构建LCBA模型。LCBA模型结果提示,总MAFLD、MAFLD+NAFLD和MAFLD+cHBVi人群的AUC分别为0.816、0.866、0.764(P值均 < 0.001),ROC曲线对比显示均优于acNASH、HSI、NFS模型。  结论  LCBA模型用于诊断MAFLD患者是否发生脂肪性肝炎的效能稳定,且优于acNASH、HSI、NFS,值得临床推广。
25-羟维生素D、铁蛋白与代谢相关脂肪性肝病及FIB-4指数的相关性分析
李文豪, 刘志平, 赵致维, 张金华
2023, 39(8): 1867-1873. DOI: 10.3969/j.issn.1001-5256.2023.08.015
摘要(1096) HTML (257) PDF (2200KB)(109)
摘要:
  目的  探讨血清25-羟维生素D[25(OH)D]和铁蛋白(SF)水平与代谢相关脂肪性肝病(MAFLD)及FIB-4指数的相关性。  方法  回顾性分析2020年8月—2021年12月在武汉市汉口医院消化内科住院的595例患者临床资料。比较MAFLD患者(242例)与非MAFLD患者(353例)临床特征的差异。比较不同25(OH)D水平组MAFLD患病率及SF水平的差异。非正态分布的计量资料两组间比较采用Mann-Whitney U检验。计数资料组间比较采用χ2检验。采用Spearman相关性分析不同人群中血清25(OH)D与SF的相关性。采用二元Logistic回归分析25(OH)D和SF与MAFLD患病风险及FIB-4指数的关系。通过受试者工作特征曲线(ROC曲线)评估25(OH)D和SF预测MAFLD合并肝纤维化的诊断价值。  结果  与非MAFLD患者相比,MAFLD患者血清25(OH)D水平[15.35(11.26~20.02) vs 21.71(15.39~27.84)]明显降低,而SF水平[365.50(251.75~525.00) vs 205.00(112.50~275.00)]明显升高(Z值分别为-9.761、-13.317,P值均<0.05)。随着血清25(OH)D水平的降低,MAFLD患病率呈升高趋势,SF水平亦呈升高趋势(Z=75.512,P<0.05)。MAFLD患者中血清25(OH)D水平与SF存在显著负相关(r=-0.460,P<0.05)。Logistic回归分析结果显示,血清25(OH)D降低(OR=0.934,95%CI:0.879~0.992,P=0.028)和SF升高(OR=1.009,95%CI:1.006~1.013,P<0.001)是MAFLD的独立危险因素,而且25(OH)D降低还是MAFLD患者FIB-4指数升高(>2.67)的独立危险因素(OR=0.852,95%CI:0.752~0.965,P=0.012)。ROC曲线分析显示,血清25(OH)D、SF及二者联合预测MAFLD患者FIB-4指数升高(>2.67)的曲线下面积分别为0.793、0.829和0.851(P值均<0.05)。  结论  血清25(OH)D与SF存在负相关,血清25(OH)D降低和SF升高与MAFLD患病风险及FIB-4指数升高相关,血清25(OH)D和SF水平对预测MAFLD患者合并肝纤维化具有一定的临床价值。
代谢相关脂肪性肝病对颈动脉狭窄程度的影响
姜梓萌, 陈宇航, 张志娇, 郑梦瑶, 李未华, 黄华, 赵公芳
2023, 39(8): 1874-1879. DOI: 10.3969/j.issn.1001-5256.2023.08.016
摘要(774) HTML (241) PDF (1685KB)(62)
摘要:
  目的  探讨分析代谢相关脂肪性肝病(MAFLD)对颈动脉狭窄的影响。  方法  随机纳入2014年1月1日—2020年6月30日在昆明医科大学第二附属医院消化内科住院期间同时行腹部超声、颈部血管超声的834例患者,收集基线资料、临床诊断,根据病史、临床检验及影像学指标分为MAFLD组(n=469)和非MAFLD组(n=365)。颈动脉按照狭窄程度分为:正常血管、狭窄<50%,狭窄≥50%。符合正态分布的计量资料两组间比较采用成组t检验,不符合正态分布的计量资料两组间比较采用Mann-Whitney U秩和检验;计数资料两组间比较采用χ2检验。采用单因素和多因素Logistic回归分析颈动脉狭窄的影响因素。  结果  MAFLD组患者颈动脉狭窄≥50%的比例高于非MAFLD患者,差异有统计学意义(10.66% vs 5.21%,χ2=8.050,P=0.005)。单因素Logistic回归分析结果显示,男性患者、吸烟、MAFLD、BMI、TC、HDL、服用降脂药、收缩压、高血压或服药、2型糖尿病、胰岛素抵抗,AST在两组间差异有统计学意义(P值均<0.05)。校正了性别、吸烟、HDL、BMI、高血压病史或服药、2型糖尿病、AST后,多因素Logistic回归分析结果显示MAFLD是颈动脉狭窄≥50%的危险因素(OR=1.979,95%CI:1.055~3.713,P=0.033)。  结论  MAFLD是颈动脉狭窄≥50%形成的独立危险因素。
论著_肝纤维化及肝硬化
C反应蛋白与白蛋白比值对酒精性肝硬化合并自发性细菌性腹膜炎的诊断价值
熊飞翔, 孟培培, 江宇泳, 张琴, 姜艳丹, 段浩鑫, 赵赛赛
2023, 39(8): 1880-1885. DOI: 10.3969/j.issn.1001-5256.2023.08.017
摘要(921) HTML (226) PDF (1848KB)(73)
摘要:
  目的  分析C反应蛋白/白蛋白比值(CAR)判断酒精性肝硬化(ALC)患者是否合并自发性细菌性腹膜炎(SBP)的临床价值。  方法  回顾性选取2020年8月—2022年2月首都医科大学附属北京地坛医院住院的ALC患者329例,根据入院时是否合并SBP分为ALC未合并SBP组(n=246)和ALC合并SBP组(n=83),比较两组患者的性别、年龄、合并症、并发症、血常规、肝肾功能、血脂和凝血指标。符合正态分布的计量资料两组间比较采用成组t检验;不符合正态分布的计量资料两组间比较采用Mann-Whitney U检验。计数资料两组间比较采用χ2检验。多因素二元Logistic回归分析判断发生SBP的危险因素,绘制CAR的受试者工作特征曲线(ROC),计算曲线下面积(AUC)、最佳截断值和95%CI  结果  合并SBP患者的WBC、中性粒细胞、中性粒细胞/淋巴细胞比值、单核细胞、C反应蛋白(CRP)、CAR等炎性指标水平均高于未合并SBP患者,前者的AST、TBil、INR、MELD评分高于后者,而Alb、HDL水平显著低于后者(P值均<0.05)。多因素Logistic回归分析发现CAR(OR=20.628,95%CI: 6.720~74.052,P<0.01)、RBC(OR=0.600,95%CI: 0.381~0.932,P=0.025)是判断ALC患者是否合并SBP的独立危险因素。与NLR(AUC=0.725)、WBC(AUC=0.651)相比,CAR的AUC(AUC=0.825)明显较高。CAR的最佳截断值为0.324,分组后显示高风险组合并SBP的比例是63.2%(55/87),显著高于低风险组的11.6%(28/242)(χ2=90.495,P<0.01)。  结论  CAR是判断ALC患者发生SBP的良好标志物。
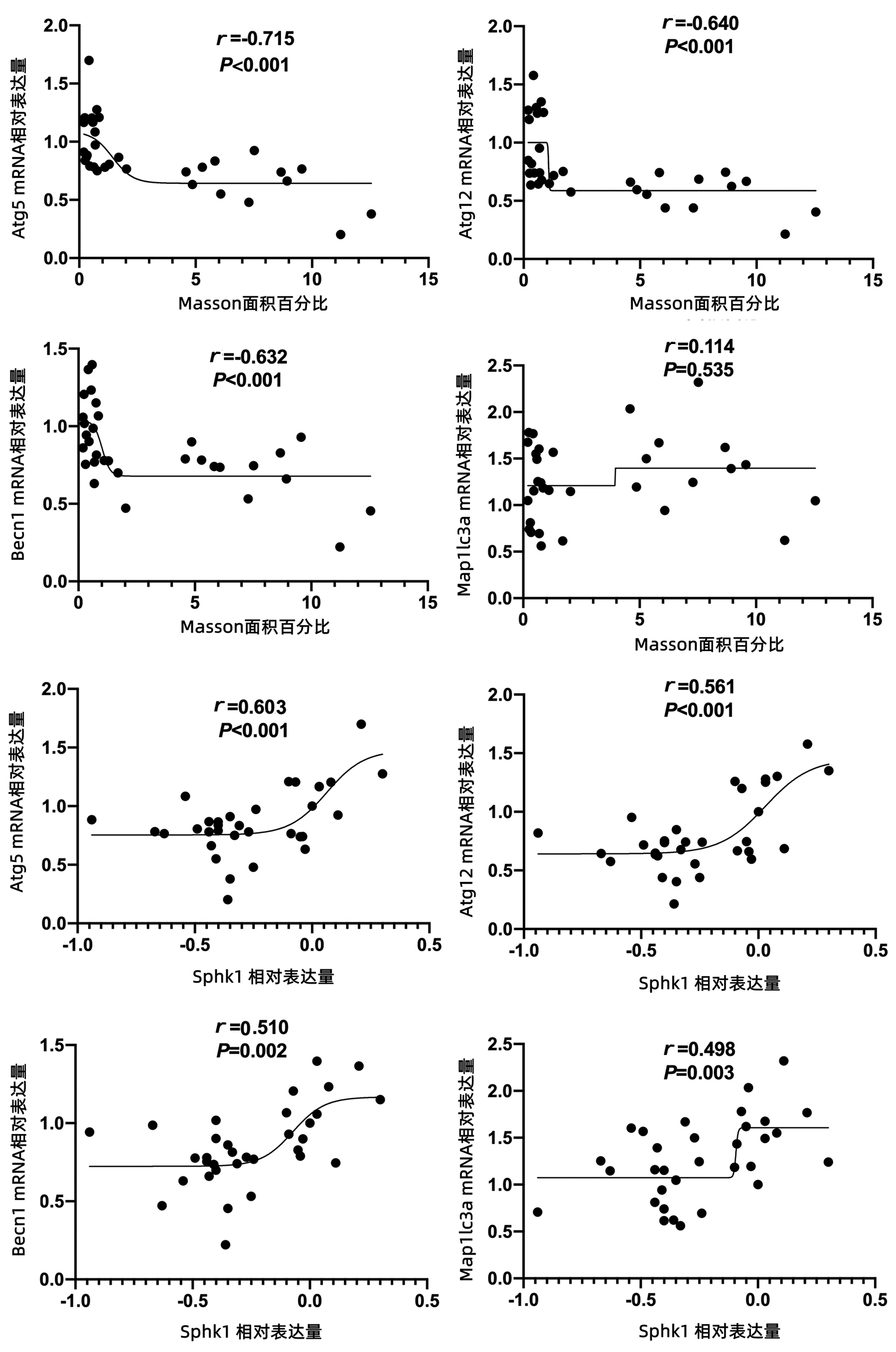
鞘氨醇激酶1(Sphk1)抑制剂在肝纤维化大鼠模型中的作用机制
王燕, 马丽, 肖雄, 雷冬梅, 赵奉茹, 郭力源, 王晓忠
2023, 39(8): 1886-1894. DOI: 10.3969/j.issn.1001-5256.2023.08.018
摘要(1172) HTML (517) PDF (4489KB)(60)
摘要:
  目的  探讨鞘氨醇激酶1(SphK1)抑制剂在不同肝纤维化大鼠模型中的治疗作用。  方法  170只SD大鼠随机分为4组:正常组(30只)、HFE组(给予高脂乳剂,45只)、CCl4组(CCl4诱导,45只)、CCl4+HFE组(HFE联合CCl4,50只),经病理及实验室检查证实造模成功后,分别给予SphK1抑制剂PF-543,同组别以生理盐水作为对照,分别在第1、7、14天取肝组织进行Masson染色,比较肝纤维化面积占比、透射电镜下观察自噬小体形成情况、Real-time PCR检测肝纤维化及自噬相关标志物mRNA表达水平。计量资料多组间比较采用单因素方差分析,进一步两两比较采用LSD检验。相关性分析采用Spearman相关分析。  结果  与正常组(0.57±0.13)相比,CCl4组(6.93±5.81)和HFE+CCl4组(10.89±2.67)肝纤维化面积占比均升高(P值均<0.01)。PF-543干预第7天可显著降低CCl4组及HFE+CCl4组纤维化病变面积(P值均<0.01)。与正常组相比,HFE组、CCl4组和HFE+CCl4组的SphK1表达水平均明显降低(P值均<0.01),HFE+CCl4组的α平滑肌肌动蛋白、转化生长因子-β、α1-Ⅰ型胶原mRNA表达水平均明显升高(P值均<0.01),干预后各指标水平无明显变化(P值均>0.05)。Atg5、Atg12、Becn1的表达水平与肝纤维化病变面积均呈负相关(r分别为-0.715、-0.640、-0.632,P值均<0.01);SphK1的表达水平与Atg5、Atg12、Becn1、Map1lc3a的mRNA表达均呈正相关(r分别为0.603、0.561、0.510、0.498,P值均<0.01)。电镜示:CCl4组肝组织轻微水肿,细胞器丰富,轻度肿胀,以粗面内质网扩张为主。该视野可见9个自噬溶酶体结构。在PF-543干预第7天后,未见典型自噬结构。HFE+CCl4组肝组织轻度水肿,结构不清晰,粗面内质网数量丰富,明显扩张,表面附着核糖体颗粒较少。该视野可见6个自噬溶酶体结构。在PF-543干预第7天后,该视野未见典型自噬结构。  结论  PF-543对自噬有显著抑制作用,并同时伴有纤维化面积的减少。提示靶向SphK1,可影响到肝脏的自噬水平,并进而缓解两种肝纤维化模型的纤维化状态。
论著_肝脏肿瘤
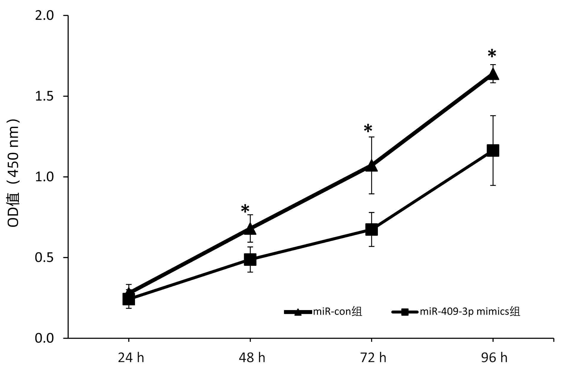
miR-409-3p在肝癌HepG2细胞中的表达及其在细胞增殖中的作用机制
王长青, 陈玲, 徐萍, 朱晓娟, 刘政
2023, 39(8): 1895-1902. DOI: 10.3969/j.issn.1001-5256.2023.08.019
摘要(924) HTML (334) PDF (2369KB)(65)
摘要:
  目的  本研究旨在明确miR-409-3p在肝癌细胞系中的表达及其意义,并探讨可能的分子机制。  方法  利用实时荧光定量PCR的方法检测miR-409-3p在正常肝细胞LO2,以及HepG2、BEL-7402、SMMC-7721、MHCC-97H四种肝癌细胞中的表达差异。阳离子脂质体法将miR-409-3p mimics及microRNA mimics control瞬时转染至肝癌细胞株HepG2中,利用CCK8法、平板克隆、流式细胞术检测miR-409-3p对体外癌细胞增殖、细胞周期及凋亡的影响。Western Blot检测过表达miR-409-3p的HepG2细胞中c-Met蛋白的表达变化,荧光素酶报告系统鉴定靶向关系。计量资料两组间比较采用成组t检验,多组间比较采用单因素方差分析,进一步两两比较采用SNK法。  结果  基于TCGA肝癌microRNA表达谱数据,肝癌组织中miR-409-3p的表达水平显著低于癌旁组织(t=7.752,P<0.05)。与在LO2中的表达水平相比,miR-409-3p在HepG2、SMMC-7721、MHCC-97H、BEL-7402中的表达水平均明显降低(F=31.043,P<0.05)。与miR-con组相比,转染miR-409-3p mimics后的HepG2细胞中miR-409-3p的表达水平上升(t=-8.836,P<0.05),说明干扰有效。CCK8实验结果显示,与miR-con组相比,转染miR-409-3p mimics后的HepG2细胞增殖能力在48、72、96 h明显减弱,差异均具有统计学意义(t值分别为2.876、3.359、3.707,P值均<0.05)。平板克隆形成实验显示,miR-409-3p mimics组的细胞克隆形成率明显低于miR-con组(t=2.846,P=0.047)。流式细胞术结果显示,与miR-con组相比,过表达miR-409-3p后导致HepG2细胞G2期细胞数增多,差异具有统计学意义(t=-3.763,P<0.05);而凋亡率无明显统计学差异(t=0.714,P=0.515)。荧光素酶报告系统鉴定结果显示c-Met为miR-409-3p的靶基因(t=4.970,P=0.007)。与miR-con组相比,转染miR-409-3p mimics的HepG2细胞中,c-Met蛋白表达水平下降(t=-8.509,P=0.001)。  结论  miR-409-3p通过抑制c-Met蛋白表达,进而调控下游信号通路引起细胞周期G2期阻滞,从而抑制肝癌HepG2细胞的增殖。
论著_其他肝病
黄芪提取物调节IL-6/STAT3信号通路治疗马兜铃酸Ⅰ诱导肝肾损伤小鼠模型的效果观察
朱哿瑞, 皮亚妮, 王静, 黄恺, 彭渊, 陈高峰, 刘成海, 陶艳艳
2023, 39(8): 1903-1910. DOI: 10.3969/j.issn.1001-5256.2023.08.020
摘要(1307) HTML (287) PDF (2922KB)(80)
摘要:
  目的  探讨黄芪提取物(AR)改善马兜铃酸Ⅰ(AA Ⅰ)致小鼠急性肝、肾损伤效果及其调控IL-6/STAT3信号通路的作用机制。  方法  健康雄性C57BL/6小鼠38只,采用简单随机分组法分为正常组(n=8)、模型组(n=10)、AR组(n=10)和N-乙酰半胱氨酸(NAC)组(n=10)。模型组小鼠以20 mg/kg AAⅠ腹腔注射,1次/d,持续5 d。正常组小鼠腹腔注射相同容积羧甲基纤维素钠。AR组、NAC组20 mg/kg AAⅠ腹腔注射,1次/d,持续3 d;第4天分别按AR 75 mg/kg、NAC 150 mg/kg小鼠体质量剂量灌胃,1次/d,持续8 d。NAC为阳性对照药。给药造模结束后,处死小鼠并收集血清及肝、肾组织。试剂盒检测血清ALT、AST、肌酐(SCr)、尿素氮(BUN)水平;HE染色观察肝、肾组织病理;荧光PCR及免疫组化分析肝、肾组织中p-STAT3表达量;酶联免疫吸附实验检测肝、肾组织IL-6、IL-1β及TNF-α表达水平。计量资料多组间比较采用单因素方差分析,进一步两组间比较采用SNK-q检验。  结果  与正常组小鼠相比,模型组小鼠肾体比上升(P < 0.05);与模型组相比,AR组ALT、AST、SCr和BUN水平显著降低(F值分别为49.29、31.31、58.89、85.88,P值均 < 0.01);HE染色结果表明,AR可有效减轻AAⅠ导致的肝、肾组织结构破坏和炎性细胞浸润;荧光PCR及免疫组化染色结果表明,AR可减少肝、肾组织p-STAT3表达;酶联免疫吸附检测发现,AR可下调IL-6、IL-1β及TNF-α表达。NAC与AR效应相似,两者间无明显差异。  结论  AR对AAⅠ所致急性肝、肾损伤有保护作用,其部分作用机制可能与抑制IL-6/STAT3信号通路激活,减轻炎症反应有关。
论著_胆道疾病
改良胰管支架用于内镜逆行胰胆管造影取净胆总管结石后胆道引流的安全性及有效性分析
李佳林, 任笠坤, 冉勋, 夏绍萱, 周昱彤, 黄鑫, 韩民
2023, 39(8): 1911-1918. DOI: 10.3969/j.issn.1001-5256.2023.08.021
摘要(1502) HTML (636) PDF (2008KB)(66)
摘要:
  目的  探讨改良7Fr胰管塑料支架用于胆道内引流的临床应用价值。  方法  收集2021年4月—2022年6月在贵州医科大学附属医院肝胆外科行内镜逆行胰胆管造影(ERCP)取石后行胆道引流的121例胆总管结石患者的临床资料,根据术后胆道引流方式分为改良支架组(n=59)和鼻胆引流组(n=60),其中改良支架组采用改良7Fr胰管塑料支架引流,鼻胆引流组采用鼻胆管引流,回顾性分析两组患者临床资料,观察改良支架组中支架自行脱落情况,比较两组临床疗效、患者术后舒适度及术后并发症发生率。符合正态分布的计量资料两组间比较采用成组t检验;非正态分布的计量资料两组间比较采用Mann-Whitney U检验;计数资料两组间比较采用χ2检验。  结果  两组结石清除率为100%。两组患者术后住院天数、总住院天数比较,差异均有统计学意义(t值分别为-3.997、2.317,P值均 < 0.05)。两组患者术后血清TBil、DBil、ALP、AST及GGT均较术前明显下降(P值均 < 0.05)。两组患者TBil、DBil、ALP、ALT、AST、GGT术前及术后比较,差异均无统计学意义(P值均>0.05)。改良支架组与鼻胆引流组术后-术前生化指标差值比较,差异均无统计学意义(P值均>0.05)。两组术后24 h内舒适度评分、术后首次进食、进饮时间比较,差异均有统计学意义(t值分别为2.001、3.579、4.604,P值均 < 0.05)。两组并发症比较,差异均无统计学意义(P值均>0.05)。改良支架组支架自行脱落率为83.05%,未发生支架阻塞、移位、断裂、穿孔及感染并发症。  结论  ERCP取净胆总管结石后,应用改良7Fr胰管塑料支架行胆道内引流与鼻胆管引流效果相当,可缩短患者术后住院时长、提升患者术后舒适度,加速患者康复,且支架自行脱落率高,临床应用安全、有效。
病例报告
慢性胰腺炎、胰管结石合并空肠异位胰腺1例报告
易小康, 田萍, 黎秋曦, 廖学斌, 温剑
2023, 39(8): 1919-1921. DOI: 10.3969/j.issn.1001-5256.2023.08.022
摘要(805) HTML (416) PDF (2002KB)(92)
摘要:
报告1例慢性胰腺炎、胰管结石并空肠异位胰腺。讨论了本案例的特点及其影响,包括该疾病误诊可能造成的影响。由于术中肉眼无法辨别空肠占位性质,采取了病变部分空肠切除。
成人遗传性球型红细胞增多症诱发重度高胆红素血症1例报告
阿卜杜萨拉木·图尔荪麦麦提, 张云飞, 姚刚, 沙地克·阿帕尔, 吐尔洪江·吐逊, 温浩
2023, 39(8): 1922-1925. DOI: 10.3969/j.issn.1001-5256.2023.08.023
摘要(1461) HTML (312) PDF (2217KB)(118)
摘要:
遗传性球型红细胞增多症是一种人体红细胞膜缺陷遗传性溶血疾病,主要以贫血、黄疸、脾大为主要症状,因临床症状不典型,容易误诊漏诊,目前临床上总胆红素及直接胆红素极高病例较少见,国内外很少有报道,文本患者入院接受治疗时总胆红素高达1 686.01 μmol/L,直接胆红素高达1 166.6 μmol/L。经外科治疗该患者顺利出院,术后随访一般情况佳,生活质量高,本文总结了外科治疗遗传性球型红细胞增多症的相关诊疗经验。
脓毒症合并自发性脾破裂出血1例报告
柳舟, 夏文芳, 詹丽英, 方小雨, 张亮, 詹娜, 禹荣, 黄丽, 朱垒
2023, 39(8): 1926-1931. DOI: 10.3969/j.issn.1001-5256.2023.08.024
摘要(1302) HTML (294) PDF (4249KB)(101)
摘要:
脓毒症所致重症感染往往导致多器官功能不全,如心功能不全、肾功能不全、肝功能损伤、脓毒症脑病、凝血功能障碍等。严重感染不仅导致全身炎症反应风暴,同时可诱发脾脓肿形成,甚至自发性脾破裂出血。自发性脾破裂起病隐匿,症状不典型,通常无明显外伤病史,临床容易漏诊。本例脓毒症患者突发左上腹疼痛、血红蛋白进行性下降,紧急完善腹部CT检查,考虑脾破裂出血。剖腹探查术术中发现腹腔大量积血,脾周血肿明显伴脾脏包膜撕裂,遂行全脾切除术。病理提示:脾脏慢性炎症细胞浸润,考虑脾脓肿伴出血。术后患者血色素平稳,腹痛症状明显好转。
综述
免疫检查点对慢性HBV感染者自然杀伤细胞功能的影响
黄俊, 邵慧娟, 马学锋, 于晓辉, 郑晓凤, 张久聪
2023, 39(8): 1932-1938. DOI: 10.3969/j.issn.1001-5256.2023.08.025
摘要(1121) HTML (225) PDF (2174KB)(91)
摘要:
慢性HBV感染的机制尚未完全阐明,HBV可诱发宿主免疫细胞功能障碍,引起免疫失衡和功能缺陷,这可能是HBV感染慢性化的机制之一。在慢性HBV感染中,自然杀伤(NK)细胞的功能是衰竭的,可能与其细胞表面免疫检查点分子的表达上调相关,阻断免疫检查点可以恢复NK细胞的功能。本文将从HBV病原学、慢性HBV感染机制以及常见免疫检查点在慢性乙型肝炎中对NK细胞功能的影响等方面进行系统综述,旨在为慢性HBV感染的治疗提供新的思路。
代谢相关脂肪性肝病微循环障碍与微血管系统的相关性
李安琪, 赵玉强, 赵佩然, 王锐, 杨婧
2023, 39(8): 1939-1945. DOI: 10.3969/j.issn.1001-5256.2023.08.026
摘要(777) HTML (397) PDF (1692KB)(101)
摘要:
代谢相关脂肪性肝病(MAFLD)被认为是一种多系统疾病,可导致多种肝外并发症,其中心血管疾病(CVD)是MAFLD患者最常见的死亡原因。MAFLD与其并发症有许多共同的代谢危险因素,通过炎症、内皮功能障碍、氧化应激、胰岛素抵抗和脂质代谢异常等机制,增加糖尿病、高血压、动脉粥样硬化、静脉血栓形成等的易感性,与MAFLD的病理之间存在复杂的相互作用,促进彼此的发生。在MAFLD进展过程中,肝脏微血管的各个部分都可能发生变化,导致肝脏微循环障碍,肝内微血管紊乱和微循环功能障碍是肝外并发症发展的关键,但MAFLD仍未像其他传统风险因素一样被重视。深入了解MAFLD中微血管系统病理改变与微循环障碍之间的联系,有助于MAFLD肝外并发症的机制研究和治疗,更重要的是让MAFLD患者更加重视肝脏以外的保健治疗。
哺乳动物雷帕霉素靶蛋白C1(mTORC1)在非酒精性脂肪性肝病治疗中的作用机制及潜力
郑诗航, 杨俊, 谭悦, 郑长清
2023, 39(8): 1946-1951. DOI: 10.3969/j.issn.1001-5256.2023.08.027
摘要(1069) HTML (631) PDF (1678KB)(67)
摘要:
非酒精性脂肪性肝病(NAFLD)已成为全球最常见的慢性肝病,可进展为非酒精性脂肪性肝炎、肝硬化和肝癌。哺乳动物雷帕霉素靶蛋白(mTOR)是一种非典型丝氨酸/苏氨酸蛋白激酶,在细胞生长、凋亡、自噬及代谢等过程中发挥了极为重要的作用。本文阐述mTORC1信号通路在NAFLD发病过程中对细胞代谢和生长分化的作用,进一步提出mTORC1通路对于NAFLD治疗药物的研究价值和潜力。
自身免疫性肝病重叠综合征的诊断和治疗
姚尚娟, 李依琳, 陈明洁, 李强
2023, 39(8): 1952-1957. DOI: 10.3969/j.issn.1001-5256.2023.08.028
摘要(1435) HTML (381) PDF (1686KB)(249)
摘要:
自身免疫性肝病重叠综合征是肝脏自身免疫性疾病的一种,肝硬化相关并发症发生率高、预后差。本文从流行病学、临床特点、诊断、治疗和预后等方面阐述了自身免疫性肝病重叠综合征的最新研究进展,重点总结了如何诊断并使用有效的方案治疗不同的重叠综合征,以期提高临床工作者对该类疾病的认识,及早的诊断和治疗该疾病。
脾切除术对肝硬化病程的影响及机制
郑政隆, 徐先鹏, 李白雪, 苏悦, 谢伊兰, 冯全生
2023, 39(8): 1958-1965. DOI: 10.3969/j.issn.1001-5256.2023.08.029
摘要(1931) HTML (311) PDF (1706KB)(196)
摘要:
脾肿大是肝硬化门静脉高压常见的病理改变,并可进展为脾功能亢进,导致患者血细胞减少,增加临床出血、感染等风险。脾切除术是治疗脾大伴脾功能亢进的重要手段,但面临着感染、手术出血、术后血栓形成、术后胰瘘等风险。然而,随着现代研究的不断深入,脾切除术后肝硬化患者的病情在一定程度上得到了改善,例如降低消化道出血的风险、降低门静脉的压力、改善内脏等的血流动力学、促进肝组织的再生、改善肝纤维化、调节免疫、改善营养状况、降低肝癌发生的风险等。本文结合现有的临床和实验研究,综述了脾切除术对肝硬化病程的影响及其机制,以期为临床脾切除术的选择和开展提供可靠的参照和依据。
经颈静脉肝内门体分流术术中因素对术后发生肝性脑病的影响
其七, 姚欣, 杨国栋, 秦建平
2023, 39(8): 1966-1971. DOI: 10.3969/j.issn.1001-5256.2023.08.030
摘要(929) HTML (246) PDF (1681KB)(89)
摘要:
肝性脑病(HE)是经颈静脉肝内门体分流术(TIPS)术后常见的并发症之一,影响HE发生的因素复杂,且发病机制尚不十分清楚,如何减少TIPS术后HE的发生,一直是临床关注的问题。有关TIPS操作对术后HE影响方面的研究,国内外均有相关报道,对研究的结果,有些可达成共识意见,有些还存在分歧。本文拟对TIPS术中穿刺门静脉左或右支分流、选择不同内径球囊扩张通道及门静脉压力梯度降低程度等因素对术后HE影响进行综述,为优化TIPS操作,减少术后HE发生提供参考依据。
中晚期肝细胞癌的局部治疗联合系统治疗研究进展
曹白露, 艾敏, 黄平, 杨永峰
2023, 39(8): 1972-1976. DOI: 10.3969/j.issn.1001-5256.2023.08.031
摘要(975) HTML (236) PDF (1673KB)(155)
摘要:
我国大部分肝细胞癌患者就诊时已处于疾病的中晚期阶段,单一治疗方案客观缓解率较低,而联合治疗明显提高了中晚期肝细胞癌患者的客观缓解率, 延长了患者的生存期。本文就近年来中晚期肝细胞癌局部治疗联合系统治疗的最新研究进展进行详细阐述。
长链非编码小核仁RNA宿主基因(lncRNA SNHG)在肝细胞癌发生发展中的作用
李雨韩, 郭北辰, 周凤, 韩涛
2023, 39(8): 1977-1982. DOI: 10.3969/j.issn.1001-5256.2023.08.032
摘要(1040) HTML (515) PDF (2140KB)(84)
摘要:
肝细胞癌(HCC) 是原发性肝癌中最常见的类型,也是癌症相关死亡的主要原因之一。尽管目前对HCC的研究逐渐深入,但其潜在的分子机制仍不清楚。近年来研究发现,长链非编码RNA (lncRNA) 在HCC的发生和发展中起着重要作用,而长链非编码小核仁RNA宿主基因(lncRNA SNHG) 在HCC中异常表达并在肿瘤细胞的增殖、侵袭、转移、血管生成、干细胞特性及耐药性等方面发挥调节作用。本文综述了lncRNA SNHG基因家族在HCC中的发生机制及预后价值,以期为该领域的基础和临床研究提供新思路。
环状RNA在肝细胞癌发生发展及诊疗中的作用
苗淑莹, 杨军, 管文燕, 张标, 何璐, 樊智文
2023, 39(8): 1983-1991. DOI: 10.3969/j.issn.1001-5256.2023.08.033
摘要(1319) HTML (286) PDF (1709KB)(55)
摘要:
肝细胞癌(HCC)作为原发性肝癌最常见的类型,是一种具有侵袭性且致命的恶性肿瘤,其发生发展是一个多基因参与、多步骤、多阶段的过程。环状RNA(circRNA)作为一类内源性非编码RNA,主要通过吸附微小RNA(miRNA)或者RNA结合蛋白(RBP)发挥“海绵作用”,进而调控下游靶基因表达。本文全面介绍了circRNA在HCC信号转导、免疫、代谢、耐药、HBV相关HCC中的作用及意义,及其作为HCC的生物标志物或治疗靶点的潜在价值,为HCC的诊断和治疗提供新思路。
肠道菌群在慢加急性肝衰竭中的变化特征及致病机制
陈桂容, 王明刚, 林华明, 严惠萍, 王秀峰
2023, 39(8): 1992-1998. DOI: 10.3969/j.issn.1001-5256.2023.08.034
摘要(911) HTML (562) PDF (2330KB)(86)
摘要:
慢加急性肝衰竭起病迅速而病死率高,预后差,且缺乏特异性药物治疗及手段。近年来,越来越多的证据表明肠道微生物群对维持人体微环境稳态的作用至关重要。利用宏基因组学全面测试肠道菌群特征可证明肠道菌群与慢性肝脏疾病发生发展方面存在交互关联。在慢加急性肝衰竭发病机制研究中,发现肠道微生物群在其致病过程中扮演重要角色。基于此,本文总结了慢加急性肝衰竭发生发展过程中肠道菌群的变化特征及其参与致病的机制途径,以期从肠道菌群调控新视角为慢加急性肝衰竭的临床治疗提供新靶点。
高尔基体蛋白73(GP73)对慢性肝病的诊断价值
马杨青, 范海纳, 孙鑫, 刘成海
2023, 39(8): 1999-2004. DOI: 10.3969/j.issn.1001-5256.2023.08.035
摘要(1424) HTML (871) PDF (1687KB)(94)
摘要:
早期诊断并准确评估肝脏炎症和纤维化程度对慢性肝病的治疗干预及预后尤为重要。本文通过回顾高尔基体蛋白73(GP73)与肝癌、肝纤维化及肝脏炎症的诊断、预后方面的研究,归纳总结了目前GP73对于慢性肝病的诊断效能。分析表明除了与肝癌有关外,GP73与肝纤维化程度及预后密切相关,也可较好地反映肝脏炎症损伤。GP73与其他血清标志物联合,可提高慢性肝病的无创诊断效能。
胰腺神经内分泌肿瘤微环境的形成机制及免疫/靶向治疗研究进展
杨佳妮, 张海蓉
2023, 39(8): 2005-2011. DOI: 10.3969/j.issn.1001-5256.2023.08.036
摘要(1433) HTML (264) PDF (1697KB)(62)
摘要:
胰腺神经内分泌肿瘤微环境是由肿瘤细胞、免疫/免疫抑制细胞和细胞外基质成分等共同构建的促癌微环境,以免疫抑制为突出特征,不仅可以抑制抗肿瘤免疫反应、促进血管新生导致肿瘤细胞免疫逃逸和侵袭转移,也是患者对抗肿瘤治疗产生耐药的主要原因。因此,从胰腺神经内分泌肿瘤微环境出发,设计新的抗肿瘤治疗策略以逆转抑制性肿瘤微环境对提高胰腺神经内分泌肿瘤的疗效有重要意义。本文综述了胰腺神经内分泌肿瘤微环境的组成和作用及其靶向治疗的最新研究进展。
人用布鲁氏菌病疫苗的研究进展
安纪红, 杜田田, 王占国
2023, 39(8): 2012-2016. DOI: 10.3969/j.issn.1001-5256.2023.08.037
摘要(1356) HTML (322) PDF (1670KB)(129)
摘要:
布鲁氏菌病是世界范围内最常见的人畜共患疾病,也是世界上常见的公共卫生问题。不仅严重危害人民身体健康, 而且也严重影响畜牧业的发展, 还会带来食品安全隐患。实践证明,疫苗免疫是预防传染病流行的最有效措施,流产双歧杆菌疫苗104M是我国唯一可用于预防人类布鲁氏菌病的疫苗。虽然流产双歧杆菌104M基因组已完全测序,但基因组注释目前尚未完成。此外,其残留毒性和疫苗诱导免疫保护的主要机制尚未阐明。本文主要阐述布鲁氏菌病的临床表现、治疗以及疫苗相关研究进展。
消息
《临床肝胆病杂志》加入国际管理与技术编辑学会(ISMTE)
2023, 39(8): 1796-1796.
摘要(286) HTML (172) PDF (739KB)(26)
摘要:
《临床肝胆病杂志》被列入“遵循国际医学期刊编辑委员会(ICMJE)推荐规范的期刊名单”
2023, 39(8): 1951-1951.
摘要(262) HTML (178) PDF (746KB)(26)
摘要:
致谢
本期审稿专家
2023, 39(8): 1971-1971. DOI: 10.3969/j.issn.1001-5256.2023.08.zhixie1
摘要(350) HTML (182) PDF (739KB)(46)
摘要: